Nefropatia hipertensiva
| Nefropatia hipertensiva | |
|---|---|
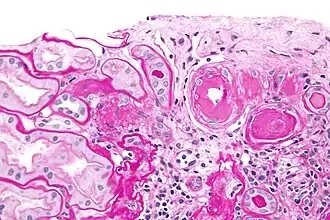
![]() | |
| Micrógrafo mostrando hialinose arterial renal - anel rosa á direita do centro. Coloração_ácido_periódico-Schiff. | |
| Especialidade | nefrologia |
| Classificação e recursos externos | |
| CID-10 | I12 |
| CID-9 | 403 |
| MeSH | D009400 |
A nefropatia hipertensiva (ou "nefrosclerose hipertensiva", ou "doença renal hipertensiva") é uma condição médica relativa ao dano do rim devida à hipertensão.
Deveria ser diferenciada da "hipertensão renovascular" (I15.0), que é uma forma de hipertensão secundária.
Nos rins, como um resultado da hipertensão arterial benigna, a hialina (material homogêneo, amorfo rosa) se acumula na parede de pequenas artérias ou arteríolas, produzindo o espessamento de suas paredes e o estreitamento do lúmen — arteriosclerose hialina. A isquemia consequente produzirá atrofia tubular, fibrose intersticial, alterações glomerulares (glomérulos menores com graus diferentes de hialinização - da branda à esclerose dos glomérulos) e fibrose periglomerular. Em estágios avançados, a falha renal ocorrerá. Néfrons funcionais têm túbulos dilatados, frequentemente com cilindros urinários hialinos nos lúmens. Complicações adicionais frequentemente associadas com a nefropatia hipertensiva inclúem dano glomerular, resultando em proteinúria e hematúria.
Ver também
Ligações externas
- Foto em Atlas de Patologia
- Tylicki L, Rutkowski B (2003). «Hypertensive nephropathy: pathogenesis, diagnosis and treatment». Pol. Merkur. Lekarski (em polaco). 14 (80): 168–73. PMID 12728683
- Luft FC (outubro de 2000). «Hypertensive nephrosclerosis-a cause of end-stage renal disease?». Nephrol Dial Transplant. 15 (10): 1515–7. PMID 11007815. doi:10.1093/ndt/15.10.1515
