Papiloma intraductal

Papiloma intraductal
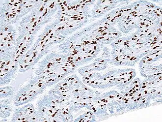
Histopatologia do papiloma intraductal da mama por biópsia excisional.
Especialidadeoncologia
Classificação e recursos externos
CID-CID-O8503/0
DiseasesDB31244
MedlinePlus001238
MeSHD018300
A Wikipédia não é um consultório médico. Leia o aviso médico 

Papilomas intraductais da mama são lesões benignas com uma incidência de aproximadamente 2-3% em seres humanos.[1] Distinguem-se geralmente dois tipos de papilomas intraductais. Os de tipo central desenvolvem-se perto do mamilo, são geralmente solitários e aparecem por volta da menopausa. Por outro lado, os de tipo periférico são vários papilomas que aparecem na periferia das mamas e em mulheres mais jovens. Os de tipo periférico estão associados a um maior risco de malignidade.[2]

Referências

  1. Cilotti A, Bagnolesi P, Napoli V, Lencioni R, Bartolozzi C (novembro de 1991). «[Solitary intraductal papilloma of the breast. An echographic study of 12 cases]». La Radiologia Medica (em italiano). 82 (5): 617–20. PMID 1780459 
  2. Tarallo, V; Canepari, E; Bortolotto, C (junho de 2012). «Intraductal papilloma of the breast: A case report». Journal of Ultrasound. 15 (2): 99–101. PMID 23396758. doi:10.1016/j.jus.2012.03.002