Granulócito neutrófilo

Granulócito neutrófilo
Granulócito neutrófilo
Subclasse de granulócito
Desenvolve-se a partir de band cell
Cell Ontology CL_0000775
MeSH D009504
Foundational Model of Anatomy 62860

Os neutrófilos são células sanguíneas leucocitárias que fazem parte essencial do sistema imune inato. Pertencem à classe dos granulócitos, junto aos eosinófilos e basófilos, pois apresentam núcleos irregulares e contêm grânulos citoplasmáticos específicos.[1] Estão envolvidos na defesa contra bactérias e fungos. Os neutrófilos possuem receptores na sua superfície, como os receptores de proteínas do complemento, receptores do fragmento Fc das imunoglobulinas e moléculas de adesão.

Morfologia Celular

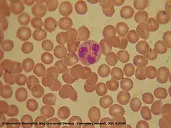
Quando visualizado no sangue periférico humano através de um esfregaço sanguíneo e corado, o neutrófilo apresenta-se como uma célula de diâmetro entre 10-14µm (micrômetros). São células arredondadas com núcleo polilobulado que, geralmente, apresenta entre dois a cinco lóbulos ligados por um fino filamento nuclear. Seu citoplasma é abundante e possui grânulos dispersos. Os seus grânulos são divididos em primários ou azurófilos e secundários ou específicos.[1]

Os grânulos primários aparecem no estágio promielócito. Os secundários são encontrados no estágio mielocítico e predominantes no neutrófilo maduro. Quando a célula jovem ainda não está segmentada em lobulações é chamada de neutrófilo com núcleo em bastonete. Os grânulos primários (lisossomos) contêm enzimas e polipeptídeos que participam da digestão celular. Já os grânulos secundários, atuam principalmente na proteção da célula e combate a patógenos.[1]

Função

Fagocitose

Esfregaço de sangue com um Neutrófilo. Exibem forma esférica com núcleo trilobado.

Neutrófilos são fagócitos capazes de emitirem prolongamentos citoplasmáticos que envolvem partículas estranhas, que são digeridas por enzimas presentes nos vacúolos celulares. Após a entrada da partícula, forma-se o fagossoma onde os microrganismos serão mortos pela liberação de enzimas hidrolíticas e de espécies reativas de oxigênio. O consumo de oxigênio durante a reação de espécies de oxigênio é chamado de queima respiratória que nada tem a ver com respiração celular ou produção de energia.

A queima respiratória ou burst respiratório envolve a ativação da enzima NADPH oxidase na membrana do fagossoma, que produz grandes quantidades de superóxido, uma espécie reativa do oxigênio. O superóxido gera o peróxido de hidrogênio que é convertido em ácido hipocloroso (HClO) pela enzima mieloperoxidase. É o HClO que tem propriedades suficientes para matar a bactéria fagocitada.

Degranulação

Os neutrófilos eliminam o conteúdo dos seus três tipos de grânulos que contém propriedades antimicrobianas e ajudam no combate às infecções.

Composição dos grânulos dos neutrófilos humanos[1]
Tipos de grânulos Conteúdos
Grânulos específicos (ou "secundários") Lactoferrina, Catelicidina, Fosfatase alcalina, Colagenase (gelatinase), Lisozima, Proteínas básicas antibacterianas, não enzimáticas, Lipocalina.
Grânulos azurófilos (ou "primários") Mieloperoxidase, Proteína de aumento da permeabilidade/bactericida (BPI), Defensina, serina proteases, Fosfatase ácida, α- Manosidase, Arilsulfatase, β-Galactosidase, β-Glicosidase, Catepsina G, 5'-Nucleotidase, Elastase, Colagenase, Mieloperoxidase, Lisozima, Proteínas antibacterianas catiônicas.
Grânulos terciários Catepsina, Gelatinase.

Formação de NETs

Em 2004 foi descoberta uma terceira estratégia dos neutrófilos para conter e matar patógenos, a emissão de armadilhas extracelulares dos neutrófilos (NETs). Esse mecanismo consiste na emissão de rede pelo granulócito contendo enzimas dos grânulos citoplasmáticos e o DNA da célula. Essa rede, então, é capaz de aprisionar e eliminar agentes infecciosos.[2]

Quantidade

Os neutrófilos são os leucócitos mais abundantes (60 a 70%) na maioria dos mamíferos.[3] Quando há um aumento no número de neutrófilos circulantes é chamado de neutrofilia e quando há diminuição neutropenia.[4]

Vida Útil

Os neutrófilos, têm uma expectativa de vida curta, de 5 a 90 horas, na corrente sanguínea.[5] Após sua ativação e migração para tecido (diapedese) o neutrófilo sobrevive de 1 a 2 dias. Os neutrófilos são muito mais numerosos que os monócitos ou macrófagos que tem expectativa de vida mais longa. Alguns especialistas acreditam que a curta duração dos neutrófilos seja uma adaptação evolutiva. O curto tempo de vida dos neutrófilos minimiza a propagação de patógenos intracelulares, porque quanto mais tempo esses parasitas passam fora de uma célula hospedeira, maior a probabilidade de serem destruídos por algum componente das defesas do organismo. Além disso, como os produtos antimicrobianos de neutrófilos também podem danificar os tecidos do hospedeiro, sua curta duração limita o dano ao hospedeiro durante a inflamação.[6]

Referências

  1. a b c d Junqueira, Luiz Carlos Uchôa, 1920- (2003). Basic histology. [S.l.]: Lange Medical Books McGraw-Hill. ISBN 0071378294. OCLC 606266970 
  2. Brinkmann, V. (5 de março de 2004). «Neutrophil Extracellular Traps Kill Bacteria». Science. 303 (5663): 1532–1535. ISSN 0036-8075. doi:10.1126/science.1092385 
  3. Ermert, David. Niemiec, Maria J. Röhm, Marc. Glenthøj, Andreas. Borregaard, Niels. Urban, Constantin F. Candida albicans escapes from mouse neutrophils. [S.l.: s.n.] OCLC 1053698163 
  4. Dorland, W. A. (novembro de 1930). «American Pocket Medical Dictionary». Southern Medical Journal. 23 (11). 1044 páginas. ISSN 0038-4348. doi:10.1097/00007611-193011000-00027 
  5. Tak, Tamar; Tesselaar, Kiki; Pillay, Janesh; Borghans, José A. M.; Koenderman, Leo (outubro de 2013). «Whatˈs your age again? Determination of human neutrophil half-lives revisited». Journal of Leukocyte Biology. 94 (4): 595–601. ISSN 0741-5400. doi:10.1189/jlb.1112571 
  6. Stevens, Alan (2002). Wheater's basic histopathology: a colour atlas and text. [S.l.]: Churchill Livingstone. ISBN 0443070016. OCLC 901159691