Hemossiderose
| Hemossiderose | |
|---|---|
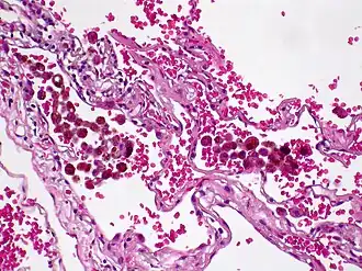
![]() | |
| Depósito de ferro em hemorragia alveolar (marrom dentro de macrófagos) visto no microscópio. | |
| Especialidade | endocrinologia |
| Classificação e recursos externos | |
| CID-10 | J63.4 |
| MeSH | D006486 |
Hemossiderose é uma doença caracterizada por depósitos anormais de hemoglobina, geralmente nos pulmões (hemossiderose pulmonar) ou no sistema nervoso (hemossiderose superficial).
Causa
Vários episódios de hemorragia nos alvéolos dos pulmões levam à uma acumulação anormal de ferro como hemossiderina(proteína que transporta ferro orgânico) dentro das células responsáveis pela limpeza (macrófagos) e ao desenvolvimento de fibrose pulmonar (cicatrizes pulmonares) e anemia ferropriva (poucos glóbulos vermelhos).[1]
As três principais causas são[2]:
- Grupo 1: Associado a Síndrome de Goodpasture, a causa mais frequente de hemossiderose. Anticorpos destroem a membrana basal glomerular do pulmão e rins formando depósitos de imunoglobulinas e sistema complemento.
- Grupo 2: Complexos anticorpo-antígeno se acumulam nos pulmões. Associado a distúrbios do tecido conjuntivo, incluindo alergia ao leite, crioglobulinemia, Púrpura de Henoch-Schönlein, granulomatose de Wegener ou lúpus eritematoso sistémico (LES).
- Grupo 3: Causa desconhecida (idiopática). A hemorragia pode ter sido induzida por uma infecção, por toxinas ou por doenças cardiovasculares.
Sinais e sintomas
Além de sintomas respiratórios como tosse persistente, dificuldade para respirar, cansaço e sibilos, a hemossiderose possui uma tríada clássica:
- Tosse com sangue;
- Anemia ferropriva e;
- Infiltrado pulmonar difuso.
Tratamento
Depende da causa e da sintomatologia do paciente[3]:
- Em caso de saturação de oxigênio menor a 90%: máscara de oxigênio;
- Em caso de anemia grave: transfusão de sangue em caso de anemia grave;
- Em caso de secreções excessivas e broncoespasmo: nebulização com anticolinérgico ou outra terapia respiratória de apoio;
- Em caso de insuficiência respiratória: suporte ventilatório mecânico;
- Em caso de doença autoimune: tratamento imunossupressor a curto e longo prazo;
- Em caso de falha de ventilação mecânica convencional: oxigenação por membrana extracorpórea;
- Em caso de suspeita de alergia a leite ou a glúten: evitar o consumo de leite ou glúten. Principalmente se a causa é idiopática e há um histórico familiar de alguma dessas alergias.[4]
Referências
- ↑ Galia D Napchan, MD; Michael R Bye, MD. Hemosiderosis: Backgroud. http://emedicine.medscape.com/article/1002002-overview
- ↑ Gordon IO, Cipriani N, Arif Q, Mackinnon AC, Husain AN. Update in nonneoplastic lung diseases. Arch Pathol Lab Med. 2009 Jul. 133(7):1096-105
- ↑ http://emedicine.medscape.com/article/1002002-treatment
- ↑ Sethi GR, Singhal KK, Puri AS, Mantan M. Benefit of gluten-free diet in idiopathic pulmonary hemosiderosis in association with celiac disease. Pediatr Pulmonol. 2010 Oct 21.
