Célula de Sertoli
Célula de Sertoli
| |
|---|---|
![]() Epitélio germinativo do testículo.
1: lâmina basal 2: espermatogônia 3: espermatócito primário 4: espermatócito secundário 5: espermátide 6: espermátide madura 7: célula de Sertoli 8: Junção de oclusão (barreira hemato-testicular) | |
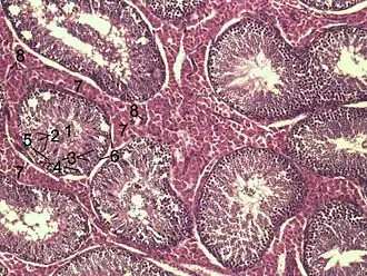
![]() Secção histológica do parênquima testicular de um javali.
1 Lumen of Tubulus seminiferus contortus 2 espermátide 3 espermatócitos 4 espermatogônia 5 célula de Sertoli 6 Célula Mioide 7 Célula de Leydig 8 capilares | |
| Identificadores | |
| Gray | pág.1243 |
| MeSH | Sertoli+Cells |
Célula de Sertoli
| |
|---|---|
![]() | |
| Subclasse de | Célula sustentacular, célula mesotelial |
| Cell Ontology | CL_0000216 |
| MeSH | D012708 |
| Foundational Model of Anatomy | 72298 |
A célula de Sertoli é uma célula somática de grandes dimensões do interior do testículo, relacionada com diversas células germinativas no túbulo seminífero. Tem funções no controle da maturação e da migração das células germinativas; síntese de proteínas e esteroides estão envolvidas no controle da passagem das secreções entre compartimentos tubulares e intersticiais e formam a barreira hemato-testicular.[1]
Funções
Tem diversas funções essenciais para o bom funcionamento do sistema reprodutor masculino como [2]:
- Sustentação e proteção das células de linhagem espermatogênica;
- Nutrição das células da linhagem espermatogênica[3];
- Formação da barreira hemato-testicular;
- Fagocitose de gametas danificados e restos celulares;
- Secreção de um meio rico em frutose, que nutre e facilita o transporte dos espermatozóides até o interior dos ductos genitais;
- Secreção da Proteína de Ligação com Andrógeno (ABP) aumentando a concentração de testosterona nos túbulos seminíferos;
- Secreção dos hormônios inibina após a puberdade (inibindo a secreção de FSH);
- Secreção do hormônio anti-mulleriano (AMH) durante a diferenciação sexual do embrião na sexta semana de gestação.
Por ter tantas funções importantes é utilizada como parâmetro para avaliação da eficiência da espermatogênese.[1]
Sua atividade é regulada pelo Hormônio folículo estimulante (FSH) produzido pela glândula pituitária.[2]
Referências
- ↑ a b http://www.pubvet.com.br/artigos_det.asp?artigo=737
- ↑ a b http://www.embryology.ch/anglais/ugenital/molec06.html
- ↑ Rato, Luís; Marco G. Alves, Sílvia Socorro, Ana I. Duarte, José E. Cavaco & Pedro F. Oliveira (junho de 2012). «Metabolic regulation is important for spermatogenesis». Nature Reviews Urology. 9: 330-338. doi:10.1038/nrurol.2012.77

