Síndrome nefrótica
| Síndrome nefrótica | |
|---|---|
| Sinónimos | Nefrose |
![]() | |
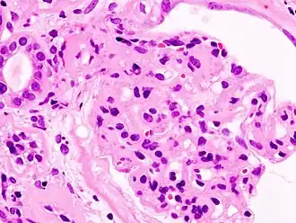
| Imagem microscópica da glomeruloesclerose diabética, principal causa da síndrome nefrótica em adultos | |
| Especialidade | nefrologia |
| Sintomas | Inchaço, aumento de peso, cansaço, urina turva[1] |
| Complicações | Coágulos sanguíneos, infecções, hipertensão arterial[1] |
| Causas | glomeruloesclerose segmentar e focal, nefropatia membranosa e doença de lesão mínima, lúpus, diabetes[1][2] |
| Método de diagnóstico | Exame de urina, biópsia renal[1] |
| Condições semelhantes | Síndrome nefrítica, cirrose, desnutrição grave[2] |
| Tratamento | Da causa subjacente |
| Frequência | Entre 5 por 100,000 por ano[3][4] |
| Classificação e recursos externos | |
| CID-11 | GB41 |
| CID-10 | N04 |
| CID-9 | 581 |
| DiseasesDB | 8905 |
| MedlinePlus | 000490 |
| eMedicine | med/1612 ped/1564 |
| MeSH | D009404 |
A síndrome nefrótica (ou nefrose) é um transtorno renal causado por um conjunto de sinais, sintomas e achados laboratoriais que se desenvolvem quando ocorre uma elevação da permeabilidade da parede capilar dos glomérulos renais,[1] que implica a perda excessiva de proteínas através da urina (proteinúria) superior a 3.5g por dia,[nota 1] níveis baixos de proteína no sangue (hipoproteinemia ou hipoalbuminemia),[1] ascite e, nalguns casos, edema, colesterol alto (hiperlipidemia ou hiperlipemia) e uma predisposição para a coagulação.[1] Outros sintomas podem também estar associados com o aumento de peso, sensação de cansaço e urina turva (espumosa).[1]
As causas incluem um determinado grupo de doenças renais, tais como glomeruloesclerose segmentar e focal (na verdade uma glomerulonefrite), nefropatia membranosa e doença de lesão mínima. Também pode ocorrer como complicação da diabetes ou lúpus. Normalmente a causa está na lesão do glomérulo renal, seja esta primária ou secundária,[1][2] que altera a sua capacidade de filtrar as substâncias que o sangue transporta. O diagnóstico é geralmente feito com base em exames à urina e, por vezes, é feita uma biópsia renal.[1] Esta difere da síndrome nefrítica em que não há glóbulos vermelhos na urina.[2]
O tratamento foca-se na causa subjacente. Outras medidas incluem a controlo da hipertensão arterial, altos níveis séricos de colesterol e risco infecção.[1] Recomenda-se uma dieta de regime hipossódico e diminuição de ingestão de líquidos.[1] Entre cerca de 5 e 100.000 pessoas são afectadas anualmente por esta condição.[3][4] As principais causas subjacentes variam das crianças para os adultos.[4] Em função da condição e do tipo de lesão, estes sujeitos tendem a apresentar um bom prognóstico se submetidos a um tratamento adequado.
Patogenia
Diferentemente do que ocorre na síndrome nefrítica, na síndrome nefrótica não há invasão glomerular por células inflamatórias (glomerulonefrite), mas sim um importante comprometimento da permeabilidade glomerular, tornando os glomérulos incapazes de reter macromoléculas, como as proteínas, justificando o aumento da quantidade de proteínas na urina.
Grande parte dos distúrbios que afetam os glomérulos podem acarretar em síndrome nefrótica (evolução lenta e insidiosa), incluindo também os que participam na síndrome nefrítica (rápida evolução). Nesta síndrome há perda constante de proteína sérica na urina (proteinúria maciça) e hipoalbuminemia (baixa albumina no sangue), causando edema generalizado (anasarca) decorrente à perda da pressão oncótica.
Classificação e causas
A síndrome nefrótica possui muitas causas e pode ser causada por uma doença limitada ao rim, sendo chamada de síndrome nefrótica primária, ou uma condição que afete o rim e outras partes do corpo, chamada de síndrome nefrótica secundária.
A síndrome nefrótica atinge qualquer idade, embora predomine nos adultos com uma proporção adulto/criança de 26 para 1.[5] Também existem diferenças na sua apresentação nos dois grupos de idade: nas crianças, a glomerulopatia mais frequente é a doença de lesão mínima (66% dos casos), seguida da glomeruloesclerose segmentar e focal (8%) e a glomerulonefrite mesangiocapilar (6%).[6] Nos adultos, a glomerulonefrite membranoproliferativa (30-40%), seguida da glomeruloesclerosis segmentar e focal (15-25%) e a doença de lesão mínima (20%), sendo esta última secundária e não primária, como nas crianças; a sua causa principal é a nefropatia diabética.[6] Costuma manifestar-se entre a quarta e quinta décadas de vida do adulto. Em conjunto, as glomerulonefrites primárias englobam entre 60 e 80% dos casos enquanto as secundárias protagonizam 20 a 40%.[5] Em relação ao sexo também existem diferenças, pois há um predomínio da doença nos homens em relação às mulheres numa proporção de 2 a 1.[5]
Os dados epidemiológicos revelam informação relativa à evolução mais comum que acompanha o paciente com síndrome nefrótica:[5] a remissão espontânea ocorre em cerca de 20 ou 30% dos casos durante o primeiro ano da doença; ainda assim, esta melhoria não é definitiva pois cerca de 50 a 60% dos pacientes morrem e/ou passam a sofrer duma insuficiência renal crónica passados entre 6 e 14 anos de dita remissão. Por outro lado, entre 10 e 20% dos pacientes a doença evolui com episódios de remissão e recorrência sem chegar a morrer ou mesmo sem comprometer o rim. As principais causas de morte são cardiovasculares, consequência da cronificação da síndrome, e acidentes tromboembólicos.[5]
Classificação etiológica
Uma classificação ampla da síndrome nefrótica baseada na etiologia:
| Síndrome nefrótica | |||||||||||||||||||
| Primária | Secundária | ||||||||||||||||||
Classificação histológica
A síndrome nefrótica é frequentemente classificada histologicamente:
| Síndrome nefrótica | |||||||||||||||||||||||||||||||||||||||||||||||
| Lesão mínima | Glomeruloesclerose segmentar e focal | Nefropatia membranosa | Glomerulonefrite membranoproliferativa | ||||||||||||||||||||||||||||||||||||||||||||
As causas primárias de síndrome nefrótica geralmente são as descritas pela histologia: doença de lesão mínima, glomeruloesclerose segmentar e focal (nefroesclerose hipertensiva, HIV, diabetes mellitus, obesidade[7]), nefropatia membranosa (hepatite B, síndrome de Sjögren, lupus eritematoso sistêmico (LES), diabetes mellitus, sarcoidose, sífilis, drogas e câncer[7]) e glomerulonefrite membranoproliferativa. Elas são consideradas como diagnóstico de exclusão, já que são diagnosticadas somente após outras causas terem sido descartadas.
As causas secundárias de síndrome nefrótica possuem os mesmos padrões histológicos das causas primárias, no entanto podem exibir algumas diferenças sugerindo uma causa secundária como corpos de inclusão.
Ver também
Notas
- ↑ Na síndrome nefrótica, a proteinúria é superior a 3,5g/1,73 m²/24h, ou seja, em 24 horas, a quantidade de proteínas encontradas na urina deve ser maior que 3,5 gramas (no adulto). Na criança, o valor de referência é uma taxa de proteinúria acima de 50 miligramas por quilo (em 24 horas).
Referências
- ↑ a b c d e f g h i j k l «Nephrotic Syndrome in Adults». National Institute of Diabetes and Digestive and Kidney Diseases. Fevereiro de 2014. Consultado em 9 de novembro de 2017
- ↑ a b c d Ferri, Fred F. (2017). Ferri's Clinical Advisor 2018 E-Book: 5 Books in 1 (em inglês). [S.l.]: Elsevier Health Sciences. p. 889. ISBN 9780323529570
- ↑ a b Kher, Kanwal; Schnaper, H. William; Greenbaum, Larry A. (2016). Clinical Pediatric Nephrology, Third Edition (em inglês). [S.l.]: CRC Press. p. 307. ISBN 9781482214635
- ↑ a b c Kelly, Christopher R.; Landman, Jaime (2012). The Netter Collection of Medical Illustrations - Urinary System e-Book (em inglês). [S.l.]: Elsevier Health Sciences. p. 101. ISBN 1455726567
- ↑ a b c d e Borrego R., Jaime; Montero C., Orlando (2003). Nefrologia: Fundamentos de medicina 4ª ed. [S.l.]: Corporação para investigações biológicas. p. 340. ISBN 9589400639
- ↑ a b «Patient information: The nephrotic syndrome (Beyond the Basics)». Consultado em 28 de junho de 2013
- ↑ a b Fogo AB, Bruijn JA. Cohen AH, Colvin RB, Jennette JC. Fundamentals of Renal Pathology. Springer. ISBN 978-0387-31126-5.
_HE.jpg)