Sarcoidose
| Sarcoidose | |
|---|---|
| Sinónimos | Doença de Besnier-Boeck-Schaumann[1] |
![]() | |
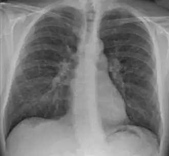
| Radiografia torácica em que se observa a nodularidade típica da sarcoidose, predominantemente no hilo pulmonar | |
| Especialidade | Reumatologia |
| Sintomas | Dependem do órgão envolvido[2] Pulmões: sibilos, tosse, falta de ar, dor no peito[3] Pele: caroços, úlceras, palidez[3] Crianças: perda de peso, dor óssea, cansaço[3] |
| Início habitual | 20–50 anos de idade[4] |
| Duração | De alguns anos a crónica[2][5] |
| Causas | Desconhecidas[2] |
| Fatores de risco | Antecedentes familiares[4] |
| Método de diagnóstico | Sintomas e biópsia[6] |
| Condições semelhantes | Tuberculose, linfoma, mononucleose infecciosa, eosinofilia pulmonar[7] |
| Tratamento | Ibuprofeno, prednisona, metotrexato[8][9] |
| Prognóstico | Mortalidade 1–7%[5] |
| Frequência | 1,9 milhões com doença pulmonar intersticial (2015)[10] |
| Mortes | 122 000 com doença pulmonar intersticial (2015)[11] |
| Classificação e recursos externos | |
| CID-11 | 4B20 |
| CID-10 | D86 |
| CID-9 | 135 |
| OMIM | 181000 |
| DiseasesDB | 11797 |
| MedlinePlus | 000076 |
| eMedicine | med/2063 |
| MeSH | D012507 |
Sarcoidose é uma doença caracterizada pela formação de agregados anormais de células inflamatórias denominados granulomas.[2] A doença tem geralmente início nos pulmões, pele ou gânglios linfáticos.[2] Ainda que menos comum, pode afetar os olhos, fígado, coração e cérebro.[2] No entanto, é possível afetar qualquer órgão.[2] Os sinais e sintomas dependem do órgão envolvido. Na maior parte dos casos não se manifestam sintomas ou os sintomas são apenas ligeiros.[2] Quando afeta os pulmões podem ocorrer sibilos, tosse, falta de ar ou dor no peito.[3] Em alguns casos verifica-se síndrome de Löfgren, caracterizado por febre, aumento de volume dos gânglios linfático, artrite e uma mancha na pele denominada eritema nodoso.[2]
Desconhecem-se as causas da doença.[2] Acredita-se que possa ser causada, em pessoas predispostas, por uma reação imunitária a um fator desencadeante, como uma infeção ou substâncias químicas.[12][13] O risco é maior em pessoas com casos da doença na família.[4] O diagnóstico baseia-se, em parte, nos sinais e sintomas, podendo ser complementado por uma biópsia.[6] Entre os achados clínicos que tornam o diagnóstico provável estão o aumento de volume dos gânglios linfáticos no hilo pulmonar, níveis elevados de cálcio com níveis normais de hormona paratiroide, ou níveis elevados de enzima conversora da angiotensina no sangue.[6] O diagnóstico só deve ser realizado após excluir outras causas possíveis que produzem sintomas semelhantes, como a tuberculose.[6]
Em muitos casos, a sarcoidose resolve-se sem tratamento no prazo de alguns anos.[2][5] No entanto, em algumas pessoas a doença é crónica.[5] Alguns sintomas podem ser aliviados com a administração de anti-inflamatórios como o ibuprofeno.[8] Nos casos em que a condição causa problemas de saúde significativos, estão indicados esteroides como a prednisona.[9] Em alguns casos, os efeitos adversos dos esteroides podem ser reduzidos com metotrexato, cloroquina ou azatioprina.[9] O risco de morte é de 1–7%.[5] A probabilidade de a doença ocorrer novamente em pessoas que já a tiveram é de 5%.[2]
Em 2015, a sarcoidose pulmonar e a doença pulmonar intersticial afetavam 1,9 milhões de pessoas em todo o mundo e foram a causa de 122 000 mortes.[11][10] A doença é mais comum na Escandinávia, embora ocorra em todas as regiões do mundo.[14] Nos Estados Unidos, o risco é maior entre Afrodescendentes.[14] A maioria dos casos tem início entre os 20 e 50 anos de idade.[4] A doença é mais comum em mulheres do que em homens.[4] A sarcoidose foi descrita pela primeira vez em 1877 pelo dermatologista inglês Jonathan Hutchinson, que a classificou como uma doença cutânea indolor.[15]
Causas
A sarcoidose parece ser causada por uma reação imunológica a uma infecção ou algum outro agente (chamado de antígeno, que pode vir do ambiente) que continua mesmo após a infecção inicial ou outro antígeno ser removido do corpo. Na maioria dos casos, a doença se resolve sozinha sem qualquer intervenção médica, embora em alguns casos a doença persista, afetando a pessoa a longo prazo, ou gerando risco de morte ao paciente, necessitando de intervenção médica, geralmente com medicações. Sua taxa de mortalidade média é de de 5% em casos não tratados.
Sinais e sintomas

Os sintomas comuns da sarcoidose são vagos, como fadiga não alterada pelo sono, febre, queda de cabelo, falta de energia, perda de peso, dores, artralgia, dificuldade respiratória, tosse seca ou lesões na pele.
Os sintomas cutâneos podem incluir placas vermelhas ou violeta em bochechas e nariz (Lupus pernio), nódulos vermelhos (eritema nodoso), placas vermelhas irregulares espalhadas pelo corpo (exantema maculopapular). Também podem causar olhos secos e irritação dos olhos, causando visão turva. Raramente afeta coração, ossos e sistema nervoso.[16]
Alguns pacientes com sarcoidose são assintomáticos.
Tratamento
A evolução clínica da doença também pode variar de caso a caso: desde doença assintomática que se cura silenciosamente até doença sintomática evoluindo para debilitação crônica causando, ainda que raramente, a morte.
O acompanhamento dos pacientes requer a realização de exames de espirometria e radiografia de tórax periodicamente, ou seja, de 3 em 3 meses, ou de 6 em 6 meses.
A maioria (75%) dos pacientes precisa apenas de tratamento sintomático com anti-inflamatórios não-esteroides. Em 15% é prescrito um corticosteroide como prednisona 1 mg/kg/dia por seis meses para tratar doença pulmonar. Outros tratamentos incluem cloroquina, ciclosporina, Infliximab e talidomida dependendo dos sintomas e tolerância aos corticoides.[17]
História
A sarcoidose foi descrita pela primeira vez em 1877 pelo dermatologista Jonathan Hutchinson, como uma condição médica que causava erupções avermelhadas na face, braços e mãos [18], porém, devido a ausência de um estudo histopatológico acompanhando a descrição, torna aquele diagnóstico duvidoso [19]. Em 1888 o termo "Lupus pernio" foi cunhado pelo dermatologista Ernest Besnier.[18] Mais tarde, em 1892 definiu-se a histologia do "lupus pernio".[18] Em 1902, o envolvimento ósseo foi descrito pela primeira vez por um grupo de três médicos. Entre 1909 e 1910 a uveíte na sarcoidose foi descrita pela primeira vez, e enfatizada mais tarde em 1915 pelo Dr. Schaumann, que era uma condição sistêmica.[18] No mesmo ano foi também relatado o envolvimento dos pulmões.[18] Em 1937, a febre uveoparotídea foi descrita pela primeira vez e, da mesma forma, em 1941, a síndrome de Löfgren foi descrita pela primeira vez.[18] Em 1958, acontece a primeira conferência internacional sobre a sarcoidose em Londres; nos Estados Unidos, a primeira conferência sobre sarcoidose ocorreu em Washington/DC, no ano de 1961.
Ver também
Referências
- ↑ Konstantinidis, G. (2005). Elsevier's Dictionary of Medicine and Biology: in English, Greek, German, Italian and Latin (em inglês). [S.l.]: Elsevier. p. 1454. ISBN 9780080460123
- ↑ a b c d e f g h i j k l «What Is Sarcoidosis?». NHLBI. 14 de junho de 2013. Consultado em 28 de março de 2016. Cópia arquivada em 6 de abril de 2016
- ↑ a b c d «What Are the Signs and Symptoms of Sarcoidosis?». NHLBI. 14 de junho de 2013. Consultado em 29 de março de 2016. Cópia arquivada em 7 de abril de 2016
- ↑ a b c d e «Who Is at Risk for Sarcoidosis?». NHLBI. 14 de junho de 2013. Consultado em 28 de março de 2016. Cópia arquivada em 7 de abril de 2016
- ↑ a b c d e Wijsenbeek, MS; Culver, DA (dezembro de 2015). «Treatment of Sarcoidosis». Clinics in chest medicine. 36 (4): 751–67. PMID 26593147. doi:10.1016/j.ccm.2015.08.015
- ↑ a b c d Govender, P; Berman, JS (dezembro de 2015). «The Diagnosis of Sarcoidosis.». Clinics in chest medicine. 36 (4): 585–602. PMID 26593135. doi:10.1016/j.ccm.2015.08.003
- ↑ Ferri, Fred F. (2010). Ferri's differential diagnosis : a practical guide to the differential diagnosis of symptoms, signs, and clinical disorders 2nd ed. Philadelphia, PA: Elsevier/Mosby. p. Chapter S. ISBN 0323076998
- ↑ a b Drent, M; Cremers, JP; Jansen, TL (maio de 2014). «Pulmonology meets rheumatology in sarcoidosis: a review on the therapeutic approach.». Current Opinion in Rheumatology. 26 (3): 276–84. PMID 24614277. doi:10.1097/bor.0000000000000052
- ↑ a b c Judson, MA (fevereiro de 2016). «Corticosteroids in Sarcoidosis.». Rheumatic diseases clinics of North America. 42 (1): 119–35, ix. PMID 26611555. doi:10.1016/j.rdc.2015.08.012
- ↑ a b GBD 2015 Disease and Injury Incidence and Prevalence, Collaborators. (8 de outubro de 2016). «Global, regional, and national incidence, prevalence, and years lived with disability for 310 diseases and injuries, 1990–2015: a systematic analysis for the Global Burden of Disease Study 2015.». Lancet. 388 (10053): 1545–1602. PMC 5055577
. PMID 27733282. doi:10.1016/S0140-6736(16)31678-6
- ↑ a b GBD 2015 Mortality and Causes of Death, Collaborators. (8 de outubro de 2016). «Global, regional, and national life expectancy, all-cause mortality, and cause-specific mortality for 249 causes of death, 1980–2015: a systematic analysis for the Global Burden of Disease Study 2015.». Lancet. 388 (10053): 1459–1544. PMID 27733281. doi:10.1016/S0140-6736(16)31012-1
- ↑ Baughman RP, Culver DA, Judson MA; Culver; Judson (março de 2011). «A concise review of pulmonary sarcoidosis». American Journal of Respiratory and Critical Care Medicine. 183 (5): 573–81. PMC 3081278
. PMID 21037016. doi:10.1164/rccm.201006-0865CI
- ↑ «What Causes Sarcoidosis?». NHLBI. 14 de junho de 2013. Consultado em 28 de março de 2016. Cópia arquivada em 6 de abril de 2016
- ↑ a b Kobak, S (outubro de 2015). «Sarcoidosis: a rheumatologist's perspective». Therapeutic advances in musculoskeletal disease. 7 (5): 196–205. PMC 4572362
. PMID 26425148. doi:10.1177/1759720x15591310
- ↑ James DG, Sharma OP (setembro de 2002). «From Hutchinson to now: a historical glimpse» (PDF). Current Opinion in Pulmonary Medicine. 8 (5): 416–23. PMID 12172446. doi:10.1097/00063198-200209000-00013. Cópia arquivada (PDF) em 4 de março de 2016
- ↑ http://emedicine.medscape.com/article/301914-overview
- ↑ http://emedicine.medscape.com/article/301914-treatment
- ↑ a b c d e f Sharma, OP (2005). "Chapter 1: Definition and history of sarcoidosis". Sarcoidosis. Sheffield: European Respiratory Society Journals. ISBN 9781904097884.
- ↑ Daldon, Patrícia Érica Christofoletti; Arruda, Lúcia Helena Fávaro (dezembro de 2007). «Granulomas não-infecciosos: sarcoidose». Anais Brasileiros de Dermatologia. 82 (6): 559–571. ISSN 0365-0596. doi:10.1590/S0365-05962007000600010
