Fibroadenoma
| Fibroadenoma | |
|---|---|
![]() | |
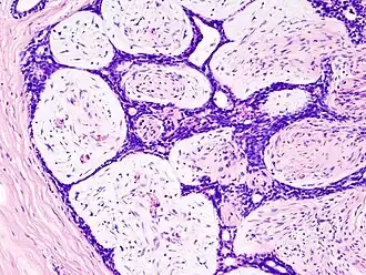
| Imagem histopatológica de fibroadenoma de mama. Biópsia de agulha. Coloração H&E. | |
| Especialidade | oncologia, ginecologia |
| Classificação e recursos externos | |
| CID-11 | e 1848207162 2F30.5 |
| CID-10 | D24 |
| CID-9 | 217 |
| CID-CID-O | M9010/0-M9012, M9020, M9030 |
| DiseasesDB | 1595 |
| MedlinePlus | 007216 |
| eMedicine | radio/109 |
| MeSH | D018226 |
Fibroadenoma é um tumor fibroepitelial benigno da mama caracterizado por proliferação de elementos estromais e glandulares.[1]
Sinais e sintomas
A apresentação clássica é uma mulher em idade fértil com um nódulo de crescimento lento, indolor, firme, solitário e móvel na mama.[1][2][3]
Referências
- ↑ a b Tavassoli, F.A., Devilee, P. (Eds). 2003. World Health Organization Classification of Tumours: Pathology & Genetics: Tumours of the breast and female genital organs. IARC Press: Lyon. ISBN 92-832-2412-4
- ↑ DeMay, M. 2007. Practical principles of Cytopathology. Revised Edition. ASCP Press. ISBN 0-89189-549-3
- ↑ Pathology Outlines Website. [1] Accessed 12 February, 2009.
.jpg)