Acalasia
| Acalasia da cárdia | |
|---|---|
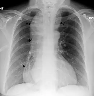
![]() | |
| Raio X de um esôfago amplamente dilatado. | |
| Especialidade | gastrenterologia, cirurgia geral, cirurgia torácica |
| Classificação e recursos externos | |
| CID-11 | DA21.0 |
| CID-10 | K22.0 |
| CID-9 | 530.0 |
| OMIM | 200400 |
| DiseasesDB | 72 |
| MedlinePlus | 000267 |
| eMedicine | radio/6 med/16 |
| MeSH | D004931 |
Acalasia da cárdia ou acalasia esofágica (do grego a- + -chalasia, não relaxa) é uma alteração neuromuscular hipertônica do mecanismo receptivo do esfíncter do esôfago inferior (cárdia). A incapacidade da musculatura esofágica de relaxar para permitir a passagem de alimento do esôfago para o estômago causa dificuldade de engolir (disfagia), dor no peito (retroesternal) e refluxo gastroesofágico. O termo acalasia, a rigor, designa toda alteração hipertônica de qualquer músculo circular (esfíncter) ou mecanismo muscular circular, como o piloro e o esfíncter anal, por exemplo, sendo entretanto uso comum seu emprego referindo-se especificamente ao distúrbio motor hipertônico da cárdia.
A acalasia é a mais clássica das disfunções motoras do esôfago, sendo descrita pela primeira vez em 1674 por Thomas Willis.
Causas
O mecanismo da doença consiste na destruição dos plexos mioentéricos da parede esofágica, com perda progressiva dos movimentos peristálticos e da capacidade de relaxamento do esfíncter esofágico inferior, a cárdia. Pode ser de origem desconhecida ou ser causada por complicação crônica, a chamada acalasia secundária, como na Doença de Chagas e na Neuropatia Autonômica Diabética.[1]
Com a perda do tônus da sua parede muscular e a dificuldade da passagem dos alimentos através da cárdia ocorre progressiva dilatação e alongamento do corpo esofágico, podendo formar uma grande câmara retroesternal contendo grandes volumes de alimento e saliva.
Sinais e sintomas
Normalmente, a disfagia é de longa evolução, de anos, ao contrário daquela associada ao câncer esofágico, que tem semanas ou, no máximo, alguns meses de evolução. O paciente encontra-se geralmente emagrecido e com uma longa história de vômitos, regurgitação e salivação.
Os principais sintomas são[2]:
- Disfagia
- Regurgitação
- Dor torácica
- Azia e pirose
- Perda de peso
Diagnóstico
O diagnóstico nas fases iniciais pode ser difícil, já que a dilatação esofágica (mega esôfago) pode ainda não estar presente. Nesses casos os exames de rotina como endoscopia digestiva alta e o RX contrastado do tubo digestivo alto podem ser normais. Com a evolução da doença, o esôfago acaba por se dilatar e aí a endoscopia pode detectar a presença dessa dilatação e de resíduos alimentares retidos no esôfago. Já o RX contrastado de esôfago mostra a dilatação esofágica e nos casos mais avançados o alongamento e tortuosidade do corpo esofágico. Nas fases iniciais quando ainda não se identificam alterações anatômicas significativas, a esofagomanometria é o exame de escolha para o diagnóstico.
Os principais achados da manometria esofágica são:
- ausência de ondas peristálticas no corpo esofágico, que pode estar atônico ou mostrar apenas ondas simultâneas, não peristálticas,de amplitude variável;
- relaxamento apenas parcial e incompleto da cárdia, frequentemente associado a hipertensão esfincteriana, com valores acima de 45 mmHg. A pressão do esfíncter pode, no entanto, estar normal.
- a pressão intra-esofagiana, normalmente menor que a pressão intra-gástrica, pode estar aumentada pela presença de resíduos alimentares no seu interior.
Diagnóstico diferencial
Devido a similaridade, a acalasia pode ser confundida com outras patologias que atingem o esôfago, como a doença do refluxo gastroenterologia, e, menos comumente, o câncer esofágico, que têm mecanismos próprios.
Tratamento
As opções para tratamento incluem mudanças no estilo de vida, medicamentos, cirurgia, entre outros. Os tratamentos disponíveis mais comumente empregados são a dilatação esofágica com balão, bloqueio neuromuscular do cárdia com injeção intra-muscular de toxina botulínica realizada através de endoscopia digestiva alta e miotomia de Heller, este último sendo é o tratamento mais eficaz.[3]
Hábitos de vida
Tanto antes quanto depois do tratamento, os pacientes com acalasia devem comer devagar, mastigar muito bem, beber muita água com as refeições e evitar deitar uma hora depois de comer. Levantar a cabeça da cama promove a passagem da comida pelo esôfago com ajuda da gravidade. Após a cirurgia ou a dilatação pneumática, os inibidores da bomba de prótons são necessários para evitar danos pela inibição da secreção de ácido gástrico. Alimentos que podem agravar o refluxo como comidas gordurosas, ketchup, cítricos, chocolate, álcool e cafeína devem ser evitados.[4]
Cirurgia
A miotomia de Heller melhora cerca de 90% dos pacientes com acalasia. Geralmente, pode ser realizada com uma incisão tipo "fechadura de porta" ou por via laparoscópica. A miotomia é um corte longitudinal da musculatura ao longo do esôfago, começando de cima do esfincter superior do esófago e estendendo-se até estômago. Essa miotomia corta apenas através das camadas musculares externas que não estão relaxando, deixando intacta a camada interna do músculo que funciona bem. Uma Fundoplicação de Nissen (enrolar todo o fundo gástrico ao redor do esôfago) ou uma Fundoplicação de Dor (enrolar 180 a 200 graus do fundo gástrico ao redor do esôfago), geralmente também é feita para evitar o refluxo excessivo, que pode causar sérios danos ao esôfago ao longo do tempo. Após a cirurgia, os pacientes devem manter uma dieta suave durante várias semanas, evitando alimentos que podem agravar o refluxo. Em um estudo, a Fundoplicação de Dor teve melhores resultados a largo prazo.[5]
Referências
- ↑ Park W, Vaezi M (2005). "Etiology and pathogenesis of achalasia: the current understanding". American Journal of Gastroenterology. 100 (6): 1404–1414. PMID 15929777. doi:10.1111/j.1572-0241.2005.41775.x.
- ↑ Dughera, L; Cassolino, P; Cisarò, F; Chiaverina, M (September 2008). "Achalasia.". Minerva gastroenterologica e dietologica. 54 (3): 277–285. PMID 18614976.
- ↑ Boeckxstaens, GE; Annese, V; Bruley des Varannes, S; Chaussade, S; Costantini, M; Cuttitta, A; Elizalde, JI; Fumagalli U; Gaudric, M; Rohof, WO; Smout, AJ; Tack, J; Zwinderman, AH; Zaninotto, G; Busch, OR (12 May 2011). "Pneumatic Dilation versus Laparoscopic Heller Myotomy for Idiopathic Achalasia". New England Journal of Medicine. 364: 1807–1816. doi:10.1056/nejmoa1010502.
- ↑ Kahrilas PJ, Shaheen NJ, Vaezi MF, Hiltz SW, Black E, Modlin IM, Johnson SP, Allen J, Brill JV (October 2008). "American Gastroenterological Association Medical Position Statement on the management of gastroesophageal reflux disease". Gastroenterology. 135 (4): 1383–1391, 1391.e1–5. PMID 18789939. doi:10.1053/j.gastro.2008.08.045.
- ↑ Rebecchi F, Giaccone C, Farinella E, Campaci R, Morino M (December 2008). "Randomized controlled trial of laparoscopic Heller myotomy plus Dor fundoplication versus Nissen fundoplication for achalasia: long-term results". Annals of Surgery. 248 (6): 1023–1030. PMID 19092347. doi:10.1097/SLA.0b013e318190a776.
