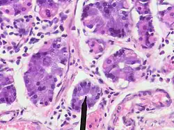
Célula principal

Célula principal
Célula principal
Célula principal
Subclasse de epithelial cell of stomach
Cell Ontology CL_0000155
MeSH D019872
Foundational Model of Anatomy 62902

Célula principal é um tipo de célula no estômago que libera pepsinogênio e lipase.