Meduloblastoma

Meduloblastoma
Tomografia de um meduloblastoma em uma menina de 6 anos, causando hidrocefalia.
Especialidadeoncologia
Classificação e recursos externos
CID-11XH8P29
CID-CID-O9470/3, 9503/3
OMIM155255
DiseasesDB31105
eMedicineneuro/624 ped/1396 radio/434
MeSHD008527
A Wikipédia não é um consultório médico. Leia o aviso médico 

Meduloblastoma (do latim medulla, núcleo e do grego blasto, primitivo e -oma tumor) é um câncer do cerebelo, de crescimento rápido, pouco invasivo e mais comum em crianças. Se origina nas células neurológicas mais primitivas da medula do cerebelo.

Causas

É causado por mutações genéticas em genes no grupo WNT/Beta-catenina, na via SHH (Sonic hedgehog) ou em outros dois grupo de genes. Algumas síndromes genéticas raras, como a síndrome de Gorlin e síndrome de Turcot, aumentam o risco de desenvolver meduloblastoma. Mutações recorrentes nos genes CTNNB1, PTCH1, MLL2, SMARCA4, DDX3X, CTDNEP1, KDM6A e TBR1 foram identificadas em pacientes com meduloblastoma.[1]

Sinais e sintomas

Os sintomas mais comum deste tumor estão associados a um aumento da pressão intracraniana são[2]:

  • Vômitos freqüentes e volumosos, especialmente na parte da manhã;
  • Dor de cabeça, especialmente pela manhã;
  • Náuseas e tontura,
  • Perda da coordenação motora,
  • Confusão mental,
  • Alterações visuais, como visão dupla e movimentos oculares inusuais.

Diagnóstico

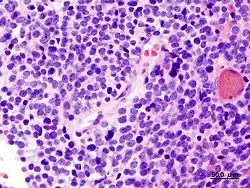
Histologia de meduloblastoma em adulto.

Histologicamente, o tumor é sólido, rosa cinzento e bem circunscrito. O tumor é muito celular, com muitas mitoses, pouco citoplasma e tem a tendência de formar aglomerados e rosetas.

Epidemiologia

Sua incidência anual é de 24,5 casos por cada 1 milhão de crianças. Representa cerca de 20% de todos os cânceres do sistema nervoso central em menores de 18 anos. Geralmente aparece em menores de 5 anos. A incidência aumentou nos últimos anos. Um terço dos meduloblastoma afetam adultos. É um pouco mais comum entre homens.[3]

Tratamento

O tratamento consiste na remoção cirúrgica do tumor, tanto quanto possível, radioterapia e, em seguida, quimioterapia (em crianças mais velhas e adultos). Esta combinação de terapias permite uma sobrevivência de 80% nos 5 anos após o diagnóstico. O prognóstico é melhor em crianças com mais de 3 anos e pior em adultos (60% de sobrevivência após 5 anos). Porém, efeitos colaterais do tratamento podem incluir comprometimento cognitivo, disturbios psiquiátricos, menor crescimento ósseo, perda auditiva ou doenças endócrinas.[4]

Ver também

Referências

  1. Jones, D. T.; Jäger, N; Kool, M; Zichner, T; Hutter, B; Sultan, M; Cho, Y. J.; Pugh, T. J.; Hovestadt, V; Stütz, A. M.; Rausch, T; Warnatz, H. J.; Ryzhova, M; Bender, S; Sturm, D; Pleier, S; Cin, H; Pfaff, E; Sieber, L; Wittmann, A; Remke, M; Witt, H; Hutter, S; Tzaridis, T; Weischenfeldt, J; Raeder, B; Avci, M; Amstislavskiy, V; Zapatka, M; et al. (Jul 2012). "Dissecting the genomic complexity underlying medulloblastoma". Nature. 488 (7409): 100–5. Bibcode:2012Natur.488..100J. doi:10.1038/nature11284
  2. http://www.cancer.net/cancer-types/medulloblastoma-childhood/symptoms-and-signs
  3. Neha Vapiwala, MD and John P. Plastaras, MD, PhD (2016) All About Medulloblastoma. https://www.oncolink.org/cancers/pediatric/information/brain-tumors/all-about-medulloblastoma Arquivado em 1 de janeiro de 2017, no Wayback Machine.
  4. Polkinghorn, W (2007). "Medulloblastoma: tumorigenesis, current clinical paradigm, and efforts to improve risk stratification.". Nat Clin Pract Oncol. 4: 295–304. doi:10.1038/ncponc0794.