Adenoma pleomórfico
| Adenoma pleomórfico | |
|---|---|
![]() | |
| Um adenoma pleomófico na glândula parótida | |
| Especialidade | oncologia |
| Classificação e recursos externos | |
| CID-11 | XH2KC1 |
| CID-10 | D11 |
| CID-9 | 210.2 |
| CID-CID-O | 8940/0 |
| OMIM | 181030 |
| eMedicine | radio/531 |
| MeSH | D008949 |
O adenoma pleomórfico (AP) é um tumor das glândulas salivares misto benigno, sendo o mais frequente deles.[1][2]
O nome "adenoma" significa que é um tumor benigno de origem glandular e "pleomórfico" se refere à sua diversidade histológica entre tumores, bem como em diferentes áreas de um mesmo tumor.[1][2] Embora o padrão tumoral básico seja altamente variável, raramente as células individuais são realmente pleomórficas[1]. De forma semelhante, embora o tumor geralmente tenha um componente estromal proeminente semelhante ao mesênquima, ele não é verdadeiramente uma neoplasia mista, pois não é derivado de mais de uma camada germinativa.[1][2]
Sinais e sintomas
O tumor geralmente é solitário e apresenta um crescimento lento, indolor de uma massa nodular única e firme, e geralmente é móvel ao menos que seja encontrado no palato.[1]

A maioria (90%) dos adenomas pleomórficos da glândula parótida ocorrem no lobo superficial e se apresentam como um aumento de volume sobre o ramo da mandíbula à frente da orelha, representando cerca de 90% dos casos.[3] A dor e a paralisia do nervo facial são raras, e são mais frequentes com o crescimento do tumor, que pode crescer até atingir proporções grotescas.[3] Cerca de 10% dos tumores mistos da parótida desenvolvem-se no lobo profundo da glândula, abaixo do nervo facial.[3]
Algumas vezes estas lesões crescem medialmente, entre o ramo ascendente e o ligamento estilomandibular, resultando em um tumor com formato de haltere, que se apresenta como um aumento de volume na parede lateral da faringe ou no palato mole.[4]
Em raras ocasiões, os adenomas pleomórficos bilaterais têm sido relatados, desenvolvendo-se num padrão síncrono com outro AP ou mesmo com outra neoplasia, mais frequentemente o tumor de Warthin.[5]
Aspectos radiográficos e histológicos

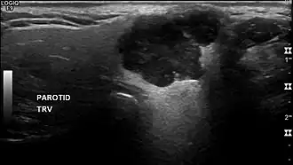
O diagnóstico imaginológico do AP envolve diversos exames de imagem, como a ultrassonografia, ressonância magnética e tomografia computadorizada (TC).[3] Pelo seu aspecto pleomórfico, o AP possui aspecto radiográfico variável e múltiplos exames podem ser utilizados para adequadamente avaliar a lesão: a TC pode oferecer a dimensão geral e o grau de invasão tecidual, especialmente óssea, enquanto a ressonância magnética auxilia a visualização de tecidos moles e invasão perineural, onde usualmente apresenta-se como uma lesão de bordas bem delimitadas de sinal hiperintenso.[1][6]
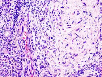
Histologicamente, o adenoma pleomórfico é um tumor tipicamente encapsulado e bem circunscrito.[1] Entretanto, a cápsula pode ser incompleta ou exibir infiltração por células tumorais.[1] Essa falta de encapsulação completa é mais comum nos tumores de glândula salivar menor, especialmente ao longo da porção superficial dos tumores do palato, abaixo da superfície epitelial.[7]
_parotid_gland.jpg)
O tumor é composto de uma mistura de epitélio glandular e células mioepiteliais permeados por um estroma condromixoide em proporções variáveis.[1] Geralmente o epitélio forma ductos e estruturas císticas, ou pode ocorrer na forma de ilhotas ou cordões celulares.[1] As células mioepiteliais geralmente compõem uma grande porcentagem das células tumorais e exibem uma morfologia variável, podendo apresentar-se como células anguladas ou fusiformes.[1] Algumas células mioepiteliais são arredondadas e possuem núcleo excêntrico e citoplasma eosinofílico hialinizado, lembrando plasmócitos; estas células mioepiteliais plasmocitoides características são mais proeminentes nos tumores oriundos de glândulas salivares menores.[1]
O AP é caracterizado por metaplasia, seja ela adiposa, óssea, escamosa, sebácea ou mucinosa.[1] Em alguns tumores, é possível ver cristais de tirosina, aumento na celularidade e índice mitótico, e áreas ricas em células mioepiteliais.[1]
Causas
A fusão do gene PLAG1 ou do gene HMGA2 está presente em cerca de 70% dos APs.[1][8][9] Seu surgimento também está associado à exposição à radiação prévia.[1]
Epidemiologia
O AP representa 85% dos tumores de glândula salivar, 60% das neoplasias benignas de parótida e 3% de todos os tumores de cabeça e pescoço.[3] Ele pode afetar qualquer glândula salivar, mas também as glândulas lacrimais e as glândulas salivares menores do trato aerodigestivo superior.[1]
Pode afetar pessoas de qualquer idade, usualmente entre os 30 e 60 anos, e possui predileção por mulheres (2:1).[1]
Diagnóstico
A punção aspirativa por agulha fina (PAAF) é utilizada para fins diagnósticos, com boa sensitividade (~90%) na determinação de um tumor benigno ou maligno, e se o tumor é primário das glândulas salivares ou metastático.[10][11] Já a biópsia por agulha grossa (core needle biopsy) é mais assertiva comparada à PAAF, com cerca de 97% de acurácia, e permite melhor diagnóstico do tipo histológico do tumor.[12] A biópsia incisional não é recomendada pelo risco de espalhar o tumor e promover recidiva.[3] O padrão ouro no diagnóstico é o exame anatomopatológico após a cirurgia.[3]
A imuno-histoquímica pode auxiliar no diagnóstico diferencial. As células epiteliais ductais são positivas para citoqueratinas (AE1, AE3, CAM5.2 e CK7) e as células mioepiteliais são positivas para GFAP, S100, SOX10, alfa-actina de músculo liso, calponina, p40 e p63.[1] Marcadores genéticos como PLAG1 e HMGA2 podem ser utilizados.[1]
O diagnóstico diferencial inclui:[1][2]
- Adenoma de células basais;
- Mioepitelioma;
- Carcinoma adenoide cístico;
- Adenocarcinoma polimórfico;
- Carcinoma epitelial-mioepitelial;
- Carcinoma ex-adenoma pleomórfico;
- Carcinoma mucoepidermode.
Prognóstico e tratamento
O prognóstico do AP é usualmente favorável: a taxa de recidiva (~6%) é baixa, assim como a taxa de transformação maligna (~5%) em um carcinoma ex-adenoma pleomórfico.[1][3] Porém, alguns fatores estão associados a um aumento do risco de transformação maligna: múltiplas recidivas, localização na glândula submandibular, idade avançada, tamanho grande, hialinização proeminente, aumento da atividade mitótica e exposição à radiação.[1]
O tratamento de escolha normalmente é a cirurgia de ressecção com margens negativas, mas a abordagem cirúrgica depende do tamanho do tumor, da localização, da presença de complicações, da duração cirúrgica e da experiência do cirurgião.[3] O tratamento pode variar entre enucleação, dissecção extracapsular, parotidectomia superficial (parcial ou total), parotidectomia profunda e superficial parcial, ou parotidectomia total.[3][13] De forma geral, a enucleação tende a aumentar o risco de recidiva local para 15 a 25% e caiu em desuso.[1][13]
Para lesões localizadas no lobo superficial da glândula parótida é recomendada a parotidectomia superficial, com a identificação e preservação do nervo facial.[3] Para tumores localizados no lobo profundo da parótida, a parotidectomia total geralmente é necessária, se possível com a preservação do nervo facial.[3] Os tumores submandibulares são mais bem tratados pela remoção total da glândula com o tumor.[3][14] Os tumores do palato duro são geralmente excisados abaixo do periósteo, incluindo a mucosa sobrejacente.[4]
Possíveis complicações cirúrgicas incluem paralisia do nervo facial (transitória ou permanente), síndrome de Frey, hemorragia e fístula salivar.[3]
A radioterapia é uma opção pós-cirurgia para o AP recidivante, especialmente quando há presença de lesões multinodulares onde houve múltiplas recidivas ou a excisão total é impraticável.[3] Contudo, a literatura sugere que a radioterapia deve ser considerada um último recurso, pelo risco de transformação maligna.[3]
Pelo risco de recidiva tardia, entre 7 a 10 anos (mas podendo chegar a 24 anos), recomenda-se monitorar anualmente o paciente operado através de ultrassonografia.[3][15][16]
Apesar de ser um tumor benigno, a OMS reconhece que o AP pode realizar metástase à distância mesmo tardiamente (6 a 52 anos após a excisão do tumor), afetando ossos, SNC, rins, fígado, pulmão, linfonodos, maxila, faringe, pele e seio esfenoidal. A metástase está associada a remoção incompleta, recidiva local ou após transplante cardíaco/imunossupressão.[1][17]
Ver também
- Adenoma de glândula salivar
- Carcinoma ex-adenoma pleomórfico
Referências
- 1 2 3 4 5 6 7 8 9 10 11 12 13 14 15 16 17 18 19 20 21 22 23 24 25 Xu, Bin. «Pleomorphic adenoma». Pathology Outlines. Consultado em 17 de janeiro de 2025
- 1 2 3 4 Sharma, Rashim; Khera, Sudeep; Yadav, Taruna; Badkur, Mayank (setembro de 2024). «Pleomorphic adenoma: Indeed, a versatile tumor». Journal of Cancer Research and Therapeutics (em inglês) (5). 1611 páginas. ISSN 0973-1482. doi:10.4103/jcrt.jcrt_2259_22. Consultado em 17 de janeiro de 2025
- 1 2 3 4 5 6 7 8 9 10 11 12 13 14 15 16 17 Zoccali, Federica; Cialente, Fabrizio; Colizza, Andrea; Ralli, Massimo; Greco, Antonio; de Vincentiis, Marco (julho de 2023). «Clinico-histopathological review of 255 patients who underwent parotidectomy for pleomorphic adenoma: a 10-year retrospective study-a proposal for an optimal diagnostic and therapeutic algorithm for patients with recurrent pleomorphic adenoma». European archives of oto-rhino-laryngology: official journal of the European Federation of Oto-Rhino-Laryngological Societies (EUFOS): affiliated with the German Society for Oto-Rhino-Laryngology - Head and Neck Surgery (7): 3329–3335. ISSN 1434-4726. PMID 36872347. doi:10.1007/s00405-023-07897-y. Consultado em 17 de janeiro de 2025
- 1 2 Araújo, Fábio Adriano de (1 de outubro de 2014). «Adenoma pleomórfico de glândula salivar menor: revisão de literatura e relato de caso». Universidade Estadual da Paraíba. Consultado em 17 de janeiro de 2025
- ↑ Ochal-Choińska, Aleksandra; Bruzgielewicz, Antoni; Osuch-Wójcikiewicz, Ewa (1 de maio de 2019). «Synchronous multiple unilateral parotid gland tumors of benign and malignant histological types: case report and literature review». Brazilian Journal of Otorhinolaryngology (3): 388–392. ISSN 1808-8694. PMC 9442825
. PMID 27166274. doi:10.1016/j.bjorl.2016.03.002. Consultado em 17 de janeiro de 2025 - ↑ Koyuncu, Mehmet; ŞeŞen, Teoman; Akan, HÜseyin; Ismailoglu, Ahmet A.; Tanyeri, YÜcel; Tekat, Atilla; Ünal, Recep; Incesu, LÜtfi (2003). «Comparison of Computed Tomography and Magnetic Resonance Imaging in the Diagnosis of Parotid Tumors». Otolaryngology–Head and Neck Surgery (em inglês) (6): 726–732. ISSN 1097-6817. doi:10.1016/j.otohns.2003.07.009. Consultado em 17 de janeiro de 2025
- ↑ Ribeiro-Rotta, Rejane F.; Cruz, Mirna L.; Paiva, Rogério R.; Mendonça, Elismauro F.; Spini, Túlio H.; Mendonça, Alexandre R. (outubro de 2003). «O papel da ressonância magnética no diagnóstico do adenoma pleomórfico: revisão da literatura e relato de casos». Revista Brasileira de Otorrinolaringologia: 699–707. ISSN 0034-7299. doi:10.1590/S0034-72992003000500016. Consultado em 17 de janeiro de 2025
- ↑ Voz, Marianne L.; Åström, Anna-Karin; Kas, Koen; Mark, Joachim; Stenman, Göran; Van de Ven, Wim JM (março de 1998). «The recurrent translocation t(5;8)(p13;q12) in pleomorphic adenomas results in upregulation of PLAG1 gene expression under control of the LIFR promoter». Oncogene (em inglês) (11): 1409–1416. ISSN 1476-5594. doi:10.1038/sj.onc.1201660. Consultado em 17 de janeiro de 2025
- ↑ Geurts, J. M.; Schoenmakers, E. F.; Röijer, E.; Stenman, G.; Van de Ven, W. J. (1 de janeiro de 1997). «Expression of reciprocal hybrid transcripts of HMGIC and FHIT in a pleomorphic adenoma of the parotid gland». Cancer Research (1): 13–17. ISSN 0008-5472. PMID 8988031. Consultado em 17 de janeiro de 2025
- ↑ Cohen, Erik G.; Patel, Snehal G.; Lin, Oscar; Boyle, Jay O.; Kraus, Dennis H.; Singh, Bhuvanesh; Wong, Richard J.; Shah, Jatin P.; Shaha, Ashok R. (1 de junho de 2004). «Fine-Needle Aspiration Biopsy of Salivary Gland Lesions in a Selected Patient Population». Archives of Otolaryngology–Head & Neck Surgery (6): 773–778. ISSN 0886-4470. doi:10.1001/archotol.130.6.773. Consultado em 17 de janeiro de 2025
- ↑ Batsakis, John G.; Sneige, Nour; El-Naggar, Adel K. (1 de fevereiro de 1992). «Fine-Needle Aspiration of Salivary Glands: Its Utility and Tissue Effects». Annals of Otology, Rhinology & Laryngology (em inglês) (2): 185–188. ISSN 0003-4894. doi:10.1177/000348949210100215. Consultado em 17 de janeiro de 2025
- ↑ Wan, Yung-Liang; Chan, Siu-Cheung; Chen, Yao-Liang; Cheung, Yun-Chung; Lui, Kar-Wai; Wong, Ho-Fai; Hsueh, Chuen; See, Lai-Chu (outubro de 2004). «Ultrasonography-guided core-needle biopsy of parotid gland masses». AJNR. American journal of neuroradiology (9): 1608–1612. ISSN 0195-6108. PMC 7976420
. PMID 15502149. Consultado em 17 de janeiro de 2025 - 1 2 Psychogios, Georgios; Bohr, Christopher; Constantinidis, Jannis; Canis, Martin; Vander Poorten, Vincent; Plzak, Jan; Knopf, Andreas; Betz, Christian; Guntinas-Lichius, Orlando (1 de janeiro de 2021). «Review of surgical techniques and guide for decision making in the treatment of benign parotid tumors». European Archives of Oto-Rhino-Laryngology (em inglês) (1): 15–29. ISSN 1434-4726. doi:10.1007/s00405-020-06250-x. Consultado em 17 de janeiro de 2025
- ↑ Leonetti, John P.; Marzo, Sam J.; Petruzzelli, Guy J.; Herr, Brian (2005). «Recurrent Pleomorphic Adenoma of the Parotid Gland». Otolaryngology–Head and Neck Surgery (em inglês) (3): 319–322. ISSN 1097-6817. doi:10.1016/j.otohns.2005.04.008. Consultado em 17 de janeiro de 2025
- ↑ Silvoniemi, Antti; Pulkkinen, Jaakko; Grénman, Reidar (1 de novembro de 2010). ISSN 0001-6489. doi:10.3109/00016489.2010.488248 https://www.tandfonline.com/doi/full/10.3109/00016489.2010.488248. Consultado em 17 de janeiro de 2025 Em falta ou vazio
|título=(ajuda) - ↑ Schapher, Mirco; Koch, Michael; Agaimy, Abbas; Goncalves, Miguel; Mantsopoulos, Konstantinos; Iro, Heinrich (1 de setembro de 2019). «Parotid pleomorphic adenomas: Factors influencing surgical techniques, morbidity, and long-term outcome relative to the new ESGS classification in a retrospective study». Journal of Cranio-Maxillofacial Surgery (9): 1356–1362. ISSN 1010-5182. doi:10.1016/j.jcms.2019.06.009. Consultado em 17 de janeiro de 2025
- ↑ Sampson, B. A.; Jarcho, J. A.; Winters, G. L. (novembro de 1998). «Metastasizing mixed tumor of the parotid gland: a rare tumor with unusually rapid progression in a cardiac transplant recipient». Modern Pathology: An Official Journal of the United States and Canadian Academy of Pathology, Inc (11): 1142–1145. ISSN 0893-3952. PMID 9831214. Consultado em 17 de janeiro de 2025
Bibliografia
- Neville BW, Damm DD, Allen CM, Bouquot JE. Patologia oral & maxilofacial. 2 ed. Rio de Janeiro: Guanabara Koogan, 2008.
