Anatomia

De humani corporis fabrica, um influente manual ilustrado de anatomia do século XVI da autoria de Andreas Vesalius.

Anatomia (do grego ἀνατέμνω anatemnō "cortar em partes") é um ramo da biologia que estuda a organização estrutural dos seres vivos, incluindo os sistemas, órgãos e tecidos que os constituem, a aparência e posição das várias partes, as substâncias de que são feitos, a sua localização e a sua relação com outras partes do corpo.[1] O termo anatomia é geralmente usado como sinónimo de anatomia humana. No entanto, as mesmas estruturas e tecidos podem ser observadas em praticamente todo o reino animal, pelo que o termo também se refere à anatomia dos outros animais, sendo neste caso por vezes usado o termo zootomia. Por outro lado, a estrutura e tecidos das plantas são de natureza diferente e são estudados pela anatomia vegetal.[2]

A anatomia distingue-se da fisiologia e da bioquímica, que estudam respetivamente as funções dessas partes e os processos químicos envolvidos. Está ligada à embriologia, à anatomia comparada, à biologia evolutiva e à filogenia, uma vez que são estes os processos que geram a anatomia.[3] A disciplina da anatomia pode ser dividida em vários ramos, incluindo anatomia macroscópica e microscópica.[4] A anatomia macroscópica é o estudo de estruturas anatómicas suficientemente grandes para poderem ser observadas a olho nu e engloba a anatomia de superfície. A anatomia microscópica é o estudo das estruturas a uma escala microscópica e engloba a histologia (o estudo dos tecidos) e a embriologia (o estudo de um organismo ainda imaturo).[3]

A história da anatomia caracteriza-se pela progressiva compreensão das funções dos órgãos e estruturas do corpo humano. Nos últimos séculos, os métodos de observação evoluíram de forma significativa, desde a dissecação de carcaças e cadáveres até às técnicas modernas de imagiologia médica, entre as quais radiografia, ecografia e ressonância magnética.

Etimologia e definição

Um corpo dissecado, deitado sobre uma mesa, de Charles Landseer

Derivado do grego ἀνατομή anatomē "dissecação" (de ἀνατέμνω anatémnō "eu cortei, cortei" de ἀνά aná "para cima" e τέμνω témnō "eu cortei"),[5] anatomia é o estudo científico da estrutura dos organismos, incluindo seus sistemas, órgãos e tecidos. Inclui a aparência e a posição das várias partes, os materiais de que são compostas e suas relações com outras partes. A anatomia é bastante distinta da fisiologia e da bioquímica, que tratam, respectivamente, das funções dessas partes e dos processos químicos envolvidos. Por exemplo, um anatomista se preocupa com a forma, tamanho, posição, estrutura, suprimento sanguíneo e inervação de um órgão como o fígado; enquanto um fisiologista está interessado na produção de bile, o papel do fígado na nutrição e na regulação das funções corporais.[6]

A disciplina de anatomia pode ser subdividida em vários ramos, incluindo anatomia macroscópica e macroscópica e anatomia microscópica.[7] Anatomia macroscópica é o estudo de estruturas grandes o suficiente para serem vistas a olho nu, e também inclui anatomia superficial ou anatomia de superfície, o estudo pela visão das características externas do corpo. A anatomia microscópica é o estudo das estruturas em escala microscópica, juntamente com a histologia (o estudo dos tecidos) e a embriologia (o estudo de um organismo em sua condição imatura).[8] Anatomia regional é o estudo das inter-relações de todas as estruturas em uma região específica do corpo, como o abdome. Em contraste, a anatomia sistêmica é o estudo das estruturas que compõem um sistema corporal distinto, ou seja, um grupo de estruturas que trabalham juntas para realizar uma função corporal única, como o sistema digestivo.[9]

A anatomia pode ser estudada por métodos invasivos e não invasivos com o objetivo de obter informações sobre a estrutura e organização de órgãos e sistemas.[8] Os métodos usados incluem a dissecação, na qual um corpo é aberto e seus órgãos estudados, e a endoscopia, na qual um instrumento equipado com uma câmera de vídeo é inserido através de uma pequena incisão na parede do corpo e usado para explorar os órgãos internos e outras estruturas. Angiografia usando raios-X ou angiografia por ressonância magnética são métodos para visualizar os vasos sanguíneos.[10][11][12][13]

O termo "anatomia" é comumente usado para se referir à anatomia humana . No entanto, estruturas e tecidos substancialmente semelhantes são encontrados em todo o resto do reino animal, e o termo também inclui a anatomia de outros animais. O termo zootomia também é usado às vezes para se referir especificamente a animais não humanos. A estrutura e os tecidos das plantas são de natureza diferente e são estudados na anatomia vegetal.[6]

Tecidos animais

Estrutura de uma célula animal.

O reino Animalia, ou metazoários, é constituído por organismos multicelulares que são heterotróficos e móveis (embora alguns tenham evoluído para um estilo de vida estático). O corpo da maior parte dos animais apresenta tecidos diferenciados, sendo por isso denominados eumetazoários. Os animais deste grupo apresentam câmara digestiva interna com uma ou duas aberturas, os gâmetas são produzidos em órgãos sexuais multicelulares e os zigotos apresentam estágio de blástula durante o desenvolvimento embrional. Os eumetazoários não incluem as esponjas, uma vez que não têm células diferenciadas.[14] Ao contrário das células vegetais, as células animais não têm parede celular nem cloroplastos. Quando estão presentes, os vacúolos nas células animais são em maior número e muito mais pequenos do que nas plantas.[15]

Os tecidos do corpo, incluindo os dos músculos, nervos e pele, são constituídos por células de vários tipos diferentes. Geralmente, cada célula é formada por um núcleo, citoplasma e uma membrana celular constituída por fosfolípidos. Todas as diferentes células de um animal têm origem na camada germinativa embrionária. Os animais invertebrados mais simples são formados a partir de duas camadas germinativas – ectoderme e endoderme – e são denominados diblásticos. Nos animais mais complexos, as estruturas e os órgãos são formados a partir de três camadas germinativas – ectoderme, endoderme e mesoderme – sendo por isso denominados triblásticos.[15] Os tecidos animais podem ser agrupados em quatro tipos básicos: conjuntivo, epitelial, muscular e nervoso:

Tecido conjuntivo

Tecido conjuntivo (a azul) a sustentar o epitélio (a violeta).

O tecido conjuntivo é fibrosos e constituído por células dispersas ao longo de uma substância inorgânica denominada matriz extracelular. É o tecido conjuntivo que forma os órgãos e que os mantém no lugar. Os principais tipos de tecido conjuntivo são o tecido conjuntivo frouxo, tecido adiposo, tecido conjuntivo fibroso, cartilagem e osso.[16] A matriz extracelular contém proteínas, das quais a principal e mais abundante é o colagénio. A função do colagénio é organizar e manter os tecidos. A matriz pode formar um esqueleto, que suporta e protege o organismo. Em alguns animais este esqueleto é externo, denominado exosqueleto,[17]

Nos animais mais desenvolvidos e em alguns dos menos desenvolvidos, este esqueleto é interno e denominado endosqueleto. Nos animais mais simples, o esqueleto é geralmente externo e denominado exosqueleto. O exosqueleto é uma cutícula rígida e espessa, endurecida através de mineralização, como no caso dos crustáceos, ou de ligação cruzada entre proteínas, como no caso dos insetos.[15]

Tecido epitelial

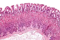
Mucosa gástrica a baixa ampliação.

O tecido epitelial é constituído por células compactas, com pouco espaço intercelular, e ligadas entre si por moléculas de adesão celular. As células epiteliais podem ser escamosas, cubóides ou colunares e assentam sobre uma lâmina basal. Esta lâmina é a camada superior da membana basal, sendo a inferior a lâmina reticular que se encontra na proximidade do tecido conjuntivo na matriz extracelular segregada pelas células epiteliais.[18]

Existem vários tipos diferentes de tecido epitelial, o qual se encontra modificado de modo a corresponder a uma função em particular. No trato respiratório encontra-se um tipo de revestimento epitelial ciliado. No revestimento epitelial do intestino delgado existem microvilos, enquanto no do intestino grosso existem vilosidades intestinais. A pele que reveste o corpo dos vertebrados é constituída por uma camada exterior de epitélio escamoso estratificado e queratinizado, enquanto 95% das células da epiderme são queratinócitos.[19] As células epiteliais na superfície exterior do corpo geralmente segregam matriz extracelular na forma de uma cutícula. Em animais mais simples isto pode ser apenas um revestimento de glicoproteínas.[15] Em animais mais avançados, formam-se glândulas nas células epiteliais.[20]

Tecido muscular

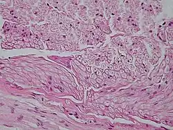
Corte transversal de um músculo esquelético e um pequeno nervo com elevada ampliação.

O tecido ativo e contráctil do corpo é formado por miócitos, ou células musculares. A função do tecido muscular é produzir força e movimento, tanto o movimento de locomoção como movimentos dos órgãos internos. O músculo é formado por miofibrilhas contractéis e divide-se em três tipos principais: músculo liso, músculo esquelético e músculo cardíaco. O músculo liso não apresenta estrias quando observado ao microscópio. Contrai-se lentamente, mas é capaz de manter a contração ao longo de uma grande extensão. Pode ser observado em órgãos como os tentáculos das anémonas e na parede do corpo dos pepinos-do-mar.[21]

O músculo esquelético contrai-se rapidamente, mas tem pouca amplitude de extensão. É o responsável pelo movimento dos membros e das mandíbulas. O músculo de estrias oblíquas, em que os filamentos se encontram alternados, é um intermédio entre os outros dois. Pode ser observado, por exemplo, em minhocas, que são capazes tanto de se alongar lentamente como de se contrair rapidamente.[21]

Tecido nervoso

Tecido nervoso de um nervo periférico.

O tecido nervoso é constituído por várias células nervosas que transmitem informação denominadas neurónios. Em alguns animais marinhos de locomoção lenta e radialmente simétricos, como os ctenóforos e os cnidários, os nervos formam uma rede nervosa. No entanto, na maior parte dos animais estão organizados em grupos longitudinais. Em animais mais simples, são os neurónios recetores na parede do corpo que reagem diretamente aos estímulos. Em animais mais complexos existem células recetoras especializadas, como os quimiorrecetores ou os fotorreceptores, que formam grupos e enviam mensagens ao longo de redes neurais para outras partes do organismo. Os neurónios podem estar ligados entre si em gânglios nervosos.[22]

Nos animais mais evoluídos, os recetores especializados constituem a base dos órgãos dos sentidos. Estes animais possuem um sistema nervoso central (cérebro e espinal medula) e um sistema nervoso periférico. Este último consiste em nervos sensoriais que transmitem informação a partir dos órgãos dos sentidos e nervos motores que influenciam os órgãos de destino.[23][24] O sistema nervoso periférico divide-se no sistema nervoso somático, que transmite as sensações e controla os músculos voluntários, e o sistema nervoso autónomo ,que controla de forma involuntária o músculo liso, algumas glândulas e os órgãos internos.[25]

Anatomia humana

Anatomia externa dos seres humanos. Embora semelhantes aos restantes mamíferos, apresentando pele revestida por pelos, glândulas mamárias e sistema sensorial desenvolvido, são os únicos mamíferos com postura bípede e têm de longe o cérebro mais desenvolvido entre o reino animal.

Os seres humanos são animais membros da ordem dos mamíferos, subfilo dos vertebrados e do filo dos cordados. À semelhança de todos os cordados, o corpo humano apresenta em determinado momento do desenvolvimento simetria bilateral, corda dorsal, fendas branquiais e e um tubo neural. Nos seres humanos, as duas primeiras características estão presentes apenas durante a fase embrionária. À medida que o embrião se desenvolve, a corda dorsal dá lugar à coluna vertebral característica dos vertebrados, as fendas branquiais desaparecem completamente e o tubo neural dá lugar à espinal medula.[26][27] À semelhança dos restantes mamíferos, o corpo humano apresenta como características proeminentes a presença de pelos, glândulas mamárias e sistema sensorial bastante desenvolvido. No entanto, apresenta também algumas diferenças significativas. É o único mamífero com postura bípede, o que modificou o plano corporal, e o cérebro é de longe o mais desenvolvido em todo o reino animal.[27]

O corpo humano adulto possui mais de 75 biliões de células. Cada célula é capaz de crescer, de metabolizar, de responder a estímulos e de se reproduzir, embora haja algumas exceções. Existem mais de 200 tipos diferentes de células no corpo humano que, em conjunto com a matriz extracelular, formam os quatro principais tipos de tecido: epitelial, muscular, nervoso e conjuntivo. Por sua vez, os tecidos formam órgãos individuais e cada órgão pode apresentar vários tipos de tecido. O tecido epitelial reveste a superfície do corpo, os órgãos internos, cavidades e passagens. Os tecidos musculares são contrácteis e constituem os músculos, enquanto que os tecidos nervosos constituem o sistema nervoso. O tecido conjuntivo liga as várias estruturas anatómicas entre si e é constituído por células bastante espaçadas.[27]

O corpo humano é constituído por nove sistemas orgânicos principais. O sistema tegumentar é constituído pela pele que reveste o corpo e as diversas estruturas a ela associadas, como os pelos, as unhas ou as glândulas sebáceas, e tem a função de proteger os outros órgãos. O sistema locomotor compreende os músculos esqueléticos e os ossos do esqueleto e tem função locomotora e de proteção dos órgãos internos. O sistema respiratório é constituído pelos pulmões, músculos da respiração e respetivas passagens e tem a função de extrair oxigénio do ar, fundamental para o metabolismo, devolvendo dióxido de carbono. O sistema circulatório ou cardiovascular é constituído pelo coração, vasos sanguíneos e sangue. O coração impulsiona a circulação do sangue, o qual tem a função de transportar oxigénio, nutrientes, células imunitárias, hormonas e resíduos entre as células das diversas partes do corpo. O sistema digestivo é constituído pela boca, esófago, estômago e intestinos e tem a função de processar os alimentos em nutrientes aproveitáveis pelo corpo, que são depois absorvidos pelo sangue ou pela linfa e os resíduos expulsos na forma de matéria fecal. O sistema excretor é constituído pelos rins, bexiga e respetivos canais e tem a função de remover os compostos de nitrogénio tóxicos da corrente sanguínea. O sistema endócrino é constituído pelos tecidos e glândulas que produzem hormonas, as quais atuam como uma rede de comunicações entre os vários sistemas. O sistema reprodutor, feminino ou masculino dependendo do sexo, é constituído pelos órgãos sexuais e permite a reprodução e a continuidade da espécie.[27]

Anatomia dos vertebrados

crânio de rato

A característica que define um vertebrado é a presença de coluna vertebral. Todos os animais vertebrados apresentam um plano corporal muito semelhante e em determinado momento na vida, geralmente durante o período embrionário, apresentam as principais características dos cordados: uma corda dorsal, um tubo neural, arcos faríngeos e uma cauda posterior ao ânus. A espinal medula, que é protegida pela coluna vertebral, encontra-se acima da corda dorsal, enquanto o trato gastrointestinal se encontra por baixo.[28] A coluna vertebral é formada pelo desenvolvimento do conjunto de vértebras segmentadas. Na maior parte dos vertebrados a corda dorsal embrionária transforma-se no núcleo pulposo dos discos intervertebrais. No entanto, alguns vertebrados mantêm a corda dorsal em adultos, como é o caso do esturjão.[29] Os vertebrados com mandíbulas apresentam pares de apêndices, barbatanas ou pernas que podem ser vestigiais. O tecido nervoso dos vertebrados tem origem na ectoderme, o tecido conjuntivo na mesoderme e o tubo digestivo na endoderme. Na extremidade posterior encontra-se uma cauda que prolonga a medula espinal e as vértebras, mas não o tubo digestivo. A boca encontra-se na extremidade anterior do animal e o ânus na base da cauda.[30]

Anatomia dos anfíbios

Os anfíbios, que incluem os sapos, salamandras e cecílias, são capazes de respirar pela pele, que se encontra revestida por glândulas mucosas e necessita de estar constantemente humedecida.

Os anfíbios são uma classe de animais que engloba os sapos, salamandras e cecílias. Embora sejam tetrápodes, as cecílias e algumas espécies de salamandras não possuem membros ou os seus membros são de tamanho muito reduzido. Os principais ossos dos anfíbios são ocos, leves e totalmente ossificados. As vértebras são articuladas entre si e apresentam processos articulares. As costelas são geralmente curtas e podem-se apresentar fundidas com as vértebras. O crânio é geralmente largo e curto e apresenta frequentemente ossificação incompleta. A pele contém pouca queratina e não é revestida por escamas, sendo revestida por várias glândulas mucosas e, em algumas espécies, glândulas venenosas.[31]

O coração dos anfíbios apresenta três câmaras: duas aurículas e dois ventrículos. Possuem uma bexiga e os detritos nitrogenados são expelidos principalmente na forma de ureia. Os anfíbios respiram principalmente pela boca, bombeando ar para a região bucofaríngea pelas narinas, que depois é forçado a circular para os pulmões contraindo a garganta.[31] Esta respiração é complementada com trocas gasosas através da pele, que necessita de estar constantemente humedecida.[32]

Nos sapos, a bacia é robusta e as pernas posteriores são muito mais fortes e compridas em relação às anteriores. Os pés possuem quatro ou cinco dígitos e os dedos e muitas vezes apresentam membranas interdigitais para nadar ou ventosas para trepar. Os sapos possuem olhos grandes e não têm cauda. A aparência das salamandras assemelha-se à dos lagartos; as pernas curtas projetam-se para os lados, o ventre está em contacto ou muito próximo do solo e têm uma cauda longa. A aparência das cecílias assemelha-se à das minhocas e não possuem membros. Escavam através de zonas de contração muscular que se movem ao longo do corpo e nadam fazendo ondular lateralmente o corpo.[33]

Anatomia das aves

A característica anatómica mais proeminente das aves são as penas que, em conjunto com os sacos aéreos, lhes permitem voar.

Embora as aves sejam tetrápodes e os membros posteriores sejam usados para caminhar ou saltar, os membros anteriores são asas cobertas por penas e adaptadas ao voo. As aves são animais endotérmicos, têm um elevado metabolismo, um esqueleto pneumático e músculos fortes. Os ossos são delgados, ocos e muito leves, sendo o interior de alguns preenchidos por sacos aéreos ligados aos pulmões. O esterno é bastante largo e geralmente tem uma quilha adjacente. As vértebras caudais encontram-se fundidas. As aves não possuem dentes e as mandíbulas, estreitas, evoluíram para um bico. Os olhos são relativamente grandes, sobretudo em espécies noturnas como as corujas. Em espécies predadoras os olhos estão orientados para a frente, enquanto outras espécies possuem visão lateral.[34]

As penas são desenvolvimentos epidérmicos e situam-se em regiões específicas da pele. As grandes penas de voo encontram-se nas asas e na cauda. A única glândula cutânea é a glândula uropigial perto da base da cauda, que produz uma secreção oleosa as aves usam para impermeabilizar as penas. As pernas, patas, dedos e garras são cobertos por escamas.[34]

Anatomia dos mamíferos

As principais características anatómicas dos mamíferos são a presença de glândulas mamárias, pele coberta por pelos e sistema sensorial bastante desenvolvido.

Os mamíferos são uma classe diversificada de animais. A maioria são terrestres, embora alguns sejam aquáticos e outros sejam capazes de voar ou planar. A maior parte das espécies apresenta quatro membros. Alguns mamíferos aquáticos podem não possuir membros ou os membros podem ter evoluído para barbatanas, enquanto que nos morcegos os membros evoluíram para asas. As pernas de maior parte dos mamíferos situam-se na parte inferior do tronco, que se ergue bastante acima do chão. Os ossos dos mamíferos são plenamente ossificados. Os dentes, que são geralmente diferenciados, são revestidos por uma camada de esmalte e geralmente são substituídos uma vez na vida, ou não, como no caso dos cetáceos. Os mamíferos apresentam três ossos no ouvido médio e uma cóclea no ouvido interno. A pele é revestida por pelos e a pele contém glândulas sudoríparas. Algumas destas glândulas são glândulas mamárias que produzem leite para alimentar as crias.[35]

Os mamíferos respiram através de pulmões e apresentam um diafragma que separa o tórax do abdómen e ajuda os pulmões a inspirar o ar. O coração apresenta quatro câmaras e as correntes sanguíneas oxigenada e desoxigenada são mantidas completamente separadas. Os resíduos nitrogenados são expelidos principalmente na forma de ureia.[35]

Os mamíferos são amniotas e a maior parte são vivíparos, dando à luz crias vivas. As únicas exceções que põem ovos, são os monotremados, os ornitorrincos e as equidnas da Austrália. Os restantes animais desenvolvem fetos no interior de uma placenta que os alimenta. Nos marsupiais, em que a fase fetal é relativamente curta, a cria nasce ainda imatura e desloca-se para o marsúpio da progenitora, onde se alimenta de um mamilo e conclui o desenvolvimento.[35]

Anatomia dos peixes

As características anatómicas mais evidentes dos peixes são a presença de barbatanas e escamas. O esqueleto pode ser ósseo ou cartilaginoso, como nos tubarões ou raias.

O corpo dos peixes divide-se em cabeça, tronco e cauda, embora as divisões entre estes segmentos nem sempre sejam percetíveis a partir do exterior. O esqueleto, que é a estrutura de suporte no interior dos peixes, pode ser constituído por cartilagem, nos peixes cartilagíneos, ou por osso nos peixes ósseos. O principal elemento do esqueleto é a coluna vertebral, composta por vértebras articuladas e bastante leves, embora muito resistentes. As costelas estão ligadas à coluna e não existem membros. As principais características externas dos peixes, as barbatanas, são constituídas por espinhos ósseos ou moles, por vezes denominados "raios". À exceção da barbatana dorsal, as barbatanas não estão diretamente ligadas à coluna vertebral, sendo suportadas apenas pelos músculos do tronco.[36] O coração dos peixes possuiu duas câmaras e bombeia o sangue ao longo da superfície respiratória das guelras e de todo o corpo num único ciclo.[37] Os olhos estão adaptados à visão submarina e têm pouco alcance. Possuem um ouvido interno, mas sem pavilhão auditivo externo. Os peixes são capazes de detetar vibrações de baixa frequência através de um sistema de órgãos sensoriais ao longo de todo o comprimento da linha lateral, que lhes permitem aperceber-se de movimentos e alterações na pressão da água nas imediações.[36]

Os peixes ósseos apresentam maior número de traços anatómicos derivados, muitas vezes com significativas alterações evolucionárias em relação aos peixes antigos. Possuem esqueleto ósseo, são geralmente achatados lateralmente, apresentam cinco pares de guelras protegidas por um opérculo e uma boca na ponta ou perto do focinho. A derme encontra-se coberta por escamas sobrepostas. Os peixes ósseos possuem uma bexiga natatória que os ajuda a manter uma profundidade constante, mas não uma cloaca. Geralmente desovam na água uma grande quantidade de pequenos ovos pouco vitelinos.[38]

Os tubarões e as raias são peixes cartilaginosos basais com várias características anatómicas primitivas semelhantes às dos peixes antigos, incluindo esqueletos constituídos por cartilagem. O seu corpo tende a ser achatado ao longo do dorso e do ventre, e geralmente apresentam cinco pares de guelras e uma boca de grande dimensão no lado inferior da cabeça. A derme encontra-se revestida por escamas placoides separadas. Apresentam uma cloaca com função urinária e genital, embora não possuam bexiga natatória. Os peixes cartilaginosos produzem ovos vitelinos de grande dimensão, embora em pouco número. Algumas espécies são ovovivíparas e a cria desenvolve-se internamente, enquanto outras são ovíparas e a as larvas desenvolvem-se externamente dentro do ovo.[38]

Anatomia dos répteis

Os répteis englobam os lagartos (imagem), tartarugas, serpentes e crocodilos. As características anatómicas mais evidentes são pele é revestida por escamas impermeáveis e a posição de locomoção junto ao solo.

Os répteis são uma classe de classe de animais que engloba as tartarugas, tuataras, lagartos, serpentes e crocodilos. Embora sejam tetrápodes, as serpentes e algumas espécies de lagartos não possuem membros ou os membros são de tamanho muito reduzido. Os ossos dos répteis são mais ossificados e o esqueleto é mais resistente em relação ao dos anfíbios. Os dentes são cónicos e de tamanho uniforme. As células superficiais da epiderme encontram-se modificadas em pequenas escamas que criam uma camada impermeável. Os répteis não são capazes de usar a pele para respirar, como os anfíbios, mas têm um sistema respiratório mais eficiente que aspira ar para os pulmões expandindo as paredes do peito. O coração assemelha-se ao dos anfíbios, mas possui também um septo interventricular que separa de forma mais eficiente as correntes sanguíneas oxigenada e desoxigenada. O sistema reprodutor está preparado para fecundação interna e a maior parte das espécies possui um órgão copulatório. Os ovos são envolvidos por uma membrana amniótica que impede que sequem e são postos em terra, embora em algumas espécies se desenvolvam internamente. A bexiga é pequena, uma vez que os resíduos nitrogenados são expelidos na forma de ácido úrico.[39]

As tartarugas apresentam uma característica carapaça rígida que protege o tronco, inflexível, formada por placas ósseas embutidas na derme, por sua vez revestidas por placas córneas e parcialmente fundidas com as costelas e a coluna. O pescoço é longo e flexível e a cabeça e as pernas podem ser recolhidas para o interior da carapaça. As tartarugas são herbívoras, pelo que os dentes característicos dos outros répteis foram substituídos por placas córneas afiadas. Nas espécies aquáticas, as pernas da frente evoluíram para barbatanas.[40]

Os lagartos apresentam crânios com apenas uma fenestra de cada lado, tendo perdido o osso por baixo da segunda fenestra. Isto faz com que a ligação entre as mandíbulas seja menos rígida, o que lhes permite abrir mais a boca. Os lagartos são essencialmente quadrúpedes. O tronco levanta-se ligeiramente do chão, apoiado em quatro pernas projetadas para os lados, embora algumas espécies não possuam membros e se assemelhem a serpentes. Os lagartos possuem pálpebras móveis, tímpanos e algumas espécies possuem olho parietal central.[40]

As serpentes são parentes próximas dos lagartos, tendo derivado de uma linhagem ancestral em comum durante o período Cretácico, e partilham muitas características. O esqueleto é constituído pelo crânio, osso hioide, coluna vertebral e costelas, embora algumas espécies apresentem vestígios de uma bacia e membros posteriores. Também perderam o osso por baixo da segunda fenetra do crânio e as mandíbulas têm uma flexibilidade extrema, o que permite às serpentes engolir as presas inteiras. Embora as pálpebras sejam imóveis, os olhos são cobertos por escamas transparentes. As serpentes não possuem tímpanos, mas conseguem detetar vibrações na terra através dos ossos do crânio. A língua bifurcada é usada como órgão paladar e olfativo. Algumas espécies apresentam orifícios sensoriais na cabeça, o que lhes permite localizar presas de sangue quente.[41]

Os crocodilianos são répteis aquáticos de baixa estatura e grande dimensão, de focinho comprido e grande número de dentes. A cabeça e o tronco são achatados ao longo do ventre. A cauda é comprimida lateralmente e ao nadar ondula para impulsionar o animal. As escamas duras e queratinizadas, algumas inclusivamente fundidas no crânio, proporcionam aos crocodilos uma armadura corporal. As narinas, olhos e ouvidos são salientes em relação à cabeça achatada, o que permite que se mantenham à superfície quando o animal flutua. Quando submerge, as narinas e ouvidos são selados por válvulas. Ao contrário de outros répteis, os crocodilianos possuem um coração de quatro câmaras, o que lhes permite separar completamente a circulação de sangue oxigenado e desoxigenado.[42]

Pelo exterior, as tuataras assemelham-se aos lagartos, embora a linhagem se tenha dividido durante o período Triássico. Existe apenas uma espécie viva, Sphenodon punctatus. O crânio tem duas fenestras em cada lado. A ligação da mandíbula ao crânio é rígida. Apresentam uma fileira de dentes na mandíbula inferior, que encaixa entre as duas fileiras da mandíbula superior. Os dentes são apenas projeções de material ósseo da mandíbula que se vai desgastando. O cérebro e o coração são mais primitivos do que em outros répteis. Os pulmões apresentam uma única câmara e não possuem brônquios e a cabeça possui um olho parietal bem desenvolvido.[40]

Anatomia dos invertebrados

Cabeça de Daphnia macho, um crustáceo planctônico

Por definição, invertebrados são os animais sem coluna vertebral. São um grupo vasto e diversificado de seres vivos que corresponde a cerca de 95% de todas as espécies animais, desde eucariontes simples e unicelulares, como o Paramecium, até animais complexos e multicelulares como o polvo, a lagosta ou as libélulas.[43] A superfície exterior da epiderme dos invertebrados é geralmente formada por células epiteliais e segrega a matriz extracelular que suporta o organismo. Os equinodermes, esponjas, e cefalópodes possuem um endosqueleto derivado da mesoderme. Os artrópodes (insetos, aracnídeos, carrapatos, camarões, caranguejos e lagostas) possuem exosqueletos derivados da epiderme e constituídos por quitina. Nos moluscos, braquiópodes e alguns poliquetas as carapaças são constituídas por carbonato de cálcio. O exosqueleto dos microscópicos radiolários e diatomáceas são constituídos por sílica.[44] Os restantes invertebrados podem não apresentar estruturas rígidas, embora a epiderme possa segregar diversos revestimentos superficiais, como é o caso da pinacoderme das esponjas, da cutícula gelatinosa dos cnidários (pólipos, anémonas, alforrecas) ou da cutícula colaginosa dos anelídeos. Esta camada externa pode incluir células de diversos tipos, incluindo células sensoriais, glândulas e células venenosas. Podem ainda existir saliências como microvilos, cílios, espinhos ou tubérculos.[45]

Os protozoários são organismos unicelulares. Embora as suas células apresentem a mesma estrutura básica dos animais multicelulares, algumas partes da célula especializaram-se e têm função equivalente aos tecidos e órgãos. A locomoção é muitas vezes feita por cílios, flagelos ou pseudópodes. Os nutrientes podem ser obtidos por fagocitose, as necessidades energéticas podem ser satisfeitas por fotossíntese e a célula pode ser suportada por um endosqueleto ou exoesqueleto. Alguns protozoários podem formar colónias multicelulares.[43]

Anatomia dos artrópodes

Os artrópodes incluem os insetos, aracnídeos e crustáceos e são o maior filo do reino animal. A característica anatómica mais evidente é a presença de um exosqueleto rígido e segmentado, como este escaravelho.

Os artrópodes são o maior filo no reino animal. A este grupo pertencem um milhão de espécies, o que corresponde a 84% de todas as espécies de animais conhecidas, incluindo insetos, aracnídeos, carrapatos, camarões, caranguejos e lagostas.[46]

Os insetos possuem corpos segmentados suportados por um exosqueleto rígido, constituído principalmente por quitina. Os segmentos do corpo dividem-se em três partes distintas: uma cabeça, um tórax e um abdómen.[47] A cabeça geralmente contém um par de antenas sensoriais, um par de olhos compostos, um a três ocelos e três conjuntos de apêndices modificados que formam as peças bucais. O tórax apresenta três pares de pernas, uma para cada um dos três segmentos do tórax, e dois pares de asas. O abdómen é constituído por onze segmentos, alguns dos quais podem ser unidos, e protege os sistemas digestivo, respiratório, excretório e reprodutor.[48] As diferentes espécies apresentam variações significativas entre si e inúmeras adaptações das diferentes partes do corpo, especialmente das asas, pernas, antenas e partes bucais.[49]

As aranhas, uma classe dos aracnídeos, apresentam quatro pares de pernas e um corpo com dois segmentos (cefalotórax e abdómen), não possuindo asas ou antenas. As partes bucais, denominadas quelíceras, estão muitas vezes ligadas a glândulas venenosas, uma vez que a maior parte das aranhas são venenosas. Possuem ainda um segundo par de apêndices ligados ao cefalotórax, denominados pedipalpos, com segmentação semelhante às pernas e que atuam como órgãos do paladar e do olfato. Na extremidade de cada pedipalpo dos machos encontra-se o órgão copulatório.[50]

O corpo dos crustáceos é composto por segmentos agrupados em três regiões: cabeça, tórax e abdómen.[51][52][53] Em algumas espécies, a cabeça e o tórax encontram-se unidas formando um cefalotórax, que pode ser coberto por uma carapaça única.[54][55] O corpo dos crustáceos é protegido por um exosqueleto rígido, que necessita de ser mudado para que o animal possa crescer.[56] Cada segmento, ou somito, pode apresentar um par de apêndices. Nos segmentos da cabeça, estes apêndices incluem dois pares de antenas, mandíbulas e maxilas.[51] Os segmentos torácicos apresentam pernas, que podem ser especializadas na locomoção ou na alimentação.[52] O abdómen apresenta pleópodes e termina num Télson.[53][57] A principal cavidade corporal é um sistema circulatório aberto, em que o sangue é bombeado para o hemocélio por um coração situado no dorso.[58]

Anatomia dos moluscos

Os moluscos são um filo de grande diversidade anatómica que inclui os cefalópodes, como o polvo, lulas e chocos; os gastrópodes, como as lesmas, lesmas-do-mar e caracóis (imagem); e os bivalves como as amêijoas.

Os moluscos são um filo de invertebrados extremamente diversificado que inclui os cefalópodes, como os polvos, lulas e chocos; e os gastrópodes, como os caracóis e lesmas. As três características universais que definem os moluscos modernos são um manto com uma cavidade significativa, a presença de uma rádula e a estrutura do sistema nervoso. Fora destas características comuns, os moluscos apresentam uma grande diversidade anatómica, pelo que vários manuais descrevem a anatomia dos moluscos através de um "molusco genérico hipotético" que representa as características mais comuns do filo. Este molusco generalizado reproduz-se por fissão binária, de forma semelhante às estrelas-do-mar, apresenta simetria bilateral e uma concha no topo. O lado inferior consiste num único pé muscular. A região mole e não muscular do molusco que contém os órgãos denomina-se massa visceral.[59][60][60][61]

É na cavidade do manto que se situam os nefrídeos (órgãos excretores), gónadas órgãos reprodutores, as guelras, o ânus e um par de osfrádios (órgãos sensoriais).[60] O manto segrega uma concha, embora ausente em alguns grupos taxonómicos, como os nudibrânquios.[62] A concha é constituída principalmente por quitina e conchiolina e endurecida com carbonato de cálcio (exceto na camada superficial).[60][63] A parte inferior dos moluscos é constituída por um pé muscular, que tem diferentes finalidades conforme a classe.[64] Nos gastrópodes, o pé segrega muco que atua como lubrificante na locomoção. Em espécies cuja concha é cónica, como as lapas, o pé atua como ventosa, agarrando o animal a uma superfície sólida. Nas espécies de conchas em espiral, os músculos puxam o pé e outras partes salientes para o interior da concha.[60] Nos bivalves o pé está adaptado a escavar os sedimentos e nos cefalópodes é usado para locomoção, podendo apresentar tentáculos.[64][65]

Os moluscos possuem sistema circulatório aberto.[62] As aurículas do coração fazem também parte do sistema excretório, filtrando resíduos do sangue. A maior parte do sistema respiratório dos moluscos apresenta apenas um par de guelras.[60] Os moluscos usam digestão intracelular e as partes bucais apresentam uma rádula, uma língua com dentes que aspira bactérias e algas das rochas. Na boca existem glândulas que segregam muco ao qual a comida adere e possuem um complexo sistema digestivo em que cílios microscópicos desempenham vários papéis.[62][60] Os moluscos cefálicos apresentam dois pares de cordas nevosas ventrais e os bivalves três. Em espécies que o possuem, o cérebro envolve o esófago. A maior parte dos moluscos apresenta olhos e todas as espécies têm sensores sensíveis a químicos, a vibrações e ao toque.[60] Os sistemas reprodutores mais simples baseiam-se na fertilização externa, embora alguns moluscos usem fertilização interna ou sejam hermafroditas. Os moluscos co fertilização externa põem ovos, dos quais emergem larvas trocóforas, larvas velígeras ou adultos em miniatura.[60]

Estudo

Lição de Anatomia do Dr. Willem van der Meer, Michiel Jansz van Mierevelt, 1617

A anatomia humana é uma das ciências fundamentais da medicina.[66] A anatomia humana, a fisiologia e a bioquímica são ciências médicas básicas complementares, que são geralmente ensinadas aos estudantes no primeiro ano das faculdades de medicina. As profissões médicas exigem conhecimentos aprofundados de anatomia, sobretudo no caso dos cirurgiões e em especialidades de diagnóstico, como na histopatologia e na radiologia.[67] A anatomia humana pode ser estudada de forma regional ou sistémica. A anatomia regional estuda as regiões do corpo, como a cabeça ou o tórax, enquanto que a anatomia sistémica estuda sistemas específicos, como os sistemas nervoso ou respiratório.[3] O mais notável manual de anatomia, Gray's Anatomy, foi reorganizado de um formato sistémico para um formato regional, de acordo com os métodos de ensino contemporâneos.[68][69]

Um anatomista estuda a forma, tamanho, posição, estrutura, irrigação sanguínea e nervosa de um órgão como o fígado, enquanto um fisiologista estuda a produção de bílis, o papel do fígado na nutrição e na regulação das funções corporais.[2] A anatomia pode ser estudada usando métodos tanto invasivos como não invasivos, que permitem obter dados sobre a estrutura e organização dos órgãos e dos sistemas.[3] Entre os métodos usados estão a dissecação, em que o organismo é aberto para serem estudados os órgãos, e a endoscopia, em que se insere um instrumento equipado com uma câmara de vídeo por uma pequena incisão na parede do corpo. A angiografia por raio-x ou ressonância magnética permitem visualizar os vasos sanguíneos.[70][71][72][73]

Terminologia anatómica

Os termos anatómicos são compostos por uma raiz à qual acrescem prefixos e sufixos. A raiz geralmente indica determinado órgão, tecido ou condição.[74]

Termos de localização

Posição anatómica de referência com os termos de localização relativa.

Os termos anatómicos usados para descrever a localização de determinada estrutura têm por base a posição anatómica de referência. Nos seres humanos, esta posição corresponde a uma pessoa de pé, com os pés ligeiramente afastados, braços esticados e as palmas das mãos abertas e viradas para a frente.[74] Quando os anatomistas mencionam o lado esquerdo ou o lado direito do corpo, referem-se à esquerda e direita do indivíduo, e não do observador. Ao observar um corpo na posição anatómica de referência, o lado esquerdo do corpo é o lado direito do observador e vice-versa. Os termos padronizados evitam confusão. Entre os termos mais usados estão:[75]:4

  • Anterior e posterior descrevem a parte da frente (anterior) e de trás (posterior) de um corpo. Por exemplo, os dedos dos pés encontram-se anteriormente em relação ao tornozelo e a coluna vertebral encontra-se posteriormente em relação ao coração;
  • Superior (ou cranial) e inferior (ou caudal) descrevem uma posição em cima (superior, em direção ao crânio) ou em baixo (inferior, em direção à cauda) relativamente a outra parte do corpo. Por exemplo, o tórax situa-se superiormente ao abdómen, enquanto a pélvis situa-se inferiormente ao abdómen;
  • Medial e lateral descrevem uma posição que é mais próxima (medial) ou mais afastada (lateral) do plano sagital. Por exemplo, no caso do joelho o ligamento colateral medial está situado medialmente, ou mais próximo do plano sagital, enquanto que o ligamento colateral lateral está localizado lateralmente, ou mais afastado do plano sagital;
  • Ventral e dorsal descrevem estruturas derivadas da parte da frente (ventral) ou de trás (dorsal) do embrião antes da rotação dos membros;
  • Proximal e distal descrevem uma posição mais próxima (proximal) ou mais afastada (distal) em relação à raiz do membro. Por exemplo, o braço é considerado proximal quando comparado com o antebraço (distal), uma vez que está mais próximo da raiz;
  • Superficial e profundo descrevem as estruturas que estão mais próximas (superficiais) ou mais afastadas (profundas) em relação à superfície do corpo. Por exemplo, a pele é mais superficial do que os ossos e o cérebro é mais profundo que o crânio.

Planos anatómicos

Os três planos anatómicos do corpo: sagital, transversal e frontal

Os elementos anatómicos são muitas vezes descritos em relação a planos geométricos de referência:[75] :4[74]

  • Plano sagital é o plano que divide verticalmente um corpo ou um órgão nos lados direito e esquerdo. Quando este plano vertical passa pelo meio do corpo denomina-se plano sagital mediano. Quando divide o corpo em lados desiguais denomina-se plano parasagital;
  • Plano frontal ou plano coronal é o plano que divide um corpo ou órgão numa parte anterior (frontal) e posterior (dorsal);
  • Plano transversal é o plano que divide horizontalmente um corpo ou um órgão nas partes inferior e superior.

Regiões anatómicas

Corpo humano na posição anatómica de referência com as regiões anatómicas a negrito.

Os anatomistas dividem o corpo em regiões anatómicas. Na parte anterior do tronco situa-se o "tórax", na região superior, e o "abdómen" na região inferior. Na parte posterior do tronco, ou costas, situa-se o a "região dorsal", na parte superior, e a "região lombar" na parte inferior. A região das omoplatas é denominada região escapular e a região do esterno é denominada "região esternal". A região entre o peito e a pelve denomina-se "região abdominal". O peito pode é também denominado "região mamária", a axila como "região axilar" e o umbigo como "região umbilical". A pelve entre o abdómen e as coxas corresponde à "região hipogástrica". As virilhas, em que a coxa se une ao tronco, são a "região inguinal". Os glúteos correspondem à região glútea e a púbis à "região púbica".[74]

O braço completo é denominado "região braquial". A parte anterior do cotovelo é denominada "região cubital" e a parte posterior "região olecraniana". O antebraço corresponde à "região antebraquial". O punho e o carpo são denominados "região carpal". A palma da mão é denominada "região palmar". O dedo polegar é denominado "pólex" e os restantes dedos divididos em falanges proximais, médias e distais, nas extremidades. Os anatomistas dividem os membros inferiores em coxa (secção entre a anca e o joelho) e perna (secção entre o joelho e o tornozelo). A coxa e o fémur correspondem à "região femoral". A parte anterior do joelho, a rótula, corresponde à "região rotuliana" e a parte posterior, o poplíteo, à "região poplítea". A generalidade da perna é a "região crural"; a referência apenas à parte lateral denomina-se "região peroneal" e à parte posterior, os gémeos, a "região sural". O tornozelo e o tarso denominam-se "região tarsal" e o calcanhar a "região calcânea". O dedo grande do pé é referido como "hálux".[74]

Termos de movimento

Principais movimentos anatómicos do corpo
  • Flexão e extensão descrevem os movimentos que modificam o ângulo entre duas partes do corpo. Flexão é o movimento de dobra que diminui o ângulo entre um segmento e o seu segmento proximal. Por exemplo, dobrar o cotovelo ou a apertar a mão são movimentos de flexão e quando uma pessoa está sentada, os joelhos estão flectidos. Quando uma articulação pode rodar para a frente e para trás, como no caso do pescoço ou do tronco, a flexão refere-se ao movimento em direção à parte anterior do corpo. A extensão é o oposto de flexão, descrevendo o movimento que aumenta o ângulo entre duas partes do corpo. Por exemplo, uma pessoa de pé tem os joelhos estendidos. Em articulações que podem rodar para a frente e para trás, a extensão refere-se ao movimento em direção à parte posterior do corpo.[76][77]
  • Abdução e adução descrevem os movimentos que afastam ou aproximam uma estrutura do centro do corpo (plano sagital). Abdução é o movimento que afasta a estrutura do plano sagital. Por exemplo, levantar os braços é uma abdução do ombro. No caso dos dedos, refere-se ao afastamento em relação às palmas das mãos ou dos pés. Adução é o movimento que puxa uma estrutura em direção ao plano sagital ou em direção à linha mediana de um membro. Por exemplo, juntar os joelhos ou fechar os dedos da mão.[78][79]
  • Elevação e depressão referem-se aos movimentos para cima e para baixo do plano horizontal. Por exemplo, encolher os ombros é uma elevação da omoplata.[80][81]
  • Rotação medial (ou interna) e rotação lateral (ou externa) referem-se, respetivamente, à rotação que aproxima ou afasta a estrutura do centro do corpo.[82]
  • Retroversão e anteroversão referem-se ao movimento do sangue ou de outros fluidos numa direção normal (anteroversão) ou anormal (retroversão).[83]
  • Dorsiflexão e flexão plantar descrevem a extensão ou flexão do pé a partir do tornozelo. Dorsiflexão é o movimento em que os dedos do pé se aproximam da tíbia, diminuindo o ângulo entre o dorso do pé e o dorso (frente) da perna. Por exemplo, ao caminhar apenas com os calcanhares apoiados, o tornozelo está em dorsiflexão. A flexão plantar é o movimento que diminui o ângulo entre a planta do pé e as costas da perna. Por exemplo, o movimento de carregar num pedal automóvel.[84] No caso da mão, usa-se os termos dorsiflexão e flexão palmar.[85]
  • Eversão e inversão descrevem os movimentos que inclinam a planta do pé para fora (eversão) ou para dentro (inversão) em relação ao plano sagital, como no caso de uma torção do tornozelo. [86]
  • Pronação e supinação descrevem a rotação do antebraço ou do pé de forma a que na posição anatómica de referência a palma da mão ou planta do pé fique voltada para a parte anterior (supinação) o posterior (pronação).[87]

História

Ilustração publicada em ''Acta eruditorum'', 1691

Antiguidade e Idade Média

O Papiro de Edwin Smith, um manual de medicina do Antigo Egito datado de 1600 a.C., descrevia o fígado, o baço, os rins, o hipotálamo, a bexiga, o coração e os vasos sanguíneos que dele divergem. O Papiro Ebers, datado de 1550 a.C., contém um "tratado do coração", demonstrando os vasos que transportam todos os fluidos corporais para ou a partir de todos os membros do corpo.[88] O Corpus Hippocraticum, um compêndio de textos de medicina da Antiga Grécia de autores anónimos, descrevia a anatomia dos músculos e do esqueleto.[89] Aristóteles descreveu a anatomia dos vertebrados com base em dissecações de animais. Praxágoras identificou a diferença entre artérias e veias. No século III a.C., Herófilo e Erasístrato foram autores de descrições anatómicas mais precisas, obtidas através da vivissecção de criminosos em Alexandria durante a Dinastia Ptolemaica.[90][91]

No século II d.C., o médico, cirurgião e filósofo romano Cláudio Galeno, escreveu o mais influente tratado de anatomia da antiguidade e dos séculos seguintes.[92] Influente também na Idade de Ouro Islâmica, seria redescoberto durante o Renascimento a partir de traduções do grego feitas durante o século XV.[93] Entre 1275 e 1326, os anatomistas bolonheses Mondino de Luzzi, Alessandro Achillini e Antonio Benivieni realizaram as primeiras dissecações humanas sistemáticas desde a Antiguidade.[94][95][96] A obra de Mondino Anatomia, publicada em 1316, foi o primeiro manual publicado durante a redescoberta medieval da anatomia humana. Descreve o corpo conforme a ordem seguida por Mondino durante as dissecações, começando pelo abdómen, depois o tórax, a cabeça e por fim os membros. A publicação tornou-se o manual de anatomia padrão ao longo do século seguinte.[93]

Idade Moderna

Andreas Vesalius, professor de anatomia na Universidade de Pádua, é considerado o fundador da anatomia moderna.[97] Proveniente do Ducado de Brabante, Vesalius foi o autor do influente livro De humani corporis fabrica ("A Estrutura do Corpo Humano"), um livro de grande formato publicado em sete volumes em 1543. Pensa-se que as ilustrações, muito precisas e detalhadas e muitas vezes em poses alegóricas com fundos de paisagens italianas, tenham sido da autoria do artista Jan van Calcar, discípulo de Ticiano.[93][98]

Raio X (em cima), ressonância magnética (a meio), e tomografia computorizada tridimensional (em baixo) do abdómen.

O artista italiano Leonardo da Vinci foi aprendiz de anatomia de Andrea del Verrocchio, conhecimento que se manifestou ao longo da sua obra em inúmeros desenhos de estruturas ósseas, músculos e órgãos de seres humanos e outros animais que dissecava.[93][99] Em Inglaterra a anatomia foi o tópico das primeiras conferências públicas sobre ciência, organizadas no século XVI pela Companhia de Barbeiros-Cirurgiões e pelo Royal College of Physicians.[100]

No século XVIII começaram a ser fundadas as primeiras escolas de medicina contemporânea. Como as aulas de anatomia necessitavam de um fornecimento constante de cadáveres para dissecação e estes eram difíceis de obter, o tráfico de cadáveres aumentou significativamente, uma atividade criminosa que consistia em dessecar sepulturas para furtar os cadáveres recém-sepultados.[101] A prática obrigou à proteção dos cemitérios e à criação de leis que permitiram a doação de cadáveres para fins científicos.[102][103]

Idade contemporânea

Antes da época dos procedimentos médicos modernos, os principais meios para o estudo da estrutura do corpo eram a palpação e a dissecação. Foi o aparecimento da microscopia que permitiu compreender os constituintes básicos dos tecidos vivos. A introdução das lentes acromáticas aumentou o poder de resolução do microscópio, o que permitiu a Matthias Jakob Schleiden e Theodor Schwann descobrir, em 1839, que as células são a unidade fundamental de organização de todos os organismos vivos. Dado que a investigação microscópica envolve a passagem de luz pelos objetos a ser estudados, a invenção do micrótomo veio permitir a realização de cortes extremamente finos. Foram também desenvolvidas técnicas de coloração com corantes artificiais que vieram permitir distinguir com maior facilidade os vários tipos de células e que, no fim do século XIX , deram origem aos campos da citologia e histologia.[104]

A invenção do microscópio eletrónico em 1931 permitiu aumentar drasticamente o poder de resolução, o que veio permitir observar a ultraestrutura das células e das organelas e outras estruturas no seu interior. Na década de 1950, a introdução da cristalografia de raios X para o estudo das estruturas proteicas, ácidos nucleicos e outras moléculas biológicas deu origem ao novo campo da anatomia molecular.[104] A radiação eletromagnética de onda curta, como os raios X, é capaz de atravessar o corpo e é por isso usada em radiografia clínica para observar estruturas anatómicas com diferentes graus de opacidade. Hoje em dias, as técnicas mais modernas como a imagem por ressonância magnética, tomografia computorizada, fluoroscopia ou ecografia permitem aos investigadores e profissionais de saúde examinar as estruturas anatómicas, vivas ou mortas, com detalhe sem precedentes.[105]

Ver também

  • Anatomia da cabeça e pescoço
  • Anatomia de superfície

Referências

  1. Infopédia, Enciclopédia de Língua Portuguesa da Porto Editora. «Anatomia». Consultado em 13 de abril de 2016
  2. 1 2 Bozman, E. F. (ed.) (1967). Everyman's Encyclopedia: Anatomy. [S.l.]: J. M. Dent & Sons. p. 272. ASIN B0066E44EC
  3. 1 2 3 4 Henry Gray (1918). «Anatomy of the Human Body» 20 ed. Consultado em 19 de março de 2007. Cópia arquivada em 16 de março de 2007
  4. «Anatomy». The Free Dictionary. Farlex. 2007. Consultado em 8 de julho de 2013
  5. O.D.E. 2nd edition 2005
  6. 1 2 Bozman, ed. (1967). Everyman's Encyclopedia: Anatomy. [S.l.]: J. M. Dent & Sons. ASIN B0066E44EC
  7. «Anatomy». The Free Dictionary. Farlex. 2007. Consultado em 8 de julho de 2013. Arquivado do original em 15 de novembro de 2018
  8. 1 2 Gray, Henry (1918). «Introduction». Anatomy of the Human Body. Consultado em 19 de março de 2007. Cópia arquivada em 16 de março de 2007
  9. J. Gordon Betts (2013). «1.1 Overview of Anatomy and Physiology». Anatomy & physiology. Houston, Texas: OpenStax. ISBN 978-1-947172-04-3. Consultado em 14 de maio de 2023
  10. Gribble N, Reynolds K (1993). «Use of Angiography to Outline the Cardiovascular Anatomy of the Sand Crab Portunus pelagicus Linnaeus». Journal of Crustacean Biology. 13 (4): 627–637. JSTOR 1549093. doi:10.1163/193724093x00192
  11. Benson KG, Forrest L (1999). «Characterization of the Renal Portal System of the Common Green Iguana (Iguana iguana) by Digital Subtraction Imaging». Journal of Zoo and Wildlife Medicine. 30 (2): 235–241. PMID 10484138
  12. «Magnetic Resonance Angiography (MRA)». Johns Hopkins Medicine. Consultado em 29 de abril de 2014. Arquivado do original em 7 de outubro de 2017
  13. «Angiography». National Health Service. Consultado em 29 de abril de 2014. Arquivado do original em 7 de setembro de 2017
  14. Dorit, R. L.; Walker, W. F.; Barnes, R. D. (1991). Zoology. [S.l.]: Saunders College Publishing. pp. 547–549. ISBN 978-0-03-030504-7
  15. 1 2 3 4 Ruppert, Edward E.; Fox, Richard, S.; Barnes, Robert D. (2004). Invertebrate Zoology, 7th edition. [S.l.]: Cengage Learning. pp. 59–60. ISBN 81-315-0104-3
  16. «Tecido Conjuntivo – Histologia Interativa». Consultado em 9 de junho de 2023
  17. «Matriz Extracelular 1 – Atlas Interativo de Biologia Celular». Consultado em 9 de junho de 2023
  18. Dorland's (2012). Illustrated Medical Dictionary. [S.l.]: Elsevier Saunders. p. 203, 1002. ISBN 978-1-4160-6257-8
  19. McGrath, J.A.; Eady, R.A.; Pope, F.M. (2004). Rook's Textbook of Dermatology 7ª ed. [S.l.]: Blackwell Publishing. pp. 3.1–3.6. ISBN 978-0-632-06429-8
  20. Bernt, Karen (2010). «Glandular epithelium». Epithelial Cells. Davidson College. Consultado em 25 de junho de 2013
  21. 1 2 Ruppert, Edward E.; Fox, Richard, S.; Barnes, Robert D. (2004). Invertebrate Zoology, 7th edition. [S.l.]: Cengage Learning. p. 103. ISBN 81-315-0104-3
  22. Ruppert, Edward E.; Fox, Richard, S.; Barnes, Robert D. (2004). Invertebrate Zoology, 7th edition. [S.l.]: Cengage Learning. p. 104. ISBN 81-315-0104-3
  23. Johnston, T.B; Whillis, J, eds. (1944). Grey's Anatomy: Descriptive and Applied 28 ed. [S.l.]: Langmans. p. 1038
  24. Ruppert, Edward E.; Fox, Richard, S.; Barnes, Robert D. (2004). Invertebrate Zoology, 7th edition. [S.l.]: Cengage Learning. pp. 105–107. ISBN 81-315-0104-3
  25. Moore, K.; Agur, A.; Dalley, A. F. (2010). «Essesntial Clinical Anatomy». Nervous System 4th ed. Inkling. Consultado em 30 de abril de 2014
  26. «Cordados». Infopédia, Porto Editora. Consultado em 19 de abril de 2016
  27. 1 2 3 4 «Human Body». Enciclopédia Britannica. Consultado em 19 de abril de 2016
  28. Waggoner, Ben. «Vertebrates: More on Morphology». UCMP. Consultado em 13 de julho de 2011
  29. Liem, Karel F.; Warren Franklin Walker (2001). Functional anatomy of the vertebrates: an evolutionary perspective. [S.l.]: Harcourt College Publishers. p. 277. ISBN 978-0-03-022369-3
  30. Romer, Alfred Sherwood (1985). The Vertebrate Body. [S.l.]: Holt Rinehart & Winston. ISBN 978-0-03-058446-6
  31. 1 2 Stebbins, Robert C.; Cohen, Nathan W. (1995). A Natural History of Amphibians. [S.l.]: Princeton University Press. pp. 24–25. ISBN 0-691-03281-5
  32. Dorit, R. L.; Walker, W. F.; Barnes, R. D. (1991). Zoology. [S.l.]: Saunders College Publishing. pp. 843–859. ISBN 978-0-03-030504-7
  33. Stebbins, Robert C.; Cohen, Nathan W. (1995). A Natural History of Amphibians. [S.l.]: Princeton University Press. pp. 26–35. ISBN 0-691-03281-5
  34. 1 2 Dorit, R. L.; Walker, W. F.; Barnes, R. D. (1991). Zoology. [S.l.]: Saunders College Publishing. pp. 881–895. ISBN 978-0-03-030504-7
  35. 1 2 3 Dorit, R. L.; Walker, W. F.; Barnes, R. D. (1991). Zoology. [S.l.]: Saunders College Publishing. pp. 909–914. ISBN 978-0-03-030504-7
  36. 1 2 Dorit, R. L.; Walker, W. F.; Barnes, R. D. (1991). Zoology. [S.l.]: Saunders College Publishing. pp. 816–818. ISBN 978-0-03-030504-7
  37. «The fish heart». ThinkQuest. Oracle. Consultado em 27 de junho de 2013. Arquivado do original em 28 de Abril de 2012
  38. 1 2 Kotpal, R. L. (2010). Modern Text Book of Zoology: Vertebrates. [S.l.]: Rastogi Publications. p. 193. ISBN 978-81-7133-891-7
  39. Dorit, R. L.; Walker, W. F.; Barnes, R. D. (1991). Zoology. [S.l.]: Saunders College Publishing. pp. 861–865. ISBN 978-0-03-030504-7
  40. 1 2 3 Dorit, R. L.; Walker, W. F.; Barnes, R. D. (1991). Zoology. [S.l.]: Saunders College Publishing. pp. 865–868. ISBN 978-0-03-030504-7
  41. Dorit, R. L.; Walker, W. F.; Barnes, R. D. (1991). Zoology. [S.l.]: Saunders College Publishing. p. 870. ISBN 978-0-03-030504-7
  42. Dorit, R. L.; Walker, W. F.; Barnes, R. D. (1991). Zoology. [S.l.]: Saunders College Publishing. p. 874. ISBN 978-0-03-030504-7
  43. 1 2 Ruppert, Edward E.; Fox, Richard S.; Barnes, Robert D. (2004). Invertebrate Zoology, 7th edition. [S.l.]: Cengage Learning. pp. 23–24. ISBN 81-315-0104-3
  44. «Exoskeleton». Encyclopædia Britannica. Consultado em 2 de julho de 2013
  45. Ebling, F. J. G. «Integument». Encyclopædia Britannica. Consultado em 2 de julho de 2013
  46. Barnes, Robert C. (2016). «Arthropod». Enciclopédia Britannica. Consultado em 17 de abril de 2016
  47. «O. Orkin Insect zoo». Mississippi State University. 1997. Consultado em 23 de junho de 2013. Arquivado do original em 2 de Junho de 2009
  48. Gullan, P.J.; Cranston, P. S. (2005). The Insects: An Outline of Entomology 3 ed. Oxford: Blackwell Publishing. pp. 22–48. ISBN 1-4051-1113-5
  49. Ruppert, Edward E.; Fox, Richard, S.; Barnes, Robert D. (2004). Invertebrate Zoology, 7th edition. [S.l.]: Cengage Learning. pp. 218–225. ISBN 81-315-0104-3
  50. Culin, Joseph (2016). «Spider». Enciclopédia Britannica. Consultado em 17 de abril de 2016
  51. 1 2 «Cephalon». Crustacean Glossary, Natural History Museum of Los Angeles County. Consultado em 20 de abril de 2016
  52. 1 2 «Thorax». Crustacean Glossary, Natural History Museum of Los Angeles County. Consultado em 20 de abril de 2016
  53. 1 2 «Abdomen». Crustacean Glossary, Natural History Museum of Los Angeles County. Consultado em 20 de abril de 2016
  54. «Cephalothorax». Crustacean Glossary, Natural History Museum of Los Angeles County. Consultado em 20 de abril de 2016
  55. «Carapace». Crustacean Glossary, Natural History Museum of Los Angeles County. Consultado em 20 de abril de 2016
  56. Hayward, P. J.; Ryland, J. S. (1995). Handbook of the marine fauna of north-west Europe. [S.l.]: Oxford University Press. p. 289. ISBN 978-0-19-854055-7
  57. «Telson». Crustacean Glossary, Natural History Museum of Los Angeles County. Consultado em 20 de abril de 2010
  58. Akira Sakurai. «Closed and Open Circulatory System». Georgia State University. Consultado em 26 de novembro de 2010
  59. Giribet, G.; Lindgren, A.R.; Huff, S.W. (maio de 2006). «Evidence for a clade composed of molluscs with serially repeated structures: monoplacophorans are related to chitons». Proceedings of the National Academy of Sciences of the United States of America. 103 (20): 7723–7728. Bibcode:2006PNAS..103.7723G. PMC 1472512Acessível livremente. PMID 16675549. doi:10.1073/pnas.0602578103
  60. 1 2 3 4 5 6 7 8 9 Ruppert, Edward E.; Fox, Richard S.; Barnes, Robert D. (2004). Invertebrate Zoology 7 ed. [S.l.]: Brooks / Cole. pp. 284–291, 298–300. ISBN 0-03-025982-7
  61. Healy, J.M. (2001). «The Mollusca». In: Anderson, D.T. Invertebrate Zoology 2 ed. [S.l.]: Oxford University Press. pp. 120–171. ISBN 0-19-551368-1
  62. 1 2 3 Hayward, PJ (1996). Handbook of the Marine Fauna of North-West Europe. [S.l.]: Oxford University Press. pp. 484–628. ISBN 0-19-854055-8
  63. Porter, S. (2007). «Seawater Chemistry and Early Carbonate Biomineralization». Science. 316 (5829): 1302. Bibcode:2007Sci...316.1302P. PMID 17540895. doi:10.1126/science.1137284
  64. 1 2 Wilbur, Karl M.; Trueman, E.R., eds. (1985). The Mollusca. 11. Nova Iorque: Academic Press. p. 4. ISBN 0-12-728702-7
  65. Shigeno, S; Sasaki, T; Moritaki, T; Kasugai, T; Vecchione, M; Agata, K (2008). «Evolution of the cephalopod head complex by assembly of multiple molluscan body parts: Evidence from Nautilus embryonic development». Journal of Morphology. 269 (1): 1–17. PMID 17654542. doi:10.1002/jmor.10564
  66. Arráez-Aybar, Luis-Alfonso; et al. (2010). «Relevance of human anatomy in daily clinical practice». Annals of Anatomy-Anatomischer Anzeiger. 192 (6): 341–348
  67. «American Association of Anatomists». Consultado em 27 de junho de 2013
  68. «Publisher's page for Gray's Anatomy. 39th edition (UK). 2004. ISBN 0-443-07168-3». Consultado em 19 de março de 2007. Cópia arquivada em 12 de outubro de 2007
  69. «Publisher's page for Gray's Anatomy. 39th edition (US). 2004. ISBN 0-443-07168-3». Consultado em 19 de março de 2007. Cópia arquivada em 9 de fevereiro de 2007
  70. Gribble N, Reynolds K (1993). «Use of Angiography to Outline the Cardiovascular Anatomy of the Sand Crab Portunus pelagicus Linnaeus». Journal of Crustacean Biology. 13 (4): 627–637. JSTOR 1549093. doi:10.1163/193724093x00192
  71. Benson KG, Forrest L (1999). «Characterization of the Renal Portal System of the Common Green Iguana (Iguana iguana) by Digital Subtraction Imaging». Journal of Zoo and Wildlife Medicine. 30 (2): 235–241
  72. «Magnetic Resonance Angiography (MRA)». Johns Hopkins Medicine
  73. «Angiography». National Health Service. Consultado em 29 de abril de 2014
  74. 1 2 3 4 5 «Anatomical Terminology». OpenStax. Consultado em 22 de abril de 2016
  75. 1 2 Drake, Richard L.; Vogl, Wayne; Tibbitts, Adam W.M. Mitchell; illustrations by Richard; Richardson, Paul (2005). Gray's anatomy for students Pbk. ed. Philadelphia: Elsevier/Churchill Livingstone. ISBN 978-0-443-06612-2
  76. OED 1989, "extension".
  77. Cook 2012, pp. 180-193.
  78. Swartz 2010, pp. 590–591.
  79. Kendall 2005, p. 57.
  80. OED 1989, "elevation".
  81. Kendall 2005, p. 303.
  82. Swartz 2010, pp. 590-1.
  83. OED 1989, "anterograde", "retrograde".
  84. Kyung 2005, p. 123.
  85. Swartz 2010, pp. 591-593.
  86. Swartz 2010, p. 591.
  87. Swartz 2010, pp. 591–592.
  88. Porter, R. (1997). The Greatest Benefit to Mankind: A Medical History of Humanity from Antiquity to the Present. [S.l.]: Harper Collins. pp. 49–50. ISBN 0-00-215173-1
  89. Gillispie, Charles Coulston (1972). Dictionary of Scientific Biography. VI. New York: Charles Scribner's Sons. pp. 419–427
  90. Lang, Philippa (2013). Medicine and Society in Ptolemaic Egypt. [S.l.]: Brill NV. p. 256
  91. "Alexandrian Medicine". Antiqua Medicina - from Homer to Vesalius. University of Virginia.
  92. Galen (Abril de 1977). «Galen on the Affected Parts». Medical History. 21 (2). 212 páginas. PMC 1081972Acessível livremente
  93. 1 2 3 4 Boas, Marie (1970). The Scientific Renaissance 1450–1630. [S.l.]: Fontana. pp. 120–143
  94. Zimmerman, Leo M.; Veith, Ilza (1 de agosto de 1993). Great Ideas in the History of Surgery. [S.l.]: Norman. ISBN 978-0-930-40553-3
  95. Crombie, Alistair Cameron (1959). The History of Science From Augustine to Galileo. [S.l.]: Courier Dover Publications. ISBN 9780486288505
  96. Thorndike, Lynn (1958). A History of Magic and Experimental Science: Fourteenth and fifteenth centuries. [S.l.]: Columbia University Press. ISBN 9780231087971
  97. «Warwick honorary professor explores new material from founder of modern human anatomy». Press release. University of Warwick. Consultado em 8 de julho de 2013
  98. O'Malley, C.D. Andreas Vesalius of Brussels, 1514–1564. Berkeley: University of California Press, 1964.
  99. Mason, Stephen F. (1962). A History of the Sciences. New York: Collier. p. 550
  100. Boas, Marie (1970). The Scientific Renaissance 1450–1630. [S.l.]: Fontana. p. 229
  101. Sappol, Michael (2002). A traffic of dead bodies: anatomy and embodied social identity in nineteenth-century America. Princeton, N.J: Princeton University Press. ISBN 0-691-05925-X
  102. Richardson, Ruth (1989). Death, Dissection, and the Destitute. [S.l.]: Penguin. ISBN 978-0-14022-862-5
  103. Johnson, D.R. «Introductory Anatomy». University of Leeds. Consultado em 25 de junho de 2013
  104. 1 2 «Microscopic anatomy». Encyclopædia Britannica. Consultado em 14 de outubro de 2013
  105. «Anatomical Imaging». McGraw Hill Higher Education. 1998. Consultado em 25 de junho de 2013

Ligações externas