Osteoclasto

Osteoclasto
Osteoclasto
Subclasse de macrófago, células do tecido conjuntivo
Desenvolve-se a partir de preosteoclast
Cell Ontology CL_0000092
MeSH D010010
Foundational Model of Anatomy 66781

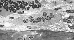
Osteoclasto (do grego para "osso" (Οστό) e "quebrado" (κλαστός)) é uma célula móvel, gigante e extensamente ramificada, com partes dilatadas, e é multinucleada. Os osteoclastos foram descobertos por Kolliker em 1873.[1]

Nas áreas de reabsorção de tecido ósseo encontra-se porções dilatadas dos osteoclastos, colocadas em depressões da matriz escavadas pela atividade dos osteoclastos e conhecidas como lacunas de Howship. Os osteoclastos tem citoplasma granuloso, algumas vezes com vacúolos, fracamente basófilo nos osteoclastos jovens e acidófilos nos maduros.

Estas células se originam de precursores mononucleados provenientes da medula óssea que, ao contato com o tecido ósseo, unem-se para formar os osteoclastos multinucleados. A superfície ativa dos osteoclastos, voltada para a matriz óssea, apresenta prolongamentos vilosos irregulares.

A maiorias desses prolongamentos tem a forma de folhas ou pregas que se subdividem. Circundando essa área com prolongamentos vilosos, existe uma zona citoplasmática, a zona clara, pobre em organelas porém com muitos filamentos de actina. A zona clara é um local de adesão do osteoclasto com a matriz óssea e cria um microambiente fechado, ácido (H+), colagenase e outras hidrolases que atuam localmente digerindo a matriz orgânica e dissolvendo os cristais de sais de cálcio.

A atividade dos osteoclastos é coordenada por citocinas (pequenas proteínas sinalizadoras que atuam localmente) e por hormônios como calcitocina, um hormônio produzido pela glândula tireoide, e paratormônio, secretado pelas glândulas paratireoides. As enzimas proteolíticas emitidas pelos osteoclastos, durante o processo de destruição da matriz óssea, tendem a atuar na parte orgânica. A principal enzima emitida é a colagenase, responsável pela despolimerização do colágeno.

Já o ácido (H+), é proveniente da fermentação lática. Este tende a atuar na parte inorgânica da matriz óssea. É responsável pela dissolução dos cristais presentes nesta. Além disso, diminui o pH do meio, ou seja, o torna mais ácido, favorecendo a atuação das enzimas proteolíticas. A velocidade de liberação desses elementos é melhorada pela borda pregueada, ou seja, a superfície irregular dos osteoclastos.

Os osteoclastos degradam melhor o osso quando estão em contato com matriz óssea mineralizada e isso só é possível com o auxílio dos osteoblastos. Os osteoblastos, produzem enzimas que degradam a camada não mineralizada da matriz permitindo assim aos osteoclastos, um fácil acesso à matriz óssea mineralizada para a degradarem.

Morfologia

Os osteoclastos são células muito grandes, que tem cerca de 40 micrómetros de diâmetro. Possuem vários núcleos e são responsáveis pela destruição do osso. Quando a membrana celular dos osteoclastos entra em contato com a matriz óssea formam-se prejecções que constituem um bordo pelo qual entram íons hidrogênio para assim ser produzido um meio ácido que provocará a descalcificação da matriz óssea. Nos osteoclastos o retículo endoplasmático rugoso é escasso, e o complexo de Golgi é extenso.[2][3]

Referências

  1. Nijweidi Peter J., JEAN H. M. FEYEN (1986). «Cells of Bone: Proliferation, Differentiation, and Hormonal Regulation». Physiological Reviews. 66 (4). pp. 855–886. PMID 3532144 
  2. Holtrop, M. E. and G. J. King (1977) (1977). «The ultrastructure of the osteoclast and its functional implications». Clin Orthop Relat Res. 123 (123). pp. 177–196. PMID 856515 
  3. Väänänen H, Zhao H, Mulari M, Halleen J (2000). «The cell biology of osteoclast function». J Cell Sci. 113 (3). pp. 377–81. PMID 10639325  p. 378