Doença de Creutzfeldt-Jakob

Doença de Creutzfeldt–Jakob
SinónimosDoença de Creutzfeldt–Jakob clássica[1]
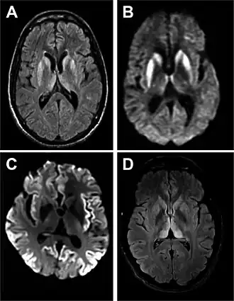
Ressonância magnética de DCJ esporádica[2]
EspecialidadeNeurologia
SintomasIniciais: perda de memória, alterações no comportamento, falta de coordenação, perturbações visuais[3]
Tardios: demência, movimentos involuntários, perda de visão, fadiga, coma[3]
ComplicaçõesPneumonia por aspiração devido à dificuldade em tossir
Início habitualCerca de 60 anos[3]
DuraçãoMortalidade de 70% no prazo de um ano após diagnóstico[3]
TiposEsporádica, familiar, iatrogénica, variante[3]
CausasPrião[3]
Fatores de riscoHereditária: pelo menos um antepassado com a doença
Método de diagnósticoBaseado nos sintomas e exames médicos após serem descartadas outras possíveis causas[3]
Condições semelhantesEncefalite, meningite crónica, doença de Huntington, doença de Alzheimer[3]
TratamentoCuidados paliativos[3]
MedicaçãoPara alívio da dor: morfina, metadona
PrognósticoFatal[3]
Frequência1 por milhão por ano[3]
Classificação e recursos externos
CID-118E02.0
CID-10A81.00, A81.0
CID-9046.1, 046.19
OMIM123400
DiseasesDB3166
MedlinePlus000788
eMedicine1169688
MeSHD007562
A Wikipédia não é um consultório médico. Leia o aviso médico 

A doença de Creutzfeldt–Jakob (DCJ), também denominada encefalopatia espongiforme subaguda, é uma doença neurodegenerativa fatal.[3][1] Os sintomas iniciais mais comuns são perda de memória, alterações no comportamento, falta de coordenação e perturbações visuais[3] Entre os sintomas mais tardios estão demência, movimentos involuntários, perda de visão, fadiga e coma.[3] Em cerca de 70% dos casos a pessoa morre no prazo de um ano após o diagnóstico.[3]

A DCJ é causada por proteínas denominadas priões.[4] Os priões são proteínas mal enoveladas que fazem com que proteínas corretamente enoveladas se tornem elas próprias desenoveladas.[3] Cerca de 85% dos casos ocorrem por razões desconhecidas, enquanto cerca de 7,5% dos casos são herdados de um dos progenitores de forma autossómica dominante.[3][5] A doença pode também ser transmitida por exposição ao cérebro ou tecidos da medula espinal de uma pessoa infetada.[3] Não há evidências de que possa ser transmitida entre pessoas por contacto normal ou transfusão de sangue.[3] O diagnóstico da doença requer que sejam descartadas outras potenciais causas e pode ser complementado por electroencefalograma, punção lombar ou ressonância magnética.[3]

Não existe tratamento específico para a DCJ.[3] A dor pode ser aliviada com opioides, enquanto o clonazepam ou o valproato de sódio podem ajudar com os movimentos involuntários.[3] A DCJ afeta cerca de uma por cada milhão de pessoas por ano.[3] A doença tem geralmente início por volta dos 60 anos de idade.[3] Foi descrita pela primeira vez em 1920.[3] É um tipo de encefalopatia espongiforme transmissível.[6] A DCJ hereditária corresponde a cerca de 10% dos casos de doenças causadas por priões.[5] A DCJ esporádica é diferente da encefalopatia espongiforme bovina (doença das vacas loucas) e da doença de Creutzfeldt–Jakob variante.[7]

Referências

  1. 1 2 «Creutzfeldt-Jakob Disease, Classic (CJD)». CDC. 2 de outubro de 2018. Consultado em 21 de novembro de 2018
  2. Mead S, Rudge P (abril de 2017). «CJD mimics and chameleons». Practical Neurology. 17 (2): 113–121. PMC 5520355Acessível livremente. PMID 28153848. doi:10.1136/practneurol-2016-001571
  3. 1 2 3 4 5 6 7 8 9 10 11 12 13 14 15 16 17 18 19 20 21 22 23 24 25 «Creutzfeldt–Jakob Disease Fact Sheet | National Institute of Neurological Disorders and Stroke». NINDS. Março de 2003. Consultado em 16 de julho de 2017. Cópia arquivada em 4 de julho de 2017
  4. «Creutzfeldt-Jakob Disease, Classic (CJD) | Prion Diseases | CDC». www.cdc.gov (em inglês). 1 de fevereiro de 2019. Consultado em 17 de junho de 2019. Classic CJD is a human prion disease
  5. 1 2 Manix, Marc; Kalakoti, Piyush; Henry, Miriam; Thakur, Jai; Menger, Richard; Guthikonda, Bharat; Nanda, Anil (1 de novembro de 2015). «Creutzfeldt-Jakob disease: updated diagnostic criteria, treatment algorithm, and the utility of brain biopsy». Neurosurgical Focus (em inglês). 39 (5): E2. ISSN 1092-0684. PMID 26646926. doi:10.3171/2015.8.FOCUS15328
  6. «About CJD | Creutzfeldt–Jakob Disease, Classic (CJD) | Prion Disease». CDC. 11 de fevereiro de 2015. Consultado em 16 de julho de 2017. Cópia arquivada em 8 de agosto de 2017
  7. «Creutzfeldt–Jakob Disease, Classic (CJD) | Prion Diseases». CDC. 6 de fevereiro de 2015. Consultado em 16 de julho de 2017. Cópia arquivada em 18 de julho de 2017

Ligações externas