Célula de Leydig
Célula de Leydig
| |
|---|---|
![]() | |
| Subclasse de | steroid hormone secreting cell |
| Desenvolve-se a partir de | Leydig stem cell |
| Nomeada em referência a | Franz Leydig |
| Cell Ontology | CL_0000178 |
| MeSH | D007985 |
| Foundational Model of Anatomy | 72297 |
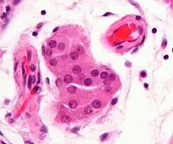
As células de Leydig ou células intersticiais de Leydig são células que se encontram entre os túbulos seminíferos, no interstício dos testículos. Produzem a hormona testosterona, quando estimuladas pela hormona luteinizante (LH). Possuem um núcleo vesicular e arredondado e um citoplasma granular.
Nomenclatura
O nome das células de Leydig derivam do anatomista alemão Franz Leydig
Funções
As células de Leydig liberam uma classe de hormonas denominadas androgénios. Secretam testosterona,androstediona e dehidroepiandrosterona (DHEA), quando são estimuladas pelo LH, ou hormona luteinizante. Esta hormona aumenta a atividade da desmolase de colesterol (enzima associada à conversão de colesterol em pregnenolona).
O FSH, ou hormona folículo estimulante, juntamente com a testosterona, atua nas células dos túbulos seminíferos, estimulando a espermatogênese.
Ultraestrutura
As células de Leydig são poligonais e eosinófilas. Possuem um núcleo arredondado e vesicular. Contém também inclusões lipídicas. Possuem um abundante retículo endoplasmático liso (que leva à sua eosinofilia). Frequentemente, pigmentos de lipofuscina estruturas em forma de cristal (cristais de Reinke) são encontrados.[1][2]
Desenvolvimento
As células de Leydig formam-se durante a 16ª e a 20ª semana de gestação e estão dormentes até à puberdade. Em ratos, as células de Leydig desenvolvem-se por volta do dia gestacional 12,5. Durante a gestação, as Células de Leydig Fetais são as responsáveis pela produção de andrógenos fundamentais para o desenvolvimento do sistema reprodutor masculino e masculinização fetal. Com a instalação da puberdade, as Células de Leydig Adultas tornam-se as principais produtoras de hormônios androgênicos no homem e isso persiste ao longo da vida[3].
Imagens adicionais
-
Secção de um testículo de embrião humano.
Referências
- ↑ Osama M Al-Agha; Constantine A Axiotis (1 de fevereiro de 2007), «An in-depth look at Leydig cell tumor of the testis», Archives of Pathology & Laboratory Medicine, ISSN 0003-9985 (em inglês), 131 (2): 311-317, PMID 17284120, Wikidata Q34574927
- ↑ Ramnani, Dharam M (25 de janeiro de 2005). «Leydig Cell Tumor : Reinke's Crystalloids». Consultado em 28 de março de 2007. Arquivado do original em 11 de fevereiro de 2007
- ↑ Haolin Chen; Ren-Shan Ge; Barry R Zirkin (7 de fevereiro de 2009), «Leydig cells: From stem cells to aging», Molecular and Cellular Endocrinology, ISSN 0303-7207 (em inglês), 306 (1-2): 9-16, PMC 2749461
, PMID 19481681, doi:10.1016/J.MCE.2009.01.023, Wikidata Q37358807
Ver também
Ligações externas
- (em inglês) Fisiologia reprodutiva
- (em inglês) Diagrama - umassmed.edu
