Síndrome de Mallory-Weiss
| Síndrome de Mallory-Weiss | |
|---|---|
![]() | |
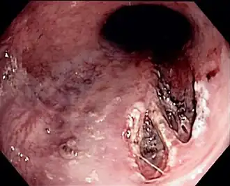
| Laceração de Mallory-Weiss afetando o lado do esôfago da junção gastroesofágica | |
| Especialidade | gastrenterologia |
| Classificação e recursos externos | |
| CID-10 | K22.6 |
| CID-9 | 530.7 |
| DiseasesDB | 7803 |
| MedlinePlus | 000269 |
| eMedicine | ped/1359 |
| MeSH | D008309 |
A síndrome de Mallory-Weiss ou Síndrome da laceração gastroesofágica refere-se ao sangramento proveniente de lacerações das paredes na junção do estômago com o esôfago induzidos por ataques de tosse ou vômito.
Causas

É frequentemente associada com distúrbios que causem vômitos frequentes como o alcoolismo e distúrbios alimentares (anorexia e bulimia)[1] e há algumas evidências que a presença de uma hérnia de hiato é um fator de risco. Também pode ser induzido por gastrite, convulsões epiléticas ou por um trauma físico torácico.[1]
Sinais e sintomas
Seu sintoma mais característico é o vômito de sangue (hematemese), mas também pode ser identificado por sangue escuro nas fezes melena e inclusive pode aparecer sem vômito recorrente.
Na maioria dos casos, a hemorragia cede espontaneamente depois de 24-48 horas, mas tratamento cirúrgico ou endoscópico é às vezes necessário. Raramente há complicações.
Diagnóstico
O diagnóstico definitivo é feito por endoscopia. Medir a pressão arterial e frequência cardíaca ajudam a manejar a gravidade da hemorragia.[2]
Tratamento
O tratamento normalmente é efetivo, sendo que a hemorragia persistente é incomum. Cauterização ou injeção de epinefrina para parar a hemorragia podem ser efetuados durante o procedimento de endoscopia. Soro pode ser necessário para corrigir um desequilíbrio hidroeletrolítico (ou seja, repor água e sais minerais) e em raros casos, quando a perda de sangue é muito grande, pode ser necessário transfusão de sangue.[3]
Muito raramente a embolização das artérias regionais é necessária para cessar a hemorragia.
História
A doença foi descrita primeiramente em 1929 por G. Kenneth Mallory e Soma Weiss em 15 pacientes alcoólicos.[4]
Referências
- ^ Caroli A, Follador R, Gobbi V, Breda P, Ricci G (1989). "[Mallory-Weiss syndrome. Personal experience and review of the literature]" (in Italian). Minerva dietologica e gastroenterologica 35 (1): 7–12
- «Cecil Textbook of Medicine»
