Abscesso pulmonar

Abscesso pulmonar
Especialidadepneumologia
Classificação e recursos externos
CID-11e 895890688 CA43.2
CID-10J85
CID-9513.0
DiseasesDB7607
eMedicinemed/1332
MeSHD008169
A Wikipédia não é um consultório médico. Leia o aviso médico 

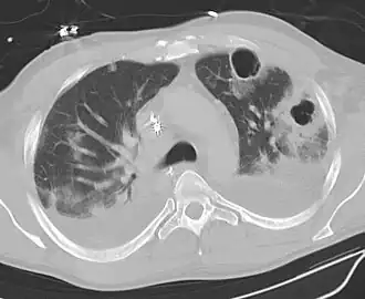
Abscesso pulmonar (português brasileiro) ou abcesso pulmonar (português europeu) é a necrose do tecido pulmonar e a formação de cavidades (com mais de 2 cm) contendo resíduos necróticos ou fluido, causado por infecções microbianas.

Estas cavidades preenchidas de pus são comumente causadas por aspiração, que pode ocorrer durante estadios de consciência alterados. O alcoolismo é a condição mais comum que predispõe para abcessos pulmonares, pós pneumonia aspirativa.

Os abscessos pulmonares são considerados primários (60%) quando resultam de um processo directo do parênquima pulmonar ou secundários quando são complicados de outro processo como p.e. embolia ou rutura de abscessos extra-pulmonares nos pulmões.

Sinais e sintomas

Os pacientes podem se apresentar com febre com suores noturnos, tosse, expectoração purulenta, hálito fétido, hemoptise (um terço dos casos). Os pacientes geralmente se apresentam com grande perda ponderal. O hipocratismo digital é observado em um terço dos pacientes.

Ver também