Adenoma do mamilo
| Adenoma do mamilo | |
|---|---|
![]() | |
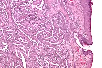
| Micrografia de um adenoma do mamilo. | |
| Especialidade | oncologia |
| Classificação e recursos externos | |
| CID-11 | XH7GN3 |
| CID-10 | D24 |
| CID-9 | 217 |
| CID-CID-O | 8506/0 |
Adenoma do mamilo é um tumor da mama benigno e raro. Trata-se de um papiloma intraductal que surge nos ductos lactíferos do mamilo.[1] São mais comuns nas mulheres entre os 30 e 40 anos,[2] embora possam também ocorrer em homens.[3] Podem ocorrer em qualquer idade, incluindo na velhice, adolescência[4] e infância.[5] Podem ser detectados por palpação na forma de um nódulo por baixo do mamilo ou da aréola e chamar à atenção devido a dor no mamilo, ulceração, inchaço ou corrimento.[2]
Referências
- ↑ Pfeifer, John D.; Humphrey, Peter A.; Dehner, Louis P. (2008). The Washington Manual of surgical pathology. Philadelphia: Wolters Kluwer Health/Lippincott Williams & Wilkins. ISBN 0-7817-6527-7
- ↑ a b Stoler, Mark A.; Mills, Stacey E.; Carter, Darryl; Joel K Greenson; Reuter, Victor E. (2009). Sternberg's Diagnostic Surgical Pathology. Hagerstwon, MD: Lippincott Williams & Wilkins. ISBN 0-7817-7942-1
- ↑ Tuveri M, Calò PG, Mocci C, Nicolosi A (setembro de 2010). «Florid papillomatosis of the male nipple». Am. J. Surg. 200 (3): e39–40. PMID 20409515. doi:10.1016/j.amjsurg.2009.10.026
- ↑ Tao W, Kai F, Yue Hua L (2010). «Nipple adenoma in an adolescent». Pediatr Dermatol. 27 (4): 399–401. PMID 20653865. doi:10.1111/j.1525-1470.2010.01176.x
- ↑ Clune JE, Kozakewich HP, VanBeek CA, Labow BI, Greene AK (novembro de 2009). «Nipple adenoma in infancy». J. Pediatr. Surg. 44 (11): 2219–22. PMID 19944237. doi:10.1016/j.jpedsurg.2009.08.020
