Síndrome de Wernicke-Korsakoff

Síndrome de Wernicke-Korsakoff
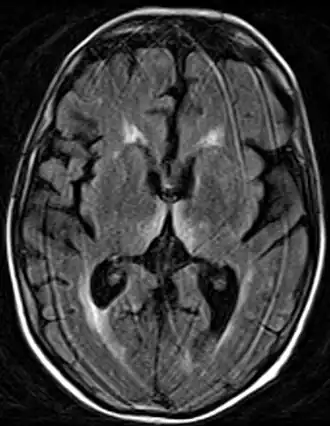
Lesão no diencéfalo, especificamente no núcleo dorsomedial do tálamo e nos corpos mamilares.
Especialidadeneurologia
Classificação e recursos externos
CID-115B5A.1
CID-10E51.2, F10.6
CID-9291.1, 294.0
OMIM277730
DiseasesDB14107
MedlinePlus000771
eMedicinemed/2405
MeSHD020915
A Wikipédia não é um consultório médico. Leia o aviso médico 

Síndrome de Wernicke-Korsakoff é uma grave síndrome neuropsiquiátrica associada à carência de vitamina B1 (tiamina), frequentemente causada por consumo excessivo de álcool e má alimentação.

Causas

Síndrome de Wernicke-Korsakoff é uma combinação da encefalopatia de Wernicke, causada pela deficiência severa de tiamina (vitamina B1), com a psicose de Korsakoff, uma sequela neurológica de encefalopatia de Wernicke crônica. A forma metabolicamente ativa da tiamina é o pirofosfato de tiamina, que desempenha um papel importante como um co-fator como coenzima no metabolismo da glicose. As enzimas que são dependentes de pirofosfato de tiamina estão associadas com o ciclo do ácido cítrico (também conhecido como ciclo de Krebs), que catalisam a oxidação do piruvato, α-cetoglutarato e aminoácidos de cadeia ramificada. Assim, qualquer coisa que estimular o metabolismo da glicose vai agravar essa deficiência de tiamina clínica ou sub-clínica existente.

A encefalopatia de Wernicke e a síndrome de Wernicke-Korsakoff são mais comuns em pessoas com transtorno por uso de álcool (TUA). Quando a encefalopatia de Wernicke não é diagnosticada e tratada a tempo, cerca de 20% dos pacientes vão a óbito, e aproximadamente 75% desenvolvem danos cerebrais permanentes relacionados à síndrome de Wernicke-Korsakoff.[1] Cerca de 25% das pessoas afetadas precisam de tratamento intensivo de longo prazo para receber cuidados adequados.[1][2]

Outras possíveis causas incluem:[3]

  • Mal-absorção da B1 (beribéri; especialmente por alcoolismo);
  • Deficiência nutricional;
  • encefalite herpética;
  • Hiperemese gravídica;
  • Cirurgia bariátrica;
  • Internação prolongada sem reposição de vitaminas;
  • AIDS, tuberculose e outras doenças sistêmicas crônicas.

Fisiopatologia

A vitamina B1 está associada à transformação do ácido pirúvico, que por sua vez realiza transformações bioquímicas de proteínas, gorduras e especialmente hidratos de carbono, sendo que em sua ausência as células nervosas são as mais afetadas.

A memória é função do sistema límbico e se compreende um circuito que se inicia em sua face aferente, onde os estímulos percebidos pelo organismo seguem para o tálamo e depois até o córtex cerebral. Nas regiões de associação neocorticais (no córtex) ocorre o armazenamento da memória, que quando evocada passa à sua porção eferente, envolvendo áreas conscientes e funções motoras.

O tálamo tem a função de integrar as várias percepções sensoriais. No hipocampo ocorre a triagem ou classificação dessas percepções para uma devida organização do armazenamento no córtex. Os corpos mamilares, o fórnix e o cíngulo têm a função de reforçar os traços mnemônicos, criando facilitações sinápticas e duplicando as memórias em outras regiões do córtex. Pode-se entender essa função como a de transformar a memória imediata (consciente, logo após o fato ocorrido) em permanente.

A síndrome de Korsakoff é atribuída a uma lesão no diencéfalo, especificamente no núcleo dorsomedial do tálamo e nos corpos mamilares, que, como vistos, são essenciais na construção da memória, o que causaria a amnésia anterógrada. Para agravar esse quadro ocorre também atrofia cortical generalizada, afetando especialmente o lobo frontal e temporal. Essa lesão no córtex cerebral seria a responsável pela amnésia retrógrada e até mesmo uma complicação à já existente questão da identidade, sendo que o lobo frontal tem enorme importância na formação da personalidade e na integração de inúmeras informações corticais.[4]

Sinais e sintomas

Os sintomas da encefalopatia de Wernicke incluem[5]:

Os sintomas da síndrome de Korsakoff[5]:

Complicações

Muitas vezes a vítima não tem consciência de sua condição. A amnésia anterógrada está relacionada com o comprometimento da memória de curto prazo, ou seja, o doente se torna incapaz de formar novas memórias a partir do momento em que desenvolve a doença, e a amnésia retrógrada está relacionada à memória de longo prazo, assim o doente perde grande parte da memória que havia se formado antes da doença.

É baseado nessa severa condição que o neurologista Oliver Sacks (em "O homem que confundiu sua mulher com um chapéu") relaciona a síndrome de Korsakoff à perda da identidade, pois vítima de uma amnésia retro-anterógrada o doente perde por inteiro sua linha biográfica, sua história, e permanece incapaz de construir outra, sendo obrigado a viver como uma pessoa sem história de vida. A memória é fundamental para a formação do senso de identidade na consciência.

Como consequência desse severo quadro é que ocorre a confabulação, que seria uma tentativa do doente de preencher suas lacunas mnemônicas com imaginações e ficções aparentemente verossímeis, nas quais ele próprio poderia acreditar. Outra consequência seria a desorientação temporoespacial, claramente causada pela incapacidade da pessoa de medir sua existência no tempo.[6]

Com o tempo, o declínio de atividade mental pode evoluir para demência, coma e morte. É uma causa comum de morte de moradores de rua e pacientes psiquiátricos internados.

Diagnóstico

Baixos níveis de timina e albumina podem confirmar o diagnóstico

O exame do sistema nervoso e muscular pode mostrar muitos danos[5]:

  • Movimento ocular anormal;
  • Reflexos diminuídos ou anormais;
  • Pulso acelerado;
  • Pressão arterial baixa;
  • Baixa temperatura corporal;
  • Fraqueza e perda de massa muscular;
  • Problemas de marcha e coordenação.

Prevalência

Em estudo com necrópsia abrangendo um amplo espectro de padrões socioeconômicos e culturais, a prevalência da síndrome de Wernicke-Korsakoff em adultos no Brasil foi de 2,2%. Esse resultado é similar ao resto do mundo com 0,8 a 3% de prevalência ao morrer. Os valores sobem para 15% entre a população psiquiátrica internada e para 24% entre mendigos. É muito sub-diagnosticada em todo o mundo, sendo apenas 20% das vítimas são diagnosticados a tempo.[7]

Tratamento

Alcoolistas precisam abandonar o álcool e seguir em acompanhamento psicológico e de um cuidador por um ano ou mais anos para evitar recaídas.[8]

A administração de tiamina para pacientes quando aparecem os primeiros sintomas de encefalopatia de Wernicke ou de alcoolismo é a melhor forma de prevenir o desenvolvimento da síndrome de Wernicke-Korsakoff, ou ao menos reduzir a sua gravidade. A administração imediata de tiamina pode salvar a vida do paciente sem risco de hipervitaminose, pois o excesso é eliminado rapidamente na urina.

O tratamento é voltado a reduzir a progressão dos déficits cognitivos causados ​​por essa síndrome, não sendo capaz de reverter completamente os déficits já existentes. Mesmo com tratamento a síndrome persiste, pelo menos parcialmente, em 80% dos pacientes. Uma dose mínima de 500 mg de cloridrato de tiamina, deve ser administrada por infusão por 30 minutos por três dias.[9]

Em pacientes que não respondem ao tratamento, a dose deve ser aumentada para 250 mg e feita por via intravenosa ou intramuscular por três a cinco dias, até o paciente melhorar. A mortalidade em casos diagnosticados e tratados é de 15% e de 77% sem tratamento.[10]

Ver também

Referências

  1. 1 2 Thomson, Allan D.; Marshall, E. Jane (2006). «The natural history and pathophysiology of Wernicke's Encephalopathy and Korsakoff's Psychosis». Alcohol and Alcoholism. 41 (2): 151–8. PMID 16384871. doi:10.1093/alcalc/agh249
  2. Dam, Mirjam Johanna; Meijel, Berno; Postma, Albert; Oudman, Erik (15 de janeiro de 2020). «Health problems and care needs in patients with Korsakoff's syndrome: A systematic review». Journal of Psychiatric and Mental Health Nursing (em inglês). 27 (4): 460–481. ISSN 1351-0126. PMID 31876326. doi:10.1111/jpm.12587Acessível livremente
  3. http://emedicine.medscape.com/article/288379-overview#aw2aab6b2b2
  4. DALGALARRONDO, Paulo. A memória e suas alterações. In:___. Psicopatologia e semiologia dos transtornos mentais. Porto Alegre: Artmed, 2000. Cap. 15, p. 91—99.
  5. 1 2 3 http://www.nlm.nih.gov/medlineplus/ency/article/000771.htm
  6. http://emedicine.medscape.com/article/288379-overview#a0104
  7. ZUBARAN, Carlos et al. Aspectos clínicos e neuropatológicos da síndrome de Wernicke-Korsakoff. Rev. Saúde Pública [online]. 1996, vol.30, n.6 [cited 2014-06-09], pp. 602—608 . Available from: <http://www.scielo.br/scielo.php?script=sci_arttext&pid=S0034-89101996000600015&lng=en&nrm=iso>. ISSN 0034-8910. http://dx.doi.org/10.1590/S0034-89101996000600015.
  8. http://emedicine.medscape.com/article/288379-overview#aw2aab6b2b6
  9. Sechi, G., & Serra, A. (2007). Wernicke's encephalopathy: new clinical settings and recent advances in diagnosis and management. Lancet Neurol, 6, 442-455.
  10. http://emedicine.medscape.com/article/288379-overview#aw2aab6b2b5

Bibliografia

  • DALGALARRONDO, Paulo. A memória e suas alterações. In:___. Psicopatologia e semiologia dos transtornos mentais. Porto Alegre: Artmed, 2000. Cap. 15, p. 91-99.
  • CABRAL, R. J. Para compreender a psicopatologia geral. Belo Horizonte: Santa Edwiges, S.D.
  • YUDOFSKY, Stuart C.; HALES, Robert. E. Aspectos neuropisiquiátricos da memória e amnésia. In:___. Compêndio de Neuropsiquiatria. Porto Alegre: Artes Médicas, 1996. Cap.13, p. 201-212.
  • ROCA, M. P. Características del síndrome de Korsakov. Mèdica de Tarragona. Barcelona, 2004. Disponível on-line: Acesso em: 23 mar. 2006.
  • SCHLINDWEIN-ZANINI, R; Almeida, G.M.F; COLOGNESE, L; FERNANDES, K.C. WERNICKE KORSAKOFF SYNDROME, SUBSTANCE USE AND ABUSE: Neuropsychological and psychomotor effects.The FIEP Bulletin, v. 84, p. 369-372, 2014. Disponível em: http://www.fiepbulletin.net/index.php/fiepbulletin/article/view/4462.