Fibrose pulmonar
| Fibrose pulmonar | |
|---|---|
![]() | |
| Autópsia de fibrose pulmonar em fase terminal | |
| Especialidade | pneumologia |
| Classificação e recursos externos | |
| MeSH | D011658 |
Fibrose pulmonar é uma doença respiratória crônica e progressiva caracterizada pela formação excessiva de tecido conectivo (fibrose), engrossando as paredes dos tecidos pulmonares. Ocorre quando o tecido pulmonar é danificado e forma cicatrizes, endurecendo e prejudicando a elasticidade e troca gasosa. É mais comum depois dos 55 anos, um pouco mais frequente em homens e frequentemente causado por exposição prolongada a gases tóxicos e poeira inorgânica no ambiente de trabalho.[1]
Causas
.jpg)
É causado por doenças pulmonares intersticiais, por infecções, doenças genéticas ou por doença autoimune. Alguns dos fatores que aumentam o risco de desenvolvimento de fibrose pulmonar são:
- Tabagismo;
- Exposição prolongada a contaminantes, fumaça, gases tóxicos ou poeiras inorgânicas, como a sílica ou asbesto;
- Pneumonite de hipersensibilidade (causada por bactéria, fungos ou produtos animais);
- Processos inflamatórios crônicos como sarcoidose e granulomatose de Wegener;
- Medicamentos, como a amiodarona (tratamento de arritmias), nitrofurantoína (infeções urinárias), fenitoína (anticonvulsivo), antidepressivos e os medicamentos usados em quimioterapia.
- Tratamentos com radioterapia torácica;
- Doenças autoimunes como a esclerodermia, artrite reumatoide, lúpus e dermatomiosite.
- Infeções virais e bacterianas como pneumonia e tuberculose;
- Refluxo gastroesofágico;
- Defeito genético (menos de 5% dos casos).
Sintomas
Os sintomas da fibrose pulmonar dependem da fase da doença, agravando-se ao longo de meses ou anos, dependendo do paciente, e incluem[2]:
- Falta de ar, especialmente com o esforço;
- Tosse seca persistente;
- Fadiga e fraqueza;
- Desconforto no peito;
- Perda de apetite e perda de peso;
- Deformação da ponta dos dedos por falta de oxigenação.
Ruídos pulmonares podem ser auscultados.
Diagnóstico
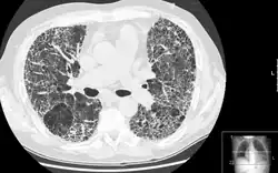
A espirometria permite identificar que se trata de uma doença pulmonar restritiva, mas a radiografia(como raio X) do tórax pode não ser suficiente para encontrar cicatrizes nos pulmões, sendo assim recomendado uma tomografia computadorizada de alta resolução para confirmar a presença da fibrose.[3]
Epidemiologia
No mundo afeta cerca de 10 a 20 para cada 100 mil pessoas, com incidência de para cada 100 mil e prevalência de para cada 100 mil. Atinge 1,7 homens para cada mulher. É mais comum entre os 55 e 75 anos. Apenas 5% dos casos tem origem genética (familiar). A maioria dos casos é classificado como idiopático (sem causa conhecida). É mais frequente entre mineradores, fumantes, criadores de aves e funcionários de fábricas. A sobrevida média é de 2,5 a 3,5 anos após o diagnóstico, sendo pior o prognóstico entre maiores de 70 anos, fumantes, magros e/ou hipertensos.[1]
Tratamento
As cicatrizes costumam ser permanentes, uma vez desenvolvidas, logo o tratamento é voltado para prevenir agravamento, diminuir sintomas e melhorar a qualidade de vida. Novas drogas antifibróticas estão em teste, como a nintedaniba e interferon y1b, porém ainda não chegaram ao mercado.[1]
A maioria dos pacientes são tratados inicialmente com um corticosteroide (como prednisona) associadas a drogas que suprimem o sistema imunológico como o metotrexato ou ciclosporina. Pode ser combinado com a acetilcisteína, um derivado de um aminoácido natural. Caso haja refluxo gastroesofágico, deve-se utilizar também um inibidor de bomba de prótons. O objetivo desse tratamento é diminuir inflamações e novas cicatrizes, retardando a doença em algumas pessoas. Outra alternativa são os anti-inflamatórios Também é importante evitar novo contacto com contaminantes como poeira metálica e fezes de animais.[4]
Terapia com máscaras de oxigênio ajuda a melhorar a ventilação durante crises de falta de ar. Reabilitação pulmonar pode melhorar a função pulmonar reduzida e a capacidade funcional, prevenindo crises e agravamento da doença.[5]
Em casos graves e que não respondem aos medicamentos, o transplante pulmonar pode ser a única saída.
Fibrose Pulmonar Idiopática
A Fibrose Pulmonar Idiopática, também conhecida como FPI, é uma doença rara, grave e que pode levar o paciente ao óbito[6]. A doença provoca o enrijecimento do tecido pulmonar, de forma progressiva, e geralmente atinge pessoas com idade superior a 50 anos[7], com maioria do sexo masculino[8]. A prevalência da doença no mundo é de aproximadamente 14 a 43 pessoas a cada 100 mil. O número aumenta entre pessoas com idade igual ou maior do que 75 anos. Nesse grupo, a prevalência da fibrose pulmonar idiopática é de 100 pessoas a cada 100 mil[9]. A FPI tem um diagnóstico difícil, porque seus sintomas são comumente confundidos com os de outras doenças pulmonares: tosse seca, cansaço constante e falta de ar[6]. Em média, metade dos pacientes com fibrose pulmonar idiopática recebem outro diagnóstico e demoram cerca de 1 a 2 anos para receber o diagnóstico da FPI, depois de apresentarem primeiros sintomas[10]. Sua causa ainda é desconhecida e, caso o paciente não tenha o tratamento correto, a sobrevida e de cerca de dois a cinco anos, o que representa uma taxa pior do que muitos tipos de câncer, como de próstata e de mama[11]. Pacientes mais idosos têm uma sobrevida menor, porque geralmente já possuem outras doenças, como as cardiovasculares[12].
Apesar de não existirem causas comprovadas para o desenvolvimento da fibrose pulmonar idiopática, há alguns fatores de risco para a doença: o tabagismo, a exposição a poluentes, o diagnóstico de refluxo gastroesofágico, infecções virais crônicas e elementos genéticos[6]. Embora ainda não existam informações comprovadas da prevalência da FPI no Brasil, estudos recentes estimam que 13 mil a 18 mil pessoas tenham a doença, número que pode ser ainda maior, porque a doença ainda é subdiagnosticada[10].
Referências
- ↑ a b c http://www.sopterj.com.br/revista/2013_22_1/08.pdf
- ↑ http://www.pulmonaryfibrosis.org/education
- ↑ http://www.medicinenet.com/pulmonary_fibrosis/page2.htm#what_are_the_causes_and_symptoms_of_pulmonary_fibrosis
- ↑ http://www.medicinenet.com/pulmonary_fibrosis/page3.htm
- ↑ http://www.mayoclinic.org/diseases-conditions/pulmonary-fibrosis/basics/treatment/con-20029091
- ↑ a b c Raghu, Ganesh; Collard, Harold R.; Egan, Jim J.; Martinez, Fernando J.; Behr, Juergen; Brown, Kevin K.; Colby, Thomas V.; Cordier, Jean-François; Flaherty, Kevin R. (15 de março de 2011). «An Official ATS/ERS/JRS/ALAT Statement: Idiopathic Pulmonary Fibrosis: Evidence-based Guidelines for Diagnosis and Management». American Journal of Respiratory and Critical Care Medicine. 183 (6): 788–824. ISSN 1073-449X. doi:10.1164/rccm.2009-040GL
- ↑ Raghu G, Weycker D, Edelsberg J, Bradford WZ, Oster G (13 de junho de 2006). «Incidence and Prevalence of Idiopathic Pulmonary Fibrosis». ATS Journals. Consultado em 20 de setembro de 2017
- ↑ RUBIN, Adalberto Sperb, et al. "Diretrizes de doenças pulmonares intersticiais da Sociedade Brasileira de Pneumologia e Tisiologia." Jornal Brasileiro de Pneumologia 38.suppl. 2 (2012): S1-S133.[1]
- ↑ Brown, Jeffrey J. Swigris, Kevin K. (2006). «Fibrose pulmonar idiopática: uma década de progressos». Jornal Brasileiro de Pneumologia. 32 (3)
- ↑ a b Collard, Harold R.; Tino, Gregory; Noble, Paul W.; Shreve, Mark A.; Michaels, Maureen; Carlson, Bruce; Schwarz, Marvin I. (1 de junho de 2007). «Patient experiences with pulmonary fibrosis». Respiratory Medicine (em inglês). 101 (6): 1350–1354. ISSN 0954-6111. PMID 17107778. doi:10.1016/j.rmed.2006.10.002
- ↑ Pereira, José Miguel (9 de maio de 2017). «Fibrose Pulmonar Idiopática». Acta Radiológica Portuguesa. 28 (108): 9–10. ISSN 2183-1351
- ↑ Rubin, Adalberto Sperb, et al. "Fatores prognósticos em fibrose pulmonar idiopática." J Pneumol 26.5 (2000): 227-34.[2]
.jpg)