Gastrite
| Gastrite | |
|---|---|
![]() | |
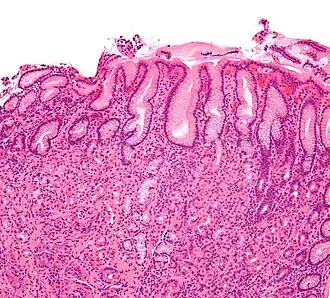
| Micrografia de gastrite. Coloração H&E. | |
| Especialidade | Gastroenterologia |
| Sintomas | Dor na parte superior do abdómen, náuseas, vómitos, distensão abdominal, perda de apetite, azia[1][2] |
| Complicações | Hemorragias, úlceras no estômago, tumores no estômago, anemia perniciosa[1][3] |
| Duração | Aguda ou crónica[1] |
| Causas | Helicobacter pylori, AINEs, álcool, fumar, cocaína, doença grave, doenças autoimunes[1] |
| Método de diagnóstico | Endoscopia, radiografia com contraste, análises ao sangue, análises às fezes[1] |
| Condições semelhantes | Enfarte do miocárdio, inflamação do pâncreas, cólica biliar, úlcera péptica[2] |
| Tratamento | Antiácidos, antagonistas do recetor H2, inibidores da bomba de protões, antibióticos[1] |
| Frequência | ~50% das pessoas em algum momento da vida[4] |
| Mortes | 50 000 (2015)[5] |
| Classificação e recursos externos | |
| CID-11 | DA42 |
| CID-10 | K29.0-K29.7 |
| CID-9 | 535.0-535.5 |
| DiseasesDB | 34500 |
| MedlinePlus | 001150 |
| eMedicine | emerg/820 med/852 |
| MeSH | D005756 |
Gastrite é a inflamação do revestimento do estômago. A doença pode ser aguda ou crónica. O sintoma mais comum é dor na parte superior do abdómen.[1] Os outros sintomas incluem náuseas, vómitos, sensação de dilatação abdominal, perda de apetite e azia.[1][2] Muitas pessoas não manifestam sintomas. Entre as complicações comuns estão hemorragias, úlceras e tumores no estômago.[1] Quando a doença tem origem autoimune, a falta de vitamina B12 pode diminuir a quantidade de glóbulos vermelhos, uma condição denominada anemia perniciosa.[3]
Entre as causas comuns de gastrite estão a infeção pela bactéria Helicobacter pylori e o consumo de anti-inflamatórios não esteroides. Entre as causas menos comuns estão, entre outras, o consumo excessivo de álcool, de tabaco, de cocaína, doenças graves, doenças autoimunes, radioterapia e doença de Crohn.[1][6] O diagnóstico pode ser assistido por endoscopia, radiografia e análises ao sangue e às fezes.[1] Os sintomas de gastrite podem ser confundidos com um enfarte do miocárdio. Entre outras doenças com sintomas semelhantes estão a inflamação do pâncreas, cólica biliar e úlcera péptica.[2]
A prevenção consiste em evitar as causas da doença.[4] O tratamento consiste em medicamentos como antiácidos, antagonistas do recetor H2 ou inibidores da bomba de protões.[1] Durante um ataque agudo pode ser administrada lidocaína.[7] Quando a gastrite é causada por anti-inflamatórios não esteroides, o seu consumo pode ser interrompido. A gastrite causada pela bactéria H. pylori pode ser tratada com uma combinação de antibióticos como a amoxicilina e a claritromicina.[1] Para pessoas com anemia perniciosa são recomendados suplementos de vitamina B12, orais ou injetáveis.[3] Os doentes são geralmente aconselhados a evitar alimentos que causem desconforto.[8]
Estima-se que metade da população mundial seja afetada por gastrite em determinado momento da vida.[4] Em 2013 foram registados aproximadamente 90 milhões de novos casos da doença.[9] A doença torna-se mais comum conforme a idade avança.[4] A gastrite, a par de uma condição semelhante denominada duodenite, foram responsáveis por 50 000 mortes em 2015.[5] A bactéria H. pylori foi descoberta por Barry Marshall e Robin Warren em 1981.[10]
Classificação
Gastrite aguda
Gastrites agudas permitem uma abordagem mais simplificada, por serem de aparecimento súbito, evolução rápida e facilmente associadas a um agente:
- Medicamentos, infecções e estresse físico ou psíquico podem levar a uma gastrite aguda.
- Ácido acetil-salicílico (aspirina, AAS), anti-inflamatórios não esteroides, corticóides, bebidas alcoólicas e a ingestão acidental ou proposital de certas substâncias corrosivas são exemplos de agentes agressores.
- Alimentos contaminados por germes, como bactérias, vírus, ou por suas toxinas são causa frequente de inflamação aguda do estômago, como parte de uma infecção, genericamente conhecida como gastroenterite aguda.
Situação bastante conhecida é a hemorragia digestiva superior aguda, com vômitos e evacuações com sangue. Deve-se lembrar que o vômito apresenta como característica a cor vermelho "vivo", ou a presença de coágulos, o que se denomina hematêmese. Em relação à evacuação, como este sangue é digerido por bactérias no decorrer do trânsito intestinal, este se apresenta de cor enegrecida e com odor forte, chamado de melena. No entanto, nos casos em que ocorre um sangramento muito intenso, não há tempo para que ocorra a digestão deste sangue, e desta forma a evacuação também se caracteriza pela eliminação de sangue vermelho "vivo".
A hemorragia digestiva pode ocorrer como complicação de situações graves como o estresse pela longa permanência dos doentes em UTI (Unidade de Tratamento Intensivo), em períodos pós-operatórios, em pacientes com queimaduras em extensas áreas do corpo, em politraumatizados ou em pacientes com infecção generalizada (chamada de septicemia).
Gastrite crônica
Em relação à gastrite crônica, também, existe muita confusão, principalmente no que se refere aos sintomas e à relação com os agentes causadores.
Sabe-se que a bactéria H. pylori pode determinar uma gastrite crônica. Esta bactéria vive muito bem em ambientes ácidos, como é o caso do estômago. No entanto, o Helicobacter pylori leva à destruição da barreira protetora que reveste a mucosa do estômago, permitindo que o ácido gástrico agrida a própria mucosa gástrica, o que leva à inflamação da mesma, caracterizando a gastrite.
Como a infecção pela bactérica é crônica, a inflamação também segue este padrão. Na gastrite crônica atrófica, situação em que diminuem muito as células da mucosa do estômago, existe considerável redução na produção do ácido gástrico, que é importante para a "esterilização" do que ingerimos e para a digestão dos alimentos. A gastrite atrófica deve ser vista com atenção pelo médico e paciente, já que a evolução desta forma de gastrite para a atrofia gástrica, está relacionada com o aumento da incidência de câncer de estômago.
Por vezes, a bile que o fígado descarrega na porção inicial do intestino delgado (chamado de duodeno), reflui para o estômago, causando inflamação crônica.
Estes fatores, atuando isoladamente ou em conjunto, podem determinar gastrite crônica.
Gastrite crônica atrófica
Ocorre quando os anticorpos atacam o revestimento mucoso do estômago, provocando o seu adelgaçamento e perda de muitas ou de todas as células produtoras de ácido e de enzimas. Esta perturbação afeta normalmente as pessoas mais velhas. Também tem tendência para ocorrer nas pessoas a quem foi extirpado parte do estômago (procedimento cirúrgico chamado gastrectomia parcial). A gastrite atrófica pode provocar anemia perniciosa porque interfere com a absorção da vitamina B12 presente nos alimentos.
Sinais e sintomas
A maioria dos casos crônicos não apresenta sintomas.
Já na gastrite aguda, quando existem queixas, são muito variadas:
- Hemorragia
- Dor e queimação no abdômen
- Azia
- Perda do apetite
- Náuseas e vômitos
- Distensão epigástrica (região do estômago)
- Sensação de saciedade alimentar precoce, mesmo com a ingestão de pequenas porções de alimentos.
- Sangramento digestivo, nos casos complicados, demonstrado pela evacuação de fezes pretas (melena) e/ou vômitos com sangue (hematêmese).
Por deficiência de absorção de Vitamina B12 e ácido fólico, pode ocorrer anemia manifestada por:
- Fraqueza
- Ardência da língua (glossite)
- Irritação dos cantos dos lábios (comissurite)
- Diarreia
- Mais raramente, alterações neurológicas envolvendo memória, orientação e coerência, quadro clínico relacionado à gastrite atrófica.
Diagnóstico
Exames necessários:
- Na gastrite aguda, baseando-se na história clínica, sendo em geral desnecessário exames.
- Na suspeita de complicações, como a hemorragia, a endoscopia digestiva alta é o exame indicado. A endoscopia é um exame que permite ao médico ver diretamente a mucosa, mostrando alterações sugestivas de algum tipo de gastrite.
Entretanto, 40% dos casos de gastrite crônica nada mostram. Por isso, considera-se que o diagnóstico das gastrites crônicas é, fundamentalmente, histológico, ou seja, pelo exame microscópico de fragmentos da mucosa colhidos por pinça de biópsia que passa através do próprio endoscópio.
Prevenção
Evitar o uso de medicações irritativas como os anti-inflamatórios e a aspirina, evitar medicamentos sem ordem medica e não ir diretamente na farmácia, pois eles dão remédios apenas para alivio da dor, informando curar seu estômago.
Evitar o abuso de bebidas alcoólicas e do fumo.
Existem controvérsias quanto ao hábito da ingestão de café e chá preto influir nas gastrites, por isso o seu consumo deverá depender da tolerância individual.
A melhoria das condições sanitárias, do tratamento da água de consumo doméstico, da higiene pessoal (lavar as mãos antes de tocar alimentos), dos cuidados no preparo e na conservação dos alimentos, faz decrescer significativamente as vítimas das toxinfecções alimentares (gastroenterites).
Tratamento
O tratamento está relacionado ao agente causador. Nos casos de gastrite aguda associada ao uso de medicações anti-inflamatórias, sua suspensão e/ou substituição, associada ao uso de medicamentos que neutralizem, que inibam ou bloqueiem a secreção ácida do estômago, é o tratamento básico.
A endoscopia, mais utilizada nos casos de gastrite aguda acompanhada de sangramento, além de poder fazer o diagnóstico, pode interromper a hemorragia aplicando variados tratamentos locais. Não há consenso sobre a vantagem de tratar a bactéria Helicobacter pylori quando há gastrite sem úlcera, pois não tem sido observada uma melhora significativa dos sintomas digestivos. Nos casos em que há a indicação do tratamento para a erradicação da bactéria, este consiste na administração de antibióticos e de bloqueadores da produção de ácido gástrico. O tratamento da gastrite consiste na eliminação das suas causas e no uso de medicamentos sob orientação médica. Alguns exemplos de remédios para gastrite são Omeprazol, Ranitidina e Cimetidina, mas a alimentação adequada é muito importante para o sucesso do tratamento.
A gastrite ou inflamação da mucosa do estômago além de se relacionar com o consumo de álcool, também pode ser gerada por infecções e pela ação de remédios anti-inflamatórios não esteroides (como a aspirina).
“Nestes casos ingerir morangos durante ou depois da patologia poderia aliviar a lesão na mucosa gástrica”, sugeriu Maurizio Battino, coordenador do grupo de pesquisa da Universidade Politécnica da Marche, na Itália.
Ver também
Referências
- 1 2 3 4 5 6 7 8 9 10 11 12 13 «Gastritis». The National Institute of Diabetes and Digestive and Kidney Diseases (NIDDK). 27 de novembro de 2013. Consultado em 1 de março de 2015
- 1 2 3 4 Rosen & Barkin's 5-Minute Emergency Medicine Consult 4 ed. [S.l.]: Lippincott Williams & Wilkins. 2012. p. 447. ISBN 9781451160970
- 1 2 3 Varbanova, M.; Frauenschläger, K.; Malfertheiner, P. (dezembro de 2014). «Chronic gastritis - an update.». Best Pract Res Clin Gastroenterol. 28 (6): 1031–42. PMID 25439069. doi:10.1016/j.bpg.2014.10.005
- 1 2 3 4 Fred F. Ferri (2012). Ferri's Clinical Advisor 2013,5 Books in 1, Expert Consult - Online and Print,1: Ferri's Clinical Advisor 2013. [S.l.]: Elsevier Health Sciences. p. 417. ISBN 9780323083737
- 1 2 GBD 2015 Mortality and Causes of Death, Collaborators. (8 de outubro de 2016). «Global, regional, and national life expectancy, all-cause mortality, and cause-specific mortality for 249 causes of death, 1980-2015: a systematic analysis for the Global Burden of Disease Study 2015.». Lancet. 388 (10053): 1459–1544. PMC 5388903
. PMID 27733281. doi:10.1016/s0140-6736(16)31012-1 - ↑ Stephen Hauser (2014). Mayo Clinic Gastroenterology and Hepatology Board Review. [S.l.]: Oxford University Press. 49 páginas. ISBN 9780199373338
- ↑ James G. Adams (2012). «32». Emergency Medicine: Clinical Essentials. [S.l.]: Elsevier Health Sciences. ISBN 9781455733941
- ↑ Holdsworth, [edited by] Joan Gandy, Angela Madden, Michelle (2012). Oxford handbook of nutrition and dietetics 2nd ed. Oxford: Oxford University Press, USA. p. 571. ISBN 9780199585823
- ↑ Global Burden of Disease Study 2013, Collaborators (22 de agosto de 2015). «Global, regional, and national incidence, prevalence, and years lived with disability for 301 acute and chronic diseases and injuries in 188 countries, 1990-2013: a systematic analysis for the Global Burden of Disease Study 2013.». Lancet (London, England). 386 (9995): 743–800. PMID 26063472. doi:10.1016/s0140-6736(15)60692-4
- ↑ Wang, AY; Peura, DA (outubro de 2011). «The prevalence and incidence of Helicobacter pylori-associated peptic ulcer disease and upper gastrointestinal bleeding throughout the world.». Gastrointestinal endoscopy clinics of North America. 21 (4): 613–35. PMID 21944414. doi:10.1016/j.giec.2011.07.011
