Tumor filoide
| Tumor filoide | |
|---|---|
![]() | |
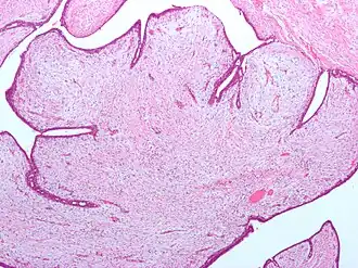
| Tumores filoides possuem grandes fendas e um estroma celular mixoide. Micrografia. Coloração H&E. | |
| Classificação e recursos externos | |
| CID-10 | C50, D24, D48.6 |
| CID-9 | 217 |
| CID-CID-O | M9020 |
| DiseasesDB | 3396 |
| eMedicine | med/500 |
| MeSH | D003557 |
Tumor filoide (do Grego: phyllon folha), também conhecido como cistosarcoma filoide, é uma massa tipicamente grande, de crescimento rápido que se formam a partir das células estromais periductais da mama. Eles contribuem para menos de 1% de todas as neoplasias da mama.
Apresentação
Este é um tumor predominantemente de mulheres adultas, com muitos poucos exemplos relatados em adolescentes.
As pacientes tipicamente apresentam uma massa palpável firme, móvel, de consistência duro-elástica e com limites bem definidos.[1] Estes tumores crescem muito rapidamente, podendo aumentar muito de tamanho em poucas semanas. A ocorrência é mais comum entre os 40 e 50 anos, antes da menopausa. O tumor acontece geralmente 15 anos mais tarde do que a idade típica dos pacientes com fibroadenoma, uma condição com a qual o tumor filóide pode ser confundido por ser clinicamente indistinguível deste.
Tratamento
O tratamento comum para o tumor filoide é a excisão local ampla. Além da cirurgia, não há outra cura para o tumor, já que a quimioterapia e a radioterapia não são efetivas. O risco de desenvolvimento de recorrência local ou metástases é relacionado com o grau histológico.
Um estudo sugeriu que a mastectomia total é mais efetiva que a cirurgia conservadora de mama.[2]
Referências
- ↑ Carlos H. Menke e cols. (2006). Rotinas em Mastologia. [S.l.]: Artmed. 270 páginas. ISBN 9788536307343
- ↑ Belkacémi Y, Bousquet G, Marsiglia H; et al. (2007). «Phyllodes Tumor of the Breast». Int J Radiat Oncol Biol Phys. 70. 492 páginas. PMID 17931796. doi:10.1016/j.ijrobp.2007.06.059
