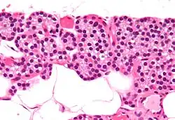
Célula principal da paratiroide
Célula principal da paratiroide
| |
|---|---|
![]() | |
| Subclasse de | epithelial cell of parathyroid gland |
| Localização anatômica | glândula paratiroide |
| Cell Ontology | CL_0000446 |
| Foundational Model of Anatomy | 69078 |
As células principais da paratiroide são células das glândulas paratiroides que produzem o hormônio da paratireoide.
