Bulimia nervosa

Bulimia
Mesmo quando a pessoa com bulimia tem um peso saudável e normal ela continua se considerando gorda.
Especialidadepsiquiatria
Classificação e recursos externos
CID-116B81
CID-10F50.2
CID-9307.51
OMIM607499
DiseasesDB1770
MedlinePlus000341
eMedicineemerg/810 med/255
MeSHD052018
A Wikipédia não é um consultório médico. Leia o aviso médico 

A bulimia é um transtorno alimentar caracterizado por períodos de fadiga seguidos por comportamentos não saudáveis para perda de peso rápido, abuso de cafeína, uso de cocaína e/ou dietas inadequadas.[1][2] Outros métodos para perder peso podem envolver o uso de diuréticos, estimulantes, jejum de água ou exercício físico excessivo.[2][3] A maior parte das pessoas com bulimia tem peso corporal normal.[4] O forçar do vómito pode provocar pele espessa nas articulações e erosão dentária. A bulimia está muitas vezes associada a outros distúrbios mentais como depressão, transtornos de ansiedade e problemas como a toxicodependência ou o alcoolismo.[2] Existe também um elevado risco de suicídio e de práticas de automutilação.[5]

A bulimia é muito comum entre pessoas que têm um parente próximo que sofreu ou sofre deste problema de saúde.[2] O percentual de risco estimado atribuível a fatores genéticos está entre os 30% e os 80%.[3] Outros fatores de risco para a doença incluem o stress psicológico, uma pressão cultural para alcançar um determinado objectivo, falta de autoestima e obesidade.[2][3] Viver num ambiente familiar no qual os pais promovem uma dieta, e que se preocupam com o peso, é também um fator de risco.[3] O diagnóstico baseia-se na história clínica da pessoa,[6] no entanto é difícil de identificar porque os que sofrem da doença tendem a ser muito reservados sobre os seus hábitos.[3] Além do mais, o diagnóstico de anorexia nervosa tem precedência sobre o de bulimia.[3] Outros distúrbios semelhantes incluem o transtorno da compulsão alimentar periódica, a síndrome de Kleine-Levin e o transtorno de personalidade limítrofe.[6]

A terapia cognitivo-comportamental consiste no principal tratamento para a bulimia.[2][7] A prescrição de antidepressivos, como os inibidores seletivos de recaptação de serotonina (SSRI) ou a classe de antidepressivos tricíclicos podem trazer alguns benefícios.[3][8] Embora o prognóstico da bulimia seja geralmente melhor do que o da anorexia, o risco de morte entre pessoas afectadas continua a ser maior do que o da população em geral.[5] 10 anos depois de receberem tratamento, cerca de 50% das pessoas terão recuperado totalmente.[3]

A nível global, estima-se que em 2013 a bulimia terá afectado cerca de 6,5 milhões de pessoas.[9] Cerca de 1% de mulheres jovens sofrem de bulimia durante um determinado período de tempo e entre cerca de 2% a 3% das mulheres enfrentaram esta condição em algum momento das suas vidas.[5] Esta condição é menos comum em países em desenvolvimento.[3] Existe cerca de nove vezes mais probabilidades de a bulimia ocorrer em mulheres do que nos homens. Entre as mulheres, a maior parte dos casos verifica-se na adolescência.[6] A bulimia foi nomeada e descrita pela primeira vez em 1979, pelo psiquiatra britânico Gerald Russell.[10][11]

Características

Comidas gordurosas estão fortemente associadas a prazer, relaxamento e afeto, pois um grande número de eventos sociais envolvem comidas que acarretam no ganho de peso.

A pessoa bulímica, de acordo com os critérios diagnósticos do CID 10, tende a apresentar períodos em que se alimenta em excesso, muito mais do que a maioria das pessoas conseguiriam se alimentar em um determinado espaço de tempo, seguidos pelo sentimento de culpa e tentativas para evitar o ganho de peso com jejuns, exercícios, vômitos autoinduzidos, laxantes, diuréticos e/ou enemas. Existe também trabalhos acadêmicos recentes relatando que a ingestão alimentar excessiva caracteriza-se muitas vezes pelo sentimento subjetivo de excesso do que excesso propriamente dito.

Os critérios diagnósticos usados pelo CID-10 e pelo DSM IV são:[12]

  1. Episódios recorrentes de consumo alimentar compulsivo - episódios bulímicos;
  2. Comportamentos compensatórios inapropriados (como vômito e abuso de substâncias);
  3. Os episódios bulímicos e compensatórios ocorrem pelo menos duas vezes por semana, por no mínimo três meses;

Consequências comuns

Esses comportamentos podem ter diversas consequências negativas para a saúde como:[13]

Métodos compensatórios

Geralmente a autoestima de pessoas com transtornos alimentares depende excessivamente da satisfação com o próprio corpo.

Os principais métodos de perda de peso são:[14]

  • Autoindução de vômito;
  • Jejuns prolongados;
  • Uso de laxantes, diuréticos e enemas;
  • Exercícios excessivos;
  • Dietas ineficientes e não saudáveis;
  • Lipoaspiração e outros procedimentos cirúrgicos para reduzir o peso.

Fatores psicológicos

Mesmo que a pessoa com bulimia consiga emagrecer com ajuda de medicamentos, sem resolver os fatores psicológicos é muito provável que ela volte a ter novas crises no futuro e continue infeliz consigo mesma.[15]

Alguns aspectos psicológicos frequentes em pessoas com bulimia são[15]:

  • Baixa autoestima;
  • Pensamento do tipo “tudo ou nada” (extremistas);
  • Ansiedade elevada;
  • Perfeccionismo;
  • Dificuldade de encontrar formas saudáveis de obter prazer e satisfação;
  • Excessivamente críticos;
  • Excessivamente exigentes;
  • Insatisfação constante.

Outras características

Essas pessoas podem tentar passar um dia ou mais sem comer na tentativa de perder peso, muitas vezes entrando em um repetitivo ciclo de intensa restrição alimentar alternadas com farras culposas que o levam de novo ao sistema compensatório. A própria restrição alimentar excessiva aumenta muito as chances de desencadearem-se novos episódios compulsivos. Quanto mais tempo sem comer, mais forte o organismo se mobiliza para procurar e consumir, e reagindo a falta de alimentos, o organismo absorve uma maior quantidade de gordura para compensar a perda de peso anterior.

O bulímico geralmente se encontra com peso normal, levemente aumentado ou diminuído (mas não chegando à magreza da anorexia). Essa aparência de normalidade muitas vezes dificulta que se identifique o problema, o que muitas vezes leva a uma demora em se procurar ajuda.

Pacientes bulímicos costumam envergonhar-se de seus problemas alimentares e, assim, buscam ocultar seus sintomas. Dessa forma, as compulsões periódicas geralmente ocorrem sem o conhecimento dos pais, dos amigos ou das pessoas próximas.

Em alguns casos após a bulimia ter persistido por algum tempo, os pacientes podem afirmar que seus episódios compulsivos não mais se caracterizam por um sentimento agudo de perda de controle, mas sim por indicadores comportamentais de prejuízo do controle, tais como dificuldade a resistir em comer em excesso ou dificuldade para cessar um episódio compulsivo, uma vez que iniciado.

A bulimia costuma causar sofrimento psíquico e afeta áreas diversas do sujeito. O bulímico não tem prejuízo somente da sua relação com a comida ou da sua relação com seu corpo. Ele se vê afetado em suas relações sociais - uma vez que festas e confraternizações envolvem alimentação. Ele se vê atormentado por uma questão que lhe é cotidiana (alimentação) e que não pode ser evitada, uma vez que todo indivíduo precisa se alimentar.Isso demonstra a dificuldade de se lidar com o transtorno alimentar (tanto para o sujeito que se vê afetado, quanto pelos demais à sua volta)

Tratamento

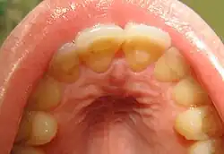
A perda do esmalte no interior dos dentes causado pelo fluxo frequente de ácidos estomacais.

O tratamento mais eficaz é o multiprofissional, envolvendo acompanhamento psicológico, psiquiátrico e nutricional. Porém, é frequente que o paciente não reconheça a necessidade de tratamento e se recuse ou adie sem tempo determinado a fazê-lo. Em certos casos, principalmente quando há sério comprometimento à saúde, faz-se necessária a internação do paciente.[16] Terapias comportamentais associados com alguns tipos de antidepressivos e estabilizante de humor tem obtido bons resultados.[15]

A terapia cognitivo-comportamental é uma psicoterapia individual que ajuda o paciente a desenvolver autocontrole, compreender a fonte de suas angústias e frustrações e desenvolver meios mais saudáveis de enfrentar as situações que desencadeiam a compulsão alimentar. Geralmente dura 6 meses para casos leves e moderados e 2 anos para casos mais graves. Remédios podem ser usados acessoriamente. Além de lidar com o transtorno alimentar também costuma envolver tratamento de transtornos depressivos e ansiosos que estejam desencadeando e mantendo os pensamentos, sentimentos e comportamentos não saudáveis.[17]

Tratamento de crianças e adolescentes

No caso de jovens que ainda vivem com os pais a abordagem mais eficiente de todos é a terapia familiar e aconselhamento dos pais. [18] Nessa abordagem toda a família é estimulada a modificar seus comportamentos alimentares e afetivos para padrões mais saudáveis. É recomendado que envolva uma nutricionista prescrevendo melhoras graduais na dieta e acompanhando os progressos e dificuldades da família.[19]

Epidemiologia

Tem incidência maior a partir da adolescência e de 3 a 7% da população, embora seja difícil mapear o real número de pessoas que sofrem da doença, uma vez que ela está cercada de preconceitos e é difícil para o próprio doente confessar seu problema. Cerca de 90% dos casos ocorre em mulheres. [20]

Referências

  1. FAIRBURN, C.G.- Psychological and Social Problems Associated with Binge Eating. In: FAIRBURN, C.G. (ed): Overcoming Binge Eating. The Guilford Press, New York, pp 42-66, 1995.
  2. 1 2 3 4 5 6 «Bulimia nervosa fact sheet». Office on Women's Health. 16 de julho de 2012. Consultado em 27 de Junho de 2015
  3. 1 2 3 4 5 6 7 8 9 Hay PJ, Claudino AM; Claudino (2010). «Bulimia nervosa». Clinical Evidence. 2010. 1009 páginas. PMC 3275326Acessível livremente. PMID 21418667
  4. Bulik, CM; Marcus, MD; Zerwas, S; Levine, MD; La Via, M (Outubro de 2012). «The changing "weightscape" of bulimia nervosa.». The American Journal of Psychiatry. 169 (10): 1031–6. PMID 23032383. doi:10.1176/appi.ajp.2012.12010147
  5. 1 2 3 Smink, FR; van Hoeken, D; Hoek, HW (agosto de 2012). «Epidemiology of eating disorders: incidence, prevalence and mortality rates.». Current psychiatry reports. 14 (4): 406–14. PMC 3409365Acessível livremente. PMID 22644309. doi:10.1007/s11920-012-0282-y
  6. 1 2 3 American Psychiatric Association (2013). Diagnostic and Statistical Manual of Mental Disorders Fifth ed. Arlington, VA: American Psychiatric Publishing. pp. 345–349. ISBN 978-0-89042-555-8
  7. Hay, P (julho de 2013). «A systematic review of evidence for psychological treatments in eating disorders: 2005–2012.». The International Journal of Eating Disorders. 46 (5): 462–9. PMID 23658093. doi:10.1002/eat.22103
  8. McElroy, SL; Guerdjikova, AI; Mori, N; O'Melia, AM (outubro de 2012). «Current pharmacotherapy options for bulimia nervosa and binge eating disorder.». Expert opinion on pharmacotherapy. 13 (14): 2015–26. PMID 22946772. doi:10.1517/14656566.2012.721781
  9. Global Burden of Disease Study 2013, Collaborators (5 de Junho de 2015). «Global, regional, and national incidence, prevalence, and years lived with disability for 301 acute and chronic diseases and injuries in 188 countries, 1990–2013: a systematic analysis for the Global Burden of Disease Study 2013.». Lancet (London, England). PMID 26063472. doi:10.1016/S0140-6736(15)60692-4
  10. Russell G (1979). «Bulimia nervosa: An ominous variant of anorexia nervosa». Psychological Medicine. 9 (3): 429–48. PMID 482466. doi:10.1017/S0033291700031974
  11. Palmer R (2004). «Bulimia nervosa: 25 years on». The British Journal of Psychiatry. 185 (6): 447–8. PMID 15572732. doi:10.1192/bjp.185.6.447
  12. AMERICAN PSYCHIATRIC ASSOCIATION (APA). - Diagnostic and Statistical Manual of Mental Disorders.4th ed. Washington DC, 1994.
  13. Cordás, Táki Athanássios (2004). «Transtornos alimentares: classificação e diagnóstico». Archives of Clinical Psychiatry (São Paulo): 154–157. ISSN 0101-6083. doi:10.1590/S0101-60832004000400003. Consultado em 7 de novembro de 2022
  14. 1 2 3 Abreu, Cristiano Nabuco de; Cangelli Filho, Raphael (2004). «Anorexia nervosa e bulimia nervosa: abordagem cognitivo-construtivista de psicoterapia». Archives of Clinical Psychiatry (São Paulo): 177–183. ISSN 0101-6083. doi:10.1590/S0101-60832004000400010. Consultado em 7 de novembro de 2022
  15. Autor: Oliveira, Érika Arantes de; Santos, Manoel Antônio dos. Título: Perfil psicológico de pacientes com anorexia e bulimia nervosas: a ótica do psicodiagnóstico Fonte: Medicina (Ribeirão Preto);39(3):353-360, jul.-set. 2006. tab.
  16. HAWTON, K.; SALKOVSKIS, P.M.; KIRK, J. & CLARK, D.M. — Cognitive Behaviour Therapy for Psychiatric Problems: a Practical Guide. Oxford University Press, New York, USA, 1989.
  17. Kaplan, A.S.- Psychological Treatments for Anorexia Nervosa: a Review of Published Studies and Promising new Directions. Can J Psychiatry 47(3): 235-42, 2002.
  18. PINZON, Vanessa et al. Peculiaridades do tratamento da anorexia e da bulimia nervosa na adolescência: a experiência do PROTAD. Rev. psiquiatr. clín. [online]. 2004, vol.31, n.4 [cited 2013-01-18], pp. 167-169 . Available from: <http://www.scielo.br/scielo.php?script=sci_arttext&pid=S0101-60832004000400007&lng=en&nrm=iso>. ISSN 0101-6083. http://dx.doi.org/10.1590/S0101-60832004000400007.
  19. Moretti, Camila (11 de abril de 2011). «Casos de anorexia e bulimia em homens dobram em cinco anos». Rudge Ramos Online. Universidade Metodista de São Paulo. Consultado em 14 de setembro de 2018

Ver também

Ligações externas