Pambronquiolite difusa

A pambronquiolite difusa[1][2][3][4] é uma doença pulmonar inflamatória de causa desconhecida. É uma forma grave e progressiva de bronquiolite, uma condição inflamatória dos bronquíolos (pequenas ductos de ar nos pulmões). O termo difuso significa que as lesões aparecem em toda a extensão de ambos os pulmões, enquanto panbronquiolite refere-se a inflamação encontrada em todas as camadas dos bronquíolos respiratórios (os envolvidos na troca gasosa). A doença causa inflamação severa em bronquíolos terminais, sinusite crônica, tosse intensa e com grandes quantidades de produção de expectoração.[5]
Classificação
O termo "bronquiolite" geralmente se refere à inflamação dos bronquíolos. A panbronquiolite difusa é classificada como uma forma de "bronquiolite primária", o que significa que a causa subjacente da bronquiolite se origina ou se limita aos bronquíolos. Além desta doença, outras formas de bronquiolite primária incluem a bronquiolite obliterante, bronquiolite folicular, bronquiolite respiratória, doença das vias aéreas de poeira mineral e uma série de outras. Ao contrário da panbronquiolite difusa, a bronquiolite que não é considerada "primária" estaria associada a doenças das vias aéreas maiores, tais como a bronquite crônica.
Sinais e sintomas
Os sintomas da panbronquiolite difusa incluem sinusite crônica (inflamação dos seios paranasais), sibilância, crepitações (sons respiratórios causados por obstrução de vias aéreas, como catarro e secreções), dispneia (falta de ar) e uma tosse severa que produz grandes quantidades de escarro. Pode haver pus na expectoração e os indivíduos afetados podem também ter febre. Sinais típicos de progressão da doença incluem dilatação (alargamento) das passagens bronquiolares e hipoxemia (baixos níveis de oxigênio no sangue). Se a enfermidade não for tratada, poderá ocorrer bronquiectasia, um condição caracterizada pela dilatação e espessamento das paredes dos bronquíolos, lesões inflamatórias em bronquíolos terminais e respiratórios, e acúmulo de muco nos pulmões. A panbronquiolite difusa está associada com insuficiência respiratória progressiva, hipercapnia (aumento dos níveis de dióxido de carbono no sangue), e pode, eventualmente, levar à hipertensão pulmonar (pressão arterial elevada na veia e artéria pulmonares) e cor pulmonale (dilatação do ventrículo direito do coração devido a um problema pulmonar).
Causas
A panbronquiolite difusa é uma doença idiopática, ou seja, a sua causa exata ainda permanece desconhecida. No entanto, vários fatores foram apontados como os prováveis responsáveis pelo seu surgimento, assim como o mecanismo pelo qual lesa os tecidos acometidos.[6]
O complexo principal de histocompatibilidade é uma grande região genômica encontrada na maioria dos animais vertebrados e que está associada com o sistema imunológico. Nos seres humanos, está localizado no cromossomo 6. Um subconjunto deste complexo é chamado de antígeno leucocitário humano, também conhecido pela sigla HLA (do inglês: human leukocyte antigen), que controla o sistema de células apresentadoras de antígenos como parte da imunidade adaptativa contra patógenos, a exemplo de bactérias e vírus. Quando as células humanas são infectadas por um desses agentes, algumas delas podem apresentar partes das proteínas do microorganismo agressor em sua superfície, processo este denominado "apresentação de antígenos". As células infectadas são então identificadas, atacadas e destruídas pelos linfócitos T citotóxicos, um tipo especial de glóbulo branco presente no sangue.[7]
A predisposição genética para a susceptibilidade à panbronquiolite difusa foi localizada em dois haplótipos HLA comuns em pessoas provenientes da Ásia Oriental. Um haplótipo é uma sequência de genes diferentes entre cromossomos emparelhados e que é mais provável de ocorrer entre membros de uma mesma etnia. O HLA-B54 está associada à enfermidade em japoneses, enquanto o HLA-A11 está associada com a doença em coreanos. Vários genes dentro desta região do HLA são apontados como os responsáveis pela panbronquiolite difusa, permitindo o aumento da susceptibilidade à patologia. O fundo genético comum e as semelhanças entre os perfis de HLA de indivíduos doentes japoneses e coreanos foram considerados na busca de um gene específico para esta condição. Foi sugerido que uma mutação nesse suposto gene de suscetibilidade à doença, localizado em algum lugar entre o HLA-B e o HLA-A, tenha ocorrido em um cromossomo ancestral que transportava o HLA-B54 e o HLA-A11. Além disso, é possível que uma série de eventos de recombinação genética em todo o locus (localização em um cromossomo) da doença poderia ter resultado na associação da panbronquiolite com o HLA-B54 nos japoneses e o HLA-A11 nos coreanos. Após um estudo mais aprofundado, concluiu-se que um gene de suscetibilidade à doença está localizado perto do locus HLA-B no cromossomo 6p21.3. Dentro desta área, a busca de uma causa genética ainda prossegue.
Devido ao fato de que muitos genes que fazem parte do HLA permanecem ainda sem identificação, a clonagem posicional (um método usado para identificar um gene específico, quando apenas a sua localização em um cromossomo é conhecida) tem sido usada para determinar se um gene do tipo mucina está associado com a panbronquiolite difusa. Além disso, doenças causadas por genes HLA identificadas na mesma região do gene da susceptibilidade à panbronquiolite têm sido investigadas. Uma delas, a síndrome do linfócito nu I (SLN I), tem em comum uma série de sinais e sintomas semelhantes, incluindo sinusite crônica, inflamação e nódulos bronquiolares, e a presença de H. influenzae. Também como a panbronquiolite, a SLN I responde favoravelmente à terapia com eritromicina, mostrando uma resolução dos sintomas. As semelhanças entre estas duas doenças, o sucesso correspondente com o mesmo modo de tratamento, e o fato de que o gene responsável pela SLN I está localizado dentro da área do HLA para a panbronquiolite, restringe o estabelecimento de um gene específico para esta última doença. Fatores ambientais, como a inalação de gases tóxicos e o tabagismo não são implicados como tendo papel na gênese da panbronquiolite, mas fatores ambientais ainda desconhecidos e outras causas não-genéticas, tais como bactérias ou vírus não identificados, não foram descartados.
A fibrose cística (FC), uma doença pulmonar progressiva multissistêmica, tem sido considerada na busca por uma causa genética para a panbronquiolite difusa por diversos motivos. Ambas causam inflamação pulmonar grave, produção de muco abundante e predisposição à infecção. A fibrose cística mostra uma predominância genética entre caucasianos de um grupo geográfico (no caso, descendentes de europeus), sendo rara em indivíduos de outras etnias, e a panbronquiolite, de modo semelhante, domina entre asiáticos orientais. Enquanto que nenhum gene foi apontado como a causa da panbronquiolite, uma mutação em um gene específico, muito mais provável de ocorrer em europeus, provoca o surgimento da fibrose cística. Esta mutação no gene da FC que causam não é um fator de DPB, mas um polimorfismo exclusivo (variação) neste gene é conhecida a ocorrência de muitos asiáticos não necessariamente afetados por qualquer doença. Ele está sendo investigado se este gene em qualquer estado de mutação pode contribuir para DPB.
Fisiopatologia
A inflamação é uma parte normal da resposta imune em humanos, pela qual os leucócitos (glóbulos brancos), incluindo os neutrófilos, se agrupam e quemoquinas (proteínas liberadas a partir de certas células, que ativam ou provocam uma resposta em outras células) se acumulam em qualquer local do corpo onde as infecções bacterianas ou virais estejam ocorrendo. A inflamação interfere com a atividade de bactérias e vírus, e serve para eliminá-las do corpo. Na panbronquiolite difusa, bactérias como Haemophilus influenzae e Pseudomonas aeruginosa podem causar a proliferação de células inflamatórias no tecido bronquiolar. No entanto, mesmo quando as bactérias não estão presentes na panbronquiolite, a inflamação continua por um motivo ainda desconhecido. Em qualquer circunstância, a inflamação nesta doença pode ser tão grave que nódulos contendo células inflamatórias se formam nas paredes dos bronquíolos. A presença de inflamação e infecção nas vias aéreas resulta também na produção excessiva de muco, que é expelido como escarro. A combinação de inflamação, infecção, muco, desenvolvimento de nódulos e tosse frequente contribui para os sintomas respiratórios nas pessoas acometidas pela enfermidade.
O fato de que a inflamação na panbronquiolite persiste com ou sem a presença de P. aeruginosa e H. influenzae fornece um meio para determinar vários mecanismos na patogênese da doença. Os leucotrienos são eicosanoides, moléculas de sinalização feitas a partir de ácidos graxos essenciais, que desempenham um papel em muitas doenças pulmonares, causando a proliferação de células inflamatórias e produção excessiva de muco nas vias aéreas. Na panbronquiolite difusa e em outras doenças pulmonares, o mediador predominante de neutrófilos relacionados com a inflamação é o leucotrieno B4, que se especializa na proliferação de neutrófilos via quimiotaxia (o movimento de alguns tipos de células em direção a certas moléculas).
A inflamação na panbronquiolite também é causada pela quimiocina CCL4 e seu envolvimento com células T CD8+. As defensinas beta, uma família de antimicrobianos peptídeos encontrados no trato respiratório, são responsáveis pela maior parte da inflamação quando um patógeno como a P. aeruginosa está presente. Quando associado à panbronquiolite, o vírus linfotrópico T humano tipo I, um retrovírus, modifica a patogênese da doença por infectar linfócitos T auxiliares, alterando a sua eficácia em reconhecer a presença de agentes patogênicos conhecidos ou desconhecidos envolvidos com a panbronquiolite.
Diagnóstico
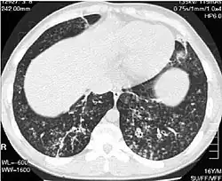
O diagnóstico da panbronquiolite difusa requer a análise dos tecidos do pulmão e dos bronquíolos, o que pode exigir uma biópsia ou uma tomografia computadorizada (TC) de alta resolução dos pulmões. Os critérios diagnósticos incluem inflamação grave em todas as camadas da bronquíolos respiratórios e lesões do tecido pulmonar que aparecem como nódulos dentro do bronquíolo terminal e respiratório em ambos os pulmões. Os nódulos na panbronquiolite aparecem como caroços opacos quando vistos em radiografias do pulmão e podem causar obstrução das vias aéreas, o que é avaliado por um teste de função pulmonar. A radiografia de tórax também pode revelar dilatação das passagens bronquiolares, outro sinal da doença. A tomografia mostra frequentemente bloqueios de algumas passagens bronquiolares por muco, que é referido como padrão em "árvore em brotamento". A hipoxemia, outro sinal de insuficiência respiratória, é revelada através da medição do conteúdo de oxigênio e dióxido de carbono do sangue, usando um exame de sangue chamado de gasometria arterial. Outros achados observados na panbronquiolite incluem a proliferação de linfócitos (glóbulos brancos que combatem as infecções), neutrófilos e histiócitos espumosos (macrófagos teciduais) no lúmen do pulmão. Bactérias como H. influenzae e P. aeruginosa são também detectáveis, com a última se tornando mais proeminente com a progressão da doença. O nível de glóbulos brancos, bactérias e outros conteúdos celulares do sangue podem ser medidos através de um hemograma completo. Níveis elevados de IgG e IgA (classes de imunoglobulinas) pode ser vistos, bem como a presença de fator reumatoide (um indicador de auto-imunidade). Hemaglutinação, uma aglomeração de células vermelhas do sangue em resposta à presença de anticorpos no sangue, pode também ocorrer. Neutrófilos, beta-defensinas, leucotrienos e quimiocinas também pode ser detectados no fluido do lavado broncoalveolar injetado então removido das vias aéreas bronquiolar de indivíduos com a doença, para avaliação.
Diagnóstico diferencial
A panbronquiolite difusa é muitas vezes considerada no diagnóstico diferencial de algumas doenças pulmonares obstrutivas. Uma série de sintomas se assemelham às encontradas com outras doenças respiratórias desse tipo, como asma, bronquite crônica e enfisema. Chiado, tosse com produção de escarro e falta de ar são sintomas comuns em tais doenças, e a insuficiência respiratória obstrutiva funcional é encontrada no exame de função pulmonar. A fibrose cística, tal como a panbronquiolite, causa inflamação pulmonar grave, produção excessiva de muco e infecção, mas esta última não causa distúrbios do pâncreas, nem em eletrólitos, como o faz fibrose cística faz. A panbronquiolite distingue-se pela presença de lesões que aparecem em radiografias como nódulos nos bronquíolos de ambos os pulmões, inflamação em todas as camadas de tecidos dos bronquíolos respiratórios, e sua maior prevalência entre os indivíduos do Leste Asiático.
Panbronquiolite difusa e bronquiolite obliterante são duas formas de bronquiolite primária. A sobreposição de características de ambas as doenças incluem tosse forte com grande quantidade de escarro, muitas vezes cheias de pus; nódulos pulmonares visíveis em radiografias nos brônquios inferiores e área bronquiolar, além de sinusite crônica. Na panbronquiolite, os nódulos são mais restritos aos bronquíolos respiratórios, enquanto que no bronquiolite obliterante eles são frequentemente encontrados nos bronquíolos membranosos (a parte não-cartilaginosa inicial do bronquíolo, que se divide a partir do brônquio superior) até o brônquio secundário. É uma doença bronquiolar com prevalência em todo o mundo, enquanto a outra tem prevalência mais localizada, predominantemente no Japão. Antes do reconhecimento clínico da panbronquiolite nos últimos anos, ela era muitas vezes diagnosticada como bronquiectasias, DPOC, fibrose pulmonar idiopática, tuberculose miliar, sarcoidose ou carcinoma de células alveolares.
Tratamento

Os antibióticos da classe dos macrolídeos, principalmente a eritromicina, são eficazes no tratamento da panbronquiolite difusa quando administrados regularmente por um longo período de tempo.[8][9] Os fármacos preconizados incluem eritromicina, claritromicina e roxitromicina. A azitromicina também tem sido estudada e considerada igualmente eficaz, com uma minoria de pacientes descritos como "curados" e uma maioria relatando redução nos sintomas.[10] Os resultados bem sucedidos com o uso de macrolídeos na panbronquiolite difusa, e outras doenças pulmonares similares, decorrem da melhora de determinados sintomas através de imunomodulação (adequação da resposta imune), que pode ser conseguida com o uso dos antibióticos em doses baixas.[9] O tratamento consiste na administração oral diária de eritromicina por dois a três anos; um período longo, mas que tem sido demonstrado como capaz de melhorar drasticamente os efeitos da doença.[11] Isto se torna evidente quando um indivíduo em tratamento para panbronquiolite, entre uma série de critérios relacionados com a remissão da doença, apresenta uma contagem normal de neutrófilos no lavado broncoalveolar e uma gasometria arterial (exame que mede a quantidade de oxigênio e dióxido de carbono no sangue arterial) mostrando níveis de oxigênio dentro da faixa normal.[8][9][12] Uma pausa temporária na terapia com eritromicina pode ser, nesses casos, realizada, afim de reduzir a indução de Pseudomonas aeruginosa resistentes a macrolídeos.[8] No entanto, os sintomas geralmente retornam, e o tratamento terá de ser retomado. Apesar de altamente eficaz, a eritromicina pode não ser bem sucedida em todos os pacientes com a doença, especialmente naqueles com P. aeruginosa resistente a macrolídeos ou nos que não foram tratados precocemente e a panbronquiolite já progrediu para uma insuficiência respiratória.[9][12]
A administração de eritromicina em pessoas com a doença provoca grande redução na inflamação dos bronquíolos. Tal benefício é conseguido através da supressão, não só da proliferação de neutrófilos, como também da atividade de linfócitos, o que diminui a produção de secreções mucosas que obstruíam as vias aéreas.[8] Os efeitos antibióticos dos macrolídeos não estão envolvidos com a sua ação benéfica no sentido de reduzir a inflamação na panbronquiolite.[12] Isto é evidente porque a dosagem usada é muito baixa para combater uma infecção e mesmo nos casos em que há Pseudomonas resistente aos macrolídeos, a terapia com eritromicina ainda consegue reduz a inflamação.[8]
Uma série de fatores estão envolvidos na supressão da inflamação pela eritromicina e outros macrolídeos. Esses fármacos são especialmente eficazes em inibir a proliferação de neutrófilos, diminuindo a capacidade de interleucina 8 e do leucotrieno B4 em atraí-los. Os macrolídeos também reduzem a eficiência de moléculas de adesão que permitem que os neutrófilos penetrem entre pequenos espaços no tecido bronquiolar. A produção de muco nas vias aéreas é um dos principais responsáveis na morbidade e mortalidade de doenças respiratórias como a panbronquiolite difusa. E o uso de eritromicina, além de reduzir significativamente a inflamação na doença, também ajuda a inibir a produção excessiva de muco.[13]
Prognóstico
A panbronquiolite não tratada leva a bronquiectasias, insuficiência respiratória e morte. Um estudo publicado em 1983 indicou que a doença não tratada tinha uma taxa de sobrevida em cinco anos de 62,1%, enquanto que a taxa de sobrevida em 10 anos foi aferida em 33,2%.[14] Com o advento do tratamento utilizando a eritromicina, os indivíduos portadores agora têm uma expectativa de vida muito maior devido ao melhor controle dos sintomas, retardo na progressão da doença e prevenção de infecções associadas, como a causada pela P. aeruginosa.[12] A taxa de sobrevida em 10 anos para pessoas tratadas passou a ser de cerca de 90%.[6] Nos casos onde o tratamento para a panbronquiolite resulta em melhora significativa, o que às vezes acontece depois de cerca de dois anos, a interrupção temporária do uso da medicação pode ser feita. No entanto, tais indivíduos autorizados a interromper o tratamento durante um determinado período devem ser monitorados de perto. Quando os sintomas da doença comprovadamente reaparecem, a terapia com eritromicina deve ser imediatamente retomada. Apesar da melhora do prognóstico com a terapêutica disponível atualmente, ainda não há um tratamento que cure definitivamente a enfermidade.[6][15]
Epidemiologia
A panbronquiolite difusa tem sua maior prevalência entre japoneses, acometendo 11 em cada 100 000 habitantes.[6] Também há relatos da doença em coreanos, chineses e tailandeses e por isso acredita-se que haja uma predisposição genética entre pessoas do leste asiático.[16][17][18][15] A doença é mais comum no sexo masculino,[19] numa proporção de 1,4 a 2 homens para cada mulher acometida.[6] A média de idade de início da panbronquiolite é de cerca de 40 anos, e dois terços das pessoas afetadas não são fumantes, embora o tabagismo não seja apontado como causa.[11] A presença do HLA-Bw54 aumenta em 13,3 vezes o risco de desenvolver a doença.[20]
Na Europa e nas Américas, um número relativamente pequeno de casos de panbronquiolite difusa foram relatados em imigrantes e residentes locais de origem asiática, bem como em indivíduos de ascendência não-asiática.[21][22][23] A doença é subdiagnosticada no Ocidente devido a seu menor reconhecimento em comparação aos países asiáticos. O pequeno número de doentes, comparado ao grande número de asiáticos que vivem no Ocidente, faz os cientistas acreditarem que fatores não-genéticos possam desempenhar algum papel na gênese da enfermidade. Contudo, esta raridade de casos em asiáticos no ocidente também pode ser parcialmente associada a erros de diagnóstico.[11][24]
História
No início da década de 1960, uma doença pulmonar crônica relativamente nova estava sendo observada e descrita por médicos no Japão. Em 1969, o termo "panbronquiolite difusa" foi introduzido para distingui-la da bronquite crônica, do enfisema pulmonar, da alveolite e da doença pulmonar obstrutiva crônica, dentre outras condições inflamatórias do pulmão. Entre 1978 e 1980, os resultados de um inquérito de abrangência nacional iniciado pelo Ministério da Saúde e Bem-Estar do Japão revelou mais de mil casos prováveis de panbronquiolite difusa, com 82 confirmados histologicamente. Na década de 1980, a enfermidade foi reconhecida internacionalmente como uma doença distinta dos pulmões.[25][6][14]
Até aquela data, o prognóstico para as pessoas acometidas pela doença era ruim, especialmente nos casos onde havia superinfecção (o surgimento de uma nova infecção viral ou bacteriana, além da infecção de base) por P. aeruginosa.[26] A panbronquiolite continuou a ter uma taxa de letalidade muito elevada antes do tratamento generalizado com antibióticos e a oxigenoterapia começou a ser usada rotineiramente no esforço para controlar os sintomas. Desde 1985, quando o tratamento de longo prazo com o antibiótico eritromicina se tornou o padrão na terapêutica para a panbroquiolite difusa, o prognóstico melhorou significativamente.[12] Em 1990, a associação do antígeno leucocitário humano (HLA) com a doença foi descrita pela primeira vez.[15]
Referências
- ↑ «Curso de diagnóstico por imagem do tórax: Capítulo IV - Tomografia computadorizada de alta resolução (TCAR) nas doenças das pequenas vias aéreas»
- ↑ «II Diretrizes brasileiras no manejo da tosse crônica». Jornal Brasileiro de Pneumologia: s403–s446. Novembro de 2006. ISSN 1806-3756. doi:10.1590/S1806-37132006001000002. Consultado em 16 de dezembro de 2024
- ↑ «Curso de diagnóstico por imagem do tórax» (PDF)
- ↑ «ROTOCOLO ASSITENCIAL DE MANEJO DA EXACERBAÇÃO DE DOENÇA PULMONAR OBSTRUTIVA CRÔNICA EM PACIENTE HOSPITALIZADO». Consultado em 16 de dezembro de 2024
- ↑ «Panbronquiolite difusa: uma doença subdiagnosticada?». Revista do Hospital das Clínicas
- ↑ a b c d e f Poletti, V.; Casoni, G.; Chilosi, M.; Zompatori, M. (Outubro de 2006). «Diffuse panbronchiolitis». European Respiratory Journal. 28 (4): 862–871. PMID 17012632. doi:10.1183/09031936.06.00131805
- ↑ Morris, Alan George; Hewitt, C.; Young, Stephen (1994). «5». The major histocompatibility complex: its genes and their roles in antigen presentation. 15. [S.l.]: Pergamon
- ↑ a b c d e Erro de citação: Etiqueta
<ref>inválida; não foi fornecido texto para as "refs" nomeadasmac - ↑ a b c d Erro de citação: Etiqueta
<ref>inválida; não foi fornecido texto para as "refs" nomeadasmac08 - ↑ Erro de citação: Etiqueta
<ref>inválida; não foi fornecido texto para as "refs" nomeadasHuiping Li - ↑ a b c Erro de citação: Etiqueta
<ref>inválida; não foi fornecido texto para as "refs" nomeadasdpb09far - ↑ a b c d e Schultz, MJ. (julho de 2004). «Macrolide activities beyond their antimicrobial effects: macrolides in diffuse panbronchiolitis and cystic fibrosis.». J Antimicrob Chemother. 54 (1): 21-8. PMID 15190022. doi:10.1093/jac/dkh309
- ↑ Erro de citação: Etiqueta
<ref>inválida; não foi fornecido texto para as "refs" nomeadasclinf - ↑ a b Erro de citação: Etiqueta
<ref>inválida; não foi fornecido texto para as "refs" nomeadasdpb - ↑ a b c Keicho, N.; Hijikata, M. (maio de 2011). «Genetic predisposition to diffuse panbronchiolitis.». Respirology. 16 (4): 581-8. PMID 21303426. doi:10.1111/j.1440-1843.2011.01946.x
- ↑ Erro de citação: Etiqueta
<ref>inválida; não foi fornecido texto para as "refs" nomeadaskor - ↑ Erro de citação: Etiqueta
<ref>inválida; não foi fornecido texto para as "refs" nomeadaschitwo - ↑ Erro de citação: Etiqueta
<ref>inválida; não foi fornecido texto para as "refs" nomeadasthai - ↑ Erro de citação: Etiqueta
<ref>inválida; não foi fornecido texto para as "refs" nomeadasew - ↑ Lazarus SC (2005). Murray and Nadel's Textbook of Respiratory Medicine 4ª ed. [S.l.]: WB Saunders. 1300 páginas. ISBN 0-7216-0327-0
- ↑ Erro de citação: Etiqueta
<ref>inválida; não foi fornecido texto para as "refs" nomeadasusa - ↑ Erro de citação: Etiqueta
<ref>inválida; não foi fornecido texto para as "refs" nomeadaslat - ↑ Erro de citação: Etiqueta
<ref>inválida; não foi fornecido texto para as "refs" nomeadascan - ↑ Erro de citação: Etiqueta
<ref>inválida; não foi fornecido texto para as "refs" nomeadasdpbai - ↑ Erro de citação: Etiqueta
<ref>inválida; não foi fornecido texto para as "refs" nomeadasdpb69 - ↑ Erro de citação: Etiqueta
<ref>inválida; não foi fornecido texto para as "refs" nomeadasinf03