Doença de Paget da mama

Doença de Paget da mama
Doença de Paget da mama
EspecialidadeGynecologic Oncology
Classificação e recursos externos
CID-11XH3E21
CID-10C50
CID-9174
CID-CID-OM8540/3
OMIM602080
DiseasesDB9500
eMedicinederm/305
MeSHD010144
A Wikipédia não é um consultório médico. Leia o aviso médico 

Doença de Paget da mama é uma neoplasia maligna rara que envolve inflamação da pele ao redor dos mamilos (aureola). Parece a simples vista com uma mastite ou uma dermatite/eczema. Foi descoberta no século 19 pelo Dr. James Paget. [1]

Causa

Ocorre quando células de um câncer ductal migra para os ductos do mamilo e irrita a pele próxima. Causa o surgimento de células de Paget (epiteliais, grandes, citoplasma claro, irregulares, núcleo escuro) no mamilo e aréola.[2]

Sinais e sintomas

Sinais e sintomas da doença de Paget da mama possíveis incluem[3]:

  • Pele inflamada no mamilo que se torna mais escamosa com o tempo e não melhora,
  • Inchaço ou endurecimento no mamilo, auréola ou ambos,
  • Coceira e vermelhidão
  • Sensação de formigamento ou queimação
  • Secreção mamilar sanguinolenta
  • Nódulo na mama

É normal confundir com algo benigno inicialmente por ser raro, mas deve-se suspeitar de algo sério quando não melhora em duas semanas e quando não aparece na lactância.

Epidemiologia

A doença é relativamente incomum, sendo o primeiro sinal de câncer de mama em apenas 0,5 a 4,3% de todos os casos. É mais normal depois dos 50 anos, em média aos 62 anos. A ocorrência em mulheres com menos de 30 anos é extremamente rara.[4]

Diagnóstico

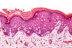
Micrografia de alta ampliação da doença extramamária de Paget, abreviada como EMPD. Biópsia vulvar. Mancha H&E. As imagens mostram as células grandes características com citoplasma claro na epiderme. O slide H&E não é definitivo; as células claras podem representar: hiperplasia benigna das células Toker. Melanoma maligno. Doença de Bowen. O diagnóstico definitivo é determinado com manchas imuno-histoquímicas (S-100 -ve e HMB-45 -ve (ambos tipicamente +ve no melanoma), CK7 +ve, CEA +ve (-ve na doença de Bowen, -ve nas células de Toker). A aparência histológica da doença de Paget da mama é idêntica à doença extramamária de Paget, ou seja, não é possível dizer que isso é extramamário apenas pela imagem. Imagens relacionadas Baixa mag. Intermed mag. Alta mag. Mag muito alta. Mag muito alta.

Os exames recomendados são uma mamografia e uma biópsia para confirmar o diagnóstico. Um exame citológico também pode ser útil para detectar as células de Paget. A dermatite geralmente afeta a aréola primeiro e depois o mamilo, enquanto o Paget começa no mamilo. Nódulos podem ser palpáveis se são superficiais.[5]

Tratamento

O tratamento geralmente envolve cirurgia para remover o câncer com boa margem de segurança (quadrantectomia ou mastectomia). A remoção de linfonodos depende do Gânglio sentinela. Quimioterapia e radioterapia podem ser necessários.[6]

História

Essa doença recebe o nome em homenagem a Sir James Paget, um cirurgião britânico que a descreveu pela primeira vez em 1875.

Referências

  1. http://www.cancer.gov/types/breast/paget-breast-fact-sheet
  2. Kumar, Vinay, ed. (2007). Robbins basic pathology (8th ed.). Philadelphia: Saunders/Elsevier. p. 746. ISBN 978-1-4160-2973-1.
  3. http://www.mayoclinic.org/diseases-conditions/pagets-disease-of-the-breast/basics/symptoms/con-20025786
  4. http://www.cancer.gov/cancertopics/factsheet/sites-types/paget-breast
  5. Pagets disease of the breast - diagnosis
  6. Marshall, JK; Griffith, KA; Haffty, BG; Solin, LJ; Vicini, FA; McCormick, B; Wazer, DE; Recht, A; Pierce, LJ (May 1, 2003). "Conservative management of Paget disease of the breast with radiotherapy: 10- and 15-year results". Cancer. 97 (9): 2142–9. doi:10.1002/cncr.11337. PMID 12712465.