Pneumoconiose

Pneumoconiose
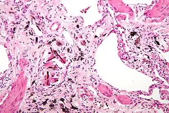
Micrografia de de asbestose (com corpos ferruginosos), um tipo de pneumoconiose. H&E stain.
Especialidadepneumologia
Classificação e recursos externos
CID-11CA60
CID-10J60-J65
CID-9500-505
DiseasesDB31746
MeSHD011009
A Wikipédia não é um consultório médico. Leia o aviso médico 

Pneumoconiose é uma doença pulmonar ocupacional com padrão restritivo causada pela inalação de poeiras inorgânicas, geralmente associada a trabalho em metalúrgicas, construtoras, mecânicas ou minas.

Tipos

Dependendo do tipo de poeira, existem varias variantes da doença.

As variantes incluem:

Outras

Pulmão do Labrador, encontrado originalmente em mineiros do Labrador, Canadá, causado por uma mistura de poeira contendo ferro, sílica e antofilite, um tipo de amianto.

Especula-se que astronautas sujeitos a uma exposição prolongada à poeira lunar podem ser susceptível a um tipo de pneumoconiose. De momento não houve casos, mas nas futuras missões lunares serão tomadas precauções contra a exposição.

Pneumoconiose em combinação com múltiplas pulmonares nódulos reumatóides em artrite reumatóide nos doentes é conhecido como síndrome de Caplan.[1]

Doença dos pipoqueiros: emissões de poeiras de condimentos utilizados na produção de manteiga de pipocas de microondas.

Sinais e sintomas

Nos estágios iniciais pode não ter sintomas e apenas aumentar o risco de câncer de pulmão e outras neoplasias do sistema respiratório. Indicações positivas sobre a avaliação do paciente:[2]

  • Tosse seca;
  • Dificuldade para respirar;
  • Ponta dos dedos agrandados.

Diagnóstico

Radiografia do tórax pode mostrar uma característica desigual, subpleurais, bibasilar infiltrados intersticiais ou pequenas radiolucencies cística chamada faveolamento.

Referências

  1. Andreoli, Thomas, ed. Cecil Essentials of Medicine. Saunders: New York, 2004. p. 737
  2. http://aje.oxfordjournals.org/content/133/3/220.abstract

Ver também

Ligações externas