Oligodendroglioma
| Oligodendroglioma | |
|---|---|
![]() | |
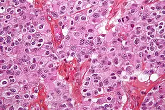
| Micrografia de oligodendroglioma mostrando redes de pequenos vasos sanguíneos e células "ovo frito" (citoplasma claro, núcleo grande e bordas bem definidas). Muito celulares, com núcleos uniformes. Tingidos com H&E. | |
| Classificação e recursos externos | |
| CID-10 | C71 |
| CID-9 | 191.9 |
| DiseasesDB | 29450 |
| eMedicine | neuro/281 |
| MeSH | D009837 |
Oligodendroglioma é um tumor de crescimento lento originado nos oligodendrócitos, células nervosas que revestem os neurônios com camadas de isolamento elétrico, ou em células gliais precursoras. Eles podem ser de baixo grau (grau II) ou de alto grau (grau III, ou anaplásico). Geralmente indolor, responde bem ao tratamento com quimioterapia.[1]
Patofisiologia
Oligodendrogliomas geralmente são tumores macios, cinzento ou rosados, que frequentemente comprimem parte do cérebro. Muitas vezes contêm depósitos minerais (calcificações), áreas de hemorragia e/ou cistos. Aparecem com mais frequência no lobo frontal, mediana frequência no parietal ou temporal e é incomum no occipital (razão de 3:2:2:1 respectivamente).[2]
Causas
Oligodendrogliomas clássicos costumam ter deleção do braço p do cromossomo 1 em 83% casos, deleção do braço q do cromossoma 19 em 72%, e ambas deleçoes em 69% casos. Não houve diferença significativa na ausência de 1p/19q oligodendrogliomas de baixo e alto grau.[3]
Sinais e sintomas
Entre 50 e 80% dos oligodendroglioma tem como primeiro sintoma o aparecimento de atividade convulsiva. Dores de cabeça e náuseas associados com aumento da pressão intracraniana podem aparecer quando o oligodendroglioma cresce. Dependendo da localização do tumor pode causar algum déficit neurológico focal como perda visual, fraqueza motora ou declínio cognitivo. Ocasionalmente pode causar isquemia e hemorragia intracranial.[4]
Epidemiologia
Mais comuns em jovens e adultos de meia idade, com média de diagnóstico aos 40-50 anos. É duas vezes mais comuns em homens. Representam entre 5 e 19% dos tumores intracranianos no mundo. A sobrevivência é em média 4 a 10 anos quando é um tumor de baixo grau e 3 a 4 anos quando é de alto grau.[5]
Tratamento
Quando são indolores esses tumores podem ser seguidos por anos antes de necessitar neurocirurgia, quimioterapia e radioterapia. O tratamento sintomático muitas vezes inclui o uso de anticonvulsivantes para convulsões e esteroides para o inchaço cerebral. A quimioterapia com procarbazina, CCNU e vincristina (PCV) demonstrou ser eficaz, portanto foi regime mais utilizada para o tratamento com quimioterapia em oligodendrogliomas de alto grau.[6] Agora esse esquema está sendo substituído pela Temozolomida, pois seus efeitos adversos são relativamente mais moderados quando comparado com outros quimioterápicos.[7]
Referências
- ↑ http://emedicine.medscape.com/article/1156699-overview
- ↑ http://emedicine.medscape.com/article/1156699-overview#a5http://emedicine.medscape.com/article/1156699-overview#a5
- ↑ Barbashina V, Salazar P, Holland EC, Rosenblum MK, Ladanyi M (1 February 2005). "Allelic losses at 1p36 and 19q13 in gliomas: correlation with histologic classification, definition of a 150-kb minimal deleted region on 1p36, and evaluation of CAMTA1 as a candidate tumor suppressor gene". Clin Cancer Res. 11 (3): 1119–28. PMID 15709179.
- ↑ http://emedicine.medscape.com/article/1156699-clinical
- ↑ http://emedicine.medscape.com/article/1156699-overview#a6
- ↑ Herbert H. Engelhard, M.D., Ph.D., Ana Stelea, M.D., and Arno Mundt, M.D., "Oligodendroglioma and Anaplastic Oligodendroglioma: Clinical Features, Treatment, and Prognosis",[1] p.452
- ↑ http://www.spfiles.com/pitemodar.pdf
