Colecistite
| Cholecystitis | |
|---|---|
![]() | |
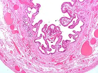
| Micrografia da vesícula biliar com colecistite e colesterolose. | |
| Especialidade | General surgery |
| Classificação e recursos externos | |
| CID-11 | DC12 |
| CID-10 | K81 |
| CID-9 | 575.0, 575.1 |
| OMIM | 600803 |
| DiseasesDB | 2520 |
| MedlinePlus | 000264 |
| eMedicine | med/346 |
| MeSH | D002764 |
A colecistite é a inflamação da vesícula biliar.[1] Os sintomas incluem dor no quadrante superior direito do abdómen, náuseas, vômitos e, ocasionalmente, febre. Geralmente a colecistite aguda é precedida por dores da vesícula biliar; a dor, no entanto, dura mais tempo do que é normal num ataque da vesícula biliar. Sem o tratamento adequado é relativamente comum o aparecimento de episódios periódicos de colecistite.[2] Outras complicações da colelitíase são pancreatite de origem biliar, cálculos do ducto biliar comum ou inflamação do ducto biliar comum.[2][1]
Mais de 90% dos casos de colecistite aguda resultam da obstrução do infundíbulo da vesícula ou do ducto cístico pelo aparecimento de pedras na vesícula.[2] Os fatores de risco para os cálculos biliares estão associados a pílulas anticoncepcionais, à gravidez, ao histórico familiar de cálculos biliares, obesidade, diabetes, doenças hepáticas ou rápida perda de peso.[3] Ocasionalmente, a colecistite aguda pode não se relacionar a cálculos e ocorrer como resultado de vasculite, quimioterapia ou durante a recuperação de traumas maiores ou queimaduras.[4] O diagnóstico de presunção de colecistite é feito com base nos sintomas e testes laboratoriais. É costume realizar-se uma ultra-sonografia abdominal para confirmar o diagnóstico.[5]
O tratamento é geralmente realizado por remoção cirúrgica da vesícula biliar laparoscópica, preferencialmente no prazo de 72 horas[6].[7][8] Após esse período, o risco de complicações durante a cirurgia é maior. É aconselhável tirar fotos aos ductos biliares durante a cirurgia.[7] O habitual uso de antibióticos é um assunto controverso.[9][5] Podem ser recomendados se a cirurgia não poder ser feita em tempo hábil, ou se o caso complicar-se.[5] Se também houver pedras no ducto biliar comum, estas podem ser removidas antes ou durante a cirurgia por CPRE.[7] Naqueles que não poderem ser submetidos a cirurgia, pode ser tentada a drenagem da vesícula biliar.[5]
Cerca de 10-15% dos adultos no mundo desenvolvido apresentam cálculos biliares.[5] São mais comuns em mulheres e após os 40 anos de idade. Determinados grupos étnicos estão mais susceptíveis do que outros, com, por exemplo, 48% dos Índios Americanos a apresentarem cálculos biliares.[3] Dentre os indivídios com pedras na vesícula, de 1 a 4% desenvolveram sintomas em 1 ano.[5] Cerca de 20% das pessoas com cólica biliar sem tratamento desenvolvem colecistite aguda.[5] Assim que a vesícula biliar é removida, os resultados de melhora da saúde são geralmente positivos.[3] Sem tratamento podem ocorrer condições inflamatórias crónicas de colecistite.[10] A palavra deriva do grego cholecyst- que significa "vesícula biliar" e -itis que significa "inflamação".[11]
Etiologia
Cerca de 80% das colecistites são devidos à presença de cálculos que causam obstrução dos canais biliares, ou seja, são uma consequência da litíase biliar: cálculos ou pedras no interior da vesícula. Em geral estas pedras, constituídas de colesterol ou bilirrubina são as responsáveis pelo início do quadro clínico. A estase de liquido biliar permite a multiplicação de bactérias, que levam à inflamação.
Outras causas de obstrução são os tumores do canal cístico ou próximos a ele.
A colecistite alitiásica, que acontece sem pedras na vesícula, pode aparecer após um período sem alimentação por via oral. Isto pode ocorrer por causa do jejum necessário para realizar uma cirurgia e pelo período após a cirurgia em que o doente permanece sem alimentar-se. Ou ainda mais raramente depois de queimaduras graves, traumatismos, bacteremia ou após o parto. A colecistite alitiásica aparece também como complicação em pacientes imunodeprimidos, portadores do vírus HIV. Nestes casos pode apresentar-se com quadro atípico ou sub-agudo. Os microorganismos envolvidos em geral são o citomegalovírus e criptosporídeo.
Complicações
A colecistite se não tratada de imediato pode complicar devido à necrose provocada pelas bactérias com produção de gás. A ruptura da parede leva a:
- Peritonite frequentemente fatal.
- Formação de fístula com o intestino. Por vezes é expulso assim um grande cálculo que vai obstruir a válvula ileocecal, provocando obstrução intestinal mecânica, também grave se não tratada.
- Septicemia e choque mortais.
- Formação de abscessos.
Sintomas e Diagnóstico
Nem todos os sintomas surgem em todos os casos. Em crianças pequenas e idosos pode ser quase assintomática:
- Dor epigástrica (acima do estômago) ou no quadrante superior direito abdominal. Pode ser intensa ("excruciante") ou leve, e ocorre em ataques repetidos ou cólicas.
- Febre baixa
- Anorexia (falta de apetite).
- Náuseas e vómitos
- A icterícia pode estar presente e sugere obstrução mais baixa, no canal biliar comum.
As análises sanguíneas podem demostrar leucocitose. Um exame clínico muito útil é o sinal de Murphy, que testa a sensibilidade à dor na área.
A confirmação é com ecografia, observando-se espessamento significativo da parede do órgão. Se possível é também localizado o cálculo responsável.
Diagnóstico diferencial
A colecistite aguda pode ser confundida clinicamente com:
- Pancreatite
- Colelitíase biliar: ataques de dor devido à expulsão de pequenos cálculos. A colelitíase biliar por vezes complica em colecistite aguda.
Tratamento
A colecistectomia (remoção da vesícula biliar) é o tratamento indicado. Pode ser realizada tanto pela via tradicional (cirurgia aberta) como por videolaparoscopia. São administrados antibióticos imediatamente, mesmo antes da cirurgia.
Não há grandes alterações nas funções gastrointestinais ou outras no indivíduo a quem foi retirada a vesícula. Poderão ser necessárias apenas restrições ao consumo alimentar de gorduras.
Alguns pacientes precisam de cirurgia imediatamente por apresentar os sintomas da colescistite aguda de forma mais acentuada, nestes casos, a vesícula biliar pode ser drenada manualmente até que a cirurgia possa ocorrer.
Anatomia Patológica
A vesicula está distendida e avermelhada com exsudado seroso ao exame macroscópico. O lúmen contem por vezes pus ou gases.
Microscopicamente, há aumento da espessura da parede, edema, congestão vascular e infiltrado inflamatório constituído de neutrófilos.
Prognóstico
A mortalidade total é de 5%, mas exceptuando os diabéticos e os muito idosos desce para menos de 1%. Após retirada da vesícula, não há perdas de função significativas para o doente a longo prazo.
Distinção entre Colecistite aguda e Crônica
A vesícula agudamente inflamada apresenta um estado mais crítico para o doente, com dor em hipocôndrio direito, sinal de Murphy positivo, febre, leucocitose e queda do estado geral. A vesícula cronicamente inflamada apresenta principalmente dor. A colecistite pode ocorrer com bactérias formadoras de gás, sendo mais comum em diabéticos. É chamada de colecistite gangrenosa e deve ser operada imediatamente. ±
Colecistite crónica
A colecistite crónica resulta da inflamação continua de baixo grau da vesícula, ou de vários ataques autolimitados de colecistite aguda. Microscopicamente o infiltrado inflamatório é constituido por macrófagos, que ingerem as membranas celulares das células destruídas, apresentando-se cheios de lípidos: macrófagos xantelesmizados. Além disso são visíveis seios de Rokitansky-Aschoff: ou evaginações na membrana devido a menor taxa de renovação da mucosa que de destruição. Por vezes à calcificação da mucosa, denominada de vesícula de porcelana: nestes casos o risco de cancro da vesícula é muito mais alto.
Prevenção
O colesterol tem um fator importante no desenvolvimento da colecistite, pois ele ajuda na formação de cálculos biliares.
Desta forma a perda de peso e uma alimentação com menor consumo de colesterol e ampliar o consumo de fibras pode auxiliar na prevenção e diminuir o nível de colesterol na bile.[12]
Referências
- 1 2 Internal Clinical Guidelines Team (outubro de 2014). «Gallstone Disease: Diagnosis and Management of Cholelithiasis, Cholecystitis and Choledocholithiasis. Clinical Guideline 188»: 101. PMID 25473723
- 1 2 3 Strasberg, SM (26 de Junho de 2008). «Clinical practice. Acute calculous cholecystitis.». The New England journal of medicine. 358 (26): 2804-11. PMID 18579815
- 1 2 3 «Gallstones». NIDDK. Novembro de 2013. Consultado em 27 de julho de 2016
- ↑ «Section VIII». Sleisenger and Fordtran's Gastrointestinal and Liver Disease: Pathophysiology, Diagnosis, Management 10 ed. [S.l.]: Elsevier Health Sciences. 2015. p. 1154. ISBN 9781455749898
- 1 2 3 4 5 6 7 Ansaloni, L (2016). «2016 WSES guidelines on acute calculous cholecystitis.». World journal of emergency surgery : WJES. 11. 25 páginas. PMID 27307785
- ↑ Gutt, Carsten N.; Encke, Jens; Köninger, Jörg; Harnoss, Julian-Camill; Weigand, Kilian; Kipfmüller, Karl; Schunter, Oliver; Götze, Thorsten; Golling, Markus T. (setembro de 2013). «Acute Cholecystitis: Early Versus Delayed Cholecystectomy, A Multicenter Randomized Trial (ACDC Study, NCT00447304)». Annals of Surgery (em inglês) (3): 385–393. ISSN 0003-4932. doi:10.1097/SLA.0b013e3182a1599b. Consultado em 29 de abril de 2025
- 1 2 3 Patel, PP; Daly, SC; Velasco, JM (18 de Outubro de 2015). «Training vs practice: A tale of opposition in acute cholecystitis.». World journal of hepatology. 7 (23): 2470-3. PMID 26483868
- ↑ Schuld, J; Glanemann, M (Junho de 2015). «Acute Cholecystitis.». Viszeralmedizin. 31 (3): 163-5. PMID 26468309
- ↑ van Dijk, AH; de Reuver, PR; Tasma, TN; van Dieren, S; Hugh, TJ; Boermeester, MA (Junho de 2016). «Systematic review of antibiotic treatment for acute calculous cholecystitis.». The British journal of surgery. 103 (7): 797-811. PMID 27027851
- ↑ Feldman, Mark (2010). Sleisenger & Fordtran's Gastrointestinal and liver disease pathophysiology, diagnosis, management 9 ed. [S.l.]: MD Consult. p. 1065. ISBN 9781437727678
- ↑ Collins, Edwards (2013). A Short Course in Medical Terminology. [S.l.]: Lippincott Williams & Wilkins. p. 246. ISBN 9781469835785
- ↑ Colecistite Aguda - Causas, Sintomas, Tratamento, Cirurgia in Índice de Saúde, 07 de Julho de 2013
