Condroma

Condroma
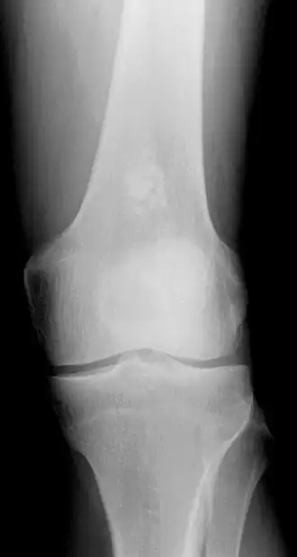
Encondroma do fêmur.
Especialidadeoncologia
Classificação e recursos externos
CID-11XH0NS4
CID-10D16, D21
CID-9213.9
CID-CID-O9220/0
MeSHD002812
A Wikipédia não é um consultório médico. Leia o aviso médico 

Condroma é uma neoplasia benigna que se origina da cartilagem. As células tumorais parecem condrócitos normais e produzem matriz cartilaginosa(cartilagem) alargando e debilitando o osso afetado, aumentando assim o risco de fraturas. [1]

Raramente fazem transformação maligna em um condrossarcoma, que cresce mais rápido, causa mais dor e deve ser removido cirurgicamente.

Tipos[2]

  • Encondroma: A variedade mais comum, afeta o centro do osso.
  • Condroma periférico: Raramente cresce na parte mais externa do osso, portanto nesse local deve-se suspeitar de outros tumores ósseos.
  • Doença de Ollier ou condromatose: é caracterizada por múltiplos condromas em diferentes localizações. Prevalência de 1 em cada 100.000 casos.[3]
  • Síndrome de Maffucci: Múltiplos encondromas e angiomas, causam deformações e facilitam fraturas.

Diagnóstico

Em uma radiografia é visto como um osso aumentado, com maior radiotransparência, calcificações nodulares e menores que 3 cm. Fora das falanges fazem calcificações em anel ou em arco. Assemelha-se ao condrossarcoma de baixo grau devido à hipercelularidade, binucleação e alteração do mixoide, mas condromas são indolores e crescem muito mais lentamente. [4]

Epidemiologia

Mais frequentemente encontrados nos ossos das mãos e pés, e menos comumente encontrados no fêmur, úmero ou tíbia. Mais comuns entre os 20 e 50 anos, descobertos acidentalmente em uma radiografia. Afeta homens e mulheres com a mesma frequência.[5]

Tratamento

Enquanto assintomáticos não precisam de tratamento. Fraturas podem curar com imobilização ou, se necessário, removidas cirurgicamente com curetagem e enxerto ósseo.[4]

Referências

  1. Condroma 2012. http://www.cirugiaarticular.com/tumor/condroma/
  2. J.J Férnandez. Patología ortopédica.
  3. Silve C, Jüppner H (2006). "Ollier disease". Orphanet J Rare Dis. 1: 37. doi:10.1186/1750-1172-1-37. PMC 1592482 PMID 16995932.
  4. a b Frank Gaillard et al. Enchondroma. https://radiopaedia.org/articles/enchondroma
  5. Enchondroma of hands and feet. http://www.pathologyoutlines.com/topic/bonechondromaenchondroma.html. Acessado em 19 de dezembro de 2016.