Astrocitoma
| Astrocytoma | |
|---|---|
![]() | |
| Especialidade | oncologia, neurocirurgia |
| Classificação e recursos externos | |
| CID-11 | XH6PH6 |
| CID-10 | C71 |
| CID-9 | 191 |
| CID-CID-O | 9400/3 |
| OMIM | 137800 |
| DiseasesDB | 29449 |
| eMedicine | med/2693 |
| MeSH | D001254 |
Astrocitoma são tumores (neoplasia) do sistema nervoso central (SNC) originados de um astrócito, uma célula em forma de estrela que sustenta os neurônios. É o tipo de glioma mais comum e podem ser benignos ou malignos. Quanto menor o grau, mais tempo de sobrevida, que pode ultrapassar 10 anos (grau I) ou serem menor a 1 ano (grau IV). Afetam 5 em cada 100.000 pessoas.[1]
Graduação dos astrocitomas
Graduação de Kernohan
O sistema de graduação de Kernohan[2] define progressão para astrocitoma maligno assim:
- Grau 1 astrocitoma benigno.
- Grau 2 astrocitoma de baixo grau.
- Grau 3 astrocitoma anaplásico.
- Grau 4 glioblastoma.
Graduação de St Anne-Mayo
O sistema de graduação de St Anne-Mayo[3][4][5] também é usado para graduar astrocitomas porém, esse sistema usa quatro critérios morfológicos para atribuir um grau:
a) Atipia nuclear. b) Mitoses. c) Proliferação endotelial. Células endoteliais "empilhadas". Esse critério não tem relação com hipervascularização. d) Necrose
A graduação de St. Anne-Mayo possui quatro graduações de tumores:
- Grau 1: tumores que não entram em nenhum desses critérios.
- Grau 2: tumores que apresentam um critério, normalmente atipia nuclear.
- Grau 3: tumores que apresentam dois desses critérios, normalmente nuclear atipia e mitose.
- Grau 4: tumores que apresentam três ou quatro dos critérios acima.
Graduação da OMS
O sistema de graduação da OMS[4][6][7][8] está contido no volume "Histological Typing of Tumours of the Central Nervous System", cuja primeira edição saiu antes de 1979, a segunda em 1993 e a última em 2007. A graduação da OMS apresenta quatro categorias de tumores.
- Grau I: tumores de baixo grau, não malignos, e associado a um excelente prognóstico após excisão cirúrgica. É reservado para variantes histológicas especiais do astrocitoma que ocorrem principalmente na infância. Incluem o Astrocitoma Pilocítico Juvenil, o Astrocitoma subependimário de células gigantes e o xantoastrocitoma pleomorfo.
- Grau II: tumores relativamente de baixo grau, mas as vezes recorrem como tumores de alto grau. Podem ser malignos ou benignos.
- Grau III: tumores malignos e frequentemente recorrem como tumores de alto grau. Também chamado de astrocitoma anaplásico.
- Grau IV: tumores que possuem uma alta taxa de mitose. São tumores malignos muito agressivos. Também chamato de Glioblastoma.
Do ponto de vista histológico, o sistema da OMS é baseado no mesmo critério do sistema de St Anne-Mayo.
Comparação entre os sistemas de graduação
Na seguinte tabela, os sistemas de graduação são comparados (a escala CID-O não foi comparada porque ela não é considerada um sistema de graduação real):[9][10][11]
| Nome OMS | Graduação OMS | Graduação de Kernohan | Graduação de St Anne/Mayo | Critério de St Anne/Mayo |
|---|---|---|---|---|
| Astrocitoma Pilocítico | I | - | 1 | 0 critério |
| Astrocitoma difuso | II | 1 | 2 | 1 critério (a) |
| Astrocitoma anaplásico | III | 2 | 3 | 2 critérios (a+b) |
| Glioblastoma | IV | 3/4 | 4 | 3-4 critérios (a+b[+/-c]+d) |
Astrocitoma Pilocítico


A etiologia dos astrocitomas pilocíticos é incerta parecendo, derivarem de astrócitos alongados e bipolares encontrados na região subependimária, na glia de Bergmann do cerebelo e na glia radial em nível fetal. Os astrocitomas pilocíticos são considerados como grau I na escala de malignidade proposta pela OMS, isto é, tumores de crescimento lento e bem diferenciados.[7]
Os astrocitomas pilocíticos acometem freqüentemente pacientes jovens e usualmente ocorrem no hipotálamo, cerebelo, tronco cerebral, III ventrículo e trato óptico. A maioria encontra-se localizada na linha média.[12][13]
A história natural dessa neoplasia pode ser muito lenta, mas geralmente há um período de 3 meses entre o aparecimento das primeiras manifestações clínicas e o início do tratamento. Os achados clínicos dependem da localização do tumor, sendo comuns os sintomas de hipertensão intracraniana (acometimento do terceiro ventrículo) e, quando localizado em fossa posterior, os sintomas de hidrocefalia oclusiva.[14]
O diagnóstico dos astrocitomas pilocíticos é estabelecido aliando-se os achados clínicos aos exames de imagem e é comprovado pelo estudo anátomo-patológico. Em algumas situações a manifestação clínica é discrepante do grande tamanho tumoral.
Há duas variantes de astrocitoma pilocítico.
Tipo Adulto
Caracteriza-se por bandas de células fibrilares intensamente compactas de arranjo bipolar. Essa variante não tem relação com vasos sangüíneos e demonstra pouca ou nenhuma tendência para degeneração microcística. Em alguns locais, astrócitos estrelados e gemistiocíticos podem ser identificados. O astrocitoma pilocítico do tipo adulto tende a ocorrer em pacientes de maior idade, e há possibilidade de apresentar alterações anaplásicas.
Tipo Juvenil
Acomete pacientes jovens e também porque as células tumorais podem representar um tipo morfologicamente simples de glia formadora de fibras, daí o termo espongioblastoma polar, o qual era originalmente usado para a sua designação. Nesta variante, as células tumorais são mais alongadas, finas e relacionadas com os vasos sangüíneos, acompanhando-os longitudinalmente. Apesar de fibrilas serem facilmente demonstráveis no citoplasma celular, há pequena ou nenhuma tendência de formação de matriz fibrilar intercelular, pelo contrário, áreas distantes dos vasos sangüíneos têm aparência rarefeita, são pobremente celulares, e são justamente essas áreas que têm potencial para sofrer degeneração microcística. Onde essas áreas são bem preservadas, as células não são pilocíticas, e sim estreladas.[15][16] Presença de fibras de Rosenthal é frequente nessa neoplasia. Na maioria dos casos não há proeminência de vascularização, nem pleomorfismo, mas sua presença não exclui o diagnóstico.[17][18][19] Positividade para proteína glial ácida fibrilar é detectada através da imunohistoqüímica.[20][21]
Tratamento do Astrocitoma Pilocítico

O tratamento de escolha para os astrocitomas pilocíticos é a remoção cirúrgica total ou subtotal do tumor[22]. Radioterapia ou quimioterapia pós-operatória só é indicada para os pacientes em que a ressecção total não pôde ser realizada. A quimioterapia pode também ser outro recurso de tratamento desses tumores. Os agentes mais usados são actinomicina D, vincristina, 5- fluoruracil, hidroxiuréia e nitrosuréia. Os resultados são semelhantes aos da radioterapia. A quimioterapia vem sendo usada principalmente para diminuir o tempo de recorrência do tumor e em crianças menores de 3 anos, em que a radioterapia deve ser evitada.[23][24]
O prognóstico depende da localização do tumor e da natureza histológica do astrocitoma. Astrocitomas pilocíticos têm melhor prognóstico do que os outros astrocitomas, por serem lesões de baixo grau. Apesar da ressecção total do tumor ser curativa, recomenda-se longo tempo de acompanhamento dos pacientes, devido à vagarosa progressão da neoplasia e a possibilidade de transformação para astrocitoma anaplásico, principalmente nos tipos adultos. Preconiza-se fazer estudos de imagem a cada 4 meses no primeiro ano e a cada 6 meses nos próximos 2 anos[25]. Os astrocitomas que se estendem anteriormente ao quiasma óptico são menos agressivos do que os que envolvem as regiões do quiasma óptico e hipotálamo[26]. A recorrência do tumor ou progressão para malignidade é incomum e metástases são raramente relatadas[12].
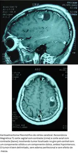
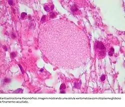
Xantoastrocitoma Pleomórfico

Tumor astrocitário raro, de crianças e adultos jovens, com localização superficial nos hemisférios cerebrais, envolvimento das meninges e prognóstico favorável. Tem aspecto pleomórfico, incluindo células tumorais lipidizadas que expressam GFAP (portanto, de linhagem astrocitária), que pode estar envolvidas por estroma reticulínico. Em relação à invasão de estruturas cerebrais, ocupam posição intermediária entre os astrocitomas pilocíticos e os difusos. Contudo, podem ter feições histológicas agressivas.
Incidência. Geralmente na 2a. década, mais raramente 1a. ou 3a. 2/3 dos pacientes estão abaixo dos 18 anos. Há longa história de crises convulsivas.
Localização. Preferência pelo lobo temporal. O tumor é cortical, estendendo-se da leptomeninge à transição com a substância branca. As bordas são nítidas em TC e RM, com tendência à formação de cistos com nódulo mural. Há captação de contraste.
Morfologia. São aderidos às leptomeninges. Há componentes sólido e cístico. O nódulo mural é amarelo-alaranjado e mais firme que o cérebro. Microscopicamente, observam-se astrócitos pleomórficos gigantes, mono- ou multinucleados, com grande variação no tamanho e cromatismo dos núcleos (daí o adjetivo pleomórfico) misturados a células pequenas, poligonais ou fusiformes, GFAP-positivas e arranjadas em fascículos. O termo xantoastrocitoma é devido a que muitas células, especialmente as maiores, mostram acúmulo de gotículas lipídicas. A celularidade é moderada, mas pode ser focalmente alta. Mitoses e necrose são raras ou ausentes. Embora o tumor apareça macroscopicamente bem delimitado, pode haver invasão do cérebro e de espaços perivasculares. Em impregnações pela prata, fibras reticulínicas podem ser abundantes e circundar individualmente células tumorais. Em microscopia eletrônica, as células são envoltas por membrana basal, uma feição também encontrada em astrócitos subpiais normais. Por isto, foi postulada origem nestes. A consistência firme é atribuída ao estroma reticulínico, mais proeminente onde há envolvimento leptomeníngeo.
Prognóstico
O prognóstico dos pacientes com tumor cerebelar está estreitamente associado ao grau histológico do tumor. Em uma população finlandesa representativa, a sobrevida mediana foi de 93,5 meses para pacientes com astrocitomas grau I ou II da OMS, 12,4 meses para aqueles com os de grau III da OMS e 5,1 meses para os que tinham o tumor de grau IV da OMS. Embora essas taxas de sobrevida sejam um pouco mais baixas que aquelas geralmente relatadas, representam dados populacionais significativos.
As características clínicas que se correlacionam com um prognóstico desfavorável incluem idade superior a 65 anos e estado funcional precário, definido pela escala de desempenho de Kornofsky.
Referências
- ↑ http://emedicine.medscape.com/article/283453-overview#a6
- ↑ Kernohan JW, Mabon RF, Svien HJ, Adson AW (1949).
- ↑ Daumas-Duport C, Scheithauer B, O’Fallon J, Kelly P (1988).
- 1 2 Centers for Disease Control and Prevention (2004). Data collection of primary central nervous system tumors. National Program of Cancer Registries Training Materials. Atlanta, Georgia: Department of Health and Human Services, Centers for Disease Control and Prevention.
- ↑ Kim TS, Halliday AL, Hedley W, Convery K (1991). Correlates of survival and the Daumas-Duport grading system for astrocytomas. J Neurosurg 74: 27-37.
- ↑ Kleihues P, Burger PC, Scheithauer BW (1993). Histological Typing of Tumours of Central Nervous System. World Health Organization International Histological Classification of Tumours. 2nd ed. Springer Verlag: Berlin Heidelberg.
- 1 2 Kleihues P, Kiessling M, Scheithauer BW (1987). The new WHO classification of brain tumours. Brain Pathol. 3: 255-268.
- ↑ Acta Neuropathol. 2007 Aug;114(2):97-109. Epub 2007 Jul 6. The 2007 WHO classification of tumours of the central nervous system. Louis DN, Ohgaki H, Wiestler OD, Cavenee WK, Burger PC, Jouvet A, Scheithauer BW, Kleihues P. Source Department of Pathology, Massachusetts General Hospital and Harvard Medical School, Boston, MA 02114, USA.
- ↑ Tatter SB (2005). The new WHO Classification of Tumors affecting the Central Nervous System. Accessed on 2009-08-12. Erro de citação: Parâmetro inválido "name:"snc"" na etiqueta
<ref>. Os parâmetros suportados são: dir, follow, group, name. - ↑ Gudinavičienė I (2004). Impact of morphology and biology on the prognosis of patiens with gliomas. Medicina Vol. 40, No. 2. Erro de citação: Parâmetro inválido "name:"glioma"" na etiqueta
<ref>. Os parâmetros suportados são: dir, follow, group, name. - ↑ Kleihues P, Cavenee WK, eds. (2000). Pathology and genetics of tumours of the nervous system. World Health Organization classification of tumours. Lyon, France: IARC Press ISBN 9283224094. Erro de citação: Parâmetro inválido "name:"genética"" na etiqueta
<ref>. Os parâmetros suportados são: dir, follow, group, name. - 1 2 Versari P, Talamonti G, D’ Aliberti, Fontana R, Colombo N, Casadei G. Leptomeningeal dissemination of juvenile pilocytic astrocytoma: case report. Surg Neurol 1994; 41: 318-21.
- ↑ Hojer C, Hildebrandt G, Lanfermann H, Schröder R, Haupt WF. Pilocytic astrocytomas of the posterior fossa: a followup study in 33 patients. Acta Neurochir 1994;129: 131-9. Erro de citação: Parâmetro inválido "name:"hojer"" na etiqueta
<ref>. Os parâmetros suportados são: dir, follow, group, name. - ↑ Favre J, Deruaz JP, Tribolet N. Pilocityc cerebellar astrocytoma in adults: case report. Surg Neurol 1993; 39: 360-4. Erro de citação: Parâmetro inválido "name:"favre"" na etiqueta
<ref>. Os parâmetros suportados são: dir, follow, group, name. - ↑ Russel DS, Rubinstein LJ. Pathology of tumours of the nervous system. 5ª ed. London, 1989. p.105-11. Erro de citação: Parâmetro inválido "name:"russel"" na etiqueta
<ref>. Os parâmetros suportados são: dir, follow, group, name. - ↑ Hayostek CJ, Schaw EG, Scheithauer B et al. Astrocytomas of the cerebellum. Cancer 1993; 72: 856-69. Erro de citação: Parâmetro inválido "name:"hayostek"" na etiqueta
<ref>. Os parâmetros suportados são: dir, follow, group, name. - ↑ Marchese MJ, Chang CH. Malignant astrocytic gliomas in children. Cancer 1990; 65: 2771-78. Erro de citação: Parâmetro inválido "name:"marchese"" na etiqueta
<ref>. Os parâmetros suportados são: dir, follow, group, name. - ↑ White FV, Anthony DC, Yunis EJ et al. Nonrandom chromosomal gains in pilocytic astrocytomas of childhood. Human Pathology 1995; 26: 979-86. Erro de citação: Parâmetro inválido "name:"white"" na etiqueta
<ref>. Os parâmetros suportados são: dir, follow, group, name. - ↑ Minehan KJ, Shaw EJ, Scheithauer BW, Davis DL, Onofrio BM. Spinal cord astrocitoma: pathological and treatment considerations. J Neurosurg 1995; 83: 590-5. Erro de citação: Parâmetro inválido "name:"minehan"" na etiqueta
<ref>. Os parâmetros suportados são: dir, follow, group, name. - ↑ Torres LFB, Noronha L, Telles JEQ. A importância da imunoistoqüímica no diagnóstico anátomo-patológico em hospital geral: análise de 885 casos. J Bras Pathol 1995; 31:65-71. Erro de citação: Parâmetro inválido "name:"torres"" na etiqueta
<ref>. Os parâmetros suportados são: dir, follow, group, name. - ↑ Bodey B, Zeltzer PM, Saldivar V, Kemshead J. Immunophenotyping of childhood astrocitomas with a library of monoclonal antibodies. Int J Cancer 1990; 45: 1079-87. Erro de citação: Parâmetro inválido "name:"bodey"" na etiqueta
<ref>. Os parâmetros suportados são: dir, follow, group, name. - ↑ Forsyth PA, Shaw EG, Scheithauer BW, O’ Fallon JR, Layton DD, Katzmann JA. Supratentorial pilocytic astrocitomas. A clinicopathologic, prognostic and flow cytometric study of 51 patients. Cancer 1993; 72: 1335-42. Erro de citação: Parâmetro inválido "name:"forsyth"" na etiqueta
<ref>. Os parâmetros suportados são: dir, follow, group, name. - ↑ Nishio Sh, Takeshita I, Fujii K, Fukui M. Supratentorial astrocytic tumours of childhood: a clinicopathologic study of 41 cases. Acta Neurochir (Wien) 1989; 101: 3-8. Erro de citação: Parâmetro inválido "name:"nishio"" na etiqueta
<ref>. Os parâmetros suportados são: dir, follow, group, name. - ↑ Valdueza JM, Lohnmann F, Dammann O, Hagel Ch, Eckert B, Freckmann N. Analysis of 20 primarily surgically treated chiasmatic/ hypothalamic pilocytic astrcytomas. Acta Neurochir (Wien) 1994; 126: 44-50. Erro de citação: Parâmetro inválido "name:"valdueza"" na etiqueta
<ref>. Os parâmetros suportados são: dir, follow, group, name. - ↑ Strong JA, Hatten HP, Brown MT et al. Pilocytic astrocitoma: correlation between the inicial imaging features and clinical agressiveness. AJR 1993; 161: 369-72. Erro de citação: Parâmetro inválido "name:"strong"" na etiqueta
<ref>. Os parâmetros suportados são: dir, follow, group, name. - ↑ Valdueza JM, Lohnmann F, Dammann O, Hagel Ch, Eckert B, Freckmann N. Analysis of 20 primarily surgically treated chiasmatic/ hypothalamic pilocytic astrcytomas. Acta Neurochir (Wien) 1994; 126: 44-50. Erro de citação: Parâmetro inválido "name:"valdueza"" na etiqueta
<ref>. Os parâmetros suportados são: dir, follow, group, name.
Bibliografia
- Torres L.F.B. [et all]. Astrocitoma pilocítico na infância: apresentação de seis casos. Jornal de Pediatria - Vol. 73, Nº3, 1997.
