Anodontia
| Anodontia | |
|---|---|
![]() | |
| Especialidade | estomatologia |
| Classificação e recursos externos | |
| CID-11 | LA30.0 |
| CID-10 | K00.0 |
| CID-9 | 520.0 |
| OMIM | 206780 |
| MeSH | D000848 |
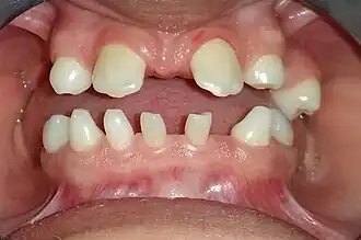
Anodontia refere-se à ausência da formação do germe dentário. A doença pode ter origem autossômica ou heterossômica e atingir a dentição decídua e permanente, como também causar várias mudanças, tanto na forma quanto no tamanho de dentes sucessores e homólogos. Pode ser parcial ou total. A anodontia total é extremamente rara, geralmente associada à displasia ectodérmica.
Anodontias parciais são encontradas com relativa frequência. Podem ser uni ou bilaterais. Os dentes mais afetados por tal alteração de desenvolvimento são os terceiros molares, segundos pré-molares, incisivos laterais superiores e incisivos centrais inferiores.
Um dente só pode ser considerado não formado quando não for identificado na arcada ou no exame radiográfico e quando verificada a história clínica do paciente, para avaliar possível extração precoce deste elemento.[1]
O artigo "ESTUDO DA PREVALÊNCIA DE ANODONTIA DE INCISIVOS LATERAIS E SEGUNDOS PRÉ-MOLARES EM LEUCODERMAS BRASILEIROS, PELO MÉTODO RADIOGRÁFICO" é um estudo. A pesquisa analisou 503 radiografias panorâmicas de brasileiros de 2 a 15 anos de idade com pele clara (leucodermas) para investigar a frequência de anodontia. A anodontia é a ausência congênita de dentes e é a anomalia dentária mais comum na dentição permanente, excluindo-se os terceiros molares. [2]
Estudos acadêmicos na UNIP
A Revista do Instituto de Ciências da Saúde da UNIP analisou a prevalência de disgenesias dentárias em pacientes de clínicas de ortodontia da Universidade Paulista (UNIP) em São Paulo e Campinas. A pesquisa, conduzida por Fabiano Forjaz Braga de Camargo e colaboradores, avaliou 504 radiografias panorâmicas de pacientes com idades entre 6 e 14 anos que estavam em tratamento ou já haviam sido tratados. [3]
Os resultados mostraram que 11,70% dos pacientes (59 de 504) apresentaram algum tipo de disgenesia. As disgenesias foram classificadas em quatro grupos: tamanho, forma, número e estrutura. A disgenesia de número (agenesia) foi a mais comum, representando aproximadamente 66% de todas as anomalias encontradas, o que equivale a 7,70% da amostra total de pacientes. O estudo também observou que não houve diferença significativa na prevalência entre os gêneros masculino e feminino. [3]
Os autores concluíram que a agenesia é a anomalia dentária mais prevalente em pacientes ortodônticos e destacaram a importância da análise radiográfica detalhada para o diagnóstico e planejamento do tratamento. [3]
O estudo usou a mídia física e da internet como referência para que seja possível importar estes versículos resumidos do artigo original, na revista catalogada da Revista do Instituto de Ciências da Saúde, v. 27, n. 1, 2009. p. 44-47 / R395.
Referências
- ↑ «Anodontia: Total vs. Partial, Causes, and Treatment». Healthline (em inglês). 13 de novembro de 2017. Consultado em 9 de julho de 2025
- ↑ Antoniazzi, M. C. C.; Castilho (4 de junho de 2013). «Estudo da Prevalência de Anodontia de Incisivos Laterais e Segundos Pré-Molares em Leucodermas Brasileiros, pelo Método Radiográfico». Revista de Odontologia da UNESP. 42 (3): 177–185. Consultado em 21 de agosto de 2025
- 1 2 3 Camargo, Fabiano Forjaz Braga de; Lascala, Cícero Ermínio; Vieira, Welson; Henriques, Antonio Gomes; Lima, Eduardo de Oliveira; Ortolani, Cristina Lúcia Feijó (17 de dezembro de 2020). «Prevalência dos diversos tipos de disgenesias presentes em um grupo de pacientes tratados ortodonticamente nas clínicas da Universidade Paulista de São Paulo e Campinas». Repositório Digital UNIP. Consultado em 21 de agosto de 2025. Cópia arquivada em 21 de agosto de 2025
Ligações externas
- ↑ Camargo, Fabiano Forjaz Braga de; Lascala, Cícero Ermínio; Vieira, Welson; Henriques, Antonio Gomes; Lima, Eduardo de Oliveira; Ortolani, Cristina Lúcia Feijó (17 de dezembro de 2020). «Prevalência dos diversos tipos de disgenesias presentes em um grupo de pacientes tratados ortodonticamente nas clínicas da Universidade Paulista de São Paulo e Campinas». Repositório Digital UNIP. Consultado em 21 de agosto de 2025
- ↑ V-27 n. 1 p. 44-47. Internet Archive, [s.d.]. Disponível em: https://archive.org/details/v-27-n-1-p-44-47. Acesso em: 21 ago. 2025.
.jpg)