Carcinoma ex-adenoma pleomórfico
O carcinoma ex-adenoma pleomórfico (Cex-AP) é uma neoplasia maligna (câncer) de glândulas salivares que surge a partir de um adenoma pleomórfico que sofreu malignização.[1]
Sinais e sintomas
Normalmente, o Cex-AP se apresenta como uma massa palpável na região da glândula afetada, usualmente a parótida, mas também pode se apresentar como um crescimento súbito de uma massa preexistente.[1][2] Sintomas associados a esse crescimento incluem dor, paralisia ou parestesia da face, ou em casos mais avançados pode haver disfagia ou ulceração da pele.[1][3]
É comum que a massa tumoral tenha um histórico longo de surgimento antes de seu crescimento acelerado, sugerindo que a demora ao tratar o adenoma pleomórfico pode aumentar as chances de malignização.[1][4] Além disso, até 25% dos pacientes relatam uma história de um adenoma pleomórfico anteriormente tratado.[1][5]
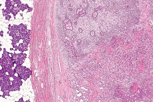
Aspectos radiográficos e histológicos

O exame de imagem recomendado para detectar o Cex-AP é a ressonância magnética: ela permite a delimitação mais precisa dos planos de tecidos, e a visualização de margens infiltrativas.[1][2] O Cex-AP é caracterizado pela presença de um componente encapsulado e um invasivo: o encapsulado tem intensidade de sinal variável, pela variedade arquitetônica e tecidual, e o componente invasivo é caracterizado pelo hipossinal (ou intermediário) em T2, com presença de hemorragia, necrose, margens irregulares ou infiltrativas.[1][6][7] O grau de difusão das imagens também ajuda a diferenciar o componente benigno do maligno.[1][6]
Não se recomenda o uso do PET-TC, pela sua inconsistência em tumores de glândula salivar.[1][8]
Histologicamente, apresenta-se como um adenoma pleomórfico (componente benigno) associado a um componente carcinomatoso que pode ser um carcinoma do ducto salivar, carcinoma mioepitelial (usualmente de baixo grau), adenocarcinoma (usualmente de alto grau, do tipo carcinoma do ducto salivar ou adenocarcinoma não especificado, com a presença de diferenciação escamosa, mucoepidermoide ou polimórfica) ou carcinoma epitelial-mioepitelial.[1]
Causas
Sua etiologia é desconhecida, mas teoriza-se que a transformação maligna do epitélio ductal ocorre por disfunção na proteína p53, com progressão para um carcinoma intracapsular, carcinoma minimamente invasivo e, finalmente, amplamente invasivo: essa trajetória está associada com a amplificação do gene HER2 e a perda da expressão de PLAG1.[1][9][10][11][12] Os Cex-AP do subtipo carcinoma mioepitelial, entretanto, progridem por outros mecanismos.[1][10]
Epidemiologia
É um tipo de câncer incomum, com uma incidência de 0,17 a cada 1 milhão de pessoas.[1][13] Entretanto, ele representa 11,6% de todas as neoplasias malignas de glândulas salivares, e 5% de todos os adenomas pleomórficos sofrem transformação maligna (usualmente associada a um tumor recidivante ou de longa data).[1]
Sua maior incidência é na sétima década de vida, com ligeira predominância por homens, e afeta a parótida (77%) e a submandibular (18%) mais frequentemente.[1][14] Em casos raros, pode afetar a cavidade oral, faringe, glândulas lacrimais, traqueia e cavidade nasal.[1][15][16][17]
Diagnóstico
O seu diagnóstico definitivo depende do exame anatomopatológico e o diagnóstico prévio de um adenoma pleomórfico tratado, ou um adenoma pleomórfico não tratado que apresenta rápido crescimento.[1] A imuno-histoquímica pode auxiliar no diagnóstico:[1]
- Componente benigno (adenoma pleomórfico):
- Células ductais são positivas para pancitoqueratina, CK7, CK18, EMA e CEA;
- Células mioepiteliais são positivas para actina de músculo liso, calponina, SMMHC, p63, CK14, GFAP e S100.
- Componente maligno (carcinoma): depende da classificação do componente maligno;
- Se carcinoma do ducto salivar: positivo para CK7, EMA, HER2, AR, e p53;
- Se adenocarcinoma não especificado: não existem colorações específicas, é um diagnóstico de exclusão;
- Se carcinoma mioepitelial: positivo para calponina, p63, p40 e SMMHC;
- Se carcinoma mucoepidermoide: positivo para CK7, CK5/6 e p63 (células escamosas) e mucina (células mucinosas).
A coloração HMGA2 de imuno-histoquímica é altamente específica, mas pouco sensível para o Cex-AP.[1][18]
O Ki-67 (índice mitótico) pode ser usado para diferenciar os componentes benignos e malignos: mesmo no adenoma pleomórfico recidivante, o índice mitótico não ultrapassa 5%, mas é muito alto no componente maligno. [1][19]
O diagnóstico diferencial inclui o adenoma pleomórfico (recidivante ou com pseudópodes), carcinoma de novo ou carcinoma metastático.[1]
Prognóstico e tratamento
O prognóstico depende do grau de invasão do tumor: Cex-AP não invasivos ou minimamente invasivos possuem excelente prognóstico.[1][20] Entretanto, outros fatores podem afetar o diagnóstico: idade avançada, sexo masculino, diâmetro tumoral >40 mm, invasão da cápsula, disseminação linfonodal e subtipos histológicos carcinoma mioepitelial ou carcinoma do ducto salivar possuem pior prognóstico.[1][21][22][23][24] O grau histológico, invasão, disseminação tumoral e invasão perineural estão associados a metástase, e seu prognóstico é ainda pior se o Cex-AP for recidivante e não primário.[1][10][25] Disseminação linfonodal pode ocorrer em 30% dos casos, e metástase em 4%.[1][26]
O tratamento idealmente é a ressecção cirúrgica com margens livres, mas a abordagem cirúrgica depende da localização e tamanho do tumor, envolvimento dos linfonodos cervicais e relação com estruturas da face como nervo facial, mandíbula, canal auditivo e osso temporal.[1] A radioterapia adjuvante é recomendada no caso de margens positivas, estágio avançado, invasão óssea, perineural ou linfovascular, e envolvimento de linfonodos cervicais.[1][27][28] A quimioterapia é reservada para as metástases.[1]
Ver também
- Adenoma pleomórfico
- Adenocarcinoma de glândula salivar
Referências
- 1 2 3 4 5 6 7 8 9 10 11 12 13 14 15 16 17 18 19 20 21 22 23 24 25 26 27 28 Aivazian, Karina; Gupta, Ruta. «Carcinoma ex pleomorphic adenoma». Pathology Outlines. Consultado em 5 de fevereiro de 2025
- 1 2 Seok, Jungirl; Hyun, Se Jin; Jeong, Woo-Jin; Ahn, Soon-Hyun; Kim, Hyojin; Jung, Young Ho (setembro de 2019). «The Difference in the Clinical Features Between Carcinoma ex Pleomorphic Adenoma and Pleomorphic Adenoma». Ear, Nose, & Throat Journal (8): 504–509. ISSN 1942-7522. PMID 31189352. doi:10.1177/0145561319855376. Consultado em 5 de fevereiro de 2025
- ↑ Olsen, K. D.; Lewis, J. E. (setembro de 2001). «Carcinoma ex pleomorphic adenoma: a clinicopathologic review». Head & Neck (9): 705–712. ISSN 1043-3074. PMID 11505478. doi:10.1002/hed.1100. Consultado em 5 de fevereiro de 2025
- ↑ Lüers, Jan-Christoffer; Wittekindt, Claus; Streppel, M.; Guntinas-Lichius, Orlando (2009). «Carcinoma ex pleomorphic adenoma of the parotid gland. Study and implications for diagnostics and therapy». Acta Oncologica (Stockholm, Sweden) (1): 132–136. ISSN 1651-226X. PMID 18607845. doi:10.1080/02841860802183604. Consultado em 5 de fevereiro de 2025
- ↑ Nouraei, S. A. Reza; Hope, Kirsten L.; Kelly, Charles G.; McLean, Neil R.; Soames, James V. (outubro de 2005). «Carcinoma ex benign pleomorphic adenoma of the parotid gland». Plastic and Reconstructive Surgery (5): 1206–1213. ISSN 1529-4242. PMID 16217459. doi:10.1097/01.prs.0000181654.68120.0f. Consultado em 5 de fevereiro de 2025
- 1 2 Kato, H.; Kanematsu, M.; Mizuta, K.; Ito, Y.; Hirose, Y. (maio de 2008). «Carcinoma ex pleomorphic adenoma of the parotid gland: radiologic-pathologic correlation with MR imaging including diffusion-weighted imaging». AJNR. American journal of neuroradiology (5): 865–867. ISSN 1936-959X. PMC 8128585
. PMID 18272554. doi:10.3174/ajnr.A0974. Consultado em 5 de fevereiro de 2025 - ↑ Kashiwagi, Nobuo; Murakami, Takamichi; Chikugo, Takaaki; Tomita, Yasuhiko; Kawano, Kiyoshi; Nakanishi, Katsuyuki; Mori, Kazunori; Tomiyama, Noriyuki (1 de abril de 2012). «Carcinoma ex pleomorphic adenoma of the parotid gland». Acta Radiologica (Stockholm, Sweden: 1987) (3): 303–306. ISSN 1600-0455. PMID 22287150. doi:10.1258/ar.2011.110389. Consultado em 5 de fevereiro de 2025
- ↑ Mantravadi, Avinash V.; Moore, Michael G.; Rassekh, Christopher H. (fevereiro de 2019). «AHNS series: Do you know your guidelines? Diagnosis and management of salivary gland tumors». Head & Neck (2): 269–280. ISSN 1097-0347. PMID 30548929. doi:10.1002/hed.25499. Consultado em 5 de fevereiro de 2025
- ↑ Ihrler, S.; Weiler, C.; Hirschmann, A.; Sendelhofert, A.; Lang, S.; Guntinas-Lichius, O.; Arnold, G.; Zietz, C.; Harrison, J. D. (setembro de 2007). «Intraductal carcinoma is the precursor of carcinoma ex pleomorphic adenoma and is often associated with dysfunctional p53». Histopathology (3): 362–371. ISSN 0309-0167. PMID 17593217. doi:10.1111/j.1365-2559.2007.02736.x. Consultado em 5 de fevereiro de 2025
- 1 2 3 Weiler, Christoph; Zengel, Pamela; van der Wal, Jacqueline E.; Guntinas-Lichius, Orlando; Schwarz, Stephan; Harrison, John D.; Kirchner, Thomas; Ihrler, Stephan (outubro de 2011). «Carcinoma ex pleomorphic adenoma with special reference to the prognostic significance of histological progression: a clinicopathological investigation of 41 cases». Histopathology (4): 741–750. ISSN 1365-2559. PMID 22014054. doi:10.1111/j.1365-2559.2011.03937.x. Consultado em 5 de fevereiro de 2025
- ↑ Hashimoto, Kazuki; Yamamoto, Hidetaka; Shiratsuchi, Hideki; Nakashima, Torahiko; Tamiya, Sadafumi; Nishiyama, Ken-ichi; Higaki, Yuichiro; Komune, Shizuo; Tsuneyoshi, Masazumi (maio de 2012). «HER-2/neu gene amplification in carcinoma ex pleomorphic adenoma in relation to progression and prognosis: a chromogenic in-situ hybridization study». Histopathology (6B): E131–142. ISSN 1365-2559. PMID 22486195. doi:10.1111/j.1365-2559.2012.04201.x. Consultado em 5 de fevereiro de 2025
- ↑ de Brito, Beatriz Samara; Giovanelli, Natália; Egal, Erika Said; Sánchez-Romero, Celeste; Nascimento, Juliana de Souza do; Martins, Antonio Santos; Tincani, Álfio José; Del Negro, André; Gondak, Rogério de Oliveira (novembro de 2016). «Loss of expression of Plag1 in malignant transformation from pleomorphic adenoma to carcinoma ex pleomorphic adenoma». Human Pathology: 152–159. ISSN 1532-8392. PMID 27473265. doi:10.1016/j.humpath.2016.07.011. Consultado em 5 de fevereiro de 2025
- ↑ Gnepp, D. R. (1993). «Malignant mixed tumors of the salivary glands: a review». Pathology Annual: 279–328. ISSN 0079-0184. PMID 8380049. Consultado em 5 de fevereiro de 2025
- ↑ Gupta, Avigeet; Koochakzadeh, Sina; Neskey, David M.; Nguyen, Shaun A.; Lentsch, Eric J. (1 de novembro de 2019). «Carcinoma ex pleomorphic adenoma: A review of incidence, demographics, risk factors, and survival». American Journal of Otolaryngology (6). 102279 páginas. ISSN 0196-0709. doi:10.1016/j.amjoto.2019.102279. Consultado em 5 de fevereiro de 2025
- ↑ Baredes, Soly; Ludwin, Danielle B.; Troublefield, Yolanda L.; Langer, Paul D.; Mirani, Neena (junho de 2003). «Adenocarcinoma ex-pleomorphic adenoma of the lacrimal sac and nasolacrimal duct: a case report». The Laryngoscope (6): 940–942. ISSN 0023-852X. PMID 12782801. doi:10.1097/00005537-200306000-00005. Consultado em 5 de fevereiro de 2025
- ↑ Ding, C. S. L.; Yap, W. M.; Teo, C. H. Y.; Giron, D.; Chuah, K. L. (dezembro de 2007). «Tracheal carcinoma ex pleomorphic adenoma: a rare tumour with potential problems in diagnosis». Histopathology (6): 868–871. ISSN 0309-0167. PMID 17916072. doi:10.1111/j.1365-2559.2007.02865.x. Consultado em 5 de fevereiro de 2025
- ↑ Cimino-Mathews, Ashley; Lin, Brian M.; Chang, Steven S.; Boahene, Kofi D.; Bishop, Justin A. (dezembro de 2011). «Carcinoma ex pleomorphic adenoma of the nasal cavity». Head and Neck Pathology (4): 405–409. ISSN 1936-0568. PMC 3210223
. PMID 21505850. doi:10.1007/s12105-011-0262-2. Consultado em 5 de fevereiro de 2025 - ↑ Mito, Jeffrey K.; Jo, Vickie Y.; Chiosea, Simion I.; Dal Cin, Paola; Krane, Jeffrey F. (outubro de 2017). «HMGA2 is a specific immunohistochemical marker for pleomorphic adenoma and carcinoma ex-pleomorphic adenoma». Histopathology (4): 511–521. ISSN 1365-2559. PMID 28463429. doi:10.1111/his.13246. Consultado em 6 de fevereiro de 2025
- ↑ Stennert, Eberhard; Wittekindt, Claus; Klussmann, Jens Peter; Arnold, Georg; Guntinas-Lichius, Orlando (janeiro de 2004). «Recurrent pleomorphic adenoma of the parotid gland: a prospective histopathological and immunohistochemical study». The Laryngoscope (1): 158–163. ISSN 0023-852X. PMID 14710014. doi:10.1097/00005537-200401000-00030. Consultado em 6 de fevereiro de 2025
- ↑ Brandwein, M.; Huvos, A. G.; Dardick, I.; Thomas, M. J.; Theise, N. D. (junho de 1996). «Noninvasive and minimally invasive carcinoma ex mixed tumor: a clinicopathologic and ploidy study of 12 patients with major salivary tumors of low (or no?) malignant potential». Oral Surgery, Oral Medicine, Oral Pathology, Oral Radiology, and Endodontics (6): 655–664. ISSN 1079-2104. PMID 8784897. doi:10.1016/s1079-2104(96)80071-0. Consultado em 6 de fevereiro de 2025
- ↑ Hu, Yu-Hua; Zhang, Chun-Ye; Xia, Rong-Hui; Tian, Zhen; Wang, Li-Zhen; Li, Jiang (novembro de 2016). «Prognostic factors of carcinoma ex pleomorphic adenoma of the salivary glands, with emphasis on the widely invasive carcinoma: a clinicopathologic analysis of 361 cases in a Chinese population». Oral Surgery, Oral Medicine, Oral Pathology and Oral Radiology (5): 598–608. ISSN 2212-4411. PMID 27546212. doi:10.1016/j.oooo.2016.06.005. Consultado em 6 de fevereiro de 2025
- ↑ Gupta, Avigeet; Koochakzadeh, Sina; Neskey, David M.; Nguyen, Shaun A.; Lentsch, Eric J. (2019). «Carcinoma ex pleomorphic adenoma: A review of incidence, demographics, risk factors, and survival». American Journal of Otolaryngology (6). 102279 páginas. ISSN 1532-818X. PMID 31471126. doi:10.1016/j.amjoto.2019.102279. Consultado em 6 de fevereiro de 2025
- ↑ Hu, Yu-Hua; Li, Wei; Zhang, Chun-Ye; Xia, Rong-Hui; Tian, Zhen; Wang, Li-Zhen; Xie, Lu; Li, Jiang (dezembro de 2017). «Prognostic nomogram for disease-specific survival of carcinoma ex pleomorphic adenoma of the salivary gland». Head & Neck (12): 2416–2424. ISSN 1097-0347. PMID 28945292. doi:10.1002/hed.24908. Consultado em 6 de fevereiro de 2025
- ↑ Katabi, Nora; Gomez, Daniel; Klimstra, David S.; Carlson, Diane L.; Lee, Nancy; Ghossein, Ronald (julho de 2010). «Prognostic factors of recurrence in salivary carcinoma ex pleomorphic adenoma, with emphasis on the carcinoma histologic subtype: a clinicopathologic study of 43 cases». Human Pathology (7): 927–934. ISSN 1532-8392. PMID 20338616. doi:10.1016/j.humpath.2009.12.011. Consultado em 6 de fevereiro de 2025
- ↑ Zhao, Jianqiang; Wang, Jiafeng; Yu, Chang; Guo, Liang; Wang, Kejing; Liang, Zhong; Lou, Jianlin (8 de agosto de 2013). «Prognostic factors affecting the clinical outcome of carcinoma ex pleomorphic adenoma in the major salivary gland». World Journal of Surgical Oncology (1). 180 páginas. ISSN 1477-7819. PMC 3750873
. PMID 23924064. doi:10.1186/1477-7819-11-180. Consultado em 6 de fevereiro de 2025 - ↑ Patel, Evan J.; Oliver, Jamie R.; Liu, Cheng; Tam, Moses; Givi, Babak (fevereiro de 2021). «Outcomes of carcinoma ex pleomorphic adenoma compared to de novo adenocarcinoma of major salivary glands». Journal of Surgical Oncology (2): 446–455. ISSN 1096-9098. PMID 33145786. doi:10.1002/jso.26289. Consultado em 6 de fevereiro de 2025
- ↑ Aro, Katri; Ho, Allen S.; Luu, Michael; Kim, Sungjin; Tighiouart, Mourad; Yoshida, Emi J.; Mallen-St Clair, Jon; Shiao, Stephen L.; Leivo, Ilmo (junho de 2019). «Survival Impact of Adjuvant Therapy in Salivary Gland Cancers following Resection and Neck Dissection». Otolaryngology--Head and Neck Surgery: Official Journal of American Academy of Otolaryngology-Head and Neck Surgery (6): 1048–1057. ISSN 1097-6817. PMID 30721113. doi:10.1177/0194599819827851. Consultado em 6 de fevereiro de 2025
- ↑ Terhaard, Chris H. J.; Lubsen, Herman; Rasch, Coen R. N.; Levendag, Peter C.; Kaanders, Hans H. A. M.; Tjho-Heslinga, Reineke E.; van Den Ende, Piet L. A.; Burlage, Fred; Dutch Head and Neck Oncology Cooperative Group (1 de janeiro de 2005). «The role of radiotherapy in the treatment of malignant salivary gland tumors». International Journal of Radiation Oncology, Biology, Physics (1): 103–111. ISSN 0360-3016. PMID 15629600. doi:10.1016/j.ijrobp.2004.03.018. Consultado em 6 de fevereiro de 2025