Linfangioma
| Linfangioma | |
|---|---|
![]() | |
| Linfangioma cavernoso na língua | |
| Especialidade | cirurgia vascular, radiologia intervencionista, dermatologia, cirurgia plástica |
| Classificação e recursos externos | |
| CID-11 | XH9MR8 |
| CID-10 | D18.1 (ILDS D18.100) |
| CID-9 | 228.1 |
| CID-CID-O | 9170/0 |
| OMIM | 236100 |
| DiseasesDB | 7665 |
| MedlinePlus | 000148 |
| eMedicine | 1086806 |
| MeSH | D008202 |
Uma malformação linfática (ML), ou linfangioma (do grego "lympha", água clara e "oma", tumor[1]) é uma anomalia vascular congênita causada pelo desenvolvimento incorreto de células saudáveis (hamartoma) em vasos linfáticos. Esses tumores benignos são formadas por canais e/ou cistos contendo linfa em seu interior crescem em bebês, geralmente desde o nascimento. Aparecem com mais frequência em cabeça ou pescoço, sendo menos comum em extremidades e ainda menos comuns no tronco. Indolores e sem risco de se tornar um câncer, podem ser drenados, mas frequentemente re-aparecem.[2]
História
Em 1828, Redenbacher descreveu pela primeira vez um linfangioma. Em 1843, Wernher publicou o primeiro relato de caso de um higroma cístico (do grego "hygro-" significa fluido e "oma" significa tumor). Em 1965, Bill e Summer propuseram que higromas císticos e linfangiomas são variações de uma única entidade e que a sua localização determina a sua classificação.[3]
Classificação
Classificação da Sociedade Internacional de Estudo das Anomalias Vasculares (ISSVA)
De acordo com a definição da ISSVA:[4] as malformações linfáticas podem ser dividivas em 3 tipos:[5]
- Anomalias de vasos linfáticos e linfonodos, causando linfedema pela drenagem inadequada de linfa.
- Lesões tumorais compostas por cistos grandes ou diminutos.
- Desordens da circulação do quilo nos vasos linfáticos centrais.
Classificação tradicional
Tradicionalmente, os linfangiomas são classificados em 3 subtipos: capilar, cavernoso e higroma cístico, baseado nas suas características microscópicas. Um quarto subtipo, o hemangiolinfangioma também é reconhecido.[6]
- Linfangioma capilar
- Um linfangioma capilar é composto de vasos linfáticos de pequeno calibre, caracteristicamente localizado na epiderme.
- Linfangioma cavernoso
- Lesão única na derme que pode crescer durante a infância. Geralmente na cabeça, pescoço ou extremidades. Composto por canais linfáticos dilatados, um linfangioma cavernoso tipicamente desloca tecidos e órgãos adjacentes, podendo causar disfunção.
- Higroma cístico
- A lesão chamada de higroma cístico é uma ML característica do período neonatal e diagnosticada em ultra-som gestacional, entre a 10a e 14a semanas, causada pelo desenvolvimento anormal dos vasos linfáticos cervicais da linha média posterior. O termo foi generalizado erradamente para descrever outras formas de ML. Estas lesões congênitas se associam com erros cromossômicos, como aneuploidia. Outras fromas de ML, no entanto, não mostram esta associação. Lesões congênitas caraterizadas como ML macrocísticas cervicais gigantes são erradamente denominadas higroma cístico e podem se associar com compressão de vias aéreas, mas não com anomalias cromossômicas.
- Linfangioma circunscrito
- Formado por pequenas vesículas brancas (ou com conteúdo sanguíneo) em tecidos superficiais (pele ou mucosas), surgindo nos primeiros anos de vida. Tende a aumentar em número e a área da pele envolvida continua a se expandir. Indolor, sem prurido, as vesículas podem se romper espontaneamente causando algum incômodo.
- Hemangiolinfangioma
- Lesões com componente vascular tanto linfático, quanto venoso.
Estas formas de ML podem apresentar-se isoladas ou em várias combinações. Além disso, podem associar-se com outras anomalias vasculares em padrões característicos de lesões (síndromes), como a Síndrome de Klippel-Trenaunay-Weber ou a Síndrome de Parkes-Weber.
Classificação morfológica
Um linfangioma também podem ser classificado de acordo com a estrutura dos canais linfáticos que o compõem.
- Lesões Multicísticas
- Lesões com múltiplos cistos, os quais podem ser grandes (linfangiomas macrocísticos) e pouco numerosos (normalmente conectados entre si), pequenos (linfangiomas microcísticos) e em grande número ou uma combinação dos dois tipos (linfangiomas mistos).
- Lesões multifocais

- Raramente são macrocísticas, em geral se caracterizam por múltiplas lesões ou acometimento generalizado de várias regiões do corpo por ML microcísticas. Muitas vezes, têm componentes ósseos, que mostram uma imagem de "saca-bocados" ao raio X. O termo linfangiomatose não é adequado, sendo melhor utilizar ML generalizada. Estas lesões podem se associar com ML intratorácicas ou abdominais que levam ao acúmulo de linfa causando efusão pleural ou ascite.
- Doença de Gorham-Stout
- Uma rara patologia que deve ser distinguida de ML generalizadas com componente ósseo. O acometimento ósseo nesta doença é predominante e progressivo e o osso "desaparece", perdendo a definição da cortical. Isso contrasta com o aspecto de "saca-bocados" da lesão osteolítica das ML generalizadas. O envolvimento de partes moles é mínimo.[5]
Causas
Não se sabe ao certo como se formam as ML e muitas teorias foram propostas ao longo do tempo.[5] ML são lesões formadas por canais e/ou cistos contendo linfa em seu interior. Mal-formações linfáticas já estão presentes ao nascimento na maioria das vezes, porém em casos esporádicos tornam-se aparentes apenas em crianças maiores ou adultos.
A teoria mais aceita é de que brotos das vênulas embrionárias forma sacos linfáticos em torno da 7a semana, os quais se separam das veias originais, desenvolvem-se, unem-se em canais linfáticos e acabam por desembocar no sistema venoso novamente. Elas podem resultar de brotamento aberrante a partir de um saco linfático primordial, quando ocorre uma falha em se reconectar ao sistema venoso. A apresentação das lesões é muito variável e depende essencialmente das caraterísticas do órgão ou tecido onde a ML formou-se.
Fisiopatologia
Em 1976, Whimster estudou a patologia do linfangioma circunscrito, encontrando cisternas linfáticas no plano subcutâneo profundo, separados da rede normal da circulação linfática. Eles se comunicam com as vesículas linfáticos superficiais através de canais linfáticos verticais dilatados. Whimster teorizou que as cisternas poderiam vir de um saco linfático primitivo que não conseguiu se conectar com o resto do sistema linfático durante o desenvolvimento embrionário.[7]
A parede dos sacos primitivos sequestrados mostra uma espessa camada de fibras musculares que causa contrações rítmicas. Estas contrações aumentam a pressão intramural, fazendo com que os canais dilatados drenem das cisternas para a pele. Whimster sugeriu que as vesículas dos linfangiomas circunscritos são divertículos desses canais dilatados. Estudos radiográficos e vasculares linfáticos apoiam as observações de Whimster. Tais estudos revelam que grandes cisternas se estendem profundamente na pele e para além das lesões clinicamente evidentes. Linfangiomas profundamente localizados na derme não mostram evidência de comunicação com os vasos linfáticos regulares. A causa para a falha dos sacos linfáticos em se conectar com o sistema linfático não é conhecida. [2]
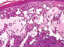
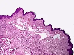
Microscopicamente, as vesículas em um linfangioma circunscrito são canais linfáticos dilatados expandindo a derme papilar. Eles podem ser associados com acantose e hiperqueratose. Há muitos canais na derme superior, muitas vezes se estendendo para o tecido subcutâneo (a camada mais profunda da derme, contendo gordura e tecido conjuntivo). Os vasos mais profundos têm grande calibre com paredes espessas que contêm musculatura lisa. O lúmen é preenchido com fluido linfático, mas muitas vezes contém glóbulos vermelhos, linfócitos, macrófagos, e neutrófilos. Os canais são revestidos com células endoteliais planas. O interstício tem muitas células linfóides e mostra evidência de fibroplasia (a formação de tecido fibroso). Nódulos (uma pequena massa de tecido ou agregação de células) em linfangiomas cavernosos são grandes canais, irregulares, na derme reticular e tecido subcutâneo que são revestidos por uma camada única de células endoteliais e uma camada incompleta de músculo liso. O estroma é constituído por tecido conjuntivo frouxo com uma grande quantidade de células inflamatórias. Estes tumores geralmente penetram a musculatura. O higroma cístico é histologicamente indistinguível de um linfangioma cavernoso. [7]
Epidemiologia
Linfangiomas são relativamente raros, sendo responsáveis por 4% de todos os tumores vasculares em crianças [8] Embora um linfangioma possa tornar-se evidente em qualquer idade, 50% são vistos no nascimento, [6] e 90% dos linfangiomas são evidentes aos 2 anos de idade. [6] Não há consenso sobre uma maior incidência por gênero ou raça.[2]
O linfangioma circunscrito se apresenta ao nascimento ou pouco depois. Vesículas ou outras anormalidades na pele podem não ser notados até vários anos após o nascimento.
O linfangioma cavernoso aparece pela primeira vez durante a infância, como um nódulo elástico, sem alterações da pele, na face, tronco ou extremidades. História familiar de linfangiomas anteriores é descrita.
O higroma cístico é tipicamente observado logo após o nascimento. [2]
Sintomas e evolução
As ML podem ocorrer em qualquer tecido ou órgão, exceto no sistema nervoso central. A pele sobre as ML tem aspecto normal na maioria das vezes. Uma malformação capilar na mesma região pode estar associada, especialmente em padrões característicos (sindrômicos). Esporadicamente, surgem vesículas claras que se tornam avermelhadas e liberam um líquido sero-sanguinolento. Lesões caracterizadas por canais linfáticos dilatados no subcutâneo associados com estas vesículas, desconectadas do restante do sistema linfático regional, são ML chamadas historicamente de linfangioma circunscrito.[4]
As ML evoluem naturalmente com flutuações de tamanho, que podem ser grandes. Ocasionalmente, podem regredir espontaneamente, o que, na verdade, deve tratar-se do esvaziamento temporário de cavidades repletas de líquido linfático. Mesmo lesões muito grandes podem apresentar este comportamento e há casos de desaparecimento de lesões gigantes do mediastino após o nascimento[9].
Linfangiomas circunscritos tendem a aumentar em número, e a área da pele envolvida continua a se expandir com o tempo. Geralmente, as lesões são assintomáticas ou não mostram qualquer evidência de doença, mas, eventualmente, os pacientes podem apresentar ruptura das vesículas com drenagem de líquido claro ou sanguinolento.
Linfangiomas cavernosos geralmente crescem rápido, de forma semelhante aos hemangiomas.
Higromas císticos causam grande aumento de volume no subcutâneo da região cervical. Se os cisto são drenados, eles rapidamente vão encher-se de volta com fluido. As lesões aumentam progressivamente se não forem tratadas.
Tratamento
O tratamento mais usado para linfangiomas é a extração cirúrgica completa. As grandes cisternas subcutâneas devem ser removidas para evitar que a lesão reapareça. Recidivas locais são comuns. A excisão completa de linfangiomas pode ser inviável e causar mais malefícios que benefícios. Este problema é o principal motivo para a alta taxa de recorrência. Ao invés de excisão simples pode-se usar crioterapia, escleroterapia, dissecção elétrica ou cauterização.[10] Higromas císticos podem ser tratados com injeção intratumoral de picibanil (OK432). Linfangiomas circunscritos podem ser tratados com laser de corante pulsado. Apenas um especialista pode indicar qual o tratamento mais adequado.
No Brasil, o Hospital Pequeno Príncipe, em Curitiba, realizou em 2022 uma radiologia intervencionista, cirurgia inédita no país até então, em Yasmin Garcia, que possuia um linfangioma raro atrás do olho, que fazia com que ele se projetasse para fora.[11]
Complicações
As lesões são desfigurantes e afetam a auto-estima dos pacientes. Além disso, podem inflamar/infectar frequentemente (celulite). Estas infecções conseguem se disseminar facilmente e podem, inclusive, levar a quadros de septicemia ameaçadores à vida. As vesículas relacionadas a algumas ML podem apresentar sangramento recorrente. Lesões macrocísticas sofrem sangramento intralesional e trombose com frequência. As lesões podem associar-se com desconforto e dor, às vezes incapacitante, especialmente se houver envolvimento da musculatura.
Prognóstico
O prognóstico para linfangioma circunscrito e linfangioma cavernoso é geralmente excelente. Estas condições podem se associar com sangramento pequeno, celulite recorrente, e vazamento de fluido linfático. Dois casos de linfangiossarcoma decorrentes de Linfangioma circunscrito foram relatados. No entanto, em ambos os pacientes, a lesão preexistente foi exposta a radioterapia.
No higroma cístico, grandes cistos podem causar disfagia, problemas respiratórios e infecções graves na região cervical. Pacientes com higroma cístico devem realizar análise citogenética, para determinar se eles têm anormalidades cromossômicas, e os pais devem receber aconselhamento genético, porque esta condição pode recorrer em gestações subsequentes [7]
Complicações após a remoção cirúrgica do higroma cístico incluem danos às estruturas do pescoço, infecção e recidiva da lesão [12]
Referências
- ↑ http://dictionary.reference.com/browse/lymph
- 1 2 3 4 http://emedicine.medscape.com/article/1086806-overview
- ↑ Conheça uma série de doenças e condições raras que ainda desafiam a medicina www:bol.com.br
- 1 2 ISSVA Classification of Vascular Anomalies, ©2014 International Society for the Study of Vascular Anomalies Available at "issva.org/classification"
- 1 2 3 Fishman SJ & Young AE. Slow-Flow Vascular Malformations, in Mulliken & Young's Vascular Anomalies, Hemangiomas and Malformations/ John B. Mulliken, Patricia E. Burrows, Steven J. Fishman. Second Edition. Oxford University Press, 2013.
- 1 2 3 Giguère CM, Bauman NM, Smith RJ; Bauman; Smith (dezembro de 2002). «New treatment options for lymphangioma in infants and children». The Annals of Otology, Rhinology, and Laryngology. 111 (12 Pt 1): 1066–75. PMID 12498366
- 1 2 3 Fernandez, Geover; Robert A Schwartz (2008). «eMedicine». Consultado em 4 de novembro de 2008
- ↑ Derm /topic 866 .htm# linfangioma no eMedicine.
- ↑ Wu MP, Wu RC, Lee JS, et al. Spontaneous resolution of fetal mediastinal cystic hygroma. Int J Gynecol Obstet 48:295, 1995.
- ↑ Mirza B, Ijaz L, Saleem M, Sheikh A. Different Modalities Used to Treat Concurrent Lymphangioma of Chest wall and Scrotum. J Cutan Aesthet Surg. 2010 Sep. 3(3):189-90. [Medline]. [Full Text].
- ↑ André Biernath (22 de setembro de 2022). «'O olho estava pressionado para fora do crânio': a cirurgia inédita que curou doença rara de menina brasileira». BBC News Brasil. Consultado em 25 de setembro de 2022. Cópia arquivada em 25 de setembro de 2022
- ↑ O'Reilly, Deirdre (2008). [http: //www.righthealth.com/Health/Lymphangioma/-od-definition_adam_1%25252F0001481-s «linfangioma»] Verifique valor
|url=(ajuda). Consultado em 16 de novembro de 2008
