Megacariócito
Megacariócito
| |
|---|---|
![]() | |
| Subclasse de | célula, thrombocytopoietic cell |
| Desenvolve-se a partir de | célula progenitora de megacariócito |
| Localização anatômica | medula óssea |
| Cell Ontology | CL_0000556 |
| MeSH | D008533 |
| Foundational Model of Anatomy | 83555 |
Os megacariócitos (mega- + karyo- + -cyte, "grade núcleo celular") são células da medula óssea, responsáveis pela produção de plaquetas sanguíneas (trombócitos), que são necessárias para a coagulação normal do sangue. Os megacariócitos são normalmente responsáveis por 1 a cada 10.000 células da medula óssea, mas podem aumentar em números quase 10 vezes durante o decurso de certas doenças.[1] Devido a variações no radical da palavra e da ortografia, também podem ser chamados de megalocariócitos.
Estrutura
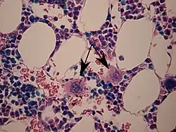
Em geral, megacariócitos são 10 a 15 vezes maiores do que um típico glóbulo vermelho, com uma média de diâmetro de 50-100 μm. Durante a sua maturação, o megacariocítico cresce em tamanho e duplica seu Ácido desoxirribonucleico (ADN) sem citocinese em um processo chamado endomitose. Como resultado, o núcleo do megacariocítico pode tornar-se muito grande e lobulado, que, sob um microscópio de luz, podem dar a falsa impressão de que existem vários núcleos. Em alguns casos, o núcleo pode conter até 64N ADNs, ou 32 cópias do complemento normal de ADN numa célula humana.
O citoplasma, assim como as plaquetas que brotam a partir dele, contém α-granula e corpos densos.[2]
Heterogeneidade e subpopulações funcionais
Estudos de sequenciamento de RNA de célula única revelaram que os megacariócitos não são uma população homogênea, mas sim compõem subpopulações distintas com funções especializadas.[3][4] Os megacariócitos podem ser categorizados transcripcionalmente em células geradoras de plaquetas, de suporte de nicho, imunes e cíclicas, que se distinguem por seus padrões únicos de expressão gênica e marcadores celulares.[3]
Essas subpopulações funcionais incluem:
Megacariócitos trombopoiéticos: As células clássicas produtoras de plaquetas com alta expressão de genes envolvidos na formação e liberação de plaquetas.
Megacariócitos imunes: Foi comprovado que uma população significativa dessas células reside nos tecidos não hematopoiéticos e apresenta características imunológicas aprimoradas.[3] Essas células expressam níveis mais elevados de genes relacionados ao sistema imunológico e podem participar da apresentação de antígenos e das respostas imunológicas [en].
Megacariócitos de suporte ao nicho: Megacariócitos que apoiam a manutenção das células-tronco hematopoiéticas no nicho da medula óssea através da produção de fatores reguladores, como CXCL4 (fator plaquetário 4), fator de crescimento transformador β1 [en] e fator de crescimento fibroblástico 1.[5][6]
Megacariócitos em ciclo: Células precursoras em proliferação que dão origem aos subtipos de megacariócitos maduros.[4]
Desenvolvimento dos megacariócitos

Os megacariócitos são derivados de células precursoras de células-tronco hematopoiéticas na medula óssea. Elas são produzidas principalmente pelo fígado, rim, baço e medula óssea. Estas células estaminais multipotentes vivem nos sinusóides da medula e são capazes de produzir todos os tipos de células sanguíneas, dependendo dos sinais que elas recebem. O sinal primário é para a produção de megacariócitos é a trombopoietina ou TPO. O TPO é suficiente mas não é absolutamente necessário[7] para induzir a diferenciação de células progenitoras na medula óssea para um fenótipo de megacariócito final. Outros sinais moleculares para a diferenciação de megacariócitos incluem GM-CSF, IL-3, IL-6, IL-11, quimiocina (SDF-1, FGF-4)[8] e eritropoietina.[9] Os megacariocíticos se desenvolvem através da seguinte linhagem:
CFU-Me (células-tronco hematopoiéticas ou hemocitoblastos) → megacarioblasto → promegacariócito → megacariocítico.
A célula, eventualmente, chega a fase megacariocítica e perde a sua capacidade de se dividir. No entanto, ainda é capaz de replicar o seu ADN e continuar o desenvolvimento, tornando poliplóide.[9] O citoplasma continua a expandir-se e o complemento de ADN pode aumentar até 64N em ratos e 256N em um humanos.
Liberação de plaquetas
Uma vez que existe diferenciação celular e concluiu-se um megacariocítico maduro, inicia-se o processo de produção de plaquetas. O processo de maturação ocorre através da replicação sincronizada endomitótica em que o alargamento de volume citoplasmático como o número de núcleos multiplica sem divisão celular. O seu crescimento celular cessa no 4N, 8N e 16N, tornando-se granular e começando a produzir plaquetas.[10] Trombopoietina desempenha um papel na indução dos megacariocíticos para formar pequenos processos proto-plaquetários. As plaquetas são mantidas dentro destas membranas internas dentro do citoplasma dos megacariócitos. Existem dois mecanismos propostos para a libertação de plaquetas. Em um cenário, esses processos proto-plaquetários rompem-se explodindo para se tornar plaquetas.[11] Alternativamente, a célula pode formar fitas de plaquetas nos vasos sanguíneos. As fitas são formadas por meio de pseudópodes e são capazes de emitir continuamente plaquetas em circulação. Em qualquer cenário, cada um destes processos de proto-plaquetas podem dar origem a novas 2000-5000 plaquetas mediante separação. Em geral, de 2/3 destas plaquetas recém produzidas irá permanecer em circulação, e 1/3 será sequestrada pelo baço.
Após a brotação das plaquetas, o que resta é principalmente o núcleo da célula, que atravessa a barreira da medula óssea para o sangue e é consumido no pulmão por macrófagos alveolares.
Referências
- ↑ Branehog I, Ridell B, Swolin B, Weinfeld A (1975). «Megakaryocyte quantifications in relation to thrombokinetics in primary thrombocythaemia and allied diseases». =Scand. J. Haematol. (em inglês). 15 (5): 321–332. PMID 1060175. doi:10.1111/j.1600-0609.1975.tb01087.x
- ↑ Oxford Textbook of Medicine (em inglês). Oxford: Oxford University Press. 2005. p. 749. ISBN 0192629220
- ↑ a b c Guo, Karen; Machlus, Kellie R.; Camacho, Virginia (Janeiro de 2024). «The many faces of the megakaryocytes and their biological implications». Current Opinion in Hematology (em inglês). 31 (1): 1–5. ISSN 1065-6251. PMC 10842450
. PMID 37910197. doi:10.1097/MOH.0000000000000793
- ↑ a b Puhm, Florian; Laroche, Audrée; Boilard, Eric (Novembro de 2023). «Diversity of Megakaryocytes». Arteriosclerosis, Thrombosis, and Vascular Biology. 43 (11): 2088–2098. PMID 37675634. doi:10.1161/ATVBAHA.123.318782
- ↑ Zhao, Meng; Perry, John M.; Marshall, Heather; Venkatraman, Aparna; Qian, Pengxu; He, Xi C.; Ahamed, Jasimuddin; Li, Linheng (Novembro de 2014). «Megakaryocytes maintain homeostatic quiescence and promote post-injury regeneration of hematopoietic stem cells». Nature Medicine (em inglês). 20 (11): 1321–1326. ISSN 1546-170X. PMID 25326798. doi:10.1038/nm.3706
- ↑ Bruns, Ingmar; Lucas, Daniel; Pinho, Sandra; Ahmed, Jalal; Lambert, Michele P.; Kunisaki, Yuya; Scheiermann, Christoph; Schiff, Lauren; Poncz, Mortimer; Bergman, Aviv; Frenette, Paul S. (Novembro de 2014). "Megakaryocytes regulate hematopoietic stem cell quiescence through CXCL4 secretion". Nature Medicine. 20 (11): 1315–1320. doi:10.1038/nm.3707. ISSN 1546-170X. PMC 4258871. PMID 25326802.
- ↑ Bunting S, Widmer R, Lipari T, Rangell L, Steinmetz H, Carver-Moore K, Moore MW, Keller GA, de Sauvage FJ. (novembro de 1997). «Normal platelets and megakaryocytes are produced in vivo in the absence of thrombopoietin». Blood (em inglês). 90 (9): 3423–3429. PMID 9345025
- ↑ Avecilla ST, Hattori K, Heissig B, Tejada R, Liao F, Shido K, Jin DK, Dias S, Zhang F, Hartman TE, Hackett NR, Crystal RG, Witte L, Hicklin DJ, Bohlen P, Eaton D, Lyden D, de Sauvage F, Rafii S. (janeiro de 2004). «Chemokine-mediated interaction of hematopoietic progenitors with the bone marrow vascular niche is required for thrombopoiesis». Nat Med (em inglês). 10 (1): 64–71. PMID 14702636. doi:10.1038/nm973
- ↑ a b Deutsch VR, Torner A (setembro de 2006). «Megakaryocyte development and platelet production». Brit. J. Haem. (em inglês). 134 (5): 453–466. PMID 16856888. doi:10.1111/j.1365-2141.2006.06215.x
- ↑ «Megakaryocyte and Platelet Production» (em inglês). Expert Consult. Consultado em 10 de outubro de 2013. Arquivado do original em 6 de junho de 2013
- ↑ Choi ES, Nichol JL, Hokom MM; et al. (1995). «Platelets generated in vitro from proplatelet-displaying human megakaryocytes are functional». Blood (em inglês). 85 (2): 402–13. PMID 7529062
