Colestase
| Colestase | |
|---|---|
![]() | |
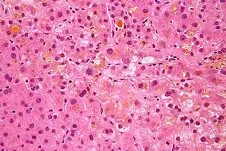
| Microscopia revelando acúmulo de bile (amarela) no fígado. H&E | |
| Especialidade | gastrenterologia |
| Classificação e recursos externos | |
| CID-10 | K71.0, K83.1 |
| CID-9 | 576.2 |
| DiseasesDB | 9121 |
| MedlinePlus | 000215 |
| eMedicine | 927624 |
| MeSH | D002779 |
Colestase é a condição médica na qual a bile não pode fluir do fígado ao duodeno. Na colestase obstrutiva há um bloqueio mecânico nas vias biliares, por exemplo por um cálculo biliar ou tumor. Já na colestase metabólica há um distúrbio na produção da bile, por exemplo por um defeitos genéticos ou como efeito colateral de algum medicamento.
Quando se verifica colestase, o fluxo da bile (o suco digestivo produzido pelo fígado) encontra-se alterado em algum ponto entre os hepatócitos (que produzem bile) e o duodeno (o primeiro segmento do intestino delgado). Quando o fluxo da bile é obstruído, o pigmento bilirrubina (um produto residual formado pela destruição dos glóbulos vermelhos velhos ou lesionados) passa para a corrente sanguínea e se acumula. Normalmente, a bilirrubina se liga à bile no fígado, passa pelos dutos biliares e chega ao trato digestivo, sendo eliminada do corpo. A maior parte da bilirrubina é eliminada nas fezes, mas uma pequena parte é eliminada na urina.
Sinais e sintomas
Os sintomas característicos da colestase são icterícia, colúria, acolia fecal e prurido generalizado. A icterícia é provocada por um aumento da bilirrubina depositada na pele e a colúria por um aumento de bilirrubina eliminada pelos rins. O prurido, possivelmente pelo acúmulo de produtos da bile na pele. Arranhar pode danificar a pele. As fezes podem ficar claras, porque a passagem de bilirrubina para o intestino está obstruída, evitando que ela seja eliminada do corpo e ainda haver esteatorreia (gordura nas fezes) porque a bile não entra no intestino para ajudar a digerir a gordura dos alimentos. As fezes gordurosas podem apresentar odor desagradável.
A carência de bile no intestino também implica uma absorção inadequada de cálcio e vitamina D. Quando a colestase persiste, a falta desses nutrientes pode provocar uma perda de tecido ósseo. A vitamina K, necessária à coagulação do sangue, também é absorvida de forma insuficiente pelo intestino, causando uma tendência para sangrar com facilidade.
Uma icterícia prolongada decorrente da colestase produz depósitos amarelos de gordura na pele e conferindo-lhe uma cor barrenta. A causa subjacente à colestase vai determinar se a pessoa apresenta outros sintomas, como dor abdominal, perda de apetite, vômitos ou febre.
Causas
Possíveis causas incluem:
- Cálculos biliares (colelitíase)
- Gravidez (Colestase intra-hepática da gravidez ou colestase obstétrica)
- Massa abdominal obstruindo as vias biliares (por exemplo, tumor hepático, cístico ou pancreático)
- Atresia biliar ou outra anomalia congênita
- Iatrogenia (por exemplo, cicatrizes de cirurgia ou exame em vesícula biliar, fígado ou pâncreas)
- Hepatite
- Fibrose cística
- Cirrose biliar primária, uma doença auto-imune
- Colangite esclerosante primária, associado com doença inflamatória intestinal
- Alguns medicamentos
Dentre os muitos medicamentos que podem causar colestase estão incluídos: Anticonceptivos orais, alguns antibióticos (cotrimoxazol, flucloxacilina, eritromicina...), sais de ouro, nitrofurantoína, esteroides anabolizantes, clorpromazina, sulindaco, cimetidina e as estatinas.
Diagnóstico
Colestase pode ser suspeitada quando há uma elevação tanto da 5-nucleotidase quanto da fosfatase alcalina (FA). O melhor teste para colestase seria elevações dos níveis séricos de ácidos biliares, no entanto, este exame não está normalmente disponível nas clínicas. A gama-glutamil transferase (GGT) já foi usada na confirmação, no entanto GGT elevada é pouco especifica como um teste confirmatório. Normalmente a GGT e FA estão fixadas na membrana dos hepatócitos e são liberadas em pequenas quantidades quando há dano hepatocelular. Na colestase, a síntese destas enzimas é induzida e eles se tornam mais solúveis. A GGT aparece elevada porque há vazamentos da bile do ducto biliar para o sangue.
Em uma fase posterior de colestase AST, ALT e bilirrubina podem estar elevados devido a danos no fígado como um efeito secundário da colestase.
