Carcinoma lobular invasivo
| Carcinoma lobular invasivo | |
|---|---|
![]() | |
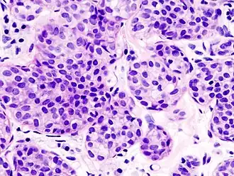
| Carcinoma lobular invasivo exibindo padrão de crescimento predominantemente lobular | |
| Especialidade | oncologia, dermatologia |
| Classificação e recursos externos | |
| CID-CID-O | 8520/3 |
O carcinoma lobular invasivo (CLI) é um tipo de carcinoma responsável por 5-10% dos casos invasivos de cancro da mama.[1][2] Em 2003, a taxa de sobrevivência a cinco anos do carcinoma lobular invasivo era de aproximadamente 85%.[3] Os padrões histológicos incluem:[4][5][6]
| Tipo | Prevalência | Descrição |
|---|---|---|
| Clássico | 40% | células redondas ou ovais com pouco citoplasma em padrão de fila única |
| Alveolar | 5% | Agregados de células de aparência clássica |
| Sólido | 10% | Folhas de células de aparência clássica com pouca intervenção de estroma |
| Tubulolobular | 5% | Células foram microtúbulos em >90% of tumor (mais pequenas do que no carcinoma tubular) |
| Pleomórfico | De aparência clássica mas com células pleomórficas | |
| Misto | 40% | Sem padrão dominante |
Referências
- ↑ Pointon KS, Cunningham DA (agosto de 1999). «Ultrasound findings in pure invasive lobular carcinoma of the breast: comparison with matched cases of invasive ductal carcinoma of the breast». Breast. 8 (4): 188–90. PMID 14731438. doi:10.1054/brst.1999.0042
- ↑ Boughey JC, Wagner J, Garrett BJ, et al. (março de 2009). «Neoadjuvant Chemotherapy in Invasive Lobular Carcinoma May Not Improve Rates of Breast Conservation». Ann. Surg. Oncol. 16 (6): 1606–11. PMID 19280264. doi:10.1245/s10434-009-0402-z
- ↑ Arpino G, Bardou VJ, Clark GM, Elledge RM (2004). «Infiltrating lobular carcinoma of the breast: tumor characteristics and clinical outcome». Breast Cancer Res. 6 (3): R149–56. PMC 400666
. PMID 15084238. doi:10.1186/bcr767
- ↑ Moore MM, Borossa G, Imbrie JZ, et al. (junho de 2000). «Association of Infiltrating Lobular Carcinoma With Positive Surgical Margins After Breast-Conservation Therapy». Ann. Surg. 231 (6): 877–82. PMC 1421077
. PMID 10816631. doi:10.1097/00000658-200006000-00012
- ↑ Spencer JT, Shutter J (março de 2009). «Synchronous bilateral invasive lobular breast cancer presenting as carcinomatosis in a male». Am. J. Surg. Pathol. 33 (3): 470–4. PMID 19092630. doi:10.1097/PAS.0b013e318190d10d
- ↑ Fletcher's diagnostic histopathology of tumors. 3rd Ed. p. 931-932.
.jpg)