Empiema
| Empiema | |
|---|---|
![]() | |
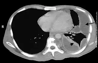
| Empiema pleural no tórax. | |
| Especialidade | pneumologia, cirurgia |
| Classificação e recursos externos | |
| CID-10 | J86 |
| CID-9 | 510 |
| MedlinePlus | 000123 |
| eMedicine | med/659 |
| MeSH | D016724 |
Um empiema é uma colecção de pus dentro de uma cavidade natural. Deve ser diferenciada de abcesso, que é uma colecção de pus numa cavidade recém-formada.
Na medicina humana, empiema pode ocorrer:
- Na cavidade pleural (empiema pleural também conhecido como piotórax);
- Na cavidade torácica;
- No útero (piometra);
- No apêndice (apendicite);
- Nas meninges (empiema subdural);
- Nas articulações (artrite séptica);
- Na vesícula biliar;
- No cérebro (empiema subdural).
Os empiemas ocorrem mais frequentemente no espaço pleural, podendo ser fatais ao prejudicar a respiração se não tratados. São também comuns no útero e no apêndice (apendicite).
