Hérnia

Hérnia
Diagrama de uma hérnia inguinal indireta (vista de lado)
Especialidadecirurgia geral
SintomasDor, especialmente com tosse e abaulamento[1]
ComplicaçõesVôlvulo[1]
Início habitualAntes de 1 ano e após os 50 anos (hérnias na virilha)[2]
Fatores de riscoTabagismo, doença pulmonar obstrutiva crônica, obesidade, gravidez, diálise peritoneal, doença vascular do colágeno[1][2][3]
Método de diagnósticoCom base nos sintomas, imagiologia médica[1]
TratamentoObservação, cirurgia[1]
Frequência18,5 milhões (2015)[4]
Mortes59 800 (2015)[5]
Classificação e recursos externos
MedlinePlus000960
eMedicine775630, 932680
MeSHD006547
A Wikipédia não é um consultório médico. Leia o aviso médico 

Hérnia é um tumor mole formado pela saída anormal de parte do tecido de um órgão através de uma rotura da membrana da cavidade que o envolve.[1] Há diversos tipos de hérnias.[6] A maior parte situa-se no abdómen, sobretudo na virilha.[6] As hérnias da virilha mais comuns são inguinais, embora também possam ser femorais.[1] Outros tipos de hérnias incluem a do hiato esofágico, incisionais e umbilicais.[6] Cerca de 66% das pessoas com hérnias da virilha manifestam sintomas.[1] Os sintomas incluem dor ou desconforto que se agravam ao tossir, ao praticar exercício físico ou ao urinar ou defecar.[1] Em muitos casos a dor vai-se agravando ao longo do dia e melhora ao deitar.[1] Em alguns casos forma-se uma área saliente que vai aumentando de tamanho.[1] As hérnias da virilha ocorrem com maior frequência do lado direito.[1] O principal risco de complicações de uma hérnia é a estrangulação do intestino, em que a corrente sanguínea para parte do intestino é bloqueada.[1] Esta situação geralmente causa dor intensa e sensibilidade na região.[1] As hérnias do hiato causam em muitos casos azia, podendo também causar dor no peito ou dor durante as refeições.[3]

Os fatores de risco de desenvolvimento de uma hérnia incluem, entre outros, fumar, doença pulmonar obstrutiva crónica, obesidade, gravidez, diálise peritoneal, conectivopatia e ter realizado uma apendicectomia.[1][2][3] As hérnias são de origem parcialmente genética e ocorrem com maior frequência entre determinadas famílias.[1] Não é claro se as hérnias da virilha estão associadas com o levantamento de pesos.[1] Em muitos casos, as hérnias podem ser diagnosticadas com base nos sinais e sintomas.[1] Por vezes, pode ser necessária imagiologia médica para confirmar o diagnóstico e excluir outras possíveis causas.[1] O diagnóstico de hérnias do hiato é muitas vezes feito com endoscopia.[3]

Em homens, geralmente não é necessário tratar hérnias da virilha que não causem sintomas.[1] No entanto, em mulheres o tratamento é geralmente recomendado devido à maior incidência de hérnias femorais, as quais causam maior número de complicações.[1] Quando ocorre estrangulamento, pode ser necessária uma intervenção cirúrgica de emergência.[1] A intervenção pode ser realizada com cirurgia aberta ou laparoscopia.[1] A cirurgia aberta tem a vantagem de poder ser realizada apenas com anestesia local.[1] No entanto, a laparoscopia geralmente causa menos dores após a cirurgia.[1] Uma hérnia do hiato pode ser tratada com alterações no estilo de vida, como subir a cabeceira da cama, perder peso ou ajustar os hábitos alimentares.[3] Em alguns casos podem ser necessários medicamentos como bloqueadores H2 ou inibidores da bomba de protões.[3] Quando os sintomas das hérnias do hiato não aliviam com medicamentos, existe a possibilidade de realizar uma intervenção cirúrgica denominada fundoplicação de Nissen.[3]

Em 2015, cerca de 18,5 milhões de pessoas em todo o mundo apresentavam uma hérnia inguinal, femoral ou abdominal, as quais resultaram em 59 800 mortes.[4][5] Cerca de 27% dos homens e 3% das mulheres desenvolvem uma hérnia da virilha em algum momento da vida.[1] As hérnias da virilha ocorrem com maior frequência antes do primeiro ano de idade e após os cinquenta anos de idade.[2] Desconhece-se a incidência exata das hérnias do hiato, havendo estimativas que variam entre 10 e 80%.[3] A primeira descrição conhecida de uma hérnia encontra-se no Papiro Ebers, datado de 1550 a.C..[7]

Sinais e sintomas

Vista frontal de uma hérnia inguinal (direita)
Hérnia umbilical encarcerada com inflamação circundante

As hérnias mais comuns se desenvolvem no abdómen, quando uma fraqueza na parede abdominal evolui para um buraco localizado, ou "defeito", através do qual o tecido adiposo ou órgãos abdominais cobertos com peritónio podem se projetar. Outra hérnia comum envolve os discos da coluna vertebral e causa ciática. Uma hérnia de hiato ocorre quando o estômago se projeta no mediastino através da abertura esofágica no diafragma.

As hérnias podem ou não apresentar dor no local, um nódulo visível ou palpável ou, em alguns casos, sintomas mais vagos resultantes da pressão sobre um órgão que ficou "preso" na hérnia, às vezes levando à disfunção orgânica. O tecido adiposo geralmente entra na hérnia primeiro, mas pode ser seguido ou acompanhado por um órgão.

As hérnias são causadas por uma ruptura ou abertura na fáscia, ou tecido fibroso, que forma a parede abdominal. É possível que a protuberância associada a uma hérnia venha e vá, mas o defeito no tecido persistirá.

Os sintomas e sinais variam de acordo com o tipo de hérnia. Os sintomas podem ou não estar presentes em algumas hérnias inguinais. No caso de hérnias redutíveis, uma protuberância na virilha ou em outra área abdominal pode ser vista e sentida. Quando em pé, essa protuberância se torna mais óbvia. Além da protuberância, outros sintomas incluem dor na virilha, que também pode incluir uma sensação pesada ou de arrasto e, nos homens, às vezes há dor e inchaço no escroto ao redor da área testicular.[8]

Hérnias abdominais irredutíveis ou hérnias encarceradas podem ser dolorosas, mas o sintoma mais relevante é que elas não podem retornar à cavidade abdominal quando empurradas. Eles podem ser crônicos, embora indolores, e podem levar a torção (perda de suprimento sanguíneo), obstrução (torção do intestino) ou ambos. As hérnias de torção são sempre dolorosas e a dor é seguida por ternura. Náusea, vômito ou febre podem ocorrer nesses casos devido à obstrução intestinal. Além disso, a hérnia protuberante nesse caso pode ficar vermelha, roxa ou escura e rosa.

No diagnóstico de hérnias abdominais, a imagem é o principal meio de detectar hérnias diafragmáticas internas e outras hérnias não palpáveis ou não suspeitas. A tomografia computadorizada com múltiplos detectores (TCMD) pode mostrar com precisão o local anatômico do saco de hérnia, o conteúdo do saco e quaisquer complicações. A TCMD também oferece detalhes claros da parede abdominal, permitindo que as hérnias sejam identificadas com precisão.[9]

Complicações

Podem surgir complicações pós-operação, incluindo a rejeição da malha usada para reparar a hérnia. No caso de uma rejeição da malha, é muito provável que a malha precise ser removida. A rejeição da malha pode ser detectada por inchaço e dor óbvios, às vezes localizados, ao redor da área da malha. A descarga contínua da cicatriz é provável por um tempo após a malha ter sido removida.

Uma hérnia tratada cirurgicamente pode levar a complicações como a inguinodinia, enquanto uma hérnia não tratada pode ser complicada por:

  • Inflamação
  • Obstrução de qualquer lúmen, como obstrução intestinal nas hérnias intestinais
  • Vôlvulo
  • Hidrocele do saco hernial
  • Hemorragia
  • Problemas autoimunes
  • Irredutibilidade ou encarceramento, em que não pode ser reduzido ou recolocado no lugar[10] pelo menos não sem muito esforço externo.[11] Nas hérnias intestinais, isso também aumenta substancialmente o risco de obstrução e estrangulamento intestinal.

Causas

As causas da hérnia de hiato variam de acordo com cada indivíduo. Entre as múltiplas causas, no entanto, estão as causas mecânicas, que incluem: levantamento inadequado de peso pesado, crises de tosse forte, golpes agudos no abdômen e postura incorreta.[12]

Além disso, condições que aumentam a pressão da cavidade abdominal também podem causar hérnias ou piorar as existentes. Alguns exemplos seriam: obesidade, esforço durante uma evacuação ou micção (constipação, aumento da próstata), doença pulmonar crônica e também líquido na cavidade abdominal (ascite).[13]

Além disso, se os músculos estiverem enfraquecidos devido à má nutrição, tabagismo e excesso de esforço, é mais provável que ocorram hérnias.

A escola de pensamento fisiológico sustenta que, no caso de hérnia inguinal, os mencionados acima são apenas um sintoma anatômico da causa fisiológica subjacente. Eles alegam que o risco de hérnia é devido a uma diferença fisiológica entre os pacientes que sofrem de hérnia e aqueles que não o fazem, ou seja, a presença de extensões aponeuróticas do arco aponeurótico do músculo transverso do abdome.[14]

A hérnia da parede abdominal pode ocorrer devido a trauma. Se esse tipo de hérnia é causada por trauma contuso, é uma condição de emergência e pode estar associada a vários órgãos sólidos e lesões de viscosidade oca.

Diagnóstico

Inguinal

Ultrassom mostrando hérnia inguinal
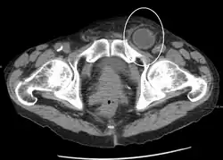
Hérnia inguinal encarcerada, como visto na TC
Raio-X de hérnia de cólon

De longe, as hérnias mais comuns (até 75% de todas as hérnias abdominais) são as chamadas hérnias inguinais. As hérnias inguinais são ainda divididas na hérnia inguinal indireta mais comum (2/3, representada aqui), na qual o canal inguinal é inserido através de uma fraqueza congênita em sua entrada (o anel inguinal interno) e o tipo de hérnia inguinal direta (1/3), onde o conteúdo da hérnia passa por um ponto fraco na parede traseira do canal inguinal. As hérnias inguinais são o tipo mais comum de hérnia em homens e mulheres. Em alguns casos selecionados, eles podem exigir cirurgia. Há casos especiais em que a hérnia pode conter hérnia direta e indireta simultaneamente hérnia pantalonariana, ou, embora muito rara, pode conter hérnias indiretas simultâneas.[15]

A hérnia pantaloon é uma hérnia direta e indireta combinada, quando o saco hernial se projeta em ambos os lados dos vasos epigástricos inferiores.

Femoral

As hérnias femorais ocorrem logo abaixo do ligamento inguinal, quando o conteúdo abdominal passa para a área fraca na parede posterior do canal femoral. Eles podem ser difíceis de distinguir do tipo inguinal (especialmente quando ascendentes cefálicos): no entanto, geralmente parecem mais arredondados e, ao contrário das hérnias inguinais, existe uma forte preponderância feminina nas hérnias femorais. A incidência de estrangulamento nas hérnias femorais é alta. As técnicas de reparo são semelhantes para hérnia femoral e inguinal.

A hérnia de Cooper é uma hérnia femoral com dois sacos, sendo o primeiro no canal femoral e o segundo passando por um defeito na fáscia superficial e aparecendo quase imediatamente abaixo da pele.

Umbilical

Elas envolvem a protrusão do conteúdo intra-abdominal através de uma fraqueza no local de passagem do cordão umbilical através da parede abdominal. As hérnias umbilicais em adultos são amplamente adquiridas e são mais frequentes em mulheres obesas ou grávidas. Decussação anormal de fibras na linha alba pode contribuir.

Incisional

Uma hérnia incisional ocorre quando o defeito é o resultado de uma ferida cirúrgica incompleta. Quando estes ocorrem em incisões medianas de laparotomia na linha alba, são denominadas hérnias ventrais. Estes podem ser os mais frustrantes e difíceis de tratar, pois o reparo utiliza tecido já atenuado. Estes ocorrem em cerca de 13% das pessoas aos dois anos após a cirurgia.[16]

Diafragmático

Diagrama de uma hérnia de hiato (seção coronal, vista de frente).

Mais alto no abdômen, uma "hérnia diafragmática" (interna) ocorre quando parte do estômago ou intestino se projeta na cavidade torácica por um defeito no diafragma.

Uma hérnia de hiato é uma variante específica desse tipo, na qual a passagem normal pela qual o esôfago encontra o estômago (hiato esofágico) serve como um "defeito" funcional, permitindo que parte do estômago (periodicamente) "hérnia" no peito. As hérnias de hiato podem ser "deslizantes", nas quais a própria junção gastroesofágica desliza através do defeito para o tórax, ou não deslizantes (também conhecido como para-esofágico), caso em que a junção permanece fixa enquanto outra porção do estômago se move através do defeito. Hérnias não deslizantes ou para-esofágicas podem ser perigosas, pois podem permitir que o estômago gire e obstrua. O reparo é geralmente recomendado.

Uma hérnia diafragmática congênita é um problema distinto, ocorrendo em até 1 em 2.000 nascimentos e exigindo cirurgia pediátrica. Os órgãos intestinais podem hérnia através de várias partes do diafragma, posterolateral (no triângulo de Bochdalek, resultando na hérnia de Bochdalek) ou anteromedial-retroesternal (na fenda da forame de Larrey/Morgagni, resultando em hérnia de Morgagni-Larrey ou hérnia de Morgagni).[17]

Outras hérnias

Paciente com colostomia complicada por uma grande hérnia parastomal.

Como muitos órgãos ou partes de órgãos podem hérnia através de muitos orifícios, é muito difícil fornecer uma lista exaustiva de hérnias, com todos os sinônimos e epônimos. O artigo acima lida principalmente com "hérnias viscerais", onde o tecido da hérnia surge dentro da cavidade abdominal. Outros tipos de hérnia e tipos incomuns de hérnias viscerais estão listados abaixo, em ordem alfabética:

  • Hérnias da parede abdominal:
    • Hérnia umbilical
    • Hérnia epigástrica: uma hérnia através da linha alba acima do umbigo.
    • Hérnia espigeliana, também conhecida como hérnia ventral lateral espontânea
  • Hérnia de Amyand: contendo o apêndice vermiforme dentro do saco herniário
  • A hérnia cerebral, às vezes chamada de hérnia cerebral, é um efeito colateral potencialmente mortal da pressão intracraniana muito alta que ocorre quando uma parte do cérebro é espremida através de estruturas dentro do crânio.
  • Hérnia indireta dupla: uma hérnia inguinal indireta com dois sacos de hérnia, sem um componente de hérnia direta concomitante (como visto em uma hérnia pantaloon).[15]
  • Hérnia de hiato: uma hérnia devido ao "esôfago curto" — alongamento insuficiente — o estômago é deslocado para o tórax
  • Hérnia de Littre: uma hérnia que envolve o divertículo de Meckel. É nomeado após o anatomista francês Alexis Littré (1658-1726).
  • Hérnia lombar: uma hérnia na região lombar (que não deve ser confundida com uma hérnia de disco lombar), contém as seguintes entidades:
    • Hérnia de Petit: uma hérnia através do triângulo de Petit (triângulo lombar inferior). É nomeado após o cirurgião francês Jean Louis Petit (1674-1750).
    • Hérnia de Grynfeltt: uma hérnia através do triângulo de Grynfeltt-Lesshaft (triângulo lombar superior). É nomeado após o médico Joseph Grynfeltt (1840–1913).
  • Hérnia de Maydl: duas alças adjacentes do intestino delgado estão dentro de um saco herniário com o pescoço apertado. A porção intermediária do intestino dentro do abdômen é privada de seu suprimento sanguíneo e eventualmente se torna necrótica.
  • Hérnia obturadora: hérnia através do canal obturador
  • Hérnias parastomais, que é quando o tecido se projeta adjacente a um trato estomacal.
  • Hérnia paraumbilical: um tipo de hérnia umbilical que ocorre em adultos
  • Hérnia perineal: uma hérnia perineal se projeta através dos músculos e fáscias do assoalho perineal. Pode ser primário, mas geralmente é adquirido após prostatectomia perineal, resseção abdominoperineal do reto ou exenteração pélvica.
  • Hérnia peritoneal: hérnia rara localizada diretamente acima do peritônio, por exemplo, quando parte de uma hérnia inguinal se projeta do anel inguinal profundo para o espaço pré-peritoneal.
  • Hérnia de Richter: uma hérnia envolvendo apenas uma parede lateral do intestino, que pode resultar em estrangulamento intestinal, levando à perfuração por isquemia sem causar obstrução intestinal ou qualquer um de seus sinais de alerta. É nomeado após o cirurgião alemão August Gottlieb Richter (1742-1812).
  • Hérnia deslizante: ocorre quando um órgão se arrasta ao longo de parte do peritônio, ou, em outras palavras, o órgão faz parte do saco herniário. O cólon e a bexiga urinária estão frequentemente envolvidos. O termo também se refere frequentemente a hérnias deslizantes do estômago.
  • Hérnia ciática: essa hérnia no forame ciático maior geralmente se apresenta como uma massa desconfortável na área glútea. Obstrução intestinal também pode ocorrer. Este tipo de hérnia é apenas uma causa rara de neuralgia ciática.
  • Hérnia esportiva: hérnia caracterizada por dor crônica na virilha em atletas e anel inguinal superficial dilatado.
  • Hérnia de Velpeau: uma hérnia na virilha na frente dos vasos sanguíneos do fêmur

Tratamento

Reparo da hérnia sendo realizado a bordo do navio de assalto anfíbio USS Bataan.

Cirurgia

A cirurgia é recomendada para alguns tipos de hérnias, a fim de evitar complicações como obstrução do intestino ou estrangulamento do tecido, embora as hérnias umbilicais e as hérnias de hiato possam ser observadas ou tratadas com medicação.[18] A maioria das hérnias abdominais pode ser reparada cirurgicamente, mas a cirurgia tem complicações. O tempo necessário para a recuperação após o tratamento é reduzido se as hérnias forem operadas laparoscopicamente. No entanto, a cirurgia aberta pode ser realizada algumas vezes sem anestesia geral.

As hérnias não complicadas são reparadas principalmente empurrando para trás, ou "reduzindo", o tecido da hérnia e, em seguida, reparando a fraqueza no tecido muscular (uma operação chamada herniorrafia). Se ocorrerem complicações, o cirurgião verificará a viabilidade do órgão de hérnia e removerá parte dele, se necessário.

As técnicas de reforço muscular geralmente envolvem materiais sintéticos (uma prótese de tela).[19] A malha é colocada sobre o defeito (reparo anterior) ou sob o defeito (reparo posterior). Às vezes, grampos são usados para manter a malha no lugar. Esses métodos de reparo de malha são frequentemente chamados de reparos "livres de tensão" porque, ao contrário de alguns métodos de sutura (por exemplo, Shouldice), o músculo não é puxado juntos sob tensão. No entanto, essa terminologia amplamente usada é enganosa, pois existem muitos métodos de sutura sem tensão que não usam malha (por exemplo, Desarda, Guarnieri, Lipton-Estrin, etc.).

As evidências sugerem que os métodos sem tensão (com ou sem tela) geralmente apresentam menor porcentagem de recidivas e o período de recuperação mais rápido em comparação aos métodos de sutura por tensão. No entanto, entre outras possíveis complicações, o uso de tela protética parece ter maior incidência de dor crônica e, às vezes, infecção.[20]

A frequência da correção cirúrgica varia de 10 por 100.000 (Reino Unido) a 28 por 100.000 (EUA).[1]

Recuperação

Muitas pessoas são gerenciadas através de centros de cirurgia diurna e podem retornar ao trabalho dentro de uma semana ou duas, enquanto atividades intensas são proibidas por um período mais longo. As pessoas que têm suas hérnias reparadas com malha geralmente se recuperam em um mês, embora a dor possa durar mais tempo. As complicações cirúrgicas incluem dor que dura mais de três meses, infecções no local da cirurgia, lesões nos nervos e vasos sanguíneos, lesão em órgãos próximos e recorrência de hérnia. Dor que dura mais de três meses ocorre em cerca de 10% das pessoas após o reparo da hérnia.[1]

Epidemiologia

Cerca de 27% dos homens e 3% das mulheres desenvolvem hérnia de virilha em algum momento de suas vidas.[21] Em 2013, cerca de 25 milhões de pessoas tiveram hérnia.[1] As hérnias inguinais, femorais e abdominais resultaram em 32.500 mortes em todo o mundo em 2013 e 50.500 em 1990.[22]

Referências

  1. 1 2 3 4 5 6 7 8 9 10 11 12 13 14 15 16 17 18 19 20 21 22 23 24 25 26 27 28 29 «Clinical practice. Groin hernias in adults.». The New England Journal of Medicine. 372: 756–63. PMID 25693015. doi:10.1056/NEJMcp1404068
  2. 1 2 3 4 Domino, Frank J. (2014). The 5-minute clinical consult 2014. Wolters Kluwer Health/Lippincott Williams & Wilkins 22nd ed. Philadelphia, Pa.: [s.n.] ISBN 9781451188509
  3. 1 2 3 4 5 6 7 8 «The diagnosis and management of hiatus hernia.». BMJ (Clinical Research Ed.). 349: g6154. PMID 25341679. doi:10.1136/bmj.g6154
  4. 1 2 «Global, regional, and national incidence, prevalence, and years lived with disability for 310 diseases and injuries, 1990-2015: a systematic analysis for the Global Burden of Disease Study 2015.». Lancet. 388: 1545–1602. PMC 5055577Acessível livremente. PMID 27733282. doi:10.1016/S0140-6736(16)31678-6
  5. 1 2 «Global, regional, and national life expectancy, all-cause mortality, and cause-specific mortality for 249 causes of death, 1980-2015: a systematic analysis for the Global Burden of Disease Study 2015.». Lancet. 388: 1459–1544. PMC 5388903Acessível livremente. PMID 27733281. doi:10.1016/s0140-6736(16)31012-1
  6. 1 2 3 «Hernia». www.nlm.nih.gov. 9 de agosto de 2014. Consultado em 12 de março de 2015. Cópia arquivada em 16 de março de 2015
  7. Nigam, VK (2009). Essentials of Abdominal Wall Hernias. I. K. International Pvt Ltd. [S.l.: s.n.] ISBN 9788189866938
  8. «Symptoms». Consultado em 24 de maio de 2010. Cópia arquivada em 13 de fevereiro de 2010
  9. «Multidetector CT reveals diverse variety of abdominal hernias». Diagnostic Imaging. 32: 27–31. 2010
  10. Trudie A Goers; Washington University School of Medicine Department of Surgery; Klingensmith, Mary E; Li Ern Chen; Sean C Glasgow (2008). The Washington manual of surgery. Wolters Kluwer Health/Lippincott Williams & Wilkins. Philadelphia: [s.n.] ISBN 978-0-7817-7447-5
  11. onlinedictionary.datasegment.com > incarcerated Arquivado em 2008-11-20 no Wayback Machine Citing: Webster 1913
  12. «Hiatal Hernia Symptoms, Causes And Relation To Acid Reflux And Heartburn». Consultado em 24 de maio de 2010. Cópia arquivada em 28 de outubro de 2008
  13. «Hernia Causes». Consultado em 24 de maio de 2010. Cópia arquivada em 31 de maio de 2010
  14. Desarda MP (2003). «Surgical physiology of inguinal hernia repair—a study of 200 cases». BMC Surg. 3. 2 páginas. PMC 155644Acessível livremente. PMID 12697071. doi:10.1186/1471-2482-3-2
  15. 1 2 «An unexpected finding during an inguinal herniorrhaphy: report of an indirect hernia with two hernia sacs». Journal of Pediatric Surgery Case Reports. 1: 331–332. doi:10.1016/j.epsc.2013.09.002
  16. «Systematic Review and Meta-Regression of Factors Affecting Midline Incisional Hernia Rates: Analysis of 14,618 Patients.». PLOS ONE. 10: e0138745. PMC 4577082Acessível livremente. PMID 26389785. doi:10.1371/journal.pone.0138745
  17. Arráez-Aybar, L. A., González-Gómez, C. C., & Torres-García, A. J. (2009). Morgagni-Larrey parasternal diaphragmatic hernia in the adult. Rev Esp Enferm Dig, 101(5), 357-366.
  18. «Archived copy». Consultado em 23 de julho de 2017. Cópia arquivada em 14 de julho de 2017
  19. Kamtoh Georges (2014). «Effectiveness of mesh hernioplasty in incarcerated inguinal hernias». Videosurgery and Other Miniinvasive Techniques. 3: 415–419. doi:10.5114/wiitm.2014.43080
  20. Sohail MR, Smilack JD. «Hernia repair mesh-associated Mycobacterium goodii infection». J. Clin. Microbiol. 42: 2858–60. PMC 427896Acessível livremente. PMID 15184492. doi:10.1128/JCM.42.6.2858-2860.2004
  21. «Clinical practice. Groin hernias in adults.». The New England Journal of Medicine. 372: 756–63. PMID 25693015. doi:10.1056/NEJMcp1404068
  22. «Global, regional, and national age-sex specific all-cause and cause-specific mortality for 240 causes of death, 1990-2013: a systematic analysis for the Global Burden of Disease Study 2013.». Lancet. 385: 117–71. PMC 4340604Acessível livremente. PMID 25530442. doi:10.1016/S0140-6736(14)61682-2

Ligações externas