Glioma

Glioma
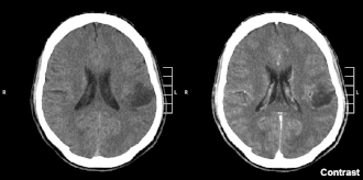
Glioma no lobo parietal de segundo grau em CT scan cerebral.
Especialidadeoncologia
Frequência0.0343%
Classificação e recursos externos
CID-10C71
CID-9191
CID-CID-OM9380/3-9460/3
DiseasesDB31468
MeSHD005910
A Wikipédia não é um consultório médico. Leia o aviso médico 

Glioma é um tumor de células gliais, células que protegem, nutrem e dão suporte aos neurônios, logo podem ocorrer no encéfalo, na medula espinhal ou mesmo junto a nervos periféricos. São responsáveis por aproximadamente 30% de todos os tumores do sistema nervoso central e por 80% dos tumores malignos iniciados no cérebro.[1]

Classificação

Dependendo do tipo de células gliais afetadas podem ser classificadas como[2]:

Um astrocitoma de 4 grau também é conhecido como glioblastoma e representam 15% dos tumores de cérebro e 65-75% dos astrocitomas. São mais diagnosticados em países industrializados e entre brancos e idosos, porém é provável que parte do motivo é que muitos casos em países subdesenvolvidos não são diagnosticados ou quando são não são relatados e melhor investigados cientificamente.[1]

Sintomas

Os sintomas vão depender muito do local e do tipo de células afetadas. Tumores no cérebro podem causar dor de cabeça, náusea, aumento da pressão craniana, problemas motores, sensitivos, cognitivos e/ou mudanças de personalidade.[3]

Tratamento

Foram aprovados pelo FDA tratamentos de imunoterapia[4][5][6] e mais de 2300 ensaios clínicos com imunoterapia e outras técnicas inovadoras foram registradas no clinicaltrials.gov.[7] Nos tratamentos cirurgicos ou quimioterapêuticos tradicionais, raramente tem cura, pois tentar atacar de forma química, ou remover cirurgicamente um tumores do cérebro ou da medula espinhal, costumar causar mais mortes e outros transtornos do que efetivamente curar. Especialmente pelo fato da maioria dos pacientes com esse câncer serem idosos e terem outras doenças.

Pesquisa

Entre as pesquisas ligadas a imunoterapia temos a aprovação e desenvolvimento de anticorpos monoclonais, que podem contribuir para várias aplicações , entre elas, e talvez uma das mais destacadas na pesquisa, a de contribuir no sentido de prolongar por mais tempo o ataque imunológico ao câncer , ao inativar pontos que se expressam na membrana da célula cacerígena e normais, os quais, se não fossem bloqueados pelos anticorpos, inibiriam a continuidade de ataque; entre eles destacamos um bastante expresso em glioma: O "B7-H3 é um membro do ponto de verificação imune que pertence às famílias B7-CD28[8] e desempenha um papel vital na inibição da função das células T. É importante ressaltar que o B7-H3 é amplamente superexpresso em tumores sólidos, tornando-o um alvo atraente para a imunoterapia contra o câncer" incluindo glioma.[6]

Especialistas descobriram células dentro de um glioma dependem de gorduras, a fim de impulsionar o crescimento do tumor. Isto contradiz as descobertas científicas anteriores[9] que declararam que as células tumorais necessitam principalmente de açúcar, a fim de criar energia.[10]

Referências

  1. 1 2 http://www.sciencedirect.com/science/article/pii/S2210776212002608
  2. http://www.abta.org/brain-tumor-information/types-of-tumors/
  3. «Cópia arquivada». Consultado em 6 de outubro de 2013. Arquivado do original em 6 de outubro de 2013
  4. Malmström, Annika (2019). «Studies for Better Treatment of Patients with Glioma»
  5. Lynes, John P.; Sanchez, Victoria E.; Nwankwo, Anthony K.; Dominah, Gifty A.; Nduom, Edjah K. (1 de janeiro de 2019). «Immune checkpoint modulation: Tenets and implications in glioblastoma». Glioma (em inglês). 2 (1). 20 páginas. ISSN 2589-6113. doi:10.4103/glioma.glioma_47_18
  6. 1 2 Zhang, Chaoqi; Zhang, Zhen; Li, Feng; Shen, Zhibo; Qiao, Yamin; Li, Lifeng; Liu, Shasha; Song, Mengjia; Zhao, Xuan (2 de novembro de 2018). «Large-scale analysis reveals the specific clinical and immune features of B7-H3 in glioma». OncoImmunology. 7 (11): e1461304. doi:10.1080/2162402X.2018.1461304
  7. «Search of: glioma - List Results - ClinicalTrials.gov». clinicaltrials.gov (em inglês). Consultado em 28 de novembro de 2019
  8. Sharpe, Arlene H.; Freeman, Gordon J. (2002). «The B7–CD28 superfamily». Nature Reviews Immunology (em inglês). 2 (2): 116–126. ISSN 1474-1741. doi:10.1038/nri727
  9. Sugar Substitutes May Not Offer Health Benefits to the Obese publicado em "Science News Journal" (2016)
  10. Scientists Breakthrough to Better Understanding of Fatal Brain Tumor Growth publicado em "Science News Journal" (2016)