Síndrome de Budd-Chiari
| Síndrome de Budd-Chiari | |
|---|---|
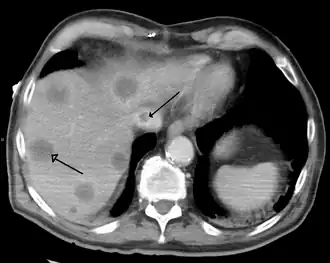
| Síndrome de Budd-Chiari secundária a um câncer. Note o coágulo na veia cava inferior e a metástase no fígado | |
| Especialidade | hepatologia |
| Classificação e recursos externos | |
| CID-11 | DB98.5 |
| CID-10 | I82.0 |
| CID-9 | 453.0 |
| OMIM | 600880 |
| DiseasesDB | 1735 |
| MedlinePlus | 000239 |
| eMedicine | med/2694 ped/296 radio/121 |
| MeSH | D006502 |
A síndrome de Budd-Chiari é a hipertensão portal com hepatomegalia causada pela obstrução venosa do sistema de drenagem do fígado, frequentemente evoluindo com varizes esofágicas, encefalopatia hepática e coagulopatia por insuficiência hepática. Nesta desordem, observamos obstrução de caráter insidioso ou agudo das veias hepáticas, levando a um mecanismo de hipertensão portal pós-sinusoidal, manifestando-se com ascite volumosa e hepatomegalia dolorosa.
A oclusão aguda da drenagem venosa pode levar a um quadro clínico de início abrupto e evolução geralmente fatal. A causa de seu aparecimento é desconhecida, podendo envolver desde anormalidades na coagulação como distúrbios genéticos e mieloproliferativos, até traumatismo abdominal.
Causas
Sinais e sintomas
A síndrome apresenta a tríade clássica de:
- Dor abdominal,
- Ascite (inchaço abdominal)
- Hepatomegalia dolorosa (fígado inchado).
Outros achados clínicos sugestivos de obstrução da veia cava incluem:
- Alteração leve da função hepática,
- Edema de membros inferiores,
- Embolia pulmonar,
- Dilatação venosa superficial de membros inferiores, abdome e região lombar,
- Icterícia (pele amarelada).
Os exemplos de oclusão incluem trombose das veias hepáticas e redes membranosas na veia cava inferior. A síndrome geralmente é lenta com sintomas progressivos, mas pode ser fulminante, crônica ou assintomática. Ocorre em 1 a cada 100.000 pessoas e é mais comum em mulheres.
Diagnóstico
Quando há suspeita da síndrome de Budd-Chiari, são realizadas medições dos níveis das enzimas hepáticas e de outros marcadores de órgãos (creatinina, ureia, eletrólitos, LDH).
A síndrome de Budd-Chiari é mais habitualmente diagnosticada usando-se ultrassonografia abdominal e tomografia computadorizada helicoidal/multislice do abdome. O ultrassom pode mostrar a obliteração das veias hepáticas, trombose ou estenose, grandes vasos colaterais ou um cordão hiperecoico substituindo uma veia normal. A tomografia mostra a presença do trombo no interior dos vasos e/ou a ausência de fluxo vascular.
Diagnóstico diferencial
Hepatite viral aguda, Hemoglobinuria Paroxistica Noturna (HPN) dentre outras aqui não citadas.
Tratamento
Realizado com anticoagulantes ou métodos cirúrgicos, de acordo com o caso abordado.[1]