Encefalite
| Encefalite | |
|---|---|
![]() | |
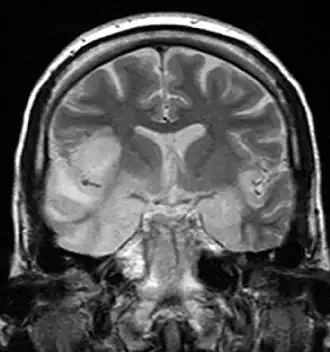
| Ressonância magnética de paciente com encefalite por vírus do herpes simples em que se observa alto sinal nos lobos temporais e no giro frontal inferior | |
| Especialidade | Neurologia, infectologia |
| Sintomas | Dores de cabeça, febre, confusão, pescoço rígido, vómitos[1] |
| Complicações | Crises epilépticas, dificuldade em falar, problemas de memória, problemas auditivos[1] |
| Duração | Recobro de semanas a meses[1] |
| Causas | Infeções, autoimunes, alguns medicamentos, desconhecidas[2] |
| Método de diagnóstico | Baseado nos sintomas e complementado com análises ao sangue, exames imagiológicos e análises ao líquido cefalorraquidiano.[2] |
| Tratamento | Antivirais, anticonvulsivos, corticosteroides, respiração artificial[1] |
| Prognóstico | Variável[1] |
| Frequência | 4,3 milhões (2015)[3] |
| Mortes | 150 000 (2015)[4] |
| Classificação e recursos externos | |
| CID-10 | A83-A86, B94.1, G05 |
| CID-9 | 323 |
| DiseasesDB | 22543 |
| MedlinePlus | 001415 |
| eMedicine | emerg/163 |
| MeSH | D004660 |
Encefalite é a inflamação do cérebro.[5] A doença é de gravidade variável.[1] Os sintomas mais comuns são dores de cabeça, febre, confusão, pescoço rígido e vómitos.[1] Entre as possíveis complicações estão crises epilépticas, alucinações, dificuldade em falar, problemas de memória e problemas auditivos.[1]
Entre as causas mais comuns de encefalite estão vírus como o vírus do herpes simples e da raiva, bactéria, fungos ou parasitas.[1][2] Entre outras possíveis causas estão doenças autoimunes e alguns medicamentos.[2] Em muitos casos não é possível a determinar a causa.[2] Entre os fatores de risco está a deficiência imunitária.[2] O diagnóstico geralmente baseia-se nos sintomas e é complementado por análises ao sangue, exames imagiológicos e análises ao líquido cefalorraquidiano.[2]
Alguns tipos de encefalite podem ser prevenidos com vacinas.[5] O tratamento pode consistir em medicação antiviral (como o aciclovir), anticonvulsivos e corticosteroides.[1] O tratamento é geralmente feito em ambiente hospitalar.[1] Alguns casos requerem respiração artificial.[1] Após a fase aguda estar dominada, pode ser necessária reabilitação neuropsicológica.[2] Estima-se que em 2015 tenham ocorrido em todo o mundo 4,3 milhões casos de encefalite, os quais resultaram em 150 000 mortes.[3][4]
Classificação
Como tipos de encefalite, temos:
- Encefalite viral
- Encefalite bacteriana
- Naegleríase
- Encefalomielite
- Encefalite autoimune
- Meningoencefalite
- Encefalite letárgica
- Encefalite límbica
- Leucoencefalite hemorrágica aguda
A encefalite causada por arbovírus é uma infecção grave do cérebro, causada por um dos diversos vírus deste grupo. Existem vários tipos de encefalites virais transmitidas por picadas de insetos. O vírus responsável por cada uma dessas afeções transmite-se através de um tipo concreto de mosquito que se encontra em zonas geográficas específicas. As doenças são zoonoses endêmicas da região, mas ocorrem surtos periódicos, sempre que aumenta a população de animais infectados. As infecções em humanos são acidentais e não incrementam a transmissão do vírus.
A encefalite equina ocidental ocorre em pessoas de todas as idades, mas afeta, particularmente, as crianças com menos de 1 ano. A encefalite equina oriental afeta, sobretudo, as crianças pequenas e as pessoas com mais de 55 anos, e provoca a morte com mais frequência do que a variedade ocidental. Ambos os tipos tendem a ser graves nas crianças com menos de 1 ano, causando uma lesão nervosa ou cerebral permanente. O risco de morte é maior nas pessoas de idade avançada. Existem diversos vírus no grupo de vírus da Califórnia, como o vírus da Califórnia, o vírus La Crosse e o de Jamestown Canyon. Todos os vírus deste grupo afetam principalmente as crianças.
Causas
As encefalites podem ser causadas por uma variedade de conflitos. Um deles é a raiva. Elas também podem ser causadas por HIV e resultar em demência pelo HIV. As causas principais de encefalites no mundo inteiro são vírus, diferentes dependendo da localidade, como no caso da encefalite japonesa, Nilo Ocidental, Chandipura, encefalite de St. Louis, encefalite equínea, encefalite de La Crosse, etc.
Diagnóstico
Pacientes adultos com encefalites apresentam febre, dor de cabeça, convulsão, e, às vezes, ataques epilépticos. Crianças e jovens podem apresentar irritabilidade, anorexia e febre. Exames neurológicos normalmente revelam um paciente sonolento ou confuso. Pescoço duro, devido à irritação das meninges que cobrem o cérebro, indicando que o paciente tem meningite ou meningeoncefalite.
O exame do fluido cerebrospinal normalmente obtido por um procedimento de Punção lombar revela quantidades elevadas de proteína e células brancas com glicose normal. No entanto, em uma porcentagem significante de pacientes, o fluido cerebrospinal pode ser normal. Abscesso cerebral é mais comum em pacientes com meningite do que com encefalite.
Hemorragia também é incomum, porém encontrada nas encefalites por Herpes e por amebas. Ressonância magnética oferece melhor resolução, mas o diagnóstico é clínico: paciente com febre, vômitos, alteração da consciência ou do comportamento devem ser investigados para encefalites sem perda de tempo. Em pacientes com encefalite por herpes simples, o eletrencefalógrafo pode mostrar ondas afiadas em um ou ambos os lóbulos temporais.
O procedimento de Punção lombar deve ser executada por pessoa habilitada, após rigoroso exame físico e não deve demorar porque quanto antes iniciado o tratamento, melhores as chances do paciente ser tratado e não ter sequelas. A tomografia computadorizada pode ser realizada, mas um médico bom e experiente não tem substituto para o atendimento emergencial. O diagnóstico definitivo é feito, freqüentemente, com a descoberta de anticorpos no fluido cerebrospinal contra um agente viral específico, ou através da reação em cadeia da polimerase que amplia o RNA ou DNA do vírus responsável.
Tratamento
Normalmente, encefalites são doenças virais, o que significa que não são usados antibióticos para tratá-las. A única vacina disponível para prevenção é para a encefalite japonesa. Com a exceção da encefalite por herpes, o esteio de tratamento é alívio do sintoma. As pessoas com encefalites são mantidas hidratadas com fluidos IV, enquanto é monitorado o cérebro.
Anticonvulsivos podem ser dados para controle de ataques epilépticos. Esteroides não foram estabelecidos como sendo efetivos. Encefalite de herpes podem causar morte rápida se não diagnosticada e tratada prontamente. A terapia indicada é Aciclovir (Zovirax) dado por IV durante 2-3 semanas. Atualmente, o uso de Ribavirin (Rebetol, Virazole), no tratamento de crianças com encefalite de La Crosse, está sendo estudado.
Epidemiologia
A incidência de encefalite no ocidente é de 7,4 casos por 100.000 habitantes a cada ano. Em países tropicais a incidência é um pouco menor, de 6,34 por 100.000 habitantes por ano.[6] Em 1990 foi responsável por 144.000 mortes e em 2010 foi responsável por 120.000 mortes, uma queda de quase 20% na mortalidade.[7]
Referências
- 1 2 3 4 5 6 7 8 9 10 11 12 «Meningitis and Encephalitis Information Page». NINDS. Consultado em 29 de outubro de 2017. Cópia arquivada em 29 de outubro de 2017
- 1 2 3 4 5 6 7 8 «Meningitis and Encephalitis Fact Sheet». National Institute of Neurological Disorders and Stroke. Consultado em 29 de outubro de 2017. Cópia arquivada em 29 de outubro de 2017
- 1 2 GBD 2015 Disease and Injury Incidence and Prevalence Collaborators (8 de outubro de 2016). «Global, regional, and national incidence, prevalence, and years lived with disability for 310 diseases and injuries, 1990–2015: a systematic analysis for the Global Burden of Disease Study 2015». Lancet. 388 (10053): 1545–1602. PMC 5055577
. PMID 27733282. doi:10.1016/S0140-6736(16)31678-6 - 1 2 GBD 2015 Mortality and Causes of Death Collaborators (8 de outubro de 2016). «Global, regional, and national life expectancy, all-cause mortality, and cause-specific mortality for 249 causes of death, 1980–2015: a systematic analysis for the Global Burden of Disease Study 2015.». Lancet. 388 (10053): 1459–1544. PMC 5388903
. PMID 27733281. doi:10.1016/S0140-6736(16)31012-1 - 1 2 «Encephalitis». NHS Choices (em inglês). 2016. Consultado em 29 de outubro de 2017. Cópia arquivada em 22 de setembro de 2017
- ↑ Jmor, F; Emsley HC, Fischer M et al. (October 2008). "The incidence of acute encephalitis syndrome in Western industrialised and tropical countries". Virology Journal 5 (134): 134. doi:10.1186/1743-422X-5-134. PMC 2583971. PMID 18973679.
- ↑ Lozano, R (Dec 15, 2012). "Global and regional mortality from 235 causes of death for 20 age groups in 1990 and 2010: a systematic analysis for the Global Burden of Disease Study 2010". Lancet 380 (9859): 2095–128. doi:10.1016/S0140-6736(12)61728-0. PMID 23245604
Ligações externas
- WHO: Encephalitis (em inglês)
- Encephalitis Global (em inglês)
- A case study of a Limbic Encephalitis patient (em inglês)
