Dengue

Dengue
A erupção cutânea típica observada na dengue
Especialidadeinfecciologia
Prevençãovacina
Classificação e recursos externos
CID-111D2Z
CID-10A97
CID-9061
OMIM614371
DiseasesDB3564
MedlinePlus001374
eMedicinemed/528
MeSHD003715
A Wikipédia não é um consultório médico. Leia o aviso médico 

Dengue é uma doença tropical infecciosa causada pelo vírus da dengue, um arbovírus da família Flaviviridae, gênero Flavivírus e que inclui quatro tipos imunológicos: DEN-1, DEN-2, DEN-3 e DEN-4.[1] Os sintomas incluem febre, dor de cabeça, dores musculares e articulares e uma erupção cutânea característica que é semelhante à causada pelo sarampo. Em uma pequena proporção de casos, a doença pode evoluir para a dengue hemorrágica com risco de morte, resultando em sangramento, baixos níveis de plaquetas sanguíneas, extravasamento de plasma no sangue ou até diminuição da pressão arterial a níveis perigosamente baixos.

A dengue é transmitida por várias espécies de mosquito do gênero Aedes, principalmente o Aedes aegypti. O vírus tem quatro tipos diferentes e a infecção por um deles dá proteção permanente para o mesmo sorotipo e imunidade parcial e temporária contra os outros três. Um contágio subsequente por algum tipo diferente do vírus aumenta o risco de complicações graves no paciente. A melhor forma de evitar a epidemia é a prevenção, através da redução ou destruição do habitat e da população de mosquitos transmissores e da limitação da exposição a picadas.

A dengue tem como hospedeiros vertebrados o ser humano e outros primatas, mas somente o primeiro apresenta manifestação clínica da infecção e período de viremia de aproximadamente sete dias. Nos demais primatas, a viremia é baixa e de curta duração.[2] Atualmente, a dengue é a arbovirose mais comum que atinge a humanidade, sendo responsável por cerca de 100 milhões de casos/ano em uma população de risco de 2,5 a 3 bilhões de seres humanos.[3]

O tratamento da dengue é de apoio, com reidratação oral ou intravenosa para os casos leves ou moderados e fluidos intravenosos e transfusão de sangue para os casos mais graves. O número de casos da doença tem aumentado dramaticamente desde os anos 1960, com cerca de 50 a 390 milhões de pessoas infectadas todos os anos. A dengue é endêmica do sudeste asiático e as primeiras descrições da doença datam de 1779, sendo que sua causa viral e seu modo de transmissão foram descobertos no início do século XX. A dengue tornou-se um problema global desde a Segunda Guerra Mundial e é endêmica em mais de 110 países diferentes, principalmente em regiões tropicais de Oceania, África Oriental, Caribe e América. Além de eliminar os mosquitos, pesquisas para o desenvolvimento de uma vacina contra a dengue e medicação diretamente orientada para esse tipo de vírus são formas de controlar a doenças.[4]

Etimologia

A origem da palavra "dengue" não é clara, mas uma das teorias afirma que o termo é derivado da frase Ka-Dinga pepo, no idioma africano suaíli, que descreve a doença como sendo causada por um "espírito do mal".[5]

Provavelmente, no entanto, o termo dengue é derivado da frase suaíli Ki-Dengu pepo, que descreve os ataques causados por espíritos do mal e, inicialmente, era usada para descrever a enfermidade que acometeu os ingleses durante a epidemia que afetou as Índias Ocidentais Espanholas entre 1927 e 1928.[2] Foi trazida para o continente americano a partir do Velho Mundo, com a colonização no final do século XVIII. Entretanto, não é possível afirmar, pelos registros históricos, que as epidemias foram causadas pelos vírus da dengue, visto que seus sintomas são similares aos de várias outras infecções, em especial, a febre amarela.[6]

História

O vírus da dengue, provavelmente, se originou de vírus que circulavam em primatas não humanos nas proximidades da península da Malásia. O crescimento populacional aproximou as habitações da região à selva e, assim, mosquitos transmitiram vírus ancestrais de primatas a humanos que, após mutações, originaram os quatro diferentes tipos de vírus da dengue atuais.[7]

O primeiro registro de um provável caso de dengue foi publicado numa enciclopédia médica chinesa da época da dinastia Jin (265-420). Os chineses se referiam à doença como "veneno da água" e sabiam que havia alguma associação com insetos voadores.[5][8] O principal vetor, o mosquito Aedes aegypti, se espalhou para fora da África durante os séculos XV a XIX, em parte devido ao aumento do comércio de escravos.[9] Houve relatos de epidemias no século XVII, mas os primeiros registros mais plausíveis de dengue datam de 1779 e 1780, quando uma epidemia varreu a Ásia, África e América do Norte. Dessa época até 1940, epidemias de dengue se tornaram frequentes.[8]

Em 1906, a transmissão por mosquitos do gênero Aedes foi confirmada. No ano seguinte, em 1907, foi demonstrado que a dengue é causada por um vírus, tornando-a a segunda doença na história, depois da febre amarela, de etiologia viral confirmada. Posteriormente, pesquisas de John Burton Cleland e Joseph Franklin Siler completaram a compreensão básica da transmissão da dengue.[10]

A acentuada propagação da dengue durante e após a Segunda Guerra Mundial tem sido atribuída a perturbações ecológicas. As mesmas tendências também levaram à disseminação de diferentes sorotipos da doença para novas áreas e ao surgimento da dengue causadora da febre hemorrágica. Esta forma grave da doença foi relatada pela primeira vez em 1953, nas Filipinas. Na década de 1970, a forma grave da doença tornou-se uma das principais causas de mortalidade infantil e apareceu também na região do Pacífico e na América.[8] A dengue hemorrágica e a síndrome do choque da dengue foram observadas pela primeira vez na América do Sul e Central em 1981, a DENV-2 foi contraída por pessoas que haviam sido previamente infectadas com o DENV-1 vários anos antes.[11]

Sinais e sintomas

Representação esquemática dos sintomas da dengue

Normalmente, as pessoas infectadas com o vírus da dengue são assintomáticas (cerca de 80%) ou apenas apresentam sintomas leves, como uma febre simples.[12][13][14] Outros pacientes apresentam a doença de modo mais grave (5%) e uma pequena proporção tem risco de morte.[12][14] O período de incubação (tempo entre a exposição e o aparecimento dos sintomas) varia de 3 a 14 dias, mas na maioria das vezes é de 4 a 7 dias.[15][16] Sendo assim, suspeita-se que viajantes que retornem de áreas endêmicas tenham dengue se eles apresentarem febre, ou outros sintomas característicos, que começarem a surgir a partir de 14 dias após retornarem.[17] As crianças muitas vezes apresentam sintomas semelhantes aos do resfriado comum e da gastroenterite (vômitos e diarreia)[18] e têm um risco maior de complicações graves;[9][17] embora os sintomas iniciais sejam geralmente leves, eles incluem febre alta.[9]

Curso clínico

Os sintomas característicos da dengue são febre de início súbito, dor de cabeça (normalmente localizada atrás dos olhos), dores musculares e articulares, além de erupções cutâneas. O nome alternativo para a dengue, "febre quebra-ossos", vem da dor causada em músculos e articulações.[12][19] O curso da infecção é dividido em três fases: febril, crítica e de recuperação.[20]

A fase febril envolve febre alta, potencialmente acima de 40 °C, associada a dor de cabeça e dor generalizada; esta fase geralmente dura de dois a sete dias.[19][20] Podem também ocorrer vômitos.[9] A erupção ocorre em 50 a 80% dos pacientes[19][21] no primeiro ou no segundo dia de sintomas, como pele corada, ou mais tarde no curso da doença (dias 4-7), como uma erupção morbiliforme, (semelhante a causada pelo sarampo).[21][22] Algumas petéquias (pequenas manchas vermelhas que não desaparecem quando a pele é pressionada, as quais são causadas por ruptura de capilares) podem aparecer nesta fase,[20] assim como algum sangramento leve da membrana mucosa da boca e do nariz.[17][19] A febre em si é classicamente de natureza bifásica, depois é interrompida e, em seguida, volta durante um ou dois dias, embora muitas vezes haja grande variação na forma como este padrão realmente acontece em cada pessoa.[11][22]

Curso clínico da dengue[20]

Em algumas pessoas, a doença prossegue para uma fase crítica logo após o período de intervalo da febre[9] e, normalmente, durando de um a dois dias.[20] Durante esta fase, pode haver acumulação significativa de fluido nas cavidades torácica e abdominal, devido ao aumento da permeabilidade e do vazamentos dos capilares sanguíneos. Isto leva à depleção de fluido a partir da circulação e hipoperfusão, a diminuição do fornecimento de sangue para os órgãos vitais.[20] Durante esta fase, pode ocorrer a disfunção de órgãos e sangramentos graves, normalmente a partir do trato gastrointestinal.[17][20] SCD (síndrome do choque da dengue) e hemorragias (dengue hemorrágica) ocorrem em menos de 5% de todos os casos de dengue.[17] No entanto aqueles que tenham sido previamente infectados com outro sorotipo do vírus da dengue ("infecção secundária") têm um risco aumentado.[17][23] Essa fase crítica, apesar de rara, geralmente ocorre mais em crianças e em adultos jovens.[9] A febre hemorrágica da dengue (FHD) e a síndrome de choque da dengue (SCD) atingem pelo menos 500 mil pessoas todos os anos e apresentam uma taxa de mortalidade de até 10% para pacientes hospitalizados e de 30% para pacientes que não receberam tratamento.[6]

A fase de recuperação ocorre em seguida, com a reabsorção do líquido que vazou para a corrente sanguínea.[20] Isso geralmente dura de dois a três dias.[17] A melhora é muitas vezes surpreendente e pode ser acompanhada por grave coceira e por uma frequência cardíaca lenta.[17][20] Outra erupção pode ocorrer, seja maculopapular ou vasculítica, que é seguida por uma descamação da pele.[9] Durante esta fase, pode ocorrer um estado de sobrecarga de líquidos que, se afetar o cérebro, pode causar um redução do nível de consciência ou convulsões no paciente.[17] A sensação de fadiga pode durar algumas semanas em adultos.[9]

Complicações relacionadas

A dengue pode ocasionalmente afetar vários outros sistemas do corpo,[20] isoladamente ou juntamente com os sintomas clássicos da doença.[18] Uma reduçao de nível da consciência ocorre entre 0,5 e 6% dos casos graves de dengue, o que é atribuível tanto a infecção do cérebro pelo vírus ou indiretamente como resultado da disfunção de órgãos vitais, como, por exemplo, o fígado.[11][18]

Outras perturbações neurológicas foram relatadas em casos da doença, tais como mielite transversa e síndrome de Guillain-Barré.[18] Infecção do coração e insuficiência hepática aguda estão entre as complicações mais raras.[17][20]

Causas

Virologia

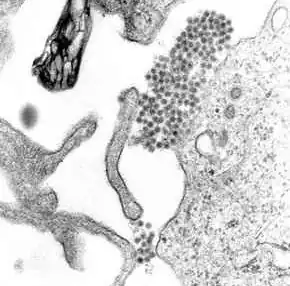
Uma microfotografia MET mostrando vírions do vírus da dengue (aglomerado de pontos escuros próximo ao centro).

O vírus da dengue (DENV) é um vírus RNA da família Flaviviridae; gênero Flavivirus. Entre outros membros do mesmo gênero estão os vírus da febre amarela, da febre do Nilo Ocidental, da encefalite de São Luís, encefalite japonesa, da encefalite transmitida por carrapatos, da doença da floresta de Kyasanur e da febre hemorrágica de Omsk. A maioria deles são transmitidos por artrópodes (mosquitos ou carrapatos) e, portanto, também são conhecidos como arbovírus, termo derivado da expressão em língua inglesa "arthropod-borne viruses".[11]

O genoma (material genético) do vírus da dengue contém cerca de 11 000 bases de nucleotídeos, que codificam três tipos diferentes de moléculas de proteínas (C, prM e E) que formam a partícula viral e sete outros tipos de moléculas de proteína (NS1, NS2A, NS2B, NS3, NS4A, NS4B e NS5) que apenas são encontradas em células hospedeiras infectadas e são necessárias para a replicação do vírus.[23][24] Existem quatro cepas do vírus, que são chamadas de serotipos, as quais são referidas como DEN-1, DEN-2, DEN-3 e DEN-4.[13] As distinções entre os serotipos baseia-se na sua antigenicidade.[25]

Transmissão

A transmissão se faz pela picada do mosquito Aedes aegypti.[13] Eles normalmente picam durante o dia, principalmente no início da manhã e à noite, mas são capazes de morder e espalhar a infecção em qualquer hora do dia, durante todo o ano.[26] Entre as outras espécies de Aedes que transmitem a doença estão o A. albopictus, o A. polynesiensis e o A. scutellaris.[13] Os seres humanos são o principal hospedeiro do vírus,[11][13] mas também circula em primatas.[27]

Mosquito Aedes aegypti, um dos vetores da dengue.

A infecção pode ser adquirida através de uma única picada.[28] Uma fêmea do mosquito que se alimenta do sangue de uma pessoa infectada com dengue, durante o período febril inicial de 2 a 10 dias, infecta-se com o vírus nas células que revestem seu intestino.[29] Depois de cerca de 8 a 10 dias, o vírus propaga-se para outros tecidos do inseto, como a glândula salivar do mosquito e assim é subsequentemente liberado em sua saliva. O vírus parece não ter efeito negativo sobre o inseto, que se mantém infectado por toda a vida sem apresentar sintomas. O Aedes aegypti prefere colocar seus ovos em recipientes artificiais de água para viver em estreita proximidade com os seres humanos e para se alimentar de pessoas ao invés de outros seres vertebrados.[30]

A dengue também pode ser transmitida através de sangue e de derivados infectados, além de também poder ser transmitida através da doação de órgãos.[31][32] Em países como Singapura, onde a dengue é endêmica, o risco é estimado entre 1,6 a 6 para cada 10 000 transfusões de sangue.[33] A transmissão vertical (de mãe para filho) durante a gravidez ou no parto já foi relatada.[34] Outros modos de transmissão de pessoa para pessoa também já foram relatados, mas são muito incomuns.[19] A variação genética no vírus da dengue é específica da região, sugerindo que o estabelecimento da doença em novos territórios é relativamente pouco frequente, apesar da dengue estar emergente em novas regiões do planeta nas últimas décadas.[9]

Não há transmissão por contato direto de um doente ou de suas secreções com uma pessoa sadia, nem de fontes de água ou alimento. Na Ásia e na África alguns macacos silvestres podem contrair dengue e assim serem usados como vetores, porém na América do Sul os macacos demonstraram baixa viremia, provavelmente insuficiente, e não há estudos comprovando que eles podem ser vetores da doença.[35]

Predisposição

A forma grave da doença é mais comum em bebês e crianças pequenas e, em contraste com muitas outras infecções, é mais comum em crianças que estão relativamente bem nutridas.[17] Outro fator de risco para a forma grave da doença incluem: sexo feminino, índice de massa corporal (IMC) elevado,[9] e carga viral.[36] Embora cada sorotipo possa causar todo o espectro de doença,[23] a cepa do vírus é um fator de risco.[9] Acredita-se que a infecção por um sorotipo produz imunidade vitalícia para este determinado tipo, mas a proteção é apenas de curto prazo contra os outros três tipos.[13][19] O risco de doença grave por infecção secundária aumenta se alguém previamente exposto ao sorotipo DENV-1 contrair o sorotipo DENV-2 e DENV-3, ou se alguém previamente exposto ao DENV-3 adquirir o DENV-2. A dengue pode ser fatal em pessoas com doenças crônicas, como diabetes e asma.[24]

Polimorfismos (variações normais) em genes específicos têm sido associados com um risco aumentado de complicações graves da dengue. Os exemplos incluem os genes que codificam as proteínas conhecidas como TNFα, lectina de ligação à manose, CTLA4,[12] TGFβ,[23] DC-SIGN, PLCE1, e alelos específicos de antígenos leucocitários humanos originados por variações no gene HLA-B.[9][24] Uma anormalidade genética comum, especialmente em pessoas africanas, conhecida como deficiência de glicose-6-fosfato desidrogenase, parece aumentar o risco de contrair dengue.[36] Os polimorfismos nos genes para o receptor de vitamina D e FcγR parecem oferecer proteção contra a forma grave da doença nas infecções secundárias por dengue.[24]

Diagnóstico

Sinais de alerta[9][37]
Dor abdominal
Vômitos constantes
Alargamento do fígado
Sangramento das mucosas
Alto nível de hematócritos
com baixo nível de plaquetas
Letargia ou agitação
Efusões de fluidos corporais

O diagnóstico da dengue é geralmente feito clinicamente, com base nos sintomas relatados e em exames físicos, o que se aplica especialmente em áreas endêmicas.[12] No entanto, os sintomas iniciais da doença podem ser difíceis de diferenciar dos de outras infecções virais.[17] Um diagnóstico provável é feito com base em sinal de febre e de mais dois dos seguintes sintomas: náuseas e vômitos, erupções cutâneas, dores generalizadas, baixa contagem de células brancas do sangue, resultado positivo no teste do torniquete ou qualquer outro sinal de alerta (ver tabela ao lado) em alguma pessoa que viva em uma área endêmica.[37] Sinais de aviso normalmente ocorrem antes do início de um caso de dengue grave.[20] O teste do torniquete, que é particularmente útil em locais onde exames laboratoriais não estão prontamente disponíveis, envolve a aplicação de um torniquete de pressão arterial entre a pressão sistólica e diastólica por cinco minutos, seguido pela contagem de todas as hemorragias petéquias que surgirem; um número maior torna o diagnóstico de dengue mais provável.[20][38]

O diagnóstico deve ser considerado em pessoas que desenvolverem febre pelo prazo de duas semanas e que esteja em regiões nos trópicos ou subtrópicos.[9] Pode ser difícil distinguir a febre de dengue da chicungunha, uma infecção viral similar que partilha de muitos de seus sintomas e ocorre em partes similares do mundo em relação a dengue.[19] Muitas vezes, pesquisas são realizadas para excluir outras condições que causem sintomas semelhantes, como malária, leptospirose, febre hemorrágica viral, febre tifoide, doença meningocócica, sarampo e gripe.[17][39]

A primeira alteração detectável em exames laboratoriais é uma baixa contagem de células brancas do sangue, o que pode ser seguido por baixo nível de plaquetas e acidose metabólica.[17] Níveis moderadamente elevados de aminotransferase (AST e ALT) a partir do fígado são comumente associados com a baixa de plaquetas e de células brancas do sangue.[9] No estágio grave da doença, os resultados indicam de fuga de plasma em hemoconcentração (como indicado por um aumento dos hematócritos) e hipoalbuminemia.[17] Derrames pleurais ou ascites podem ser detectadas por meio de exame físico quando grandes,[17] mas a demonstração de fluido no ultrassom pode auxiliar na identificação precoce da síndrome de choque da dengue.[12][17] O uso de ultrassom é limitado pela falta de disponibilidade em muitas regiões.[12] A síndrome de choque da dengue está presente se a pressão arterial cai para ≤20 mm Hg, juntamente com o colapso vascular periférico.[9] O colapso vascular é determinado em crianças através de recarga capilar atrasada, aumento da frequência cardíaca ou extremidades frias.[20]

Classificação

A classificação de 2009 da Organização Mundial da Saúde (OMS) divide a dengue em dois grupos: complicadas e graves.[12][37] Isto substituiu a classificação de 1997 da OMS, que precisava ser simplificada, uma vez que tinha sido considerada muito restritiva, embora a classificação mais antiga ainda seja amplamente utilizada,[37] como pelo Escritório Regional da Organização Mundial da Saúde para o Sudeste da Ásia em 2011.[40] A dengue grave é definida como aquela associada com hemorragia grave, disfunção orgânica grave ou extravasamento de plasma grave , enquanto todos os outros casos são considerados mais simples.[37] A classificação de 1997 da dengue a dividia em febre indiferenciada, dengue e febre hemorrágica de dengue.[17][41] A febre hemorrágica da dengue foi subdividido ainda mais em cinco graus diferentes. O grau I é a presença apenas de contusões ou um resultado positivo do teste do torniquete em alguém com febre; o grau II é a presença de sangramento espontâneo na pele e em outros lugares; o grau III é a evidência clínica de choque; enquanto o grau IV é um choque tão grave que a pressão arterial e o pulso não podem ser detectados.[41] Os graus III e IV são referidos como "síndrome de choque da dengue".[37][41]

Testes de laboratório

Quando os testes de laboratório para dengue são positivos, onde o dia zero é o início dos sintomas, primeiro refere-se em pessoas com uma infecção primária e o segundo refere-se àqueles com uma infecção secundária.[9]

O diagnóstico da dengue pode ser confirmado por testes microbiológicos de laboratório.[37][42] Isto pode ser feito pelo isolamento do vírus em cultura celular, a detecção de ácido nucleico por PCR, a detecção de anticorpos virais (tais como, por NS1) ou de anticorpos específicos (sorologia).[24][39] O isolamento do vírus e a detecção de ácidos nucleicos são mais precisos do que a detecção de antígenos, mas estes testes não são amplamente disponíveis, devido ao seu maior custo.[39] A detecção de NS1 durante a fase febril de uma infecção primária pode ser superior a 90%, porém apenas entre 60 e 80% em infecções subsequentes.[9] Todos os testes podem ser negativos nas fases iniciais da doença.[17][24] O PCR e a detecção de antígeno viral são mais precisos nos primeiros sete dias.[9] Em 2012 foi introduzido um teste de PCR, que pode ser executado em equipamentos usados para diagnosticar a gripe; este é susceptível de melhorar o acesso ao diagnóstico baseado em PCR.[43]

Estes testes de laboratório são apenas de valor diagnóstico durante a fase aguda da doença , com exceção da sorologia . Os testes de anticorpos específicos do vírus do dengue, tipos IgG e IgM, podem ser úteis na confirmação de um diagnóstico nas fases mais avançadas da infecção. IgG e IgM são produzidos depois de entre 5 e 7 dias. Os níveis mais altos de IgM são detectados após uma infecção primária, mas o IgM também é produzido na reinfecção. O IgM se torna indetectável entre 30 e 90 dias após a infecção primária, mas após reinfecções. IgG, pelo contrário, permanece detectável por mais de 60 anos e, na ausência de sintomas, é um indicador útil de infecções anteriores. Depois de uma infecção primária, o IgG atinge níveis de pico no sangue após 14-21 dias. Em re-infecções subsequentes, os níveis de pico são geralmente mais elevados. IgG e IgM proporcionam imunidade protetora para o serótipo do vírus infectante.[19][24] O teste de laboratório para os anticorpos IgG e IgM podem reagir de forma cruzada com outros Flavivírus e podem resultar em um falso positivo após infecções recentes ou vacinas com o vírus da febre amarela ou a encefalite japonesa.[9] A detecção de IgG sozinho não é considerada um diagnóstico, a menos que as amostras de sangue sejam coletadas há 14 dias e seja detectado um aumento maior do que quatro vezes nos níveis de IgG específico. Numa pessoa com sintomas, a detecção de IgM é considerada um diagnóstico.[16]

Tratamento

Não há nenhuma droga antiviral específica para a dengue, portanto manter o equilíbrio hídrico (hidratação) adequado é importante para o paciente.[9] O tratamento depende dos sintomas apresentados, variando desde terapia de reidratação oral em casa com acompanhamento até a internação com a administração de fluidos intravenosos e/ou transfusão de sangue.[44] A decisão de internação hospitalar geralmente é baseada na presença dos "sinais de alerta" listados acima, especialmente em pessoas com condições de saúde preexistentes.[17]

Campanha de saúde pública no Paraguai indicando formas de se prevenir contra a dengue.

A hidratação intravenosa normalmente só é necessária durante um ou dois dias.[44] A taxa de administração de fluido é titulada em débito urinário de 0,5–1 mL/kg/h, sinais vitais estáveis e normalização do hematócrito.[17] Procedimentos médicos invasivos, tais como intubação nasogástrica, intramuscular e punções arteriais são evitados, tendo em vista o risco de sangramento.[17] O paracetamol (acetaminofen) ou a dipirona (metamizol) são usados para a febre e o desconforto, enquanto anti-inflamatórios não esteroides, como o ibuprofeno e a aspirina, devem ser evitados, visto que podem agravar o risco de hemorragia.[44] A transfusão de sangue é iniciada mais cedo em pacientes com sinais vitais instáveis e no caso de uma diminuição no hematócrito, ao invés de esperar a concentração de hemoglobina diminuir a algum nível de "gatilho de transfusão" pré-determinado.[45] Hemácias ou sangue total são recomendados, enquanto plaquetas e plasma geralmente não são.[45]

Durante a fase de recuperação de fluidos intravenosos são interrompidos para evitar um estado de sobrecarga de líquidos.[17] Se a pessoa estiver fora da fase crítica da doença, um ciclo diurético com furosemida pode ser usado para eliminar o excesso de líquido da circulação.[45] Em caso mais graves, quando ocorre perda de fluido estimada em 5% ou mais da massa corporal, é feita uma reidratação endovenosa com um bolus de solução glicofisiológica (1:1 a 1:2) de 10-20 ml/kg mantendo-se infusão contínua numa velocidade inicial de 6-7 ml/kg/hora. (ou seja, injetar soro fisiológico na veia para repor a água que foi perdida suando, vomitando, urinando e sangrando). Caso não haja melhora inicial aumenta-se a velocidade do soro para 10 ml/kg/h ou até 15 ml/kg/h nos casos refratários. Se não houver melhora, recomenda-se monitorização da pressão venosa e a colocação de sonda vesical de demora para controle da diurese. Após essa fase, não havendo estabilização clínica e laboratorial, avalia-se a necessidade de drogas vasoativas e de sangue total (10ml/kg) para queda importante no hematócrito ou alternativamente plasma, albumina ou colóides artificiais (10-20ml/kg) no caso de elevação do hematócrito.[46]

Sangramentos podem ocorrer por causa da síndrome de choques da dengue (SCD) e a coagulação do sangue, geralmente agravada por medicamentos coagulantes, faz com que o nível de plaquetas fique abaixo do nível funcional mínimo (trombocitopenia). Nesse caso pode ser necessário transfusão de sangue, caso o soro não seja suficiente ou já tenha sido usado excessivamente.[47] A monitorização hemodinâmica ou da pressão arterial deve ser usada para identificar os casos mais graves. Soluções cristalóides são mais eficazes e econômicas que as colóides. O uso de corticóides é desaconselhado.[48]

Vários novos tratamentos tem sido sugeridos para lidar com as citocinas e toxinas envolvidas na infecção. Tem sido estudados tratamentos com Inibidores do fator ativador de plaquetas (PAF), pentoxifilina, antioxidantes, n-acetilcisteína, além de inibidores das endorfinas naturais como a naloxona e de antagonistas da bradicinina. O uso de inibidores do óxido nítrico pode ser benéfico principalmente nos casos de hipotensão persistente.[49] O uso de infusão contínua de azul de metileno, também mostrou-se benéfico e com toxicidade mínima.[50]

Prevenção

Fotografia da década de 1920 mostrando esforços para dispersar a água parada e, assim, diminuir as populações de mosquitos

A prevenção depende do controle e da proteção contra as picadas do mosquito transmissor. A Organização Mundial da Saúde, recomenda um programa integrado de controle e prevenção que consiste em cinco itens:[51]

  1. Advogar e criar mobilização social e legislação para assegurar que os organismos e as comunidades de saúde pública sejam reforçadas;
  2. A colaboração entre a saúde e outros setores (público e privado);
  3. Uma abordagem integrada para o controle da doença e para maximizar a utilização dos recursos;
  4. Tomada de decisão baseada em evidências para assegurar que quaisquer intervenções sejam direcionados de forma adequada, e
  5. Desenvolvimento das capacidades para garantir uma resposta adequada à situação local.

O método principal para controlar o A. aegypti é eliminando seus habitats.[51] Isto é feito esvaziando recipientes de água, ou por adição de insecticidas ou agentes de controlo biológico a estas áreas,[51] embora a pulverização de insecticidas a base de organofosfato ou piretróide não seja considerada eficaz.[14] Reduzir o acúmulo de água através da modificação ambiental é o método preferido de controle, dadas as preocupações do efeito negativo sobre a saúde que o uso de inseticidas causa e também dificuldades logísticas com os agentes de controle.[51]

Há opiniões divergentes quando ao tipo de habitat preferido do mosquito,[52] o Instituto Oswaldo Cruz afirma que o A. aegypti só deposita seus ovos em água limpa, enquanto as larvas encontradas em águas sujas seriam o mosquito comum Culex ou popularmente "pernilongo";[53] enquanto vários outros pesquisadores ao longo do tempo determinaram escalas variadas de sujidade da água que variam de água limpa com alguma matéria orgânica presente, água limpa,[nota 1] moderadamente limpa,[nota 2] tanto a água limpa quando a suja,[nota 3] todos os tipos exceto a água extremamente suja como a água de fossa séptica ou poluída com dejetos (urina e fezes),[nota 4] a larva pode existir em água com pouco nutrientes,[nota 5] mas geralmente a água limpa possui fragmentos de nutrientes ou restos orgânicos.

As pessoas podem evitar picadas de mosquitos, vestindo roupas que cubram totalmente a pele, usando mosquiteiros no leito ao dormir e/ou aplicando repelente de insetos sendo o DEET o mais efetivo.[28]

Pesquisa

Agentes de saúde pública liberando P. reticulata para desova em um lago artificial no bairro Lago Norte de Brasília, Brasil, como parte de um esforço de controle de vetores

Os esforços de pesquisa para prevenir e tratar a dengue incluem vários meios de controle de vetores,[54] o desenvolvimento de vacinas e medicamentos antivirais.[55]

Com relação ao controle de vetores, uma série de novos métodos tem sido utilizada para reduzir o número de mosquitos, com algum sucesso, incluindo a colocação de peixes guppy (Poecilia reticulata) ou copépodes em água parada para comer as larvas de mosquitos.[54] Também estão em curso tentativas de infectar a população de mosquitos com bactérias do gênero Wolbachia, que faz com que os mosquitos se tornem parcialmente resistentes ao vírus da dengue.[9][56] Há também ensaios com A. aegypti masculinos geneticamente modificados que, após cruzarem com as fêmeas, geram descendentes incapazes de voar.[57]

Existem programas que trabalham no desenvolvimento de uma vacina contra a dengue que cubra todos os quatro serotipos.[55] Agora que há um quinto serotipo, este terá de ser incluso.[58] Uma das principais preocupações é que uma vacina possa aumentar o risco de casos graves da doença através da melhora dependente de anticorpos (ADE).[59] A vacina ideal seria segura, eficaz após uma ou duas injeções, abrangente a todos os sorotipos, não contribuinte para a ADE, e facilmente transportada e armazenada e ao mesmo tempo acessível e de baixo custo.[59] Em 2012, várias vacinas foram submetidas a testes.[59][60] A mais desenvolvida baseia-se numa combinação enfraquecida do vírus da febre amarela e cada um dos quatro serotipos de dengue.[60][61] Os primeiros produtos tornaram-se disponíveis comercialmente em 2015.[55] Em 2017, o fabricante desta vacina recomendou que fosse utilizada apenas nos casos em que o indivíduo tenha já sido previamente infectado pelo vírus, caso contrário, existem evidências que sugerem que a vacina agrava eventuais futuras infecções do dengue.[62]

Além de tentativas de controlar a propagação do mosquito do gênero Aedes e trabalhos no desenvolvimento de uma vacina, há esforços em curso para desenvolver medicamentos antivirais que seriam usados para tratar casos de dengue e evitar complicações graves.[63][64] A descoberta da estrutura das proteínas virais pode auxiliar no desenvolvimento de fármacos eficazes.[64] Existem vários alvos plausíveis. A primeira abordagem é a inibição da ARN polimerase viral ARN-dependente (codificada por NS5), que copia o material genético do vírus, com análogos nucleosídeos. Em segundo lugar, pode ser possível desenvolver inibidores específicos da protease viral (codificada por NS3), que emendam proteínas virais.[65] Por fim, pode ser possível desenvolver inibidores de fusão, que param o vírus nas células, ou inibidores do processo de nivelamento Cap 5', que são necessários para a replicação viral.[63]

Vacina

A vacina contra a dengue é uma vacina usada para prevenir a dengue em humanos.[66] O desenvolvimento de vacinas contra a dengue começou na década de 1920, mas foi prejudicado pela necessidade de criar imunidade contra os quatro sorotipos da dengue.[67][68]

Desde 2022, há duas vacinas disponíveis comercialmente e vendidas sob as marcas Dengvaxia e Qdenga.[69] A Qdenga é indicada para quem nunca teve uma infecção por dengue.[70] Já a Dengvaxia é recomendada apenas para quem já teve a doença ou para populações em que a maioria das pessoas já foi infectada[69] porque ela pode aumentar o risco de dengue grave naqueles que não foram infectados anteriormente.[71][69] Em 2017, mais de 733.000 crianças e mais de 50.000 voluntários adultos foram vacinados com a Dengvaxia independentemente do status sorológico, o que gerou uma polêmica .[72]

Em 2025, o Instituto Butantan registrou a vacina Butantan-DV, do tipo tetravalente.[73]

Existem outras vacinas candidatas em desenvolvimento, incluindo vacinas vivas atenuadas, inativadas, de DNA e de subunidades.[67]

Epidemiologia

Aplicando-se o método de estimar taxas de substituição de nucleotídeos para calcular o tempo de divergência de populações, a partir de dados conhecidos atualmente, estima-se que os quatro sorotipos do vírus da dengue tenham surgido há cerca de 2000 anos e que o rápido aumento da população viral e a explosão da diversidade genética tenham ocorrido há, aproximadamente, 200 anos, coincidindo com o que conhecemos por emergência da dengue em registros históricos, a saber:

  • Primeira fase: Separação do vírus dos demais flavivírus. Esta separação pode ter ocorrido há 2000 anos.
  • Segunda fase: O vírus tornou-se sustentável na espécie humana. É provável que fosse, primariamente, silvestre, circulando em macacos no velho mundo e mudando para doença humana com transmissão em ambiente urbano, no fim do século XVIII.
  • Terceira fase: Em meados da década iniciada em 1950 ocorreram os primeiros casos notificados da dengue hemorrágica.[6]
Distribuição da dengue em 2006
  Dengue epidêmica e A. aegypti
  A. aegypti, sem dengue epidêmica
Esperança de vida corrigida pela incapacidade para a Dengue por 100 000 habitantes em 2002.
  sem dados
   10
  10–25
  25–50
  50–100
  100–500
  500–1000
  1000–2500
  2500–5000
  5000–7500
  7500-10000
  10000-50000
   50000

O impacto dessa doença sobre a população humana é notado, não só pelo desconforto que causa, como pela perda de vidas, principalmente entre crianças. Na Ásia, é a segunda causa de internamentos hospitalares de crianças. Há, também, prejuízos econômicos expressos em gastos com tratamento, hospitalização, controle dos vetores, absentismo no trabalho e perdas com turismo.[3][6] O ressurgimento da dengue, em escala global, é atribuído a diversos fatores, ainda não bem conhecidos. Os mais importantes estão relacionados a seguir: as medidas de controle dos vetores de dengue, nos países onde são endêmicos, são poucas ou inexistentes; o crescimento da população humana com grandes mudanças demográficas; a expansão e alteração desordenadas do ambiente urbano, com infraestrutura sanitária deficiente, propiciando o aumento da densidade da população vetora; o aumento acentuado no intercâmbio comercial entre múltiplos países e consequente aumento no número de viagens aéreas, marítimas e fluviais, favorecendo a dispersão dos vetores e dos agentes infecciosos.[6]

Qualquer que seja a causa, o aumento da variabilidade genética do vírus da dengue é observação que se reveste de extrema importância porque as populações humanas estão sendo expostas a diversas cepas virais, e algumas podem escapar da proteção imunológica obtida com a exposição prévia ao sorotipo. Acresce considerar que podem surgir cepas com patogenicidade e infectividade aumentadas e que populações silvestres do vírus dengue, geneticamente diferentes, quando introduzidas em populações de hospedeiros, podem desencadear epidemias. Embora as populações de vírus com sequências de nucleotídeos conhecidas sejam esparsas, especialmente das populações africanas, encontraram-se quatro genótipos para o DEN-2 e DEN-3 e dois para o DEN-1 e DEN-4, com diversidade máxima de aminoácidos, de aproximadamente 10% para o gene E. Mesmo não se dispondo de amostras históricas para se avaliarem as possíveis alterações genéticas através do tempo, as observações mostram que a variabilidade genética está aumentando.[6]

No entanto, o fator de maior preocupação é que a diversidade genética dos quatro subtipos de vírus dengue está provavelmente ligada ao crescimento da população humana, podendo aumentar no futuro. A alta variabilidade genética do vírus pode estar relacionada com o surgimento de casos graves da doença, causados, possivelmente, pelo efeito anticorpo-dependente em resposta a populações virais geneticamente diferentes.[6]

Epidemias da forma hemorrágica da doença têm ocorrido na Ásia, a partir da década de 1950, e no sul do Pacífico, na dos 80. Entretanto, alguns autores consideram que a doença não seja tão recente, podendo ter ocorrido nos Estados Unidos, África do Sul e Ásia, no fim do século XIX e início do XX.[74] Durante a epidemia que ocorreu em Cuba, em 1981, foi relatado o primeiro de caso de dengue hemorrágica, fora do sudeste da Ásia e Pacífico. Este foi considerado o evento mais importante em relação à doença nas Américas.[75] Naquela ocasião, foram notificados 344.203 casos clínicos de dengue,[3] sendo 34 mil casos de FHD,[6] 10.312 das formas mais severas, 158 óbitos (101 em crianças). O custo estimado da epidemia foi de 103 milhões de dólares.[3]

Entre 1995 e o início de 2001, foram notificados à Organização Pan-Americana da Saúde - OPAS, por 44 países das Américas, 2.471.505 casos de dengue, dentre eles, 48.154 da forma hemorrágica e 563 óbitos. O Brasil, o México, a Colômbia, a Venezuela, a Nicarágua e Honduras apresentaram número elevado de notificações, com pequena variação ao longo do período, seguidos por Costa Rica, El Salvador, Guatemala, Panamá, Porto Rico, Guiana Francesa, Suriname, Jamaica e Trinidad & Tobago. Nota-se a quase ausência de casos nos Estados Unidos, que notificaram somente sete, em 1995. A Argentina compareceu a partir de 1998 e o Paraguai, a partir de 1999. Os casos de dengue hemorrágica e óbitos acompanham a distribuição descrita acima, e parece não terem relação com os sorotipos circulantes. No Brasil, os sorotipos registrados foram o 1 e o 2. Somente no ano de 2000 registrou-se o sorotipo 3. A Guatemala notificou a circulação dos quatro sorotipos, com baixo número de casos graves e óbitos.[76]

Brasil

Em 10 anos, dobrou o número de municípios infestados pelo mosquito transmissor da dengue.

No Brasil, existem registros de epidemias de dengue no estado de São Paulo, que ocorreram entre os anos de 1851 e 1853 e em 1916; no Rio de Janeiro, o primeiro registro de dengue epidêmica ocorreu em 1923. Entre essa data e os anos 1980, a doença foi praticamente eliminada do país, em virtude do combate ao vetor Aedes aegypti, durante campanha de erradicação da febre amarela. Observou-se uma nova infestação desse vetor em 1967, provavelmente originada a partir dos países vizinhos, que não obtiveram êxito em sua erradicação.[77] Na década dos anos 1980, foram registrados novos casos de dengue: em 1981 e 1982 em Boa Vista (RR); em 1986 e 1987 no Rio de Janeiro (RJ); em 1986 em Alagoas e Ceará; em 1987 em Pernambuco, Bahia, Minas Gerais e São Paulo; em 1990 no Mato Grosso do Sul, São Paulo e Rio de Janeiro; em 1991 em Tocantins e, em 1992, no estado de Mato Grosso.[78]

No período de 1986 a outubro de 1999, foram registrados, no Brasil, 1 104 996 casos de dengue em dezenove dos vinte e sete estados. Observou-se flutuação no número de casos notificados entre 1986 e 1993, seguido de aumento acentuado no número de notificações no período de 1994 a 1998, com queda em 1999.[2] A média anual, após 1986, foi de 78 928 casos/ano, ficando acima desse valor em 1987, com 82 446 casos; em 1990, com 103 336; em 1995, com 81 608; em 1996, com 87 434; em 1997, com 135 671; em 1998, com 363 010 e 1999, com 104 658 casos.[2] Observou-se a falta de uniformidade quanto ao modo de notificação da distribuição do número de casos, por estado. Alguns não têm dados disponíveis, enquanto outros, como Mato Grosso, apresenta registros fragmentados, não incluindo todas as regiões. Quanto ao estado de São Paulo, verificou-se que foram notificados os casos confirmados por exames de laboratório e, dentre os municípios, não constava o da capital.[2] Em resumo, agrupando por regiões, a Sudeste foi a que registrou o maior número de casos, sendo também a de maior população e disponibilidades de recursos para diagnóstico e notificação. Seguem-se em relação à incidência de dengue as regiões Nordeste, Centro-Oeste, Sul e Norte.[2]

No estado de São Paulo, a dengue foi incluída no rol das doenças de notificação compulsória em 1986. Em 1987, foram detectados dois focos da doença na região de Araçatuba, os quais foram controlados. Na região de Ribeirão Preto, a epidemia alcançou o pico em 1991, estendendo-se pelas regiões de São José do Rio Preto, Araçatuba e Bauru, confirmando as previsões de risco crescente de ocorrência da arbovirose.[79]

Agente de Combate às Endemias do município de Votuporanga, São Paulo, desinsetizando uma residência.

Em 2008, a doença volta a atingir os cariocas. Nessa epidemia, foram registrados quase 250 mil casos da doença e 174 mortes em todo o estado (e outras 150 em investigação), sendo 100 mortes e 125 mil casos somente na cidade do Rio de Janeiro.[80] A epidemia de 2008 superou, em número de vítimas fatais, a epidemia de 2002, onde 91 pessoas morreram. Entre 1 de janeiro e 13 de fevereiro de 2010, foram notificados 108.640 pacientes com a doença, 109% a mais que no mesmo período de 2009. Os estados Mato Grosso do Sul, Acre, Rondônia, Goiás e Mato Grosso[81] respondem por 71% desses casos. As altas temperaturas, grande volume de chuvas e o retorno do tipo 1 do vírus explicam parte da epidemia.[82]

Durante o ano de 2015 foi registrado o maior surto da doença no Brasil, com aproximadamente 2 milhões de casos relatados e mais de 900 mortes, de acordo com informações do Ministério da Saúde.[83] Neste mesmo ano, o governo brasileiro investiu mais de R$ 150 milhões no controle do Aedes Aegypt, vetor da dengue e de doenças como Chikungunya, zika e febre amarela. O investimento ainda é considerado insuficiente, ainda mais considerando que os custos de tratamento apenas da dengue estão estimados em mais de R$ 1 bilhão ao ano.[84]

Em 2022 foram registrados cerca de 1,5 milhão de casos prováveis de dengue e pouco mais de mil mortes pela doença, um recorde histórico.[85]

Como se pôde observar, a doença foi reconhecida há aproximadamente 200 anos e tem apresentado caráter epidêmico e endêmico variado. As mudanças na dinâmica de transmissão da dengue podem ser explicadas pela baixa prevalência do vírus até recentemente, quando houve maior disponibilidade de hospedeiros humanos. O aumento da concentração humana em ambiente urbano propiciou crescimento substancial da população viral. As linhagens, que surgiram antes das aglomerações e movimentações humanas terem início, tinham poucas chances de causar grandes epidemias e terminavam por falta de hospedeiros susceptíveis.[6] Entretanto, as alterações ambientais de natureza antrópica têm propiciado o deslocamento e/ou dano à fauna e flora, bem como o acúmulo de detritos e de recipientes descartáveis. Paralelamente, as mudanças nas paisagens têm promovido alterações microclimáticas que parecem ter favorecido algumas espécies vetoras, em detrimento de outras, oferecendo abrigos e criadouros, bem como a disponibilidade de hospedeiros.[2]

Ver também

  • Associação Eupatorium perfoliatum/Phosphorus/Crotalus horridus - medicamento homeopático para sintomas da dengue.
  • Mosquitérica - A armadilha contra mosquitos.
  • Mecanismos de transmissão da dengue
  • Vetores de transmissão da dengue

Notas

  1. Graham, 1922
  2. Howlet, 1913
  3. Mhaskar, 1913
  4. James, Da Silva e Arndt, 1914
  5. Aders, 1917

Referências

  1. Ross TM. Dengue virus. Clinics in Laboratory Medicine 2010; 30(1):149-60.
  2. 1 2 3 4 5 6 7 Sonia Marta dos Anjos Alves Borges (2001). "Importância epidemiológica do Aedes Albopictus nas Américas" (PDF) . Licenciado sob a GNU Free Documentation License. Acessado em 19h42min de 13 de Março de 2008 (UTC).
  3. 1 2 3 4 World Health Organization. Dengue haemorragic fever Diagnosis, Treatment, prevention and control. 2nd edition; Geneva WHO; 1997.
  4. Gubler DJ, Clark GG. Dengue/dengue hemorrhagic fever: the emergence of a global health problem. Emerging Infectious Disease 1995; 2(1): 55-7.
  5. 1 2 «Etymologia: dengue» (PDF). Emerg. Infec. Dis. (em inglês). 12 (6). 893 páginas. 2006. doi:10.3201/eid1206.ET1206
  6. 1 2 3 4 5 6 7 8 9 Holmes EC, Bartley LM, Garnet GP. The emergence of dengue past, present and future In: Krause RM, editor. Emerging Infectors ; London: Academic Press; 1998. p. 301-25.
  7. Stefan Cunha Ujvari - "A história da humanidade contada pelos vírus" - Editora Contexto, 2008.
  8. 1 2 3 Gubler DJ (julho de 1998). «Dengue and dengue hemorrhagic fever». Clin. Microbiol. Rev. (em inglês). 11 (3): 480–96. PMC 88892Acessível livremente. PMID 9665979
  9. 1 2 3 4 5 6 7 8 9 10 11 12 13 14 15 16 17 18 19 20 21 22 Simmons, CP; Farrar, JJ; Nguyen, vV; Wills, B (12 de abril de 2012). «Dengue». The New England Journal of Medicine. 366 (15): 1423–32. ISSN 0028-4793. PMID 22494122. doi:10.1056/NEJMra1110265
  10. Henchal EA, Putnak JR (outubro de 1990). «The dengue viruses». Clin. Microbiol. Rev. (em inglês). 3 (4): 377. PMC 358169Acessível livremente. PMID 2224837
  11. 1 2 3 4 5 Gould EA, Solomon T (fevereiro de 2008). «Pathogenic flaviviruses». The Lancet. 371 (9611): 500–9. PMID 18262042. doi:10.1016/S0140-6736(08)60238-X
  12. 1 2 3 4 5 6 7 8 Whitehorn J, Farrar J (2010). «Dengue». Br. Med. Bull. 95: 161–73. PMID 20616106. doi:10.1093/bmb/ldq019
  13. 1 2 3 4 5 6 WHO (2009), pp. 14–16.
  14. 1 2 3 Reiter P (11 de março de 2010). «Yellow fever and dengue: a threat to Europe?». Euro Surveill (em inglês). 15 (10). 19509 páginas. PMID 20403310
  15. Gubler (2010), p. 379.
  16. 1 2 Gubler DJ (2010). «Dengue viruses». In: Mahy BWJ, Van Regenmortel MHV. Desk Encyclopedia of Human and Medical Virology (em inglês). Boston: Academic Press. p. 372–82. ISBN 0-12-375147-0
  17. 1 2 3 4 5 6 7 8 9 10 11 12 13 14 15 16 17 18 19 20 21 22 23 Ranjit S, Kissoon N (janeiro de 2011). «Dengue hemorrhagic fever and shock syndromes». Pediatr. Crit. Care Med. 12 (1): 90–100. PMID 20639791. doi:10.1097/PCC.0b013e3181e911a7
  18. 1 2 3 4 Varatharaj A (2010). «Encephalitis in the clinical spectrum of dengue infection». Neurol. India (em inglês). 58 (4): 585–91. PMID 20739797. doi:10.4103/0028-3886.68655
  19. 1 2 3 4 5 6 7 8 Chen LH, Wilson ME (outubro de 2010). «Dengue and chikungunya infections in travelers». Curr. Opin. Infect. Dis. 23 (5): 438–44. PMID 20581669. doi:10.1097/QCO.0b013e32833c1d16
  20. 1 2 3 4 5 6 7 8 9 10 11 12 13 14 WHO (2009), pp. 25–27.
  21. 1 2 Wolff K, Johnson RA (eds.) (2009). «Viral infections of skin and mucosa». Fitzpatrick's color atlas and synopsis of clinical dermatology 6th ed. New York: McGraw-Hill Medical. pp. 810–2. ISBN 978-0-07-159975-7
  22. 1 2 Knoop KJ, Stack LB, Storrow A, Thurman RJ (eds.) (2010). «Tropical medicine». Atlas of emergency medicine 3rd ed. New York: McGraw-Hill Professional. pp. 658–9. ISBN 0-07-149618-1
  23. 1 2 3 4 Rodenhuis-Zybert IA, Wilschut J, Smit JM (agosto de 2010). «Dengue virus life cycle: viral and host factors modulating infectivity». Cell. Mol. Life Sci. 67 (16): 2773–86. PMID 20372965. doi:10.1007/s00018-010-0357-z
  24. 1 2 3 4 5 6 7 Guzman MG, Halstead SB, Artsob H; et al. (dezembro de 2010). «Dengue: a continuing global threat». Nat. Rev. Microbiol. 8 (12 Suppl): S7–S16. PMID 21079655. doi:10.1038/nrmicro2460
  25. Solomonides, Tony (2010). Healthgrid applications and core technologies : proceedings of HealthGrid 2010 [Online-Ausg.]. ed. Amsterdam: IOS Press. p. 235. ISBN 978-1-60750-582-2
  26. «Travelers' Health Outbreak Notice». Centers for Disease Control and Prevention. 2 de junho de 2010. Consultado em 27 de agosto de 2010. Arquivado do original em 26 de agosto de 2010
  27. «Vector-borne viral infections». World Health Organization. Consultado em 17 de janeiro de 2011
  28. 1 2 Center for Disease Control and Prevention. «Chapter 5 – dengue fever (DF) and dengue hemorrhagic fever (DHF)». 2010 Yellow Book. Consultado em 23 de dezembro de 2010
  29. Fauci, [edited by] Vassil St. Georgiev ; foreword by Anthony S. (2009). National Institute of Allergy and Infectious Diseases, NIH. 1 ed. Totowa, N.J.: Humana. p. 268. ISBN 978-1-60327-297-1
  30. Gubler (2010), pp. 377–78.
  31. Wilder-Smith A, Chen LH, Massad E, Wilson ME (janeiro de 2009). «Threat of dengue to blood safety in dengue-endemic countries». Emerg. Infect. Dis. 15 (1): 8–11. PMC 2660677Acessível livremente. PMID 19116042. doi:10.3201/eid1501.071097
  32. Stramer SL, Hollinger FB, Katz LM,; et al. (agosto de 2009). «Emerging infectious disease agents and their potential threat to transfusion safety». Transfusion. 49 Suppl 2: 1S–29S. PMID 19686562. doi:10.1111/j.1537-2995.2009.02279.x
  33. Teo D, Ng LC, Lam S (abril de 2009). «Is dengue a threat to the blood supply?». Transfus Med. 19 (2): 66–77. PMC 2713854Acessível livremente. PMID 19392949. doi:10.1111/j.1365-3148.2009.00916.x
  34. Wiwanitkit V (janeiro de 2010). «Unusual mode of transmission of dengue». Journal of Infection in Developing Countries. 4 (1): 51–4. PMID 20130380
  35. Degallier N, Teixeira JMS,; et al. (2001). «Avaliação do risco de transmissão silvestre da dengue no Brasil». Inf. Epidemiol. Sus. 10 (supl.1): 13-15. Consultado em 8 de março de 2011. Arquivado do original em 3 de março de 2016
  36. 1 2 Martina BE, Koraka P, Osterhaus AD (outubro de 2009). «Dengue virus pathogenesis: an integrated view». Clin. Microbiol. Rev. 22 (4): 564–81. PMC 2772360Acessível livremente. PMID 19822889. doi:10.1128/CMR.00035-09
  37. 1 2 3 4 5 6 7 WHO (2009), pp. 10–11.
  38. Halstead, Scott B. (2008). Dengue. London: Imperial College Press. p. 180 & 429. ISBN 978-1-84816-228-0
  39. 1 2 3 WHO (2009), pp. 90–95.
  40. Comprehensive guidelines for prevention and control of dengue and dengue haemorrhagic fever. (PDF) Rev. and expanded. ed. New Delhi, India: World Health Organization Regional Office for South-East Asia. 2011. p. 17. ISBN 978-92-9022-387-0
  41. 1 2 3 WHO (1997). «Chapter 2: clinical diagnosis». Dengue haemorrhagic fever: diagnosis, treatment, prevention and control (PDF) 2nd ed. Geneva: World Health Organization. pp. 12–23. ISBN 92-4-154500-3
  42. Wiwanitkit, V (julho de 2010). «Dengue fever: diagnosis and treatment». Expert review of anti-infective therapy. 8 (7): 841–5. PMID 20586568. doi:10.1586/eri.10.53
  43. «New CDC test for dengue approved». Centers for Disease Control and Prevention. 20 de junho de 2012
  44. 1 2 3 WHO (2009), pp. 32–37.
  45. 1 2 3 WHO (2009), pp. 40–43.
  46. Serufo JC, Nobre V,; et al. (2000). «Dengue: uma nova abordagem». Rev. Soc. Bras. Med. Trop. 33 (5): 465-76
  47. Rigau-Peréz JG, Clark GG, Gubler DJ, Reiter P, Sanders EJ, Vorndam AV. Dengue and dengue haemorrhagic fever. Lancet 352:971-977, 1998.
  48. Bone RC, Fisher CJ, Clemmer TP, Slotman GJ, Metz CA, Balk RA. A controlled clinical trial of high-dose methylprednisolone in the treatment of severe sepsis and septic shock. New England Journal of Medicine 317:653-658, 1987.
  49. Skandan S, Cohen J. The pathogenesis of septic shock. Journal of Infectology 30:201-206, 1995.
  50. Brown G, Franke D, Phang T. Continuous infusion of methylene blue for septic shock. Postgraduate Medicine Journal 72:612-614, 1996.
  51. 1 2 3 4 OMS, Dengue - Guidelines for diagnosis, treatment, prevention and control, 2009
  52. Samuel Rickard Christophers (Sir). Aedes aegypti: the yellow fever mosquito. CUP Archive; GGKEY:WG1LF6YXDWH. p. 58–59.
  53. «A. aegyptii X Pernilongo doméstico». Instituto Oswaldo Cruz. Consultado em 14 de janeiro de 2014
  54. 1 2 WHO (2009), p. 71.
  55. 1 2 3 WHO (2009) p. 137–146.
  56. «'Bug' could combat dengue fever». BBC NEWS. British Broadcasting Corporation. 2 de janeiro de 2009
  57. Fong, I.W. (2012). Challenges in Infectious Diseases (em inglês). [S.l.]: Springer. p. 219. ISBN 978-1-4614-4496-1
  58. Normile D (2013). «Surprising new dengue virus throws a spanner in disease control efforts». Science. 342 (6157). 415 páginas. PMID 24159024. doi:10.1126/science.342.6157.415
  59. 1 2 3 Webster DP, Farrar J, Rowland-Jones S (novembro de 2009). «Progress towards a dengue vaccine». Lancet Infect Dis. 9 (11): 678–87. PMID 19850226. doi:10.1016/S1473-3099(09)70254-3
  60. 1 2 Global Strategy For Dengue Prevention And Control (PDF). [S.l.]: World Health Organization. 2012. pp. 16–17. ISBN 978-92-4-150403-4
  61. Guy B, Barrere B, Malinowski C,; et al. (setembro de 2011). «From research to phase III: preclinical, industrial and clinical development of the Sanofi Pasteur tetravalent dengue vaccine». Vaccine (em inglês). 29 (42): 7229–41. PMID 21745521
  62. Soucheray, Stephanie (1 de dezembro de 2017). «Sanofi restricts dengue vaccine but downplays antibody enhancement». CIDRAP (em inglês). Consultado em 2 de dezembro de 2017
  63. 1 2 Sampath A, Padmanabhan R (janeiro de 2009). «Molecular targets for flavivirus drug discovery». Antiviral Res. 81 (1): 6–15. PMC 2647018Acessível livremente. PMID 18796313. doi:10.1016/j.antiviral.2008.08.004
  64. 1 2 Noble CG, Chen YL, Dong H; et al. (março de 2010). «Strategies for development of Dengue virus inhibitors». Antiviral Res. 85 (3): 450–62. PMID 20060421. doi:10.1016/j.antiviral.2009.12.011
  65. Tomlinson SM, Malmstrom RD, Watowich SJ (junho de 2009). «New approaches to structure-based discovery of dengue protease inhibitors». Infectious Disorders Drug Targets. 9 (3): 327–43. PMID 19519486. doi:10.2174/1871526510909030327
  66. «Dengue Vaccine Live Monograph for Professionals». Drugs.com. Consultado em 14 de novembro de 2019
  67. 1 2 McArthur, MA; Sztein, MB; Edelman, R (agosto de 2013). «Dengue vaccines: recent developments, ongoing challenges and current candidates.». Expert Review of Vaccines. 12 (8): 933–53. PMC 3773977Acessível livremente. PMID 23984962. doi:10.1586/14760584.2013.815412
  68. «Vacina contra dengue deve estar nas clínicas no 2º semestre; inclusão no SUS é 'prioridade', diz ministério». G1. Consultado em 4 de março de 2023
  69. 1 2 3 World Health Organization (setembro de 2018). «Dengue vaccine: WHO position paper – September 2018» (PDF). Weekly Epidemiological Record. 93 (36): 457–76
  70. «Takeda Begins Regulatory Submissions for Dengue Vaccine Candidate in EU and Dengue-Endemic Countries» (Nota de imprensa). Osaka, Japan, and Cambridge, Massachusetts: Takeda Pharmaceutical Company Limited. 25 de março de 2021. Consultado em 28 de março de 2021
  71. Redoni M, Yacoub S, Rivino L, Giacobbe DR, Luzzati R, Di Bella S. (fevereiro de 2020). «Dengue: Status of current and under-development vaccines» (PDF). Reviews in Medical Virology. 30 (4): e2101. PMID 32101634. doi:10.1002/rmv.2101 |hdl-access= requer |hdl= (ajuda)
  72. «DOJ orders NBI to investigate P3.5-B dengue vaccine scandal». STAT. 4 de dezembro de 2017. Consultado em 14 de dezembro de 2017
  73. «Anvisa publica registro da vacina contra a dengue do Butantan». Ministério da Saúde. 9 de dezembro de 2025. Consultado em 9 de dezembro de 2025
  74. Medronho, RA. Geoprocessamento e saúde, uma nova abordagem do espaço no processo saúde/doença, Rio de Janeiro: Editora FIOCRUZ/CICT/NECT; 1995.
  75. Ministério da Saúde. Fundação Nacional de Saúde. Departamento de Operações. Coordenação de Controle de Doenças Transmitidas por Vetores. Manual de dengue: Vigilância Epidemiológica e Atenção ao Doente, 2ª edição, Brasília (DF); 1996.
  76. Pan American Health Organization, 2001 Jun 14
  77. Fraiha H (1968). «Reinfestação do Brasil pelo Aedes aegypti. Considerações sobre o risco de urbanização do vírus da febre amarela silvestre na região reinfestada» (PDF). Rev Inst Med Trop São Paulo. 10 (5): 289-94
  78. Pontes RJS, Ruffino-Netto A (1994). «Dengue em localidade urbana da região sudeste do Brasil: aspectos epidemiológicos». Rev Saúde Pública. 28 (3): 218-27
  79. Costa AIP. Identificação de unidades ambientais urbanas como condicionantes da ocorrência de Aedes aegypti (Diptera Culicidae) e de dengue na cidade de São José do Rio Preto, S.P., em 1995. São Paulo, 1995 {Dissertação de Mestrado - Faculdade de Saúde Pública da USP}.
  80. «Chega a 174 o número de mortos por dengue no RJ». Portal G1. 1 de outubro de 2008. Consultado em 8 de março de 2014
  81. Brasil, Portal. «Governo libera R$ 152 milhões para combater Aedes». Governo do Brasil. Consultado em 5 de outubro de 2017
  82. Lígia Formenti (26 de fevereiro de 2010). «Número de casos de dengue no País sobe 109%». Estadão. Consultado em 28 de fevereiro de 2010
  83. «Ministério da Saúde registra 1,5 milhão de casos de dengue no país em 2015». Agência Brasil - Últimas notícias do Brasil e do mundo
  84. «Kantar - Combate ao Aedes aegypti custa menos que tratamentos de dengue, zika, febre amarela e chikungunya». br.kantar.com. Consultado em 5 de outubro de 2017
  85. «Brasil registra mais de mil mortes por dengue em 2022 e bate recorde histórico». G1. 13 de janeiro de 2022. Cópia arquivada em 13 de janeiro de 2022

Bibliografia

  • Sonia Marta dos Anjos Alves Borges (2001). "Importância epidemiológica do Aedes Albopictus nas Américas" (PDF) . Licenciado sob a GNU Free Documentation License. Acessado em 19h42min de 13 de Março de 2008 (UTC).
  • Castro MG, Nogueira RMR, Schatzmayr HG, Miagostovich MP, Lourenço-de-Oliveira R. Dengue vírus detectado, usando reverso transcriptionpolymerase chain reação na saliva e progeny of experimentally Aedes albopictus infectado do Brasil. Memórias Instituto Oswaldo Cruz, 2004,99:809-814.
  • Serufo JC, de Oca HM, Tavares VA, Souza AM, Rosa RV, Jamal MC, Lemos JR, Oliveira MA, Nogueira RM, Schatzmayr HG. Isolação de dengue vírus tipo 1 de uma larva do Aedes albopictus no Campos Altos city, Stado de Minas Gerais, Brasil. Memórias Instituto Oswaldo Cruz, 1993,88:503-4.
  • Tauil PL. aspectos cíticos de dengue controladas no Brasil. Cadernos de Saúde Pública, 2002, 18:867-871.
  • Lourenço-de-Oliveira R, Honório NA, Castro MG, Schatzmayr HG, Miagostovich MP, Alves JCR, Silva WC, Leite PJ and Nogueira RMR. Dengue Vírus Type 3 Isolation from Aedes aegypti in the municipality of Nova Iguaçú, State of Rio de Janeiro. 2002; 97:799-800.
  • Lourenço-de-Oliveira R, Vazeille M, Bispo AM, Failloux AB. Large genetic differentiation and low variation in vector competence for dengue and yellow fever viruses of Aedes albopictus from Brazil, the United States, and the Cayman Islands. The American journal of tropical medicine and hygiene, 2003,69:105-114.
  • Miller, B. R., M. E. Ballinger. Aedes albopictus mosquitos introduzido no Brasil: vecter competence por amarelo fever e dengue vírus. transmissão da nobre Sociação do Tropical Medicina e higiene.1988,82:476-477.
  • Nogueira RMR, Miagostovich MP, Schatzmayr HG, Santos FB, Araújo ESM, Filippis AMB, Souza RV, Zagne SMO, Nicolai C, Baran M, Teixeira Filho G. Dengue no estado do Rio de Janeiro, Brasil, 1986-1998, Rio de Janeiro, RJ, Brasil, Memórias Instituto Oswaldo Cruz, 1999,94:297-304.
  • WHO (2009). Dengue Guidelines for Diagnosis, Treatment, Prevention and Control (PDF). Genebra: Organização Mundial da Saúde. ISBN 92-4-154787-1 

Ligações externas