Ependimoma
| Ependimoma | |
|---|---|
![]() | |
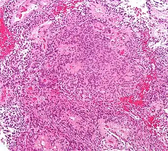
| Histologia do ependimoma (H&E) | |
| Especialidade | oncologia |
| Classificação e recursos externos | |
| CID-11 | XH1511 |
| CID-10 | C71 |
| CID-9 | 191 |
| CID-CID-O | M9380/3-9460/3 |
| DiseasesDB | 29452 |
| eMedicine | 277621 |
| MeSH | D004806 |

Ependimomas são um grupo de tumores gliais derivados das células ependimais que revestem a superfície ventricular. Frequentemente surgem das paredes do quarto ventrículo na fossa posterior. Ependimomas raramente ocorrem dentro do parênquima cerebral.[1] Ependimomas representam menos de 10% dos tumores primários do sistema nervoso central (SNC) e cerca de 5% dos tumores primários de sistema nervoso central da infância.
Epidemiologia
Idade e localização anatômica
A incidência de ependimomas é aproximadamente igual em homens e mulheres. A idade média no diagnóstico em crianças é de 5 anos de idade, e de 25 a 40% dos pacientes pediátricos tem menos de 2 anos. O quarto ventrículo é o local infratentorial mais comum e a extensão para o espaço subaracnóide ocorre com frequência, às vezes, inclusive, há envolvimento da medula e da coluna cervical. As lesões supratentoriais podem ser intraventriculares, tipicamente nos ventrículos laterais, ou parenquimatosas.[2]
Os locais mais comuns em que surgem ependimomas diferir dependendo da idade do paciente:
- Em crianças, cerca de 90% dos ependimomas são intracranianos, sendo 60% localizados na fossa posterior, enquanto o restante se localiza na medula espinhal. Ependimomas infratentoriais são mais comuns em crianças com menos de três anos de idade.
- Já em adultos, cerca de 75% dos casos se localizam dentro do canal espinal.
Fatores de Risco
Os fatores etiológicos responsáveis pelo desenvolvimento de ependimoma são desconhecidos. Há um aumento da incidência de ependimoma medular em pacientes com neurofibromatose de tipo II (NF2),[3] mas as anormalidades no gene da NF2 não foram identificados na maioria dos pacientes com ependimomas esporádicos.[4]
Patologia
Classificação
A Organização Mundial da Saúde (OMS) classifica os tumores ependimários em quatro principais subtipos: ependimoma mixopapilar (grau I), Subependimoma (grau I), ependimoma clássico (grau II) e ependimoma anaplásico (grau III).[5]
Ependimoma
Ependimomas geralmente são tumores de crescimento lento e mais comuns frequentes em crianças e adultos jovens. São classificados como ependimoma clássico (grau II) e ependimoma anaplásico (grau III) . Estes tumores podem ocorrer em qualquer lugar do sistema ventricular ou do canal espinal, entretanto são mais comuns no quarto ventrículo e no canal espinal. Ependimomas são geralmente bem demarcados e com frequentes áreas de calcificação, hemorragia e eventualmente cistos., as células tumorais frequentemente formam as chamadas rosetas ependimais, sinais que praticamente selam o diagnóstico.
Há uma controvérsia a respeito do significado prognóstico da classificação em ependimoma grau II e grau III. Enquanto alguns relatos indicaram um prognóstico pior para ependimoma anaplásico (grau III), esse dado não foi confirmado pela maioria dos estudos. A variabilidade na diferenciação histológica do ependimoma clássico e do ependimoma anaplásico dentre os neuropatologistas poderia explicar estes resultados.[6]
Subependimoma
Subependimomas são tumores raros originados geralmente de células do quarto ventrículo ou de ventrículos laterais em adultos. [5] Subependimomas são mais comuns em homens. Estas lesões são geralmente de crescimento lento, histologicamente benignas e frequentemente o tratamento é espectante.
Ependimoma Mixopapilar
Ependimomas mixopapilares são tumores de crescimento lento que normalmente são encontrados em adultos jovens e são mais comuns em homens. Estes tumores surgem quase que exclusivamente no cone medular e em filamentos terminais.[7]
Ependimoblastoma
Ependimoblastomas são tumores malignos altamente agressivos e mais frequentes em crianças. Embora ependimoblastomas anteriormente fossem considerados uma variante do ependimoma, estes tumores atualmente são classificados no grupo de tumores neuroectodérmicos primitivos (TNEPs) e são referidos como tumores embrionários.
Apresentação Clínica
A clínica do paciente depende da localização da massa tumoral:
- A maioria dos pacientes com lesões de fossa posterior apresentam clínica relacionada ao aumento da pressão intracraniana, como cefaleia, náuseas, vômitos, ataxia, vertigem e papiledema. [8] Paralisias de nervos cranianos também são comuns, especialmente envolvendo os nervos cranianos VI a X.
- Convulsões e déficits neurológicos focais são apresentações comuns em tumores localizados no compartimento supratentorial.
- Tumores envolvendo a medula espinhal se apresentam com déficits motores ou sensitivos devido ao envolvimento das vias nervosas ascendentes ou descendentes ou até mesmo das raízes nervosas periféricas.
Diagnóstico
O diagnóstico diferencial dos tumores que se apresentam na fossa posterior inclui meduloblastoma, astrocitoma e tumores do plexo coróide. Enquanto na localização supratentorial, tumores gliais e TNEPs.
Na ressonância magnética, estes tumores apresentam um hipossinal em T1 , e são hiperintensas em T2; o realce pelo gadolínio é geralmente proeminente.[9] A extensão do tumor para o forame de Luska é comumente observado . A apresentação na tomografia computadorizada é muitas vezes como hiperdensidade com realce homogêneo. Cistos e calcificações são comuns. A presença de calcificação no interior de um tumor localizado no quarto ventrículo é altamente sugestiva de ependimoma.
Apesar de as imagens e a apresentação clínica do paciente forem sugestivas, o diagnóstico de ependimoma requer confirmação histológica.
Tratamento
O tratamento inicial de pacientes com diagnóstico de ependimoma consiste na ressecção cirúrgica máxima, que é geralmente seguida de radioterapia adjuvante. A quimioterapia não parece desempenhar um papel importante no tratamento desses tumores em crianças e adultos.[10], [11] Entretanto, O uso de quimioterapia no tratamento para pacientes com ependimoma é reservado basicamente para crianças pequenas com a doença recorrente ou refratária nas quais houve demonstração de atividade antitumoral dos fármacos. A Cisplatina, carboplatina e etoposídeo parecem ser os agentes mais ativos e as taxas de resposta mais elevadas foram observadas, com combinações mais intensas. [12]
Fatores Prognósticos
- Localização do tumor - Comparações de sobrevivência com base na localização do tumor apresentaram resultados conflitantes. Enquanto pelo menos um estudo sugeriu que os tumores supratentoriais apresentam uma melhor sobrevida, [13] outros revelaram que pacientes com lesões infratentoriais tem melhor sobrevida.[14]
- Grau histológico - Ependimomas de alto grau estão associados com pior prognóstico na maioria dos casos.[15] Em uma análise retrospectiva de 80 pacientes com ependimoma, os pacientes com tumores de baixo e de alto grau tiveram uma taxa de sobrevivência de cinco anos de 87 e 27 por cento, respectivamente.[16]
- Idade - Dois grandes estudos europeus que incluiram um total de 222 pacientes e 123 pacientes de uma única instituição americana analisaram os fatores prognósticos para adultos com ependimomas intracranianos.[17], [18] Nesta série, a taxa de sobrevida em cinco anos variou de 67 até 85 por cento e para a sobrevida em dez anos variou de 50 a 77 por cento. Na análise multivariada, os fatores associados a um pior prognóstico incluiram: alto grau histológico, a ressecção cirúrgica incompleta[19] e o local.
Referências
- ↑ Shuangshoti S, Rushing EJ, Mena H, et al. Supratentorial extraventricular ependymal neoplasms: a clinicopathologic study of 32 patients. Cancer 2005; 103:2598.
- ↑ Grill J, Pascal C, Chantal K. Childhood ependymoma: a systematic review of treatment options and strategies. Paediatr Drugs 2003; 5:533.
- ↑ Ebert C, von Haken M, Meyer-Puttlitz B, et al. Molecular genetic analysis of ependymal tumors. NF2 mutations and chromosome 22q loss occur preferentially in intramedullary spinal ependymomas. Am J Pathol 1999; 155:627., Pollack IF, Mulvihill JJ. Neurofibromatosis 1 and 2. Brain Pathol 1997; 7:823.
- ↑ Rubio MP, Correa KM, Ramesh V, et al. Analysis of the neurofibromatosis 2 gene in human ependymomas and astrocytomas. Cancer Res 1994; 54:45.
- ↑ a b Louis DN, Ohgaki H, Wiestler OD, Cavenee WK. Classification of Tumours of the Nervous System, IARC Press, Lyon, France 2007.
- ↑ Ellison DW, Kocak M, Figarella-Branger D, et al. Histopathological grading of pediatric ependymoma: reproducibility and clinical relevance in European trial cohorts. J Negat Results Biomed 2011; 10:7.
- ↑ Barton VN, Donson AM, Kleinschmidt-DeMasters BK, et al. Unique molecular characteristics of pediatric myxopapillary ependymoma. Brain Pathol 2010; 20:560.
- ↑ Prayson RA. Clinicopathologic study of 61 patients with ependymoma including MIB-1 immunohistochemistry. Ann Diagn Pathol 1999; 3:11.
- ↑ Chen CJ, Tseng YC, Hsu HL, Jung SM. Imaging predictors of intracranial ependymomas. J Comput Assist Tomogr 2004; 28:407.
- ↑ Milde T, Hielscher T, Witt H, et al. Nestin expression identifies ependymoma patients with poor outcome. Brain Pathol 2012; 22:848.
- ↑ Hukin J, Epstein F, Lefton D, Allen J. Treatment of intracranial ependymoma by surgery alone. Pediatr Neurosurg 1998; 29:40.
- ↑ Bouffet E, Foreman N. Chemotherapy for intracranial ependymomas. Childs Nerv Syst 1999; 15:563.
- ↑ Horn B, Heideman R, Geyer R, et al. A multi-institutional retrospective study of intracranial ependymoma in children: identification of risk factors. J Pediatr Hematol Oncol 1999; 21:203.
- ↑ Mansur DB, Perry A, Rajaram V, et al. Postoperative radiation therapy for grade II and III intracranial ependymoma. Int J Radiat Oncol Biol Phys 2005; 61:387.
- ↑ Shu HK, Sall WF, Maity A, et al. Childhood intracranial ependymoma: twenty-year experience from a single institution. Cancer 2007; 110:432.
- ↑ Schwartz TH, Kim S, Glick RS, et al. Supratentorial ependymomas in adult patients. Neurosurgery 1999; 44:721.
- ↑ Reni M, Brandes AA, Vavassori V, et al. A multicenter study of the prognosis and treatment of adult brain ependymal tumors. Cancer 2004; 100:1221.
- ↑ Metellus P, Barrie M, Figarella-Branger D, et al. Multicentric French study on adult intracranial ependymomas: prognostic factors analysis and therapeutic considerations from a cohort of 152 patients. Brain 2007; 130:1338.
- ↑ Vitanovics D, Bálint K, Hanzély Z, et al. Ependymoma in adults: surgery, reoperation and radiotherapy for survival. Pathol Oncol Res 2010; 16:93.
- HARRISON′S. Principles of Internal Medicine. 18ª Edição. McGraw-Hill, 2012.
