Embolia pulmonar
| Embolia pulmonar | |
|---|---|
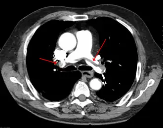
| Tomografia computadorizada de tórax com agente de radiocontraste mostrando múltiplos defeitos de enchimento dos principais ramos das artérias pulmonares, devido a embolismo pulmonar crônico e agudo. | |
| Especialidade | cardiologia, hematologia, pneumologia |
| Classificação e recursos externos | |
| CID-11 | BB00 |
| CID-10 | I26 |
| CID-9 | 415.1 |
| DiseasesDB | 10956 |
| MedlinePlus | 000132 |
| eMedicine | med/1958 emerg/490 radio/582 |
| MeSH | D011655 |
Embolia pulmonar, também conhecida como tromboembolismo pulmonar (TEP), é o bloqueio da artéria pulmonar ou de um de seus ramos. Geralmente, ocorre quando um trombo venoso (sangue coagulado de uma veia) se desloca de seu local de formação e viaja, ou emboliza, para o fornecimento sanguíneo arterial de um dos pulmões.[1] Os sintomas podem incluir falta de ar, dor torácica na inspiração e tosse com sangue.[2] Sintomas de trombose venosa profunda em membro inferior também podem estar presentes, como hiperemia, calor, inchaço e dor.[2] Os sinais clínicos incluem baixa saturação de oxigênio sanguíneo, respiração acelerada e taquicardia. Casos graves de embolia pulmonar não tratada podem levar a perda de consciência, instabilidade circulatória e morte súbita.[3]
Os fatores de risco para a ocorrência de trombose venosa profunda são o câncer, períodos prolongados de repouso no leito, tabagismo, acidente vascular cerebral, algumas doenças genéticas, gravidez, obesidade e alguns tipos de procedimentos cirúrgicos.[4] Uma pequena parcela dos casos podem se desenvolver a partir da embolização de ar, gordura ou líquido amniótico.[5][6] O diagnóstico baseia-se em sinais e sintomas em combinação com exames complementares. Se o risco for baixo, um exame de sangue conhecido como Dímero D pode descartar a condição. Caso contrário, exames de tomografia computadorizada, cintilografia pulmonar ou ultrassonografia de membros inferiores podem confirmar o diagnóstico.[3][7]
Os esforços para prevenir a embolia pulmonar incluem exercícios físicos no pós-cirúrgico e em períodos prolongados na posição sentada e o uso de anticoagulantes em casos específicos.[8] Essas substâncias - geralmente heparina e varfarina - são muitas vezes prescritas para uso continuado por seis meses ou mais.[3][9][10] Os casos mais graves podem requerer o uso de trombolíticos, como a estreptoquinase e o ativador do plasminogênio tecidual (RtPA), ou mesmo de intervenção cirúrgica, como a trombectomia ou embolectomia pulmonar.[3][11][12] Em pacientes com tromboembolismo venoso recorrente com contra-indicação ao uso de anticoagulantes, pode-se utilizar o filtro de veia cava.[3][9]
Embolias pulmonares afetam cerca de 430.000 pessoas por ano na Europa e 300.000 e 600.000 nos Estados Unidos.[1][13][14] Estima-se que a prevalência da doença no Brasil seja de 3,9% a 16,6%.[15]
Patofisiologia
Êmbolo, neste caso, é algo que não tenha fluidez necessária para passar por todos os segmentos da circulação pulmonar. Por exemplo, se um coágulo se forma em uma veia da perna e se solta do seu local de origem, o fluxo do sangue o transportará. Ele sairá da veia original e subirá progressivamente até atingir a veia cava inferior. Seguirá então por dentro do coração, através do átrio direito e do ventrículo direito. Daí passará ao tronco da artéria pulmonar, as artérias pulmonares direita ou esquerda e a seus ramos progressivamente menos calibrosos. Quando atingir um ramo mais estreito que seu tamanho, o coágulo ali pára, interrompendo a circulação local. Os êmbolos podem ser coágulos sanguíneos, bolhas de gás ou gordura, entre outras possibilidades. O termo embolia pulmonar é usado quase como sinônimo de embolia por coágulo, já que é a situação mais comum.
Consequências
Quando uma embolia pulmonar ocorre, subitamente a circulação é interrompida em uma parcela do pulmão. Isto fará com que aumente a resistência a circulação do sangue e diminua a área de funcionamento normal do pulmão. O aumento da resistência sobrecarrega o coração. A diminuição da área de trocas gasosas leva a menor oxigenação do sangue. Conforme a situação prévia da pessoa que sofreu a embolia, isto pode desde não ser percebido até provocar morte súbita. A maior parte das embolias é pequena e não é percebida.
Fatores de Risco
- Imobilidade no leito;
- Repouso prolongado;
- Anestesia;
- Insuficiência cardíaca;
- Trombose venosa prévia;
- Gravidez;
- Imobilização de membros por gessos e ataduras;
- Politraumatismos;
- Fraturas ósseas;
- Inflamação;
- Cirurgias de grande porte;
- Queimaduras;
- Enfarte do miocárdio;
- ICC;
- Idade acima de 40 anos;
- AVE
- Parto e puerpério;
- Estados de hipercoagulabilidade.
Sinais e sintomas
Dependem do grau de prejuízo trazido ao funcionamento do organismo. Pode provocar falta de ar (dispneia), em geral súbita, chiado de peito (sibilancia), tosse e cianose. Pode ocorrer taquicardia, dilatação das veias do pescoço, aumento de tamanho de fígado e baço, além de inchaço nas pernas. Aproximadente 15% dos casos de morte súbita são atribuídos a embolismo pulmonar. Como as próprias condições que facilitam a embolia têm sintomas semelhantes, nem sempre se consegue identificar o surgimento desta.
Tratamento
O tratamento busca diminuir as conseqüências, com medidas para melhorar a eficiência circulatória, diminuindo a sobrecarga cardíaca, e melhorar a eficiência pulmonar, com aumento da oxigenação do sangue. Também são feitas medidas para dificultar a formação de novos êmbolos, como com o uso de anticoagulantes ou usos de uma câmara de descompressão após embolia gasosa de mergulhadores.
Anticoagulação
Na maioria dos casos, a terapia de anticoagulação é a base do tratamento. Heparina, heparinas de baixo peso molecular (como a enoxaparina e a dalteparina) ou fondaparinux é administrado inicialmente, enquanto a terapia com warfarina é iniciada (isso pode levar diversos dias, geralmente enquanto o paciente está no hospital). Entretanto pode ser possível tratar pacientes de baixo risco através de acompanhamentos ambulatoriais, sem a necessidade de internação.[16] Um estudo em andamento está avaliando a segurança desta prática.[17] A terapia com warfarina frequentemente requer ajuste de doses a monitoramento da razão normalizada internacional (INR ou RNI). Nos pacientes com embolia pulmonar, a INR ideal é geralmente considerada entre 2,0 e 3,0. Se outro episódio de embolia pulmonar ocorrer durante o tratamento com a warfarina, a janela da INR pode ser aumentada para 2,5-3,5 (a menos que haja contraindicações) ou a anticoagulação pode ser mudada para um anticoagulante diferente, como, por exemplo, para uma heparina de baixo peso molecular. Em pacientes com uma doença maligna subjacente, a terapia com um curso de heparina de baixo peso molecular pode ser mais favorável, baseando-se nos resultados do CLOT trial.[18] De maneira semelhante, mulheres grávidas são frequentemente mantidas sob heparina de baixo peso molecular para evitar os efeitos teratogênicos da warfarina, especialmente nos estágios iniciais da gravidez.
As pessoas geralmente são admitidas no hospital nos estágios iniciais do tratamento e tendem a permanecer internadas sob cuidados médicos até que a INR tenha atingido os níveis terapêuticos. De maneira cada vez mais frequente, os casos de baixo risco são manejados no ambulatório, uma tendência que também vem se observando no tratamento da trombose venosa profunda.[19]
A terapia de warfarina geralmente é continuada por 3-6 meses ou por toda a vida se houve casos prévios de embolia pulmonar ou trombose venosa profunda ou nenhum dos fatores de riscos usuais está presente. Um nível anormal de D-dímero no final do tratamento pode sinalizar a necessidade de um tratamento continuado entre pacientes com um primeiro êmbolo pulmonar não provocado.[20]
Termos relacionados
Embolia gasosa - embolia pulmonar por bolhas de gás que se formam na circulação, como no processo de descompressão súbita na subida a superfície de um mergulhador.
Embolia gordurosa - embolia pulmonar por fragmentos de tecido adiposo que entraram na circulação após um grande trauma, como numa fratura de quadril.
Embolia amniótica - embolia pulmonar que ocorre após o parto, por passagem de parte do líquido amniótico para a circulação da mãe.
Ver também
Referências
- ↑ a b «What Is Pulmonary Embolism?». National Heart, Lung, and Blood Institute (em inglês). U.S. Department of Health and Human Services - National Institutes of Health. 2011. Consultado em 27 de Agosto de 2016
- ↑ a b «What Are the Signs and Symptoms of Pulmonary Embolism?». National Heart, Lung, and Blood Institute (em inglês). U.S. Department of Health and Human Services - National Institutes of Health. 2011. Consultado em 27 de Agosto de 2016
- ↑ a b c d e Caramelli et al 2004, p. 1-8.
- ↑ «Who Is at Risk for Pulmonary Embolism?». National Heart, Lung, and Blood Institute (em inglês). U.S. Department of Health and Human Services - National Institutes of Health. 2011. Consultado em 28 de Agosto de 2016
- ↑ «What Causes Pulmonary Embolism?». National Heart, Lung, and Blood Institute (em inglês). U.S. Department of Health and Human Services - National Institutes of Health. 2011. Consultado em 28 de Agosto de 2016
- ↑ Rodrigues et al 2007, p. 93-96.
- ↑ «How Is Pulmonary Embolism Diagnosed?». National Heart, Lung, and Blood Institute (em inglês). U.S. Department of Health and Human Services - National Institutes of Health. 2011. Consultado em 28 de Agosto de 2016
- ↑ «How Can Pulmonary Embolism Be Prevented?». National Heart, Lung, and Blood Institute (em inglês). U.S. Department of Health and Human Services - National Institutes of Health. 2011. Consultado em 28 de Agosto de 2016
- ↑ a b «How Is Pulmonary Embolism Treated?». National Heart, Lung, and Blood Institute (em inglês). U.S. Department of Health and Human Services - National Institutes of Health. 2011. Consultado em 28 de Agosto de 2016
- ↑ «Living With Pulmonary Embolism». National Heart, Lung, and Blood Institute (em inglês). U.S. Department of Health and Human Services - National Institutes of Health. 2011. Consultado em 28 de Agosto de 2016
- ↑ Taranto et al 1997, p. 339-348.
- ↑ Volschan 2001, p. 63-67.
- ↑ Raskob et al 2014, p. 2363-2371.
- ↑ Rahimtoola, Bergin 2005, p. 61-114.
- ↑ Terra-Filho et al 2010, p. S1-S68.
- ↑ «BestBets: Outpatient treatment of pulmonary embolism». Consultado em 6 de dezembro de 2008
- ↑ «Safety Study of Outpatient Treatment for Pulmonary Embolism - Full Text View - ClinicalTrials.gov». Consultado em 6 de dezembro de 2008
- ↑ Lee AY, Levine MN, Baker RI, Bowden C, Kakkar AK, Prins M, Rickles FR, Julian JA, Haley S, Kovacs MJ, Gent M (2003). «Low-molecular-weight heparin versus a coumarin for the prevention of recurrent venous thromboembolism in patients with cancer.». N Engl J Med. 349 (2): 146–53. PMID 12853587. doi:10.1056/NEJMoa025313
- ↑ Davies CW, Wimperis J, Green ES,; et al. (2007). «Early discharge of patients with pulmonary embolism: a two-phase observational study». Eur. Respir. J. 30 (4): 708–14. PMID 17567672. doi:10.1183/09031936.00140506
- ↑ Palareti G, Cosmi B, Legnani C,; et al. (2006). «D-dimer testing to determine the duration of anticoagulation therapy». N. Engl. J. Med. 355 (17): 1780–9. PMID 17065639. doi:10.1056/NEJMoa054444
Bibliografia
- Caramelli, B.; Gottschall, C.A.M; Blacher, C.; Casagrande, E.L.; Lucio, E.A.; Manente, E.R.F.; Mesquita, E.T.; Bodanese, L.C.; Rocha, M.S (agosto de 2004). «Diretriz de Embolia Pulmonar» (PDF). Arquivos Brasileiros de Cardiologia. 83 (supl. 1): 1-8. ISSN 1678-4170. Consultado em 27 de agosto de 2016
- Rahimtoola, A.; Bergin, J.D (fevereiro de 2005). «Acute pulmonary embolism: an update on diagnosis and management». Current Problems in Cardiology (em inglês). 30 (2): 61-114. ISSN 0146-2806. Consultado em 28 de agosto de 2016
- Raskob, G.E.; Angchaisuksiri, P.; Blanco, A.N.; Buller, H.; Gallus, A.; Hunt, B.J.; Hylek, E.M.; Kakkar, A.; Konstantinides, S.V.; McCumber, M.; Ozaki, Y.; Wendelboe, A.; Weitz, J.I (novembro de 2014). «Thrombosis: a major contributor to global disease burden». Arteriosclerosis, Thrombosis, and Vascular Biology (em inglês). 34 (11): 2363-2371. ISSN 1524-4636. Consultado em 28 de agosto de 2016
- Rodrigues, R.; Nunes, F.; Meirinho, M (agosto de 2009). «Embolia de Líquido Amniótico» (PDF). Acta Médica Portuguesa. 20 (1): 93-96. ISSN 1646-0758. Consultado em 27 de agosto de 2016
- Taranto, G.L.; Moreno, P.; Kalil, R.A.K (agosto de 1997). «Tratamento Cirúrgico de Tromboembolismo Pulmonar Crônico» (PDF). Arquivos Brasileiros de Cardiologia. 69 (5): 339-348. ISSN 1678-4170. Consultado em 27 de agosto de 2016
- Terra-Filho, A.; Menna-Barreto, S.S et col (março de 2010). «Recomendações para o manejo da tromboembolia pulmonar, 2010» (PDF). Jornal Brasileiro de Pneumologia. 36 (supl. 1): S1-S68. ISSN 1806-3756. Consultado em 28 de agosto de 2016
- Volschan, A. (2001). «Tratamento anticoagulante do tromboembolismo pulmonar» (PDF). Revista da Sociedade de Cardiologia do Estado do Rio de Janeiro. XIV (1): 63-67. ISSN 2177-6042 Verifique
|issn=(ajuda). Consultado em 28 de agosto de 2016