Glomerulonefrite
| Glomerulonefrite | |
|---|---|
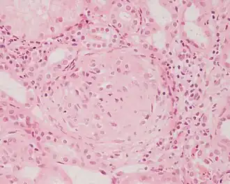
| Fotomicrografia de uma biópsia de rim de um paciente com glomerulonefrite crescêntica mostrando uma formação crescêntica fibrocelular proeminente e uma proliferação mesangial moderada em um glomérulo. Coloração de hematoxilina e eosina. | |
| Especialidade | nefrologia |
| Classificação e recursos externos | |
| CID-10 | N00, N01, N03, N18 |
| CID-9 | 580-582 |
| DiseasesDB | 5245 |
| MedlinePlus | 000484 |
| MeSH | D005921 |
Glomerulonefrite ou glomerulopatia é uma afecção que acomete o glomérulo, estruturas microscópicas do rim formadas por um emaranhado de capilares, a principal estrutura renal responsável pela filtração do sangue.
Classificação
Histologicamente, são classificadas em várias entidades, uma vez que a glomerulonefrite pode ter diversas apresentações clínicas. Raramente essas patologias evoluem para insuficiência renal terminal em questão de semanas, geralmente sua evolução é mais lenta e pode demorar meses ou até anos. Quando ocorre piora da função renal em poucas semanas, elas são classificadas como glomerulonefrites rapidamente progressivas, independentemente do tipo histológico.
- Glomerulopatias primárias
- Glomerulonefrite difusa aguda (GNDA)
- Pós-estreptocócica
- Não pós-estreptocócica
- Glomerulonefrite membranosa (GNM)
- Glomerulonefrite por lesões mínimas (GNLM)
- Glomeruloesclerose segmentar e focal (GESF)
- Glomerulonefrite membranoproliferativa (GNMP)
- Nefropatia por IgA (NIgA)
- Síndrome de Alport (Hereditária)
- Doença de Fabry (Hereditária)
- Glomerulopatias secundárias (causadas por outras doenças)
- Glomerulonefrite lúpica
- Nefropatia diabética
- Amiloidose
- Síndrome de Goodpasture
- Poliarterite nodosa
- Granulomatose de Wegener
- Púrpura de Henoch-Schönlein
- Endocardite bacteriana
Causas

Dentre as possíveis doenças que podem causar ou aumentar o risco de glomerulonefrite estão:[1][2]
- Infecções:[2]
- Pós-infecções por estreptococo
- Infecções virais (como hepatite B e C)
- Endocardite bacteriana
- Doenças vasculares:[2]
- Vasculite
- Poliarterite
- Púrpura de Henoch-Schönlein (vasculite alérgica)
- Doenças autoimunes:[1]
- Síndrome de Goodpasture
- Nefropatia por IgA
- Nefrite lúpica
- Doença do anticorpo anti-membrana basal glomerular
- Outras:[1]
- Fatores de risco[1]
- Hipertensão arterial
- Exposição a solventes de hidrocarbonetos
- Uso frequente de analgésicos e anti-inflamatórios, especialmente os não-esteroides
- Diabetes mellitus (mal controle da glicemia)
- Histórico de câncer
Histologia
Considerando todos os glomérulos presentes no tecido renal temos os seguintes termos:
- Lesão difusa: 50% ou mais dos os glomérulos do rim estão acometidos.
- Lesão focal: Menos de 50 % dos glomérulos estão acometidos.
Considerando apenas um glomérulo temos:
- Lesão segmentar: ocorre quando parte ou segmento do glomérulo está acometido.
- Lesão global: todo o tufo capilar de um glomérulo está lesado.
Sintomatologia
As conseqüências da agressão glomerular são:[3]
- Proteinúria, uma urina com espuma (perda de proteínas na urina),
- Hematúria, uma urina rosada ou marrom escuro (perda de sangue na urina),
- Edema nos pés, pernas, abdômen e rosto, esse inchaço é causado por desequilíbrio hidroeletrolítico,
- Hipertensão arterial (pressão sanguínea alta),
- Fadiga (cansaço).
Complicações
Dependendo da intensidade e do tipo da agressão, pode haver predomínio de um sinal sobre outro, dando origem a diferentes apresentações clínicas:
- Síndrome nefrítica é definida como o aparecimento de edema, hipertensão arterial e hematúria (geralmente macroscópica).
- Síndrome nefrótica é caracterizada por proteinúria de 24 horas maior que 3,5 gramas em adultos ou 50 mg/kg em crianças, edema, hipoalbuminemia e hipercolesterolemia.
- Não-nefrítica e não-nefrótica são aqueles casos que não se encaixam nas classificações descritas anteriormente.
Epidemiologia
Em estudo brasileiro com biópsia renal de pacientes com glomerulopatias 41% apresentavam síndrome nefrótica e 35% apresentavam glomerulonefrite rapidamente progressiva. Entre as glomerulopatias primárias, as mais comuns foram glomeruloesclerose segmentar e focal (26,9%) e nefropatia por IgA (25%). Entre as secundárias a nefrite lúpica (50%) e a glomerulonefrite proliferativa exsudativa difusa (34,2%). Dois terços necessitaram imunossupressores e quase um terço necessitou de diálise durante a internação. Desse grupo, 10,6% dos pacientes faleceram.[4]
Terapia
O tipo de tratamento depende da causa, da intensidade, da cronicidade e das complicações:[5]
- Quando há hipertensão são usados diuréticos, inibidores da enzima conversora da angiotensina (ECA) ou bloqueadores dos receptores da angiotensina II. A dieta deve ser baixa em sódio, evitando sal de cozinha e refrigerantes. Para aumentar as chances de sobrevivência também é recomendado parar de fumar.
- Em caso de infecção bacteriana o tratamento é com antibióticos e também se concentra em aliviar os sinais e sintomas típicos.
- Em caso de doença autoimune os médicos prescrevem frequentemente corticosteróides e um imunossupressoras para controlar a inflamação. Suplementos de óleo de peixe também podem ser usado.[6]
- No caso de Síndrome de Goodpasture a plasmaferese para remoção de anticorpos do plasma é o mais recomendado.
- Em casos de insuficiência renal podem ser necessárias sessões de diálises e transplante de rim.
- Em caso de diabetes é essencial manter a glicemia sob controle e manter um peso saudável.[7]
Referências
- ↑ a b c d «Glomerulonephritis: MedlinePlus Medical Encyclopedia». medlineplus.gov (em inglês). Consultado em 10 de abril de 2022
- ↑ a b c «Glomerulonephritis - Symptoms and causes». Mayo Clinic (em inglês). Consultado em 10 de abril de 2022
- ↑ «Glomerulonephritis - Symptoms and causes». Mayo Clinic (em inglês). Consultado em 10 de abril de 2022
- ↑ FERRAZ, Fabio Humberto Ribeiro Paes et al. Perfil das doenças glomerulares em um hospital público do Distrito Federal. J. Bras. Nefrol. [online]. 2010, vol.32, n.3 [cited 2014-08-09], pp. 249-256 . Available from: <http://www.scielo.br/scielo.php?script=sci_arttext&pid=S0101-28002010000300005&lng=en&nrm=iso>. ISSN 0101-2800. http://dx.doi.org/10.1590/S0101-28002010000300005.
- ↑ «Glomerulonephritis - Diagnosis and treatment - Mayo Clinic». www.mayoclinic.org (em inglês). Consultado em 10 de abril de 2022
- ↑ «A controlled trial of fish oil in IgA nephropathy. Mayo Nephrology Collaborative Group.». Epistemonikos. Consultado em 10 de abril de 2022
- ↑ «Glomerulonephritis - Diagnosis and treatment - Mayo Clinic». www.mayoclinic.org (em inglês). Consultado em 10 de abril de 2022