Tumor cerebral
| Tumor cerebral | |
|---|---|
| Sinónimos | Neoplasia intrecraniana |
![]() | |
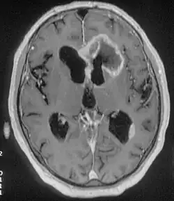
| Ressonância magnética de metástases de um cancro do pulmão no hemisfério cerebral direito . | |
| Especialidade | Neurocirurgia, oncologia |
| Sintomas | Dependem da parte do cérebro envolvida, dores de cabeça, convulsões, problemas de visão, vómitos, alterações mentais[1][2] |
| Tipos | Benigno, maligno[2] |
| Causas | Geralmente desconhecidas[2] |
| Fatores de risco | Neurofibromatose, exposição a cloreto de vinil, vírus Epstein–Barr, radiação ionizante[1][2][3] |
| Método de diagnóstico | Tomografia computorizada, ressonância magnética, biópsia[1][2] |
| Tratamento | Cirurgia, radioterapia, quimioterapia[1] |
| Medicação | Anticonvulsivos, dexametasona, furosemida[1] |
| Prognóstico | Sobrevivência a cinco anos: ~ 35% (EUA)[4] |
| Frequência | 1,2 milhões de cancros do sistema nervoso (2015)[5] |
| Mortes | 229 000 (2015)[6] |
| Classificação e recursos externos | |
| CID-11 | 2A00 |
| CID-10 | D71, D33, |
| CID-9 | 191, 225.0 |
| DiseasesDB | 30781 |
| MedlinePlus | 007222 000768 |
| eMedicine | emerg/334 |
| MeSH | D001932 |
Um tumor cerebral ocorre quando se formam células anormais no cérebro.[2] Existem dois tipos principais de tumores: tumores malignos e tumores benignos.[2] Os tumores cancerosos podem ser divididos em tumores primários, que se começam a formar no próprio cérebro, ou tumores secundários, que se espalharam a partir de outras partes do corpo, denominados metástases cerebrais.[1] Este artigo descreve principalmente os tumores que têm origem no cérebro. Todos os tipos de tumores cerebrais manifestam sintomas que variam conforme a parte do cérebro afetada.[2] Os sintomas incluem dores de cabeça, convulsões, problemas de visão, vómitos e perturbações mentais.[1][7] A dor de cabeça é geralmente mais intensa durante a manhã e desaparece após os vómitos.[2] Alguns tipos de tumor podem provocar dificuldade em caminhar, falar ou a nível de sensibilidade.[3]
A causa da maior parte dos tumores cerebrais é desconhecida.[2] Entre os fatores de risco que podem ocasionalmente estar envolvidos estão uma série de condições hereditárias conhecidas como neurofibromatoses, assim como a exposição ao cloreto de vinil, ao vírus Epstein-Barr e à radiação ionizante.[2][1][3] Embora tenham sido levantadas preocupações quanto ao uso de telemóveis, as evidências não são claras.[3] Os tipos mais comuns de tumores primários em adultos são os meningiomas (geralmente benignos) e os astrocitomas, tais como os gliobastomas.[1] Em crianças, o tipo mais comum são os meduloblastomas malignos.[3] O diagnóstico é geralmente realizado através de exame clínico auxiliado por imagens de tomografia computorizada ou ressonância magnética.[2] O diagnóstico pode ser confirmado por biópsia.[1] Com base nas observações, os tumores são divididos diferentes graus de gravidade.[1]
O tratamento pode incluir uma combinação de cirurgia, radioterapia e quimioterapia.[1] Nos casos em que ocorrem convulsões podem ser administrados anticonvulsivos.[1] Para diminuir o inchaço à volta do tumor podem ser administradas dexametasona e furosemida.[1] Alguns tumores crescem lentamente, sendo apenas necessária monitorização e sem possivelmente sem necessidade de intervenção no futuro.[1] O prognóstico varia consideravelmente de acordo com o tipo de tumor e de quanto se encontra disseminado no momento do diagnóstico.[3] O prognóstico dos glioblastomas é geralmente pouco favorável, enquanto os meningiomas têm geralmente prognóstico positivo.[3] A taxa de sobrevivência a cinco anos nos Estados Unidos para o cancro no cérebro é, em média, de 33%.[4] Estão atualmente a ser investigados tratamentos que tiram partido do sistema imunitário da pessoa.[2]
Os tumores do cérebro secundários, ou metástases, são mais comuns que os tumores do cérebro primários.[2] Cerca de metade das metástases são provenientes do cancro do pulmão.[2] Os tumores cerebrais primários afetam por ano cerca de 250 000 pessoas em todo o mundo, o que corresponde a menos de 2% do total de casos de cancro.[3] Em jovens com idade inferior a 15 anos, os tumores do cérebro são a segunda principal causa de cancro, atrás apenas da leucemia linfoide aguda.[8]
Tipos

- Primários
Os tumores podem ser devido a multiplicação de células de dentro do cérebro (primitivos ou primários) ou de células de outros tumores no organismo que se implantam no cérebro (metástases ou secundários). Os tumores primários do cérebro podem ser originados de vários tipos de células de dentro do cranio, como os neurônios, astrócitos, oligodendrócitos, células ependimárias, tecido linfático, células dos vasos sanguíneos, células de Schwann, células da adeno-hipófise e glândula pineal. Dependendo da célula que dá origem ao tumor podem ser classificados em[9][10]
- Gliomas: Os tumores primários mais comuns (50%). Podem ser benignos (de baixo grado) ou malignos (de alto grado). Formados a partir de células de suporte do sistema nervoso (células gliais), incluem astrocitomas, glioblastomas, ependimoma, oligoastrocitomas, oligodendrogliomas e schwannomas.
- Meningiomas: Segundo mais comuns (20%), são tumores que surge das membranas que envolvem o cérebro e a medula espinhal (meninges). A maioria são benignos.
- Adenoma de hipófise: Terceiros mais comuns (15%). São tumores geralmente benignos que se desenvolvem na adeno-hipófise, glândula da base do cérebro. Estes tumores podem afetar a produção de hormonas e ter efeitos em todo o corpo.
- Meduloblastomas: São cânceres do cerebelo mais comuns em crianças. Formadas de células imaturas, crescem rápido e tendem a se espalhar através do líquido espinhal. Estes tumores são pouco comuns em adultos. Representam pouco menos de 2% dos tumores de cérebro em adultos, mas 18% dos tumores de cérebro em crianças.[11]
- Tumor neuroectodérmico primitivo (PNET ou TNEP): Câncer raro de crescimento rápido que começa em células embrionárias (fetais) do cérebro. É mais comum em bebês. Estes tumores geralmente contêm áreas de células necrose e cistos. Fluido em torno do tumor não é incomum. Crescem muito causando efeito de massa e convulsões.[12]
- Tumor de células germinativas: Geralmente se desenvolvem durante ou antes dos 30 anos. Esse tipo de tumor é mais comum nos testículos ou ovários, porém quaisquer tumores de células germinativas podem aparecer no cérebro. Representam de 3 a 5% dos tumores de cérebro em crianças.[13]
- Craniofaringioma: Tumores benignos raros e de crescimento lento. Surgem perto da hipófise e podem afetar a regulação hormonal do corpo e comprimir os nervos da visão. Representam 2 a 5% dos tumores de cérebro e são mais comuns em menores de 14 anos ou maiores de 45 anos.[14]
- Secundários
Qualquer câncer pode chegar ao cérebro, mas os tipos mais comuns que formam tumores cerebrais são[9]:
Sinais e sintomas
Podem aparecer vagarosamente e irem piorando com o tempo ou de uma única vez. Os sintomas variam dependendo do tamanho e do local em que o tumor se encontra no cérebro e para onde ele se estende. Os sintomas podem indicar a localização do tumor e podem incluir[9]:
- Início ou mudança no padrão de dores de cabeça
- Dores de cabeça que gradualmente se tornam mais frequentes e mais graves
- Náuseas ou vômitos inexplicáveis
- Problemas de visão, como visão turva, visão dupla ou perda de visão periférica
- Perda gradual da sensibilidade ou movimento em um braço ou uma perna
- Dificuldade com equilíbrio
- Dificuldades de fala ou compreensão
- Confusão mental frequente
- Mudanças de comportamento ou personalidade
- Convulsões, especialmente em alguém que não tem uma história de convulsões
- Problemas de audição
- Descoordenação motora
- Sonolência ou fadiga
- Efeito massa
O cérebro está em uma caixa fechada dentro da qual há massa encefálica, sangue e liquor (liquido céfalo-raquidiano). O aumento de qualquer destes elementos se faz em detrimento dos demais, assim o crescimento de uma massa dentro do cérebro afeta os outros componentes e assim pode dar sintomas. Existem também sintomas mais específicos causados pelo aumento da pressão intracraniana, por lesões em áreas vitais no cérebro, edema (inchaço) por retenção de fluidos em volta do tumor, dificuldade de circulação do liquor causando a hidrocefalia ("água na cabeça" em grego).
Causas
Ainda hoje não se conhece os fatores causais dos tumores cerebrais, sendo que a maioria deles aparece sem que possamos saber o porque. Os traumatismos são relacionados ao aparecimento de certos tumores, mas sempre resta a dúvida se foi de fato um fator causal ou se ele apenas chamou a atenção para um problema existente. Recentemente muitos tem sido associado a alguma predisposição e/ou mutação genética. As alterações cromossômicas mais comuns em tumores cerebrais ocorrem nos cromossomos 1, 10, 13, 17, 19 e 22. As alterações nos cromossomos 1 e 19 são os mais freqüentemente encontrados em oligodendrogliomas e alterações no cromossomo 22 são mais freqüentemente encontrados em meningiomas.[15]
A radioterapia prolongada e alguns oncovírus podem causar câncer em qualquer lugar, inclusive no cérebro, mas as radioterapias estão cada vez mais seguras para impedir o aparecimento de câncer e muitos oncovírus possuem vacinas.
Fatores de risco
O fator de risco é tudo aquilo que aumenta a chance de se ter um tumor.
Doenças que aumentam o risco de desenvolver tumores cerebrais incluem[16]:
- Neurofibromatose tipo 1 e 2
- Esclerose tuberosa
- Síndrome de Li-Fraumeni
- Síndrome de Von Hippel-Lindau
- Síndrome de Turner
- Síndrome de Turcot
- Síndrome de Gorlin
- AIDS
Outros fatores de risco[16]:
- Idade superior a 65
- Histórico familiar de tumor cerebral
- Alto peso ao nascer (mais de 4kg)
- Obesidade
- Imunodeprimidos
Diagnóstico

O diagnóstico depende de exame médico geral e especifico, no qual o médico indagará por seus sintomas e sobre sua história pregressa pessoal e familiar. Após exame físico e neurológico completo no qual se checa reflexos, coordenação motora, sensibilidade, resposta aos estímulos e força muscular. O exame de Fundo de Olho com um aparelho chamado de oftalmoscópio ajuda a avaliar se há edema de papila que é uma maneira indireta de ver se há edema dentro do cérebro (edema cerebral).
Após, dependendo dos sintomas e do exame pode ser solicitados exames como Tomografia computadorizada, com e sem contraste para tentar identificar o tumor. Ressonância Nuclear Magnética que de forma parecida com a tomografia pode dar melhor imagem do tumor, conseguindo visualizar imagens que podem não aparecer na tomografia. Tomografia por emissão de pósitrons (PET scan) é mais usado para se seguir um tratamento, distinguindo o tumor do tecido cicatricial.
Tendo sido diagnosticado um tumor o passo seguinte, dependendo da localização do tumor é uma biópsia estereotáxica, feita por um neurocirurgião e encaminhada para exame anátomo-patológico, com a finalidade de se estabelecer qual é o tipo de tumor e eventualmente propor novos tratamentos.
Prevenção
Na medida em que não conhecemos os fatores causais podemos fazer muito pouco ou nada, para prevenir tais tumores. Até o momento não existem testes sanguíneos ou outros exames que possam ser usados de rotina com a finalidade de detecção precoce destes tumores.
Muitas investigações estão em andamento, principalmente fazendo parte do "Programa Genoma", com o intuito de saber o que altera antes do aparecimento do câncer do sistema nervoso central para assim conseguir impedi-lo.
O resultado dos tratamentos depende mais do local onde se encontra o tumor no cérebro e do tipo de tumor que do tamanho ao ser localizado, ou seja, não é como em outros tumores onde o diagnóstico precoce garante melhores resultados.
Tratamento
Os tratamentos dependem do local e tipo do tumor, do tamanho, estado geral do paciente e da idade. Tais tumores no geral demandam que sejam tratados por uma equipe médica que se componha de neurocirurgião, radioterapeuta, oncologista clinico, etc. Os tratamentos podem incluir neurocirurgia, radioterapia e eventualmente quimioterapia. Na maioria das vezes os tratamentos são uma combinação de cirurgia e radioterapia podendo ser usadas drogas como corticosteroides ou manitol para reduzir o inchaço do tecido cerebral e anticonvulsivantes para prevenir ou controlar os ataques epiléticos relacionados aos tumores.
Prognóstico
O prognostico depende do tipo de tumor, da sua malignidade, da extensão e da idade e estado geral do paciente. De maneira geral quanto menor o tumor, mais periférico e de menor grau de malignidade melhor o prognóstico.
A propagação/disseminação depende do tipo do tumor, mas geralmente os tumores cerebrais costumam crescer apenas localmente. Alguns tipos histológicos como ependimomas e meduloblastomas, embora não seja comum, podem dar metástases em outros locais como nos pulmão e ossos.
Referências
- ↑ a b c d e f g h i j k l m n o «Adult Brain Tumors Treatment». NCI. 28 de fevereiro de 2014. Consultado em 8 de junho de 2014
- ↑ a b c d e f g h i j k l m n o «General Information About Adult Brain Tumors». NCI. 14 de abril de 2014. Consultado em 8 de junho de 2014
- ↑ a b c d e f g h World Cancer Report 2014. [S.l.]: World Health Organization. 2014. pp. Chapter 5.16. ISBN 9283204298
- ↑ a b «SEER Stat Fact Sheets: Brain and Other Nervous System Cance». NCI. Consultado em 18 de junho de 2014
- ↑ GBD 2015 Disease and Injury Incidence and Prevalence, Collaborators. (8 de outubro de 2016). «Global, regional, and national incidence, prevalence, and years lived with disability for 310 diseases and injuries, 1990-2015: a systematic analysis for the Global Burden of Disease Study 2015.». Lancet. 388 (10053): 1545–1602. PMC 5055577
. PMID 27733282. doi:10.1016/S0140-6736(16)31678-6
- ↑ GBD 2015 Mortality and Causes of Death, Collaborators. (8 de outubro de 2016). «Global, regional, and national life expectancy, all-cause mortality, and cause-specific mortality for 249 causes of death, 1980–2015: a systematic analysis for the Global Burden of Disease Study 2015.». Lancet. 388 (10053): 1459–1544. PMC 5388903
. PMID 27733281. doi:10.1016/S0140-6736(16)31012-1
- ↑ Longo, Dan L (2012). «369 Seizures and Epilepsy». Harrison's principles of internal medicine 18th ed. [S.l.]: McGraw-Hill. p. 3258. ISBN 978-0-07-174887-2
- ↑ World Cancer Report 2014. [S.l.]: World Health Organization. 2014. pp. Chapter 1.3. ISBN 9283204298
- ↑ a b c http://www.mayoclinic.org/diseases-conditions/brain-tumor/symptoms-causes/dxc-20117134
- ↑ Park, Bong Jin; Kim, Han Kyu; Sade, Burak; Lee, Joung H. (2009). "Epidemiology". In Lee, Joung H. Meningiomas: Diagnosis, Treatment, and Outcome. Springer. p. 11. ISBN 978-1-84882-910-7.
- ↑ http://www.abta.org/brain-tumor-information/types-of-tumors/medulloblastoma.html
- ↑ http://www.abta.org/brain-tumor-information/types-of-tumors/pnet.html
- ↑ http://www.abta.org/brain-tumor-information/types-of-tumors/germ-cell-tumor.html
- ↑ http://www.abta.org/brain-tumor-information/types-of-tumors/craniopharyngioma.html
- ↑ http://www.abta.org/brain-tumor-information/risk-factors/
- ↑ a b http://www.cancerresearchuk.org/about-cancer/type/brain-tumour/about/brain-tumour-risks-and-causes
