Pinealócito
Pinealócito
| |
|---|---|
![]() | |
| Subclasse de | célula neurecto-epitelial |
| Cell Ontology | CL_0000652 |
| Foundational Model of Anatomy | 83417 |

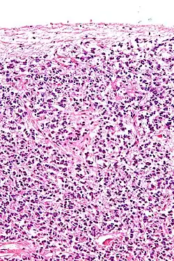
Os pinealócitos são as principais células da glândula pineal e são responsáveis pela produção e secreção de melatonina, um hormônio importante na regulação dos ritmos circadianos.[1] Esse tipo de célula possui uma organela chamada de fita sináptica, esta é considerada um marcador específico para pinealócitos. Algumas das enzimas do pinealócitos incluem 5-HT N-acetil transferase e 5-hidroxiindole-O-metiltransferase, que são utilizados para converter a serotonina em melatonina.
Os pinealócitos secretam melatonina em seus capilares através de longos processos citoplasmáticos que lembram os axônios dos neurônios. A secreção de melatonina é estimulada pela inervação simpática do gânglio cervical superior. Eles também têm processos citoplasmáticos mais curtos que se conectam com pinealócitos adjacentes via desmossomos.
Pinealócitos têm grandes núcleos irregulares com nucléolos proeminentes.
Ver também
Referências
- ↑ Pandi-Perumal, S. R., V. Srinivasan, G.J. M. Maestroni, D. P. Cardinali, B. Poeggeler, and R. Hardeland (2006). «Melatonin». FEBS Journal. 273 (13). pp. 2813–838. doi:10.1111/j.1742-4658.2006.05322.x
.jpg)