Cisto radicular
O cisto radicular (ou cisto periapical) é o cisto mais comum dos ossos gnáticos, representando cerca de 60% de todos os cistos odontogênicos.[1] Eles são considerados cistos inflamatórios.[1]
Sinais e sintomas
O cisto periapial pode ser assintomático e descoberto através de radiografias incidentais.[2] Pode estar associado a uma história recente de dor de dente, e apresentar dor ou secreção purulenta se for infectado secundariamente.[2] Em alguns casos, há a formação de uma fístula (parúlide) associada.[2]
Cistos maiores podem apresentar dor, tumefação, linfadenopatia, ou crepitação do palato duro.[3] Por serem associados a um dente não vital, que sofreu necrose pulpar, o teste de vitalidade pulpar do dente é negativo.[4]
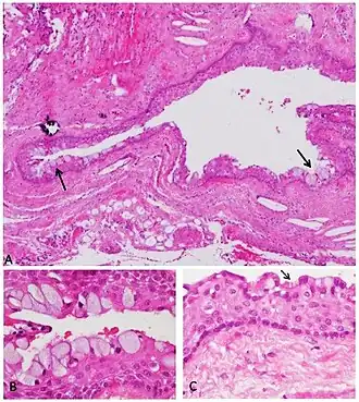
Aspectos radiográficos e histológicos

Radiograficamente, o cisto radicular se apresenta como uma lesão radiolúcida unilocular bem delimitada associada ao periápice de um dente.[1][5] Pode reabsorver a raiz do dente associado.[2] Quando ele se apresenta sem um dente associado (que foi previamente extraído), é chamado de cisto residual.[1][5] As bordas podem se apresentar bem delimitadas por um halo radiopaco, e o cisto radicular pode adquirir um tamanho exuberante, maior que 1,6 cm.[5] Radiograficamente, distinguir o cisto radicular do granuloma periapical é virtualmente impossível.[5]
Histologicamente, o cisto radicular é uma cavidade revestida por epitélio escamoso estratificado.[5][2] Em alguns casos, pode haver presença de epitélio pseudoestratificado ciliado quando há origem no seio maxilar.[2] Ao redor do cisto, há a presença de uma cápsula fibrosa com presença de células inflamatórias.[2]
Pode apresentar também:[2]
- Corpos hialinos de Rushton: são corpúsculos lineares ou em formato de lua crescente, amórficos e eosinofílicos presentes em ~10% dos cistos periapicais no epitélio;
- Células ciliadas metaplásicas;
- Cristais de colesterol.
Causas
O cisto radicular surge de uma inflamação no periápice secundária a uma infecção odontogênica que levou à necrose pulpar.[1] Após uma infecção odontogênica, como uma lesão de cárie que atinge a polpa, ocorre a necrose pulpar e a infecção se espalha através do sistema de canais radiculares até o periápice: ali, a infecção pode permanecer restrita ao ligamento periodontal (periodontite apical), ou evoluir para um granuloma periapical, invadindo o tecido ósseo e causando uma rarefação visível na radiografia.[3][5] O cisto periapical é uma sequência direta do granuloma periapical: através do estímulo inflamatório das toxinas bacterianas e inflamação, os restos epiteliais de Malassez se proliferam e formam um cisto.[3][5]
Há algumas teorias sobre o mecanismo de crescimento dos cistos:[3][5]
- Teoria biomecânica: a diferença de pressão e de concentração proteica entre o lúmen cístico e a periferia puxam por osmose líquido para dentro do cisto, aumentando seu tamanho;
- Teoria bioquímica: a resposta imune gera degradação do tecido através de citocinas e fatores de crescimento, causando reabsorção óssea e dando espaço para o cisto crescer, além de o próprio cisto produzir substâncias como prostaglandina-2 (PG2) e interleucina-1 (IL-1) que estimulam a manutenção de um estado pró-inflamatório que favorece seu crescimento;
- Teoria nutricional: as células mais internas do epitélio morrem por estarem distantes dos capilares para receberem nutrição, formando um agregado necrótico que favorece a pressão osmótica;
- Teoria do abscesso: a formação de um abscesso favorece o surgimento de um cisto, já que a tendência das células epiteliais é de se proliferarem para cobrir qualquer tecido conjuntivo que já não seja recoberto de epitélio, dando origem ao epitélio cístico.
Epidemiologia
É o cisto odontogênico mais comum, afetando mais homens do que mulheres, e principalmente pessoas na quarta e quinta década de vida.[1] Afeta principalmente a maxila anterior.[1]
Diagnóstico
O diagnóstico é clínico, radiológico e histológico.[3] Radiograficamente, pode se assemelhar a outros cistos odontogênicos, mas está necessariamente relacionado a um dente não vital.[2] Pode se assemelhar a um granuloma periapical na radiografia e clinicamente, mas histologicamente pode-se diferenciá-los com facilidade, sem necessidade de colorações especiais.[2][5]
Diagnóstico diferencial:[2][5]
- Cisto dentígero;
- Queratocisto odontogênico inflamado;
- Granuloma periapical;
- Cisto de bifurcação vestibular;
- Carcinoma escamoso.
Prognóstico e tratamento
O prognóstico é excelente, com baixa recidiva após tratamento.[2] O tratamento para cistos menores pode ser conservador, ao realizar o tratamento endodôntico para promover a involução do cisto, mas em casos maiores, pode ser necessário remover o cisto cirurgicamente, com ou sem marsupialização.[2][6] A apicectomia do dente pode ser necessária em alguns casos.[6]
Referências
- 1 2 3 4 5 6 7 Soluk-Tekkesin, Merva; Wright, John M. «The World Health Organization Classification of Odontogenic Lesions: A Summary of the Changes of the 2022 (5th) Edition». Turkish Journal of Pathology (2): 168–184. ISSN 1018-5615. PMC 9999699
. PMID 35578902. doi:10.5146/tjpath.2022.01573. Consultado em 15 de outubro de 2024 - 1 2 3 4 5 6 7 8 9 10 11 12 13 Maggliocca, Kelly. «Radicular (periapical) cyst». Pathology Outlines. Consultado em 15 de outubro de 2024
- 1 2 3 4 5 Safer, Rajendran (2009). Safer's Textbook Of Oral Patology, 6/E. [S.l.]: Elsevier. ISBN 9788131215708
- ↑ Silva, Ricardo Natã Fonseca; Vilela, Ana Carolina Serafim; Ferreira, Alexandre Bellotti; Silva, Bruno Gomes da; Vêncio, Eneida Franco; Decúrcio, Daniel de Almeida; Costa, Nádia Lago (16 de janeiro de 2018). «Tratamento de cisto radicular de grande extensão: relato de caso clínico». Revista Odontológica do Brasil Central (80). ISSN 1981-3708. doi:10.36065/robrac.v27i80.1172. Consultado em 15 de outubro de 2024
- 1 2 3 4 5 6 7 8 9 10 Rios Osorio, Nestor; Caviedes-Bucheli, Javier; Mosquera-Guevara, Lorenzo; Adames-Martinez, Juan Sebastian; Gomez-Pinto, Daison; Jimenez-Jimenez, Karin; Avendano Maz, Helida; Bornacelly-Mendoza, Sandra (22 de dezembro de 2022). «The Paradigm of the Inflammatory Radicular Cyst: Biological Aspects to be Considered». European Endodontic Journal (1): 20–36. ISSN 2548-0839. PMID 36748442. doi:10.14744/eej.2022.26918. Consultado em 15 de outubro de 2024
- 1 2 Kirtaniya, B. C.; Sachdev, V.; Singla, A.; Sharma, A. K. (setembro de 2010). «Marsupialization: A conservative approach for treating dentigerous cyst in children in the mixed dentition». Journal of Indian Society of Pedodontics and Preventive Dentistry (em inglês) (3). 203 páginas. ISSN 0970-4388. doi:10.4103/0970-4388.73795. Consultado em 15 de outubro de 2024